Osias Darlène , Résident 1 
Service de Médecine interne - HUEH 
Juin 2009
 Introduction 
 Objectifs 
 Définition 
 Épidémiologie 
 Rappel anatomique 
 Physiopathologie 
 Étiologie 
 Dx clinique 
 Dx paraclinique 
 Traitement 
 Évolution / Pronostic 
 Cas clinique 
 Conclusion 
 Bibliographie 
 Remerciements
INTRODUCTION 
 Vieillissement : processus physiologique 
aboutissant a une diminution des reserves 
fonctionnelles de l’organisme qui a l’etat de 
base est latente. 
 Capacites d’adaptation de l’individu age sont 
reduites. 
 Expression des maladies chez sujet age s’en 
trouve svt modifiee ce qui concourt a 
l’originalite de la semiologie geriatrique
INTRODUCTION 
 Infections de l’appareil respiratoire forment 1 
chapitre majeur des infections du sujet age, 
en raison de leur grde frequence, et de leur 
gravite tres > a celle des adultes + jeunes. 
 Sont communes, et apres 65 ans : risque 
pour IRB est 3-10 fois + eleve qu’avant 65 
ans, augmentant avec grd age, deterioration 
de l’etat physiologique et comorbidites 
eventuelles
……………. SUITE 
 Sont + graves et, etant chez SA 1ere des 
pathologies infectieuses, constituent 3eme motif 
d’hospitalisation de cette tranche d’age. 
 Dx habituellement + complexe, devant clinique 
– nette, examens complementaires + difficiles a 
realiser 
 Projection sur l’avenir : progression en chiffres 
absolus du nbre de Pn chez SA, compte tenu de 
l’accroissement de longevite ds pays industriali-ses, 
(19 ans chez femmes et de 14 ans chez 
hoes depuis debut siecle)
 Reconnaître les specifites de la 
pneumonie du sujet age tant sur le 
plan physiopathologique et clinique 
que microbiologique 
 Savoir l’importance des comorbidites 
comme facteur favorisant leur 
survenue 
 Argumenter l’attitude therapeutique 
et planifier le suivi du patient
VIEILLESSE 
 Societe : age de l’arret de l’activite 
professionnelle (55-60 ans) 
 OMS : age de 65 ans et + 
 Pouvoirs publics : age de recours aux 
services de maintien a domicile (environ 75 
ans) 
 Geriatre : age d’entrée en institution 
(environ 85 ans)
PERSONNES AGEES 
1963 2006 
3eme age 
60-74 70-84 
4eme age 
75 et + 85 et +
Pneumonie du pathologue : 
- Reponse inflammatoire dans le poumon, 
causee / un agent infectieux qui attaque 
les alveoles et les bronches terminales 
- Poumon augmente en poids ; alveoles se 
remplissent de GR, GB et fibrine
 Pneumonie du 
clinicien : 
Combinaison de : 
- Symptomes 
- Signes 
- Opacite a la ra-diographie 
- Hyperleucocy-tose, 
desatura-tion
 Pneumonie du geriatre : 
- Degradation de l’etat general 
- Passivite soudaine 
- Confusion 
- Chutes 
- Acceleration FR (> 28/mn)
 Communautaires (PAC) : acquises hors de l’hopital 
 Nosocomiales : acquises apres 48 hres a l’hopital 
 Acquises en institution : sont des PAC par definition, 
car lieu de vie 
 PAC si residents ambulatoires, peu de comorbidites 
 Quasi-nosocomiales si comorbidites lourdes, 
dependance, grabatisation
 Internationale 
 Statistiques a l’HUEH au SMI
AMPLEUR DU PROBLÈME 
(DONNÉES USA) 
- 6 ème cause de Décès 
- 1ère cause de Décès d’origine infectieuse 
- Mortalité de 5.1 % si traitement ambula-toire 
- Mortalité de 13.6 % si traitement à l’Hô-pital 
- Mortalité de 36.5 % si traitement en Réani-mation
Risque infectieux pulmonaire 
particulierement eleve en institution 
 Moyenne d’age > 80 ans, polypathologie, dependance 
 incidence des IRB serait x 10 
68 a 114 cas / 1000 ( Leophonte, 1999) 
 pneumopathies a pneumocoques x 3 
risque majore pour pneumocoque invasif 
( bacteriemique) x 4 
 risque epidemique (virus, pneumocoque, 
legionnelle) 
 frequence des BGN
 Incidence des Pn. Aigues communautaires augmente 
avec l’age 
60-74 ans 15 cas / 1000 
75 ans et + 34 cas / 1000
Pneumonia and death in the elderly: 
 5106 autopsies > 80 years: 
Pneumonia is the leading cause of 
death 
Ishii T., Age Ageing;1980;9:81-89 
 Prévalence dix fois plus importante que chez le 
jeune 
 En 1990 (UK) 95% des décès liés à une 
pneumonie surviennent après 65 ans et 25000 
morts de pneumonie
La pneumonie du sujet âgé: 
 Prévalence dix fois plus importante que chez le 
jeune 
 En 1990 (UK) 95% des décès liés à une 
pneumonie surviennent après 65 ans et 25000 
morts de pneumonie 
 Par inhalation ou/et aspiration de matériel 
naso-pharingé associé à une baisse des 
défences 
 facteurs sociaux (institutionnalisation) 
 facteurs respiratoires 
 facteurs immunitaires 
 co-morbidités 
Woodhead M, J Antimicrobial Chemotherapy 1994; 
34:85-92
La pneumonie du sujet âgé: 
Pneumonie 
F. sociaux 
F.immunitaires 
Nombreuses co-morbidités 
F. respiratoires 
Colonisation accrue 
ADL 
Prescription AB 
Promiscuité
Pneumonies nosocomiales : 
morbidité, mortalité 
Taux bruts de mortalité : 20 à 70 (tous 
services) 
Mortalité attribuable : 7 à 33 pour beaucoup 
: aucune pour d’autres 
Pneumonie nosocomiale augmente le risque 
de décès de 2 à 2,5 fois 
Mortalité plus importante quand : âge 
extrême, P.aeruginosa, traitement 
antibiotique inadapté 
Augmentation de la durée de séjour : 4 à 13 
jours
Place des pneumonies parmi les infections 
nosocomiales : tous services confondus 
Urines 
36.3% 
Respiratoires 
basses 
12.5% 
Cathéters 
3.8% 
Bactériémies 
5.9% 
Peau/tissus mous 
10.5% 
ORL/Oeil 
5.7% 
Digestives 
2.6% 
Autres 
3.9% 
Respiratoires 
autres 
8.2% 
Site opératoire 
10.6% 
2 
Enquête nationale de prévalence 1996
