Du contraste inexplicable… 
Benoit Carrière MD 
6 novembre 2014 
CHU Ste-Justine - Service Médecine d’Urgence Pédiatrique
Début de nuit habituel… 
15-20 patients pas encore vus en avant… 
7-8 transferts de patients couchés, en attente d’hospit 
ou avec bilans en cours
…et comme ça 
peut nous arriver… 
Appel pris par collègue de soir - 23h00 
Peu d’infos transmises 
une petite blessée attendue avec une douleur 
abdominale… 
Rappelez-vous vous-même?
Circonstances de l’accident 
fillette de 6 ans 
dormait dans l’auto 
passagère arrière d’une voiture allant à 100 
km/h 
face à face vers 19h00
Sur la scène 
Encore attachée, trois points (?) 
Pas de perte de conscience, pas de convulsion 
Plainte spontanée de douleur abdominale 
Pas de plaie, pas de signes de fracture 
Pas de cervicalgie
Transportée P & C 
au centre hospitalier référant 
Approche ATLS 
Stable au niveau A-B 
Au niveau cardio-vasculaire: 
FC 120-150 
TA normales-hautes 120-135/80-85
vomissements à 5-6 reprises, nausée 
Douleur abdominale importante, ballonnement 
ecchymose a/n quadrant inférieur
Transfert demandé 
Équipe inquiète de la douleur abdominale 
FAST négatif à 2 reprises 
Trauma rate? 
Seat belt injury?
Évaluation chez nous 
Urgence - 3h30 AM 
ABC stables 
neuro N 
Douleur et ballonnement abdo importants 
FAST +
Évaluation chez nous 
Urgence 
NPO 
Consult TRAUMA 
Écho abdo 5h15 
Ascite important 
Doute sur perforation intestinale 
Aspect irrégulier de la vessie - perforation?
Évaluation chez nous 
Urgence 
PSA 
Air libre ++++ 
Contraste (?!?) a/n 2 reins 
Contraste entre les anses 
digestives
Passé à côté… 
Écho abdominale formelle effectuée au centre référant 
- 21h45 
SCAN abdo-pelvien C+ fait au centre référant - 
22h45 
liquide libre 
perforation intestinale? 
pas de sonde urinraire en place, pas de contraste vessie
Salle d’op en fin de nuit 
Laparoscopie exploratoire 
Perforation vésicale réparée 
Aucune perforation digestive notée
Rupture vésicale
Rupture vésicale 
« plus la vessie est remplie, plus les risques 
d’une rupture sont importants »
Rupture vésicale 
Trauma contondant 
Trauma pénétrant 
Cause iatrogénique 
Rupture spontanée
TTrraauummaa 
ccoonnttoonnddaanntt 
TTrraauummaa 
pénétrant 
CCaauussee 
iatrogénique 
RRuuppttuurree 
spontanée 
AAcccciiddeenntt dd’’aauuttoo 
Décélération 
ppllaaiiee ppaarr bbaallllee CChhxx uurroollooggiiqquuee cchheezz ll’’aadduullttee 
1100%% ddeess ffrraaccttuurreess dduu 
bbaassssiinn arme blanche CChhxx oobbssttééttrrccaallee AAllccoooolliiqquuee 
CCoouupp ddee ppooiinngg//ppiieedd 
sur vessie 
pleine 
ppeennsseerr àà bblleessssuurreess 
aassssoocciiééeess Chx orthopédique 
CChhxx aannttéérriieeuurree 
(trauma minime) 
BBaalllloonn ddee 
soccer/football 
CChhxx llaappaarroossccooppiiqquuee 
en pédiatrie
Rupture vésicale 
Extrapéritonéale 
Intrapéritonéale 
Combinée (extra & intrapéritonéale)
Rupture vésicale extrapéritonéale 
90-100% de cas sont associées à des Fx bassin 
surtout de l’arche antérieur du pubis 
parfois par spicules osseux 
pas toujours 
même force déchirante entre fixité du bassin et inertie d’une vessie
Rupture vésicale extrapéritonéale 
Cystographie 
Extravasation de contraste à la base de la vessie 
espace périvésical 
aspect en flammes, en plumes, « starburst » 
vessie en forme de larme/teardrop 
Peut extravaser vers cuisse, périné, OGE, paroi abdo
Rupture vésicale intrapéritonéale 
Déchirure horizontale large dans le dôme vessie 
portion de la vessie moins « soutenue » 
