Dr Michel Roy
Pédiatre Urgentologue 2018
Traumatologie pédiatrique mineure
Prise en charge des blessures fréquentes chez les enfants
Important 2018
• Curriculum des résidents
• Particularités pédiatriques
• Interprétation radiographie
Rayon X à l’Urgence
• Étude rétrospective urgence du CHU
Ste-Justine:
1 Radiographie demandé à chaque
3 patients vu à l’urgence (1649/4500)
Accuracy of emergency room physicians interpretation of elbow
fractures in children.
Shrader MW1et Al.
Orthopedics. 2008 Dec;31(12)
.
• 30 cas
• Urgences adultes
• Bon diagnostic: 16/30 (53%)
Histoire
Classiques
Barres parallèles Trampoline à 2
Objectifs Pédagogiques
1. Bon test au bon patient
2. Particularités pédiatriques
3. Nouveautés prise en charge des
blessures fréquentes
Bonne imagerie
• Radiographie ciblée (payant)
• Rarement, contro latéral (pas d’emblée)
• Examen physique (type détective)
Théorie du Gros Pouce
If Oedema there is…
Then Fracture you shall seek…
Règle des radiographies du crâne?
A. Gravel rule
B. R2D2
C. Catch
D. C3P0
E. Pecarn
Derivation and validation of a clinical decision rule to identify
young children with skull fracturefollowing isolated head trauma.
Gravel J1, Gouin S2, Chalut D2, Crevier L2, Décarie JC2
CMAJ. 2015 Nov 3
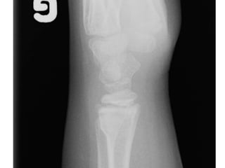
Diagnostic ?
A. Salter 1
B. Entorse cheville
C. Entorse haute
D. Salter 3
E. Avulsion
Fracture de Tillaux
• Salter 3
• Fracture de la portion latéral de
l’épiphyse du tibia distal
• La portion médiane de la physe du tibia
ayant déjà commencé à se fusionner
Conduite
• Atelle postérieure
• Référé 24 heures
• Aviser résident de garde ortho
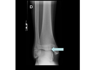
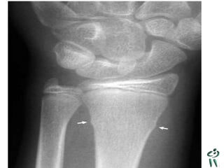
Diagnostic
A. Torus
B. Fx métaphysaire
C. Entorse
D. Salter 1
E. Salter 2
Anatomie
Diaphyse
Métaphyse
Épiphyse
Physe
Anatomie
Classification Salter Harris
Adapted from Disorders and Injuries of the Musculoskeletal
System, 3rd Edition, Robert B. Salter, Baltimore, Williams and Wilkins, 1999
Mnémotechnique
Fracture de Salter la plus fréquente ?
A. Salter 1
B. Salter 2
C. Salter 3
D. Salter 4
E. Salter 5
Salter 2
Réduction si rotation
Torus
• Buckle ou motte de beurre
• Fracture la plus fréquente en pédiatrie
Immobilisation Torus?
A. Atelle
B. Plâtre AB
C. Plâtre BAB
D. Rien
E. Écharpe
Pediatric wrist buckle fractures. Should we just splint and go?
Plint AC et Al. CMEJ 2004.
• 309 Fractures en Torus
• 0 déplacé
• 11 % Complications du plâtre
A randomized, controlled trial of removable splinting versus
casting for wrist buckle fractures in children.
Plint AC1 et Al. Pediatrics 2006
• RCT 87 patients
• Plâtre vs Atelle
• Guérison idem
• Meilleur satisfaction groupe Atelle
A RCT of cast versus splint for distal radial buckle fracture
Williams KG et Al.
Ped Emerg Care 2013
• Prospective randomisé avec un
échantillon de convenance
• Plâtre vs Atelle
• Plus grande satisfaction avec Atelle
Atelle suffisant
Nouveauté
The role of serial radiographs in the management of pediatric
torus fractures.
Farbman KS1,
Arch Pediatr Adolesc Med. 1999 Sep
• 70 patients
• Entre 0 et 3 suivi
• Pas de complications
• Conclusion: Pas de suivi nécessaire
DIAGNOSTIC DIFFÉRENTIEL
Complète, déplacée
Incomplète, bois vert,
un cortex
Incomplète, torus,
aucun bris
Atelle ou Plâtre
AB (avant bras)
Réduction et Plâtre
Fx Toddler (9-36 mois)
• Suspicion clinique
Suspicion Toddler
• Radiographie négative
• 2h am
• Conduite ? Controverse
Management of Toddler's Fractures in the Pediatric Emergency
Department.
Pediatr Emerg Care. 2016
Schuh .
– Étude retrospective (9 mois à 3 ans)
– Rx +
– 90% des patients immobilisé à l’urgence
– 17% ont développé des lésions cutanées
– Aucune différence outcome
– Conclusion: Immobilisation non obligatoire
Nationwide survey on current management strategies of
toddler's fractures.
Seguin J et Al
CJEM. 2017 Jul 26:1-7.
– Toddler (Rx -) 14% Cruro pédieux
– Toddler (Rx +) 39% Cruro pédieux
Nouveauté 2018
• Rx + Plâtre Cruropédieux
(Lendemain matin si soir ou nuit)
• Rx négatif Pas de mise en charge forcée
Suivi 1 semaine
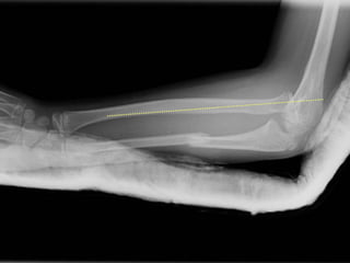
Diagnostic ?
A. Fx olécrâne
B. Fx Cubitus
diaphysaire
C. Monteggia
D. Galleazzi
E. X Wing
Monteggia
Piège Radiologique
• Rx avant bras
• Rx coude
Land Speeder
• Chute dans les escaliers
• Refus mobilisation MSD
• Position antalgique
Examen
• Collabore pas
• Refus de mobilisation
MSD
Faire examiner le parent
Fracture Clavicule
• Très fréquent
– Chute de vélo
– Chute dans l’escalier
• Position antalgique caractéristique en
fonction de l’âge
Particularités
Nouveauté 2018
• Ibuprofène aussi bon que morphine sans
les effets secondaires!
Conduite
1. Immobilisation
2. Fentanyl 1-2 mcg/kg IN
Poing Pouce Étoile
Médian Radial Cubital
Perle clinique
• Flexion IPD index;
– branche distale du médian
Entrer le texte de la question
A. Kétamine seul
B. Kétofol
C. Propofol
D. Kétamine et
Fentanyl
E. NO et Fentanyl
Risk Factors for Adverse Events in Emergency Department Procedural
Sedation for Children
Maala Bhatt, MD, MSc et Al
JAMA Pediatr. August 21, 2017.
• Étude multicentrique 6295 enfants sédation
consciente, 6 urgences pédiatriques au Canada
• Effet secondaire significatif (SAE)
– Kétamine seul (0,4%)
– Kétamine et propofol (2,5%)
– Propofol (3,7%)
– Kétamine et Fentanyl (4,1%)
Perle clinique
Quand référer ?
Merci

Traumatoped drm roy