L’EMBROCHAGE CENTRO MEDULLAIRE
ELASTIQUE STABLE CHEZ L’ENFANT
(ECMES)
R.Elbaum,C.Matriche
Clinique Edith Cavell/Hôpital Erasme
PREAMBULE
 L ’enfant n’est pas un petit adulte
 Particularités propres à la traumatologie
pédiatrique
 Connaissance du potentiel de remodelage
mais ne pas le surestimer
 Connaissance RX des points d ’ossifications
« L’âge osseux est tout ,l’âge légal n’est rien »
J.Quintin RMB 2011
NOTIONS PRELIMINAIRES
 La traumatologie infantile représente la
première cause de décès chez l’enfant.
 C’est également la première cause de
séquelle et d’indemnisation du dommage
corporel chez l’enfant.
 C’est aussi le premier motif d’hospitalisation
de l’enfant.
NOTIONS PRELIMINAIRES
 FRACTURES = 10 à 25% trauma chez l’enfant
 Risque pour un enfant de se fracturer entre 0 et
16 A:
 45% chez le garçon
27% chez la fille
 La fracture est plus fréquente du côté non
dominant.
 La fracture du poignet : 20 à 35 % des fractures
de l’enfant.
 Le coude est une localisation fréquente de
fractures nécessitant un traitement chirurgical.
FACTEURS ETIOLOGIQUES
 JEUX 25%
 SPORT 21%
 AVP 12%
CARACTERISTIQUE DE L’OS DE
L’ENFANT
 Os pédiatrique = structure modelable et
élastique , moins rigide mais moins résistante
que l’adulte
 Ligaments plus résistants chez l ’enfant .
 Décollements épiphysaires plus fréquents,
entorses et luxations plus rares.
 Potentiel de remodelage fonction de l ’âge,
distance par rapport à la physe, localisation...
POTENTIEL DE REMODELAGE
Différence anatomique par rapport à
l ’adulte
 Présence d ’un cartilage
de croissance
 Présence d’un périoste
épais
 Epiphyse cartilagineuse
rarement lésé
 Corticale métaphysaire
plus fine, médullaire
plus poreuse, périoste
plus adhérent
Différence biomécanique par rapport à
l ’adulte
 Os pédiatrique plus poreux
 Porosité osseuse diminue la propagation
du trait fracturaire
 existence de déformations élastiques
 Rôle du périoste plus épais:
1. Stabilisateur
2. Favorise la consolidation
3. Rôle actif dans l’ostéogénèse réparatrice
Il faut donc le préserver !!!
LE ROLE DU PERIOSTE
ROLE DU PERIOSTE
Fracture sous contrainte en flexion
l’os rompt sur le versant en tension
Fracture sous contrainte de flexion et de
compression
présence d’un trait transversal et oblique
LE CLOU DE NANCY ou ECMES
 Ecole de Nancy
 1983
 Ender modifié
 Opposé au dogme
de l’ostosynthèse
rigide de l’AO
 Inox ou Titane
JP METAIZEAU
PRINCIPE
 Ostéosynthèse élastique destiné à réduire et
à stabiliser .
 Concept:
2 broches cintrées
3points d’appui
BIOMECANIQUE
 Stabilité à la flexion
 Stabilité axiale
 Stabilité en
translation
 Stabilité en rotation
INDICATIONS
 L’enclouage centromédullaire élastique stable
par clous TEN est indiqué à la base pour le
traitement de fractures diaphysaires et
métaphysaires chez l’enfant.
 Ses indications concrètes dépendent de
trois facteurs: l’âge du patient
le type de fracture
la localisation de la fracture
INDICATIONS
 Age
 La limite d’âge dépend du développement
biologique de l’enfant.
 En pratique , la limite inférieure est de 5 ou 6
ans et la limite supérieure de 13 à 15 ans.