Place des pneumonies parmi les infections 
nosocomiales : médecine et long séjour 
Long séjour 
Digestives 
3% Autres 
Enquête nationale de prévalence 1996 
Urines 
21% 
Respiratoires 
basses 
Site opératoire 33% 
10% 
Bactériémies 
13% 
Respiratoires 
autres 
6% 
Autres 
2% 
Digestives 
ORL/Oe2i%l 
Cathéters3% 
7% 
Peau/tissus mous 
3% 
Médecine 
Urines 
34% 
Cathéters 
0% 
Peau/tissus mous 
19% 
Respiratoires 
basses 
10% 
ORL/Oeil 
11% 
4% 
Bactériémies 
2% 
Respiratoires 
autres 
15% 
Site opératoire 
2% 
2 
4 
Urines 
39% 
Cathéters 
7% 
Peau/tissus 
mous 
Respiratoires 
basses 
ORL/Oeil 
3% 
Bactériémies 
10% 
Respiratoire 
s 
6% 
Site opératoire 
4% 15% 
8% 
Autres 
5% 
Digestives 
3%
 Octobre 2008 – Mars 2009 : 24 cas a reparti-tion 
egale dont 6 deces (4 hoes et 2 femmes) 
 ACV incrimine (5 cas/6) ----> Pn./aspiration 
 Comorbidites + frequentes : 
- ACV 
- DC 
- Troubles du rythme 
- HTA 
- IRC et complications 
- Diabete 
 Duree de sejour : 5 jrs – 1 mois
Repartition selon age et sexe d’ Octobre 2008 a Mars 2009 
femmes hpmmes total 
Nbre % Nbre % Nbre % 
1 8.33 1 8.33 2 8.33 
5 41.67 6 50 11 45.84 
5 41.67 4 33.34 9 37.50 
1 8.33 1 8.33 2 8.33 
12 100 % 12 100% 24 100% 
SEXE 
AGE 
65 
66-76 
77-87 
>=88 
Total 
Sources :Archives du SMI-HUEH
Repartition selon age et issue d’ Octobre 2008 a Mars 2009 
ISSUE EXEAT DCD PSA TOTAL 
AGE 
65 
66-76 
77-87 
>=88 
TOTAL 
Nbre % Nbre % Nbre % Nbre % 
2 11.76 0 0 0 0 2 8.33 
8 47.06 3 50 0 0 11 45.84 
6 35.30 2 33.33 1 100 9 37.50 
1 5.88 1 16.67 0 0 2 8.33 
17 100% 6 100% 1 100 
% 
24 100% 
Sources :Archives du SMI-HUEH
 Sructures impliquees ds ventilation 
pulm. 
 Appareils circulatoires (sanguin et 
immu-nitaire), structures impliquees 
ds les echanges gazeux entre les 
differents tissus
RAPPEL ANATOMIQUE
Mecanismes de defense du poumon 
 Vieillissement respiratoire
TTaarree ssoouuss--jjaacceennttee 
((aallccooooll,, ddiiaabbèèttee,, II rréénnaallee,,....)) 
FFlloorree oorroopphhaarryynnggééee 
VVooiieess rreessppiirraattooiirreess iinnfféérriieeuurreess 
PPnneeuummoonniiee 
EEnnvviirroonnnneemmeenntt 
AAuuttrree ppaattiieennttss 
PPeerrssoonnnneell 
FFlloorree dduu ppaattiieenntt 
((ppeeaauu,, nneezz,, ssiinnuuss,,....)) 
SSiitteess dd’’iinnffeeccttiioonn ééllooiiggnnééss 
VVooiiee hhéémmaattooggèènnee 
TTrraaiitteemmeenntt 
•AAttbb 
•AAnnttii--HH22 
AAlliimmeennttaattiioonn 
•EEnnttéérraallee//ppaarreennttéérraallee 
•SSoonnddee 
VVeennttiillaattiioonn
Changement structurel: 
 Propriétés de surfaces inchangées 
(surfactant,contenu en lecithine saturée…) 
 Au niveau tissulaire: 
 changements de la paroi 
 changements du parenchyme 
 changements musculaires
Le vieillissement respiratoire: 
 Modifications pariétales 
 Modifications parenchymateuses 
 Modifications vasculaires 
 Modifications musculaires 
 Modifications fonctionnelles 
 Modification des mécanismes de défense
Modifications pariétales: 
 calcifications cartilages chondro-costaux et costo-vertébraux 
 réduction des espaces intervertébraux 
 tassements vertébraux fréquents (ostéoporose) 
 déformation du thorax 
 augmentation du diamètre AP 
 cyphose fréquente 
 La paroi est donc plus rigide et la compliance 
thoracique diminue !!! 
Janssens JP, Eur Respir J, 1999;13:197-205
Changement du parenchyme: 
 Apparence plus petits et plus flasques à l ’autopsie 
 Poids plus faible 
 Diamètre trachéal et des larges voies aériennes 
augmente 
 Modifications du tissus de support des petites voies 
aériennes 
 à partir des bronchioles terminales 
 collagène,fibres réticulées, réarrangement spatial des fibres 
élastiques et/ou présence d’une pseudo-élastine 
 commence stt dans les régions basales 
 Diamètre des canaux alvéolaires ­= ductectasies 
 fibres élastiques modifiées et réseau rompu 
 Alvéoles plus larges de façon homogène (emphysème 
sénile) 
Krumpe PE, Clinics Geriatric Medicine 1985;1:143-175
Modifications du parenchyme: 
 Étude d ’autopsies 
 n=30 et âge > 60 ans 
 « Le Poumon Sénile »: 
 Dilatation régulière des voies aériennes 
 Dilatation homogène entre les lobes sup. & inf. 
 Pas de destruction, ni fibrose ou inflammation 
 Septa alvéolaires plus épais 
Verbeken EK, Chest 1992;101:793-99
Vascularisation pulmonaire: 
 Peu modifiée par le vieillissement 
 Plaques d ’athérosclérose 
 Rigidité artérielle accrue des vx de moyens 
calibre 
 Distribution de la perfusion inchangée 
 Réponse de vasoconstriction à l ’hypoxie 
réduite 
1. Kronenberg R, Ann Intern Med 1972;76:413-21 (perfusion lung 
scans) 
2. Migally, Cell Tiss Research 1983;232:601-8
Changement musculaire: 
 Masse musculaire et nombre de fibres ¯ 
 Nombre d’unités motrices ¯ 
 Jonction neuro-musculaire modifiée 
 Perte de motoneurone périphérique 
 Pompe calcium se modifie 
 Diminution de la capacité de réparation (diminution 
de la capacité de synthèse de la myosine) 
 Diminution de la capacité respiratoire 
mitochondriale 
 ralentissement de la contraction et de la relaxation
Le vieillissement musculaire 
 Perte de muscle: cellules musculaires et 
fibres 
 Perte de fonction 
 Perte de force > perte de muscle 
 Perte de puissance > perte de force 
 Les femmes ont un désavantage de 20 ans 
 Mais hétérogénéité !!! 
 Cf cross-sectionnal and longitudinal studies 
 L ’entraînement de résistance fonctionne
Le vieillissement musculaire: 
Performance 
F. 