seule portion de la vessie adjacente/couverte par péritoine 
plus grande proportion antan chez l’enfant
Rupture vésicale intrapéritonéale 
urine se déverse dans la cavité péritonéale 
délais possibles dans le diagnostic 
anomalies électrolytiques 
fausse anurie
Rupture vésicale intrapéritonéale 
Cystographie 
Extravasation dans la cavité péritonéale 
Contraste le long des anses 
dans les gouttières paracoliques 
sous le diaphragme
Rupture vésicale combinée (extra & 
intrapéritonéale) 
Cystographie 
Extravasation dans la cavité péritonéale 
Extravasation dans l’espace périvésical 
Habituellement avec trauma pénétrant
Présentation clinique 
Douleur abdominale suprapubienne 
Hématurie 
Incapacité d’uriner / Difficulté à uriner
Présentation clinique 
Douleur abdominale suprapubienne 
Distension abdominale 
Ressaut, défense, rebond 
Péristaltisme diminué, absent, iléus 
Vérifier prostate chez l’adolescent
Présentation clinique 
Hématurie 
Quasi-toujours présente (98%) 
Souvent macroscopique 
+/- 10% microscopique 
Si sang au méat, penser à lésion urétrale 
urétrographie rétrograde avant de cathétérisme à l’aveugle
Présentation clinique 
Incapacité d’uriner / Difficulté à uriner 
Pas chez tous les patients… 
Miction présente n’égale pas absence de rupture
Traitement conservateur 
pour RUPTURE EXTRAPÉRITONÉALE 
cathéter Foley pour 10-14 jours 
Cystographie de contrôle 
85% seront guéries @ 7-10 jours 
presque toutes à 3 semaines
Traitement chirurgical 
pour RUPTURE INTRAPÉRITONÉALE 
très rares cas de Tx conservateur 
haut risque d’ascite urinaire, urémie, acidose 
Exploration et réparation, via sutures 
résorbables en continu 
Cathéter Foley aussi laissé en place qq jours 
• Cystographie de contrôle
• Cystographie de notre patiente 
• J#3 post-op

Un trauma abdominal intéressant

  • 1.
    Du contraste inexplicable… Benoit Carrière MD 6 novembre 2014 CHU Ste-Justine - Service Médecine d’Urgence Pédiatrique
  • 2.
    Début de nuithabituel… 15-20 patients pas encore vus en avant… 7-8 transferts de patients couchés, en attente d’hospit ou avec bilans en cours
  • 3.
    …et comme ça peut nous arriver… Appel pris par collègue de soir - 23h00 Peu d’infos transmises une petite blessée attendue avec une douleur abdominale… Rappelez-vous vous-même?
  • 5.
    Circonstances de l’accident fillette de 6 ans dormait dans l’auto passagère arrière d’une voiture allant à 100 km/h face à face vers 19h00
  • 6.
    Sur la scène Encore attachée, trois points (?) Pas de perte de conscience, pas de convulsion Plainte spontanée de douleur abdominale Pas de plaie, pas de signes de fracture Pas de cervicalgie
  • 7.
    Transportée P &C au centre hospitalier référant Approche ATLS Stable au niveau A-B Au niveau cardio-vasculaire: FC 120-150 TA normales-hautes 120-135/80-85
  • 9.
    vomissements à 5-6reprises, nausée Douleur abdominale importante, ballonnement ecchymose a/n quadrant inférieur
  • 11.
    Transfert demandé Équipeinquiète de la douleur abdominale FAST négatif à 2 reprises Trauma rate? Seat belt injury?
  • 12.
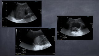
    Évaluation chez nous Urgence - 3h30 AM ABC stables neuro N Douleur et ballonnement abdo importants FAST +
  • 14.
    Évaluation chez nous Urgence NPO Consult TRAUMA Écho abdo 5h15 Ascite important Doute sur perforation intestinale Aspect irrégulier de la vessie - perforation?
  • 15.
    Évaluation chez nous Urgence PSA Air libre ++++ Contraste (?!?) a/n 2 reins Contraste entre les anses digestives
  • 17.