INDICATIONS
 Type de fracture
 – Fractures transversales
 – Fractures transversales et obliques courtes en
aile de papillon
 – Fractures obliques longues avec possibilité
d’appui cortical
 – Fractures spiroïdes
 – Fractures multi-fragments et bifocales
 – Fractures pathologiques en cas de kystes
osseux juvéniles
INDICATIONS
 Localisation de la fracture
 – Fémur: diaphysaire
 – Fémur: métaphysaire distale
 – Fémur: sous-trochantérienne
 – Jambe: diaphysaire
 – Jambe: métaphysaire distale
 – Humérus: diaphysaire et sous-
capitale
 – Humérus: supra condylienne
 – Radius et cubitus: diaphysaire
 – Radius: col
INDICATIONS
 Autres indications possibles
 – Fractures de l’humérus, du radius ou cubitus
chez l’adulte
 – Polytrauma avec traumatisme cranio-
cérébral, même en-dehors des limites d’âge
 # Ouverte (<6H +AB)
 – Kystes osseux juvéniles Fémur(stabilisation
prophylactique)
 – Ostéogenèse imparfaite
CONTRES INDICATIONS
 RELATIVE
 # Ouverte
 # Epiphysaire
 < 3A
 ABSOLUE
 ???
TECHNIQUE OPERATOIRE
TECHNIQUE OPERATOIRE
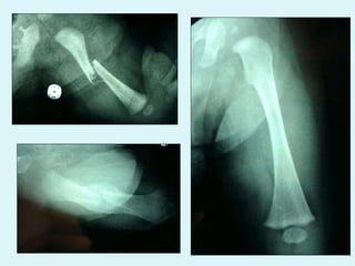
FRACTURE DU FEMUR
FRACTURE FEMUR
FRACTURE 2 OS AVANT BRAS
FRACTURE TETE RADIALE
AUTRES LOCALISATIONS
FRACTURE TIBIA FRACTURE HUMERUS
VIDEO
CONCLUSION
 L’ECMES représente la technique d’ostéosynthèse
de choix en traumatologie pédiatrique
 Elle respecte les zones de croissance, l’hématome
fracturaire et l’intégrité du fourreau périosté.
 Elle ne nécessite pas d’immobilisation plâtrée
postop.
 Sa conception simple ne nécessite pas d’ancillaire
sophistiqué et permet de réaliser un grand nombre
de montage différent et peut s’adapter à de
nombreuses situations
 Ses limites existent mais sont extrèmement limitées
Bibliographie
 Firica A, Popescu R, Scarlet. M et coll. Ostéosynthèse stable élastique. Nouveau concept
biomécanique. Etude expérimentale. Rev Chir Orthop 1981 ; 67 (suppl 2) : 82-91.
 Teot L. L’enclouage centromédullaire élastique stable chez l’enfant Cahier d’enseignement de
la Sofcot. Conférences d’enseignement 1987 ; pp. 71- 90
 Metaizeau JP, Ligier JN. Le traitement chirurgical des fractures des os long chez l’enfant. J Chir
1984 ; 121 : 527-37.
 Prevot J, Metaizeau JP, Ligier JN, Lascombes P, Lesur E, DautelG. Embrochage
centromedullaire élastique stable, EMC (Paris,France), technique chirurgicale orthopédie-
traumatologie, 1993 ; 13p : 44-108.
 Narayanan UG, Hyman JE, Wainwright AM, Rang M, AlmanBA. Complications of elastic stable
intramedullary nail fixationof pediatric femoral fractures, and how to avoid them. J Pediatr Orthop
2004 ; 24 (4) : 363-9.
 Bourdella D, Sanguina M. Fractures of the femoral diaphysis in children. Ascending or
descending centro medullary nailing, a choice of principale or of a necessity. Ann Radiol 1991 ;
34 (5) : 338-43.
 Lascombes P. Embrochage centromedullaire élastique stable en traumatologie pédiatrique ;
données actuelles. Cahier d'enseignement de la Sofcot, conférences d'enseignement 2001;
 Ozturkmen et Col Intramedullary stabilization of pediatric diaphyseal femur fractures with
elasticEnder nails. Acta Orthop Traumal Turc 2002 ; 36 (3) : 220-
 Embrocharge Centro Médulleaire Elastique Stable (ECMES)
pour le Traitement des Fractures diaphysiares et métapysaires du fémur
chez l’enfant
NHAUO Meng Hun, THO Ly, PEN Monyrath, et al.
UNIVERSITY OF HEALTH SCIENCES, PHNOM PENH ,
CAMBODIA 24-27 JANUARY 2011
Résumé: étude rétrospective portant sur 244 cas des fractures diaphysaires
et métaphysaires du fémur de l’enfant durant une période de 9 ans (1er février
1999 au 1er février 2008). L’accident de la voie publique représente l’étiologie
la plus fréquente (78%), la tranche d’âge de 11ans –14ans est prédominante
(57%). Les résultats obtenus sont excellents (96%). La durée d’hospitalisation
est courte, en moyenne 13 jours, qui n’interrompt pas la scolarité. La morbidité
de type d’infection banale de la plaie d’incision est de 4%. Les cals vicieux,
l’infection osseuse, et la mortalité sont nuls.