Comportementaux 
F. Périphériques et 
Centraux 
Commande 
F. Hormonaux neurologique
Facteurs influençant la performance 
musculaire respiratoire: 
Performance 
musculaire 
Etat Nutritionnel 
Situation 
métabolique 
Affections 
neurologiques 
(Parkinson, AVC) 
Volumes 
pulmonaires : 
CRF 
Géométrie 
musculaire 
Compliance 
thoracique et 
parenchymateuse 
Energie 
disponible 
Insuf Card 
Force des muscles 
périphériques 
(handgrip-PIM/PEM) 
Facteurs 
Médicaments Hormonaux
Régulation de la respiration: 
 Au repos: ventilation minute identique 
 VC ¯ & FR ­ 
 réponse ventil. & cardiaque à hypoxie ou 
hypercapnie ¯ 
 A l’exercice: consommation en O2 (V’O2 litre/min) ¯ 
(de 9%/an après 30 ans) 
FC max ¯ & DC max ¯ 
Masse musculaire périphérique ¯ 
 Moins bonne perception d’une charge mécanique 
accrue 
 Durant le sommeil: SAS fréquent (40%) si AHI 
>20/h 
 Fréquence de la respiration de Cheyne-Stokes
 Compliance pariétale ¯ 
 Poumon plus distensible air trapping d’où W 
respiratoire et CRF accrus 
 Force musculaire respiratoire ¯ 
 Modifications des volulmes statiques et 
dynamiques 
 Réponse à l’hypoxie et hypercapnie ¯ 
 Moins de réserve à l’agression 
 Echanges gazeux conservés
Aging effects on defense against respiratory 
illness: 
 Aspiration or inhalation more frequent 
 discoordination of the coordinated neuromuscular 
events during deglutition 
stroke, muscle weakness, neurologic disease,… 
 oesophageal diseases: hiatal hernia, reflux 
 altered esophageal sphincter: age, beta2mim., 
theophylline, 
 Colonization of the upper airway with gram negative. 
 Reduction in the ability to cough forcefully 
 Mucociliary clearance reduced (2/3) 
 Puchelle E, Scan J Respir Dis 1979;60:307-313 
 Immunoglobulin level and cellular immune response 
impaired
Microbiological causes of CAP 
0 10 20 30 40 50 
Pneumocoque 
H, Influenzae 
Mycoplasma Pneumoniae 
Legionella 
Staph aureus 
BGN 
Chlamydia 
Virus 
Germe indéterminé 
< 65 ans ( n = 458) 
> 65 ans (n=785)
 « Plus de 90 % des pneumopathies communautaires 
microbiologiquement prouvées sont dues à 6 agents 
 Pneumocoque, 1er chez PAC hospitalisés 
 H influenzae, 
 Légionella, 
 Mycoplasme, Chlamydia et virus Influenza. Plus en 
Conclusions de la conférence de consensus 
SPILF – 18 octobre 1991 
ville avec des 
fréquences variant selon les pays, les années et les 
saisons. 
 Staphylococcus aureus et entérobactéries jouent un rôle 
non négligeable chez les vieillards de plus de 75 ans, 
vivant en institution et chez les patients atteints de tare 
majeure. 
 Des associations sont diagnostiquées de plus en plus 
fréquemment. 
 L'agent causal reste méconnu dans 25-50 % des cas.
SPILF 
1991 rev 
2000 
AFSSAPS 
2005 
IDSA 
2003 
ATS 
2001 
Dg 
microbiologique 
fait dans 
50 à 75 % 40 à 84 % 40 à 60 % 30 à 80 % 
Pneumocoque 
1ère cause de PAC + + + + 
Pneumocoque 30 à 47 % 
2/3 des 
bactériémies 
20 % PAC ville jusqu’à 
60 % à l’hôpital 
H. Influenzae 5.5 à 22 % 3 à 10 % 
M. pneumoniae 
7.4 à 12 % 
jusqu’à 23 % 
10 % 10 % 
C. pneumoniae 5 à 10 % 12 % 10 % 
Légionella 5 à 15 % 
10 % 
> 10 % en réa 
Virus 20 à 25 % 10 à 30 % 10 % Jusqu’à 36 % en ville 
Staphylocoques, 
entérobactéries 
< 5 % 
0 à 33 % (patients 
institutionnalisés) 
5 à 10 % 
(+ facteurs de risques) 
22 % en réa 
Plus de 2 
étiologies 
2.5 % qq %
Etude Thaïlandaise [1998 et 2001] 
comparant les étiologies identifiées de patients 
ambulatoires (N = 98) et hospitalisés ( N=147). 
Le taux de diagnostics établis est très élevé : 
respectivement 75.5 % et 71.4 %. 
 ambulatoires: 
 CC ppnneeuummoonniiaaee ((3366..77%%)),, 
 MM ppnneeuummoonniiaaee ((2299..66%%)),, 
 SS ppnneeuummoonniiaaee ((1133..33%%)) ;; 
 hospitalisés : 
 SS ppnneeuummoonniiaaee ((2222..44 %%)),, 
 CC ppnneeuummoonniiaaee ((1166..33%%)),, 
 MM ppnneeuummoonniiaaee ((66..88 %%)).. 
 co-infections 13,3 % et 6.1 %, C pneumoniae étant le plus souvent 
en cause.
Le sujet âgé – des études, mais tellement disparates : 
Grandes 
*4 bases de donnée US pour 1997 - 600.000 dossiers 
pneumonies aiguës communautaires chez des sujets de plus de 65 ans. 
o L’âge moyen est de 75 ans, 
o la mortalité globale est de 10.6 %, 
o 5% des patients sont issus de maisons de retraite. 
o 1/3 des dossiers comportent un diagnostic étiologique. Les 
pathogènes identifiés sont : 
 pneumocoques 16 % , 
 H. influenzae 9 %, 
 Staphylocoques 15 % 
 Bacilles Gram nég 29 % 
 Pseudomonas 13 %. 
L’identification de staphylocoque ou des BG- est corrélée avec un plus 
mauvais pronostic (RR de 1.2 à 1.85). 
Kaplan Am J Respir Crit Care Med 2002, 766,
Le sujet âgé – des études, mais tellement disparates : 
Petites : 
 95 patients institutionnalisés, ayant une 
pneumopathie. [El-Solh Am J Respir Crit Care Med 2003; 
1650] 
 67 pathogènes identifiés : 
 49 % de bacille Gram négatifs (E. coli, K. pneumoniae, P. 
mirabilis et Serratia spp, en constituent l’essentiel), 
 16 % d’anaérobies, 
 12 % de staphylocoques. 