    Passé à côté… Écho abdominale formelle effectuée au centre référant - 21h45 SCAN abdo-pelvien C+ fait au centre référant - 22h45 liquide libre perforation intestinale? pas de sonde urinraire en place, pas de contraste vessie
  • 18.
    Salle d’op enfin de nuit Laparoscopie exploratoire Perforation vésicale réparée Aucune perforation digestive notée
  • 19.
  • 20.
    Rupture vésicale «plus la vessie est remplie, plus les risques d’une rupture sont importants »
  • 21.
    Rupture vésicale Traumacontondant Trauma pénétrant Cause iatrogénique Rupture spontanée
  • 22.
    TTrraauummaa ccoonnttoonnddaanntt TTrraauummaa pénétrant CCaauussee iatrogénique RRuuppttuurree spontanée AAcccciiddeenntt dd’’aauuttoo Décélération ppllaaiiee ppaarr bbaallllee CChhxx uurroollooggiiqquuee cchheezz ll’’aadduullttee 1100%% ddeess ffrraaccttuurreess dduu bbaassssiinn arme blanche CChhxx oobbssttééttrrccaallee AAllccoooolliiqquuee CCoouupp ddee ppooiinngg//ppiieedd sur vessie pleine ppeennsseerr àà bblleessssuurreess aassssoocciiééeess Chx orthopédique CChhxx aannttéérriieeuurree (trauma minime) BBaalllloonn ddee soccer/football CChhxx llaappaarroossccooppiiqquuee en pédiatrie
  • 23.
    Rupture vésicale Extrapéritonéale Intrapéritonéale Combinée (extra & intrapéritonéale)
  • 24.
    Rupture vésicale extrapéritonéale 90-100% de cas sont associées à des Fx bassin surtout de l’arche antérieur du pubis parfois par spicules osseux pas toujours même force déchirante entre fixité du bassin et inertie d’une vessie
  • 25.
    Rupture vésicale extrapéritonéale Cystographie Extravasation de contraste à la base de la vessie espace périvésical aspect en flammes, en plumes, « starburst » vessie en forme de larme/teardrop Peut extravaser vers cuisse, périné, OGE, paroi abdo
  • 26.
    Rupture vésicale intrapéritonéale Déchirure horizontale large dans le dôme vessie portion de la vessie moins « soutenue » seule portion de la vessie adjacente/couverte par péritoine plus grande proportion antan chez l’enfant
  • 27.
    Rupture vésicale intrapéritonéale urine se déverse dans la cavité péritonéale délais possibles dans le diagnostic anomalies électrolytiques fausse anurie
  • 28.
    Rupture vésicale intrapéritonéale Cystographie Extravasation dans la cavité péritonéale Contraste le long des anses dans les gouttières paracoliques sous le diaphragme
  • 29.
    Rupture vésicale combinée(extra & intrapéritonéale) Cystographie Extravasation dans la cavité péritonéale Extravasation dans l’espace périvésical Habituellement avec trauma pénétrant
  • 30.
    Présentation clinique Douleurabdominale suprapubienne Hématurie Incapacité d’uriner / Difficulté à uriner
  • 31.
    Présentation clinique Douleurabdominale suprapubienne Distension abdominale Ressaut, défense, rebond Péristaltisme diminué, absent, iléus Vérifier prostate chez l’adolescent
  • 32.
    Présentation clinique Hématurie Quasi-toujours présente (98%) Souvent macroscopique +/- 10% microscopique Si sang au méat, penser à lésion urétrale urétrographie rétrograde avant de cathétérisme à l’aveugle
  • 33.
    Présentation clinique Incapacitéd’uriner / Difficulté à uriner Pas chez tous les patients… Miction présente n’égale pas absence de rupture
  • 34.
    Traitement conservateur pourRUPTURE EXTRAPÉRITONÉALE cathéter Foley pour 10-14 jours Cystographie de contrôle 85% seront guéries @ 7-10 jours presque toutes à 3 semaines
  • 35.
    Traitement chirurgical pourRUPTURE INTRAPÉRITONÉALE très rares cas de Tx conservateur haut risque d’ascite urinaire, urémie, acidose Exploration et réparation, via sutures résorbables en continu Cathéter Foley aussi laissé en place qq jours • Cystographie de contrôle
  • 36.
    • Cystographie denotre patiente • J#3 post-op