MERCI

L'embrochage centromédullaire élastique stable (ECMES) chez l'enfant

  • 1.
    L’EMBROCHAGE CENTRO MEDULLAIRE ELASTIQUESTABLE CHEZ L’ENFANT (ECMES) R.Elbaum,C.Matriche Clinique Edith Cavell/Hôpital Erasme
  • 2.
    PREAMBULE  L ’enfantn’est pas un petit adulte  Particularités propres à la traumatologie pédiatrique  Connaissance du potentiel de remodelage mais ne pas le surestimer  Connaissance RX des points d ’ossifications « L’âge osseux est tout ,l’âge légal n’est rien » J.Quintin RMB 2011
  • 3.
    NOTIONS PRELIMINAIRES  Latraumatologie infantile représente la première cause de décès chez l’enfant.  C’est également la première cause de séquelle et d’indemnisation du dommage corporel chez l’enfant.  C’est aussi le premier motif d’hospitalisation de l’enfant.
  • 4.
    NOTIONS PRELIMINAIRES  FRACTURES= 10 à 25% trauma chez l’enfant  Risque pour un enfant de se fracturer entre 0 et 16 A:  45% chez le garçon 27% chez la fille  La fracture est plus fréquente du côté non dominant.  La fracture du poignet : 20 à 35 % des fractures de l’enfant.  Le coude est une localisation fréquente de fractures nécessitant un traitement chirurgical.
  • 5.
    FACTEURS ETIOLOGIQUES  JEUX25%  SPORT 21%  AVP 12%
  • 6.
    CARACTERISTIQUE DE L’OSDE L’ENFANT  Os pédiatrique = structure modelable et élastique , moins rigide mais moins résistante que l’adulte  Ligaments plus résistants chez l ’enfant .  Décollements épiphysaires plus fréquents, entorses et luxations plus rares.  Potentiel de remodelage fonction de l ’âge, distance par rapport à la physe, localisation...
  • 7.
  • 10.
    Différence anatomique parrapport à l ’adulte  Présence d ’un cartilage de croissance  Présence d’un périoste épais  Epiphyse cartilagineuse rarement lésé  Corticale métaphysaire plus fine, médullaire plus poreuse, périoste plus adhérent
  • 11.
    Différence biomécanique parrapport à l ’adulte  Os pédiatrique plus poreux  Porosité osseuse diminue la propagation du trait fracturaire  existence de déformations élastiques  Rôle du périoste plus épais: 1. Stabilisateur 2. Favorise la consolidation 3. Rôle actif dans l’ostéogénèse réparatrice Il faut donc le préserver !!!
  • 12.
    LE ROLE DUPERIOSTE
  • 13.
  • 14.
    Fracture sous contrainteen flexion l’os rompt sur le versant en tension
  • 15.
    Fracture sous contraintede flexion et de compression présence d’un trait transversal et oblique
  • 16.
    LE CLOU DENANCY ou ECMES  Ecole de Nancy  1983  Ender modifié  Opposé au dogme de l’ostosynthèse rigide de l’AO  Inox ou Titane JP METAIZEAU
  • 17.
    PRINCIPE  Ostéosynthèse élastiquedestiné à réduire et à stabiliser .  Concept: 2 broches cintrées 3points d’appui
  • 18.
    BIOMECANIQUE  Stabilité àla flexion  Stabilité axiale  Stabilité en translation  Stabilité en rotation
  • 19.
    INDICATIONS  L’enclouage centromédullaireélastique stable par clous TEN est indiqué à la base pour le traitement de fractures diaphysaires et métaphysaires chez l’enfant.  Ses indications concrètes dépendent de trois facteurs: l’âge du patient le type de fracture la localisation de la fracture
  • 20.
    INDICATIONS  Age  Lalimite d’âge dépend du développement biologique de l’enfant.  En pratique , la limite inférieure est de 5 ou 6 ans et la limite supérieure de 13 à 15 ans.
  • 21.
    INDICATIONS  Type defracture  – Fractures transversales  – Fractures transversales et obliques courtes en aile de papillon  – Fractures obliques longues avec possibilité d’appui cortical  – Fractures spiroïdes  – Fractures multi-fragments et bifocales  – Fractures pathologiques en cas de kystes osseux juvéniles
  • 22.