 5 S. pneumoniae, mais 6 Streptococcus spp. 
 Pneumonies à Strepto B chez des vieillards 
colonisés [Edwards CID 2005;41:839]
Agents pathogènes 
 Classiquement en fonction du délai de 
survenue de la PNEU* 
 « précoce » (<5j) 
 Germes communautaires (pneumocoque, H. 
influenzae, E. coli, bacille gram – et du S. aureus 
sensibles) 
 « tardive » (>5j) 
 Germes plus résistants (pyocyanique, 
acinetobacter, bacille gram – et du S. aureus 
résistants) 
*Am J Resp Crit Care Med 1996;153:1711-25
Distribution (%) des microorganismes isolés au cours 
des pneumonies nosocomiales : tous services 
Microorganisme Bartlett Bryan 
S. aureus 26 27 
S. pneumoniae 31 13 
H. influenzae 17 - 
E. coli 14 10 
K. pneumoniae 23 
Enterobacter 4 
29 
P. aeruginosa 9 15 
Polymicrobienne 54 13 
PTT Hc 
J. Bartlett, Arch Int Med 1986; C. Bryan, Am Rev Resp Dis 1984
La pneumonie du sujet âgé: 
présentation clinique 
 Présentation atypique 
 Moins de température 
 Moins de frissons 
 Plus de confusion 
 Chutes 
 Incontinence urinaire 
 Signes cliniques locaux souvent présents 
 La fréquence respiratoire est un excellent 
paramètre
PNEUMONIES AIGUES 
COMMUNAUTAIRES GRAVES 
Difficultés diagnostiques chez le sujet âgé 
Plaintes Anamnèse 
majeures complète 
Fièvre 20.8 % 50 % 
Toux 22.9 % 68.8 % 
Dyspnée 12.5 % 37.5 % 
Faiblesse 14.6 % 60.4 % 
Douleurs thoraciques 4.2 % 27.1 % 
Anorexie 6.2 % 54.2 % 
Asthénie 4.2 % 14.6 % 
Chutes 2.1 % 14.6 % 
Confusion 0 % 14.6 % 
HARPER J. Am. Geriatr. Soc. 1989
OOuuttiillss ddiiaaggnnoossttiiqquueess 
Radiographie 
scanner 
Interrogatoire 
Ex clinique 
Biologie 
ECBC 
Diagnostic 
microbiologique 
PCR bactériennes 
PCR virus 
Sérologies Myc. Leg. Clam 
Antigénuries legionelle 
Pneumocoque 
hémocultures 
Ponction transP 
LBA, Brosse
Début brutal, 
crépitants sous le 
sein droit, Dg par 
hémocultures : 
Pneumocoque
RRaaddiiooggrraapphhiiee ppuullmmoonnaaiirree 
Condensation 
TypiquLeS dDet …légionellose (75%)
Bronchogramme aérien
SSccaannnneerr vvss rraaddiiooggrraapphhiiee 
TDM :Infiltrat bilatéral 
-LSdt, apical LIG, 
-pyramide basale 
Syrjala CID 1998
• TTeecchhnniiqquuee bbrroonncchhoossccooppiiqquuee 
:: 
– LLaavvaaggee BBrroonncchhoo--aallvvééoollaaiirree 
– BBrroossssaaggee ddiissttaall pprroottééggéé
PAC présumées bactériennes 
 Antibiothérapie probabiliste des PAC en ambulatoire 
1er choix Échec amoxicilline à 48 h 
Sujets jeunes 
sans comorbidité 
amoxicilline 1 g x 3/j PO 
Ou pristinamycine 1 g x 3/jPO 
Ou télithromycine 800 mg/j PO 
macrolide 
Ou pristinamycine 1 g x 3/jPO 
Ou télithromycine 800 mg/j PO 
Sujets âgés 
sans comorbidité 
amoxicilline ac. clav. 1 g x 3/j 
PO 
FQAP 
lévofloxacine 500 mg/j PO 
Ou moxifloxacine 400 mg/j PO 
Sujets âgés 
institution 
amoxicilline ac. clav. 1 g x 3/j 
PO 
Ou ceftriaxone 1 g/j IM/IV/SC 
Ou FQAP = 
lévofloxacine 500 mg/j PO 
moxifloxacine 400 mg/j PO 
FQAP 
lévofloxacine 500 mg/j PO 
Ou moxifloxacine 400 mg/j PO
PAC présumées bactériennes  Antibiothérapie probabiliste des PAC non sévères 
hospitalisées (SAU, service de médecine) 
Arguments en 
faveur du 
pneumocoque 
Pas d’arguments en faveur du pneumocoque 
1er choix 
Si échec 
ß-lactamine à 48 h 
Sujets jeunes 
sans comorbidité 
amoxicilline 1 g x 
3/j PO/perfusion 
IV 
amoxicilline 1 g x 3/j PO/perf IV 
Ou pristinamycine 1 g x 3/j PO 
Ou télithromycine 800 mg/j PO 
Associer un 
macrolide 
Ou substitution 
par télithromycine 
ou pristinamycine 
Sujets âgés 
sans 
comorbidité 
amoxicilline 1 g x 
3/j PO/perfusion 
IV 
amoxicilline ac. clav. 1 g x 3/j 
PO/perf IV 
Ou céfotaxime 1 g x 3/j perf IV 
Ou ceftriaxone 1 g/j IV 
Ou FQAP (lévofloxacine 500 mg x 1 à 
2/j PO ou moxifloxacine 400 mg/j PO 
Associer un 
macrolide 
Ou substitution 
par télithromycine 
ou pristinamycine 
Sujets âgés 
avec 
comorbidité(s) 
amoxicilline 1 g x 
3/j PO/perfusion 
IV 
amoxicilline ac. clav. 1 g x 3/j perf IV 
Ou céfotaxime 1 g x 3/j perf IV 
Ou ceftriaxone 1 g/j IV 
Ou FQAP (lévofloxacine 500 mg x 1 à 
2/j PO ou moxifloxacine 400 mg/j 
PO) 
Associer un 
macrolide 
Ou substitution 
par télithromycine 
ou 
pristinamycine
 Antibiothérapie probabiliste des PAC sévères 
(Unités de soins intensifs ou réanimation) 
1er choix 
Sujets jeunes 
sans comorbidité 
(céfotaxime 1-2 g x 3/j perf IV ou ceftriaxone 1-2 g/j IV) 
plus (macrolides IV ou FQAP IV : lévofloxacine 500 mg 2/j IV) 
Sujets âgés 
sans comorbidité 
(céfotaxime 1-2 g x 3/j perf IV ou ceftriaxone 1-2 g/j IV) 
plus FQAP (lévofloxacine 500 mg x 2/j IV) 
Sujets 
avec 
comorbidité(s) 
(céfotaxime 1-2 g x 3/j perf IV ou ceftriaxone 1-2 g/j IV) 
plus FQAP (lévofloxacine 500 mg x 2/j IV) 
si suspicion de pyocyanique : 
(pipéracilline-tazobactam 4 g x 3/j IV 
ou céfépime 2 g x 2/j IV 
ou imipénème 1 g x 3/j IV) 
en association avec 
un aminoside 
et un antibiotique actif sur les germes intracellulaires (macrolide ou 
flluoroquinolone)
Prévention 
 Mesures spécifiques (plus ou moins 
discutées) 
 Soins de bouche, preuves de l’intérêt 
Réduction des pneumopathies chez le 
sujet âgé (antiseptique, brossage après le 
repas) 
Réduction des pneumopathies en chirurgie 
cardiaque et en réa chirurgicale (bain de 
bouche par chlorhexidine à 0,12%)
Prévention 
 Mesures spécifiques (plus ou moins 
discutées) 
 Prophylaxie de l’ulcère de stress 
 7 méta-analyses (plus de 20 essais 
randomisés) avec le sucralfate et 2 essais 
récents (dont 1 comparant omeprazole, 
famotidine, sucralfate, placebo ne montre pas 
de différence entre les 4 groupes ni pour le 
saignement ni pour la PNEU) 
 A réserver à certains patients (état de choc, 
détresse respiratoire majeure, coagulopathie)
Prévention 
 Mesures spécifiques (plus ou moins 
discutées) 
 Décontamination digestive sélective (le plus 
souvent associée à une ATB par voie 
générale) ? ? ? 
