Gastrites (lésions pré-cancéreuses de l’estomac) Un point en 2011Casablanca, 12 mars 2011Jean-François Fléjou,Service d’Anatomie PathologiqueHôpital Saint-Antoine, AP-HP, Faculté de Médecine Pierre et Marie CurieParis.
Helicobacter pylori à Carrefour Pathologie3 interventions qui montrent l’évolution des idées!Semaine d’Anatomie et de Cytologie Pathologiques 1989 : « Le Campylobacter pylori est-il coupable? »
Carrefour Pathologie 1995 : « Pathologies liées à Helicobacter pylori »
Carrefour Pathologie 2002 : « Nouveaux concepts dans la physiopathologie de l’infection par Helicobacter pylori »Une littérature abondante, mais en plateau?Medline 1985-2010 « Campylobacter pylori – Helicobacter pylori»
Diagnostic de l’infection sur biopsies gastriques Nombre et site des biopsies :
 classiquement, 2 biopsies antrales
 Système de Sydney : 2 biopsies antrales + 1 biopsie de l’angle de la PC, + 2 biopsies fundiques (+ 1 biopsie du « cardia »??)
 La nécessité des biopsies fundiques est renforcée par la fréquence des biopsies prélevées sous traitement (IPP, ABth)Diagnostic de l’infection sur biopsies gastriques Colorations :
 standard HE(S) : 70% (?), par visualisation des bactéries, et des signes caractéristiques de l’infection.
 colorations spéciales (pas spécifiques) : Whartin-Starry, Giemsa, crésyl violet, acridine orange, Genta etc…
 Immunohistochimie :  ? Utilité dans les cas ou les bactéries sont rares, de siège inhabituel, coccoïdes
Classification de Whitehead (1972)
Classification des gastrites basée sur la répartition de l’inflammation et de l’atrophie : le système de SydneyH pylori +++
Pourquoi une classification des gastrites basée sur la répartition de l’inflammation et de l’atrophie ?UG       Cancer                       UD
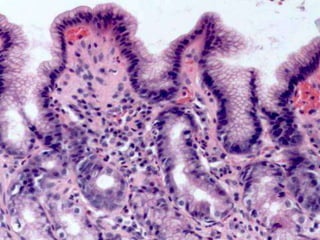
Aspect histologique « classique » de la gastrite chronique à H pyloriPolynucléaires (activité)
Lymphocytes et plasmocytes
Follicules lymphoïdes
Lésions épithéliales en surface
Hyperplasie des cryptes
+/- Atrophie
+/- Métaplasie intestinaleLes signes « caractéristiques »seraient devenus moins constants?
Helicobacter pylori et pathologie quelques questions imparfaitement résolues Diagnostic et grade de l’atrophie (sans métaplasie?)
 Evolution des lésions après traitement
H pylori et cardia, reflux, cardite, ultra-court EBO…Evolution des lésions après traitement Activité : quelques heures
 Infiltrat mononucléé : quelques mois
 Atrophie et métaplasie : ?
La tendance est contre une disparition
L’atrophie légère avant traitement (sans métaplasie) est-elle une atrophie?
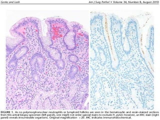
 Réversion de la cancérogenèse ??Difficultés du diagnostic ACP2 situations Gastrite à Helicobacter sans Helicobacter visible

Amp gastrites casablanca 2011