    INDICATIONS  Localisation dela fracture  – Fémur: diaphysaire  – Fémur: métaphysaire distale  – Fémur: sous-trochantérienne  – Jambe: diaphysaire  – Jambe: métaphysaire distale  – Humérus: diaphysaire et sous- capitale  – Humérus: supra condylienne  – Radius et cubitus: diaphysaire  – Radius: col
  • 23.
    INDICATIONS  Autres indicationspossibles  – Fractures de l’humérus, du radius ou cubitus chez l’adulte  – Polytrauma avec traumatisme cranio- cérébral, même en-dehors des limites d’âge  # Ouverte (<6H +AB)  – Kystes osseux juvéniles Fémur(stabilisation prophylactique)  – Ostéogenèse imparfaite
  • 24.
    CONTRES INDICATIONS  RELATIVE # Ouverte  # Epiphysaire  < 3A  ABSOLUE  ???
  • 25.
  • 26.
  • 27.
  • 28.
  • 29.
    FRACTURE 2 OSAVANT BRAS
  • 30.
  • 31.
  • 32.
  • 33.
    CONCLUSION  L’ECMES représentela technique d’ostéosynthèse de choix en traumatologie pédiatrique  Elle respecte les zones de croissance, l’hématome fracturaire et l’intégrité du fourreau périosté.  Elle ne nécessite pas d’immobilisation plâtrée postop.  Sa conception simple ne nécessite pas d’ancillaire sophistiqué et permet de réaliser un grand nombre de montage différent et peut s’adapter à de nombreuses situations  Ses limites existent mais sont extrèmement limitées
  • 34.
    Bibliographie  Firica A,Popescu R, Scarlet. M et coll. Ostéosynthèse stable élastique. Nouveau concept biomécanique. Etude expérimentale. Rev Chir Orthop 1981 ; 67 (suppl 2) : 82-91.  Teot L. L’enclouage centromédullaire élastique stable chez l’enfant Cahier d’enseignement de la Sofcot. Conférences d’enseignement 1987 ; pp. 71- 90  Metaizeau JP, Ligier JN. Le traitement chirurgical des fractures des os long chez l’enfant. J Chir 1984 ; 121 : 527-37.  Prevot J, Metaizeau JP, Ligier JN, Lascombes P, Lesur E, DautelG. Embrochage centromedullaire élastique stable, EMC (Paris,France), technique chirurgicale orthopédie- traumatologie, 1993 ; 13p : 44-108.  Narayanan UG, Hyman JE, Wainwright AM, Rang M, AlmanBA. Complications of elastic stable intramedullary nail fixationof pediatric femoral fractures, and how to avoid them. J Pediatr Orthop 2004 ; 24 (4) : 363-9.  Bourdella D, Sanguina M. Fractures of the femoral diaphysis in children. Ascending or descending centro medullary nailing, a choice of principale or of a necessity. Ann Radiol 1991 ; 34 (5) : 338-43.  Lascombes P. Embrochage centromedullaire élastique stable en traumatologie pédiatrique ; données actuelles. Cahier d'enseignement de la Sofcot, conférences d'enseignement 2001;  Ozturkmen et Col Intramedullary stabilization of pediatric diaphyseal femur fractures with elasticEnder nails. Acta Orthop Traumal Turc 2002 ; 36 (3) : 220-
  • 35.
     Embrocharge CentroMédulleaire Elastique Stable (ECMES) pour le Traitement des Fractures diaphysiares et métapysaires du fémur chez l’enfant NHAUO Meng Hun, THO Ly, PEN Monyrath, et al. UNIVERSITY OF HEALTH SCIENCES, PHNOM PENH , CAMBODIA 24-27 JANUARY 2011 Résumé: étude rétrospective portant sur 244 cas des fractures diaphysaires et métaphysaires du fémur de l’enfant durant une période de 9 ans (1er février 1999 au 1er février 2008). L’accident de la voie publique représente l’étiologie la plus fréquente (78%), la tranche d’âge de 11ans –14ans est prédominante (57%). Les résultats obtenus sont excellents (96%). La durée d’hospitalisation est courte, en moyenne 13 jours, qui n’interrompt pas la scolarité. La morbidité de type d’infection banale de la plaie d’incision est de 4%. Les cals vicieux, l’infection osseuse, et la mortalité sont nuls.
  • 37.