 10 méta-analyses (40 essais randomisés) en faveur 
d’une réduction des PNEU et de la mortalité 
 Revue récente (32 essais) conclut à une relation 
inversement proportionnelle entre bénéfice et qualité 
méthodologique de l’étude 
 Pas de consensus sur émergence ou non de BMR 
 En 2007 revue de 51 essais randomisés (1987-2005) 
incluant 8 065 patients graves en faveur d’une 
réduction des bactériémies et de la mortalité 
(nécessité de traiter 22 patients pour prévenir 1 
décès)* 
* J H I 2007;65:187-203
Vaccin antipneumocoque: pas de preuves 
irréfutables mais des recommandations 
 Peu d’ effets secondaires 
 L’ âge supérieur à 65 ans ne permet pas d’ identifier les 
sujets à risque 
 Pas de preuves de l’ efficacité en termes de prévention des 
pneumonies à pneumocoque (« Prescrire » 1999/Tome 19, 
n° 201, pp 807-810) 
 « Diminution de l’ infection systémique et des pneumonies 
sans entraîner de diminution de la mortalité: preuves 
insuffisantes pour recommander la vaccination 
systématique après 65 ans » (http://www.formularium.be) 
 Conseil supérieur d’ hygiène (1993, 1999): personnes > 60 
ans; Sujets > 45 ans + maladie chronique CV, hépatique, 
rénale, pulmonaire ou diabète); sujet splénectomisés 
(Folia juin 2001, août 2003) http://www.cbip.be
Vaccin antipneumocoque 
 (Lancet 1998; 351: 399-403) RCT en Suède (patients hospitalisés 
pneumonie) 
 Taux de nouvelles pneumonies: groupe vaccin (19%) groupe 
placebo ( 16%) NS 
 incidence pneumonies à pneumocoques: 5,6 % versus 4,5% 
NS 
 Mortalité totale: 8,6 % versus 8% NS 
 Concl.: pas de démonstration de réduction du risque de 
pneumonie ou de la mortalité après 65 ans 
 (Vaccine 1999; 17: 2493-2500) Essai comparatif non-aveugle en 
Finlande 
 2 groupes triés selon l ’ année de naissance paire ou impaire: 
mais > 65 ans 
 Groupe 1: vaccins grippe + pneumo 23 (n = 13980) 
 Groupe 2: vaccin grippe seul (n = 12945) 
 Incidence des pneumonies à pneumocoques pour 1000 
années/patient: Groupe 1 = 2,7 % vs groupe 2 = 2,4 % NS 
 Injection de rappel après 5 ans ? Pas d’utilité démontrée (JAMA
Vaccin antipneumococique 
Source: Formul R info, n° 5, novembre 2004 
 Synthèse méthodique (Cochrane) 
 Méta-analyse études randomisées: pas de preuve 
d’ efficacité pour la prévention de la pneumonie 
 Méta-analyse des études « Cas-contrôle » (moins 
fiables): efficacité dans la prévention des infections 
invasives à pneumocoque 
 => suppression de l’indication de ce vaccin 
pour les P.A. aux Pays-Bas (Ned. Tijdschr Gennesk 2004; 148: 
871-4) 
 Pas repris dans le Formulaire MRS (Formul R info, année 
11, n°5, nov. 2004)
QUELLE ÉVOLUTION ? 
Facteurs prédictifs de mortalité 
(Métaanalyse ) 
Odd Ratio 
Sexe masculin 1.3 
Diabète 1.3 
Leucopénie 2.5 
Bactériémie 2.8 
Néoplasie 2.8 
Tachypnée 2.9 
Opacités Multilobaires 3.1 
HypoTA systolique 4.8 
Hypothermie 5
QUELLE ÉVOLUTION ? 
Facteurs prédictifs de mortalité (Analyse 
multivariée) 
TORRES (1991) Extension radiologique après 
admission 
Choc septique 
Maladie s/jacente à pronostic fatal 
ALMIRALL (1995) Age ³ 70 ans 
SAPS > 12 
Recours à la ventilation mécanique 
Choc septique 
Opacités bilatérales 
Pneumonie à Pseudomonas
QUELLE ÉVOLUTION ? 
Critères de « Guérison » disponibles à 48 – 72 
heures 
- Cassure thermique 
- Arrêt de l’extension des opacités 
- Stabilisation de l’état hémodynamique 
- Stabilisation de l’état ventilatoire
QUELLE ÉVOLUTION ? 
Situations d’échec au cours de 
l’évolution 
- Aggravation de l’état respiratoire 
avec signes de sepsis 
- Aggravation de l’état respiratoire 
sans signes de sepsis
QUELLE ÉVOLUTION ? 
Situation d’aggravation de l’état 
respiratoire avec signe de sepsis = bilan à 
entreprendre 
- Examen clinique, ORL inclus 
- Imagerie thoracique 
- Imagerie des sinus 
- Échographie cardiaque 
- Prélèvements microbiologiques 
(avant changement d’antibiothérapie)
QUELLE ÉVOLUTION ? 
Situation d’aggravation de l’état respiratoire 
sans signe de sepsis = Bilan à entreprendre 
- Examen clinique 
- Bilan cardiologique 
- Bilan rénal 
- NFS – Bilan de coagulation 
- (Angio) Scanner thoracique 
- Fibroscopie + prélèvements protégés 
- Lavage bronchoalvéolaire
QUELLE ÉVOLUTION ? 
1) Existe t-il une phase fibroproliférative 
post –pneumonique aboutissant à un 
pneumonie organisée ? 
2) Relève t-elle d’une corticothérapie 
différée ? Si oui, sur quels critères peut 
on l’engager ? 
(Tableau radioclinique + LBA) 
(ou Biopsie pulmonaire ? )
 Évaluation de sa gravité 
 Gravité systématiquement appréciée sur 
l’association de facteurs cliniques et de 
comorbidités 
 Scores spécifiquement dédiés aux PAC 
 Fine (Pneumonia Severity Index : PSI) 
 CRB 65 
 British Thoracic Society (BTS) 
 American Thoracic Society (ATS)
Score de Fine 
 Éléments de calcul du score de Fine (PSI) 
La classe 1 correspond à l’adulte sain de moins de 50 ans, sans aucun signe de gravité, ni comorbidité (probabilité de 
mortalité inférieure à 0,1 %). Pas de prélèvement sanguin. 
Facteurs démographiques Points 
Âge Hommes 
Femmes 
Vie en institution 
= Âge en années 
= Âge-10 
+ 10 
Comorbidités 
Maladie néoplasique 
Maladie hépatique 
Insuffisance cardiaque congestive 
Maladie cérébro-vasculaire 
Maladie rénale 
+ 30 
+ 20 
+ 10 
+ 10 
+ 10 
Données de l’examen physique 
Atteinte des fonctions supérieures 
Fréquence respiratoire > 30/min 
TA systolique < 90 mmHg 
T° < 36 °C ou > 40 °C 
Fréquence cardiaque ≥ 125/min 
+ 20 
+ 20 
+ 20 
+ 15 
+ 10 
Données radiologiques et biologiques 
pH artériel < 7,35 
Urée ≥ 11 mmol/l 
Na < 130 mmol/l 
Hématocrite < 30 % 
PaO2 < 60 mmHg 
Épanchement pleural 
+ 30 
+ 20 
+ 20 
+ 10 
+ 10 
+ 10
Score de Fine 
Classe Points Probabilité de Mortalité 
II ≤ 70 0,6-0,7 % 
III 71-90 0,9-2,8 % 
IV 91-130 8,2-9,3 % 
V > 131 27-31 %
Score de la BTS 
Confusion 
Urea > 7 mmol/l 
Respiratory rate ≥ 30/min 
Blood pressure: 
systolic < 90 mmHg 
or diastolic ≤ 60 mmHg 
65 Age ≥ 65 
La présence 
d’au moins 2 de 
ces 4 facteurs 
multiplie par 36 
le risque 
de mortalité
Score CRB 65 
C Mental Confusion 
R Respiratory rate ≥ 
30/min 
B Blood pressure : 
systolic < 90 mmHg 
or diastolic ≤ 60 mmHg 
65 Age ≥ 65 
Score utilisable en 
ville 
0 critère : traitement 
ambulatoire possible, 
≥ 1 critère : 
évaluation à l’hôpital
Score de l’ATS (révisé en 2001) 
3 critères mineurs 
• PaO2/FiO2 < 250 
• Atteinte plurilobaire 
• PAS ≤ 90 mmHg 
2 critères majeurs 
• Nécessité d’une ventilation 
mécanique 
• Choc septique 
La présence de 
deux critères mineurs 
ou 
un critère majeur 
prédit la nécessité 
d’une admission en USI 
Sensibilité : 78 % 
Spécificité : 94 % 
VPP : 75 % 
VPN : 95 %
Prise en charge 
 Score PSI pour confirmer la possibilité d’une prise en charge 
extra-hospitalière (Recommandation de grade A) 
 Scores CRB 65, BTS et ATS : plus pertinents dans l’aide 
à la décision d’une prise en charge en réanimation 
 Étape 1 : recherche de conditions préexistantes compromettant 
le succès du traitement ambulatoire : instabilité 
hémodynamique, décompensation d’une comorbidité 
préexistante nécessitant l’hospitalisation, hypoxémie aiguë, 
problèmes d’ordre 
sociaux ou psychiatriques, et incapacité à l’absorption 
d’un traitement per os 
 Étape 2 : calcul du score PSI : patients classes I et II 
= traitement en ambulatoire (Recommandation de grade A) 
 Si score PSI ≥ III : hospitalisation (Recommandation de grade A)
Réanimation En dehors de la réanimation 
Score ATS /FINE 
Hospitalisation 
Score FINE +/- CRB 65 = III, IV, V 
= I, II 
Signes Vitaux 
(PA, FC, 
FR 
saturation) ? 
Comorbidité 
? 
Non Ville 
Âge < 50 ans ? Score FINE = I 
Oui 
Score FINE +/- CRB 65 
PAC 
en 
ville 
Oui 
Non Non Oui
………………. SUITE 
 Patient age de 76 ans, admis 27/05/09 pour : 
- douleurs epigastriques 
- dyspnee 
- fievre 
- toux productive 
Symptomatologie evoluant deuis 3 semaines 
 ATCD : HTA (+) x 3 mois 
Arthrite genou G x 10 ans 
Epigastralgie, pyrosis 
 E.P (admission) : conscient 
TA 150/80 FC 120/mn FR 40/mn T 38.5 C 
Paleur conjonctivale – BDC acceleres – Rales crepitants 
aux 2 bases pulm. – HERNIE OMBILICALE
• IC (admission) : Pneumonie bacterienne 
TB pulmon. a E 
• Rx : azythromycine, PNC cristalline, enalapril, 
chloroquinotherapie d’epreuve 
• A J7 d’hospitalisation (salle) : 
TA 160/80 FC 80/mn FR 24/mn T 36.5 C 
opacification bilaterale cristallin – conjonctives pales 
BDC reguliers – Poumons avec fins crepitants aux 2 
bases – Abdomen avec pannicule adipeux important+ 
hernie ombilicale – Discret oedeme membres < prenant 
godet + secheresse cutanee
 Bilans disponibles 
- Hgm : anemie moderee normochrome normocytaire a 
8,37 g d’Hb 
Hyperleucocytose a 19500 : 65% neutro et 35% 
lympho 
- Ionogramme altere : legere hypernatremie (150meq/l 
« hyperchlorhemie (115 
- VS acceleree : 61 mm/h 
- CRP elevee : 48 
- Bilan renal normal 
- X-Ray thorax : opacites basales bilaterales 
- Hgm (29/05/09) : anemie severe a 7,6 g d’Hb 
15% GR nuclees 
hyperleucocytose a 14000 avec 30% 
neutro et 70% lympho
 IC (Salle) : Pneumonie bacterienne + anemie 
d’E a I + Cataracte + Hernie ombili-cale 
 Rx
 Pn. du SA, qu’elle soit acquise a domicile ou a l’hopital, 
est une affection frequente, dont la severite et pronostic 
sont conditionnes en grande partie par les comorbidites, 
et par le degre d’handicap fonctionnel. 
 Dx est souvent rendu difficile par nature non specifique 
des symptomes d’appel (etat confusionnel, chutes) et par 
l’absence ou paucite des symptomes classiques. 
 Prevention repose essentiellement sur vaccination anti-pneumococcique 
systematique (tous les 5 ans) et 
vaccina-tion antigrippale, clairement recommandees dans 
cette population.
 Traitement doit tenir compte : 
- comorbidites 
- provenance du patient 
- notion eventuelle de contage 
 et integrer donnees epidemiologiques les + 
recentes quant aux agents etiologiques. 
 Enfin, TB doit rester a l’esprit dans ce groupe 
d’age
 Pneumonies 
Paul Leophonte & Ph. Birot – Ed. 2001 / p 84-101 
 Abreges : CAT dans les infections du sujet age 
Pierre Veyssier & Joel Belmin - Ed. 2003/ p35-44 
 Revue Medicale Suisse # 542 publiee 12/11/03 : Pn. du 
sujet tres age, specificites 
Article #23374 de J.- P. Janssens K. H. Krause 
 Robbins, Anatomie pathologique : Bases physiopatholo-giques 
et morphologiques des maladies 
Cotran & Kuman & Collins – 3eme Ed. Francaise , vol. 2 
 Harrisson : Principes de Medecine Interne 
16eme Ed. - p 1475 - 1485
www.emedicine.com 
www.respir.com 
www.WHO.org 
www.nejm.com
REMERCIEMENTS 
 Dr Lambert 
 Tous les residents et internes
Pneumonie chez le sujet age

Pneumonie chez le sujet age

  • 1.
    Osias Darlène ,Résident 1 Service de Médecine interne - HUEH Juin 2009
  • 2.
     Introduction Objectifs  Définition  Épidémiologie  Rappel anatomique  Physiopathologie  Étiologie  Dx clinique  Dx paraclinique  Traitement  Évolution / Pronostic  Cas clinique  Conclusion  Bibliographie  Remerciements
  • 4.
    INTRODUCTION  Vieillissement: processus physiologique aboutissant a une diminution des reserves fonctionnelles de l’organisme qui a l’etat de base est latente.  Capacites d’adaptation de l’individu age sont reduites.  Expression des maladies chez sujet age s’en trouve svt modifiee ce qui concourt a l’originalite de la semiologie geriatrique
  • 5.
    INTRODUCTION  Infectionsde l’appareil respiratoire forment 1 chapitre majeur des infections du sujet age, en raison de leur grde frequence, et de leur gravite tres > a celle des adultes + jeunes.  Sont communes, et apres 65 ans : risque pour IRB est 3-10 fois + eleve qu’avant 65 ans, augmentant avec grd age, deterioration de l’etat physiologique et comorbidites eventuelles
  • 6.
    ……………. SUITE Sont + graves et, etant chez SA 1ere des pathologies infectieuses, constituent 3eme motif d’hospitalisation de cette tranche d’age.  Dx habituellement + complexe, devant clinique – nette, examens complementaires + difficiles a realiser  Projection sur l’avenir : progression en chiffres absolus du nbre de Pn chez SA, compte tenu de l’accroissement de longevite ds pays industriali-ses, (19 ans chez femmes et de 14 ans chez hoes depuis debut siecle)
  • 7.
     Reconnaître lesspecifites de la pneumonie du sujet age tant sur le plan physiopathologique et clinique que microbiologique  Savoir l’importance des comorbidites comme facteur favorisant leur survenue  Argumenter l’attitude therapeutique et planifier le suivi du patient
  • 8.
    VIEILLESSE  Societe: age de l’arret de l’activite professionnelle (55-60 ans)  OMS : age de 65 ans et +  Pouvoirs publics : age de recours aux services de maintien a domicile (environ 75 ans)  Geriatre : age d’entrée en institution (environ 85 ans)
  • 9.
    PERSONNES AGEES 19632006 3eme age 60-74 70-84 4eme age 75 et + 85 et +
  • 10.
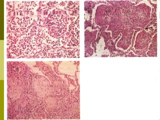
    Pneumonie du pathologue: - Reponse inflammatoire dans le poumon, causee / un agent infectieux qui attaque les alveoles et les bronches terminales - Poumon augmente en poids ; alveoles se remplissent de GR, GB et fibrine
  • 12.
     Pneumonie du clinicien : Combinaison de : - Symptomes - Signes - Opacite a la ra-diographie - Hyperleucocy-tose, desatura-tion
  • 13.
     Pneumonie dugeriatre : - Degradation de l’etat general - Passivite soudaine - Confusion - Chutes - Acceleration FR (> 28/mn)
  • 14.
     Communautaires (PAC): acquises hors de l’hopital  Nosocomiales : acquises apres 48 hres a l’hopital  Acquises en institution : sont des PAC par definition, car lieu de vie  PAC si residents ambulatoires, peu de comorbidites  Quasi-nosocomiales si comorbidites lourdes, dependance, grabatisation
  • 15.
     Internationale Statistiques a l’HUEH au SMI
  • 19.
    AMPLEUR DU PROBLÈME (DONNÉES USA) - 6 ème cause de Décès - 1ère cause de Décès d’origine infectieuse - Mortalité de 5.1 % si traitement ambula-toire - Mortalité de 13.6 % si traitement à l’Hô-pital - Mortalité de 36.5 % si traitement en Réani-mation
  • 20.
    Risque infectieux pulmonaire particulierement eleve en institution  Moyenne d’age > 80 ans, polypathologie, dependance  incidence des IRB serait x 10 68 a 114 cas / 1000 ( Leophonte, 1999)  pneumopathies a pneumocoques x 3 risque majore pour pneumocoque invasif ( bacteriemique) x 4  risque epidemique (virus, pneumocoque, legionnelle)  frequence des BGN
  • 21.
     Incidence desPn. Aigues communautaires augmente avec l’age 60-74 ans 15 cas / 1000 75 ans et + 34 cas / 1000
  • 22.
    Pneumonia and deathin the elderly:  5106 autopsies > 80 years: Pneumonia is the leading cause of death Ishii T., Age Ageing;1980;9:81-89  Prévalence dix fois plus importante que chez le jeune  En 1990 (UK) 95% des décès liés à une pneumonie surviennent après 65 ans et 25000 morts de pneumonie
  • 23.
    La pneumonie dusujet âgé:  Prévalence dix fois plus importante que chez le jeune  En 1990 (UK) 95% des décès liés à une pneumonie surviennent après 65 ans et 25000 morts de pneumonie  Par inhalation ou/et aspiration de matériel naso-pharingé associé à une baisse des défences  facteurs sociaux (institutionnalisation)  facteurs respiratoires  facteurs immunitaires  co-morbidités Woodhead M, J Antimicrobial Chemotherapy 1994; 34:85-92
  • 24.
    La pneumonie dusujet âgé: Pneumonie F. sociaux F.immunitaires Nombreuses co-morbidités F. respiratoires Colonisation accrue ADL Prescription AB Promiscuité
  • 32.
    Pneumonies nosocomiales : morbidité, mortalité Taux bruts de mortalité : 20 à 70 (tous services) Mortalité attribuable : 7 à 33 pour beaucoup : aucune pour d’autres Pneumonie nosocomiale augmente le risque de décès de 2 à 2,5 fois Mortalité plus importante quand : âge extrême, P.aeruginosa, traitement antibiotique inadapté Augmentation de la durée de séjour : 4 à 13 jours
  • 33.
    Place des pneumoniesparmi les infections nosocomiales : tous services confondus Urines 36.3% Respiratoires basses 12.5% Cathéters 3.8% Bactériémies 5.9% Peau/tissus mous 10.5% ORL/Oeil 5.7% Digestives 2.6% Autres 3.9% Respiratoires autres 8.2% Site opératoire 10.6% 2 Enquête nationale de prévalence 1996
  • 34.
    Place des pneumoniesparmi les infections nosocomiales : médecine et long séjour Long séjour Digestives 3% Autres Enquête nationale de prévalence 1996 Urines 21% Respiratoires basses Site opératoire 33% 10% Bactériémies 13% Respiratoires autres 6% Autres 2% Digestives ORL/Oe2i%l Cathéters3% 7% Peau/tissus mous 3% Médecine Urines 34% Cathéters 0% Peau/tissus mous 19% Respiratoires basses 10% ORL/Oeil 11% 4% Bactériémies 2% Respiratoires autres 15% Site opératoire 2% 2 4 Urines 39% Cathéters 7% Peau/tissus mous Respiratoires basses ORL/Oeil 3% Bactériémies 10% Respiratoire s 6% Site opératoire 4% 15% 8% Autres 5% Digestives 3%
  • 36.
     Octobre 2008– Mars 2009 : 24 cas a reparti-tion egale dont 6 deces (4 hoes et 2 femmes)  ACV incrimine (5 cas/6) ----> Pn./aspiration  Comorbidites + frequentes : - ACV - DC - Troubles du rythme - HTA - IRC et complications - Diabete  Duree de sejour : 5 jrs – 1 mois
  • 37.
    Repartition selon ageet sexe d’ Octobre 2008 a Mars 2009 femmes hpmmes total Nbre % Nbre % Nbre % 1 8.33 1 8.33 2 8.33 5 41.67 6 50 11 45.84 5 41.67 4 33.34 9 37.50 1 8.33 1 8.33 2 8.33 12 100 % 12 100% 24 100% SEXE AGE 65 66-76 77-87 >=88 Total Sources :Archives du SMI-HUEH
  • 38.
    Repartition selon ageet issue d’ Octobre 2008 a Mars 2009 ISSUE EXEAT DCD PSA TOTAL AGE 65 66-76 77-87 >=88 TOTAL Nbre % Nbre % Nbre % Nbre % 2 11.76 0 0 0 0 2 8.33 8 47.06 3 50 0 0 11 45.84 6 35.30 2 33.33 1 100 9 37.50 1 5.88 1 16.67 0 0 2 8.33 17 100% 6 100% 1 100 % 24 100% Sources :Archives du SMI-HUEH
  • 39.
     Sructures impliqueesds ventilation pulm.  Appareils circulatoires (sanguin et immu-nitaire), structures impliquees ds les echanges gazeux entre les differents tissus
  • 41.
  • 45.
    Mecanismes de defensedu poumon  Vieillissement respiratoire
  • 47.
    TTaarree ssoouuss--jjaacceennttee ((aallccooooll,,ddiiaabbèèttee,, II rréénnaallee,,....)) FFlloorree oorroopphhaarryynnggééee VVooiieess rreessppiirraattooiirreess iinnfféérriieeuurreess PPnneeuummoonniiee EEnnvviirroonnnneemmeenntt AAuuttrree ppaattiieennttss PPeerrssoonnnneell FFlloorree dduu ppaattiieenntt ((ppeeaauu,, nneezz,, ssiinnuuss,,....)) SSiitteess dd’’iinnffeeccttiioonn ééllooiiggnnééss VVooiiee hhéémmaattooggèènnee TTrraaiitteemmeenntt •AAttbb •AAnnttii--HH22 AAlliimmeennttaattiioonn •EEnnttéérraallee//ppaarreennttéérraallee •SSoonnddee VVeennttiillaattiioonn
  • 48.
    Changement structurel: Propriétés de surfaces inchangées (surfactant,contenu en lecithine saturée…)  Au niveau tissulaire:  changements de la paroi  changements du parenchyme  changements musculaires
  • 49.
    Le vieillissement respiratoire:  Modifications pariétales  Modifications parenchymateuses  Modifications vasculaires  Modifications musculaires  Modifications fonctionnelles  Modification des mécanismes de défense
  • 50.
    Modifications pariétales: calcifications cartilages chondro-costaux et costo-vertébraux  réduction des espaces intervertébraux  tassements vertébraux fréquents (ostéoporose)  déformation du thorax  augmentation du diamètre AP  cyphose fréquente  La paroi est donc plus rigide et la compliance thoracique diminue !!! Janssens JP, Eur Respir J, 1999;13:197-205
  • 51.
    Changement du parenchyme:  Apparence plus petits et plus flasques à l ’autopsie  Poids plus faible  Diamètre trachéal et des larges voies aériennes augmente  Modifications du tissus de support des petites voies aériennes  à partir des bronchioles terminales  collagène,fibres réticulées, réarrangement spatial des fibres élastiques et/ou présence d’une pseudo-élastine  commence stt dans les régions basales  Diamètre des canaux alvéolaires ­= ductectasies  fibres élastiques modifiées et réseau rompu  Alvéoles plus larges de façon homogène (emphysème sénile) Krumpe PE, Clinics Geriatric Medicine 1985;1:143-175
  • 52.
    Modifications du parenchyme:  Étude d ’autopsies  n=30 et âge > 60 ans  « Le Poumon Sénile »:  Dilatation régulière des voies aériennes  Dilatation homogène entre les lobes sup. & inf.  Pas de destruction, ni fibrose ou inflammation  Septa alvéolaires plus épais Verbeken EK, Chest 1992;101:793-99
  • 53.
    Vascularisation pulmonaire: Peu modifiée par le vieillissement  Plaques d ’athérosclérose  Rigidité artérielle accrue des vx de moyens calibre  Distribution de la perfusion inchangée  Réponse de vasoconstriction à l ’hypoxie réduite 1. Kronenberg R, Ann Intern Med 1972;76:413-21 (perfusion lung scans) 2. Migally, Cell Tiss Research 1983;232:601-8
  • 54.
    Changement musculaire: Masse musculaire et nombre de fibres ¯  Nombre d’unités motrices ¯  Jonction neuro-musculaire modifiée  Perte de motoneurone périphérique  Pompe calcium se modifie  Diminution de la capacité de réparation (diminution de la capacité de synthèse de la myosine)  Diminution de la capacité respiratoire mitochondriale  ralentissement de la contraction et de la relaxation
  • 55.
    Le vieillissement musculaire  Perte de muscle: cellules musculaires et fibres  Perte de fonction  Perte de force > perte de muscle  Perte de puissance > perte de force  Les femmes ont un désavantage de 20 ans  Mais hétérogénéité !!!  Cf cross-sectionnal and longitudinal studies  L ’entraînement de résistance fonctionne
  • 56.
    Le vieillissement musculaire: Performance F. Comportementaux F. Périphériques et Centraux Commande F. Hormonaux neurologique
  • 57.
    Facteurs influençant laperformance musculaire respiratoire: Performance musculaire Etat Nutritionnel Situation métabolique Affections neurologiques (Parkinson, AVC) Volumes pulmonaires : CRF Géométrie musculaire Compliance thoracique et parenchymateuse Energie disponible Insuf Card Force des muscles périphériques (handgrip-PIM/PEM) Facteurs Médicaments Hormonaux
  • 58.
    Régulation de larespiration:  Au repos: ventilation minute identique  VC ¯ & FR ­  réponse ventil. & cardiaque à hypoxie ou hypercapnie ¯  A l’exercice: consommation en O2 (V’O2 litre/min) ¯ (de 9%/an après 30 ans) FC max ¯ & DC max ¯ Masse musculaire périphérique ¯  Moins bonne perception d’une charge mécanique accrue  Durant le sommeil: SAS fréquent (40%) si AHI >20/h  Fréquence de la respiration de Cheyne-Stokes
  • 59.
     Compliance pariétale¯  Poumon plus distensible air trapping d’où W respiratoire et CRF accrus  Force musculaire respiratoire ¯  Modifications des volulmes statiques et dynamiques  Réponse à l’hypoxie et hypercapnie ¯  Moins de réserve à l’agression  Echanges gazeux conservés
  • 60.
    Aging effects ondefense against respiratory illness:  Aspiration or inhalation more frequent  discoordination of the coordinated neuromuscular events during deglutition stroke, muscle weakness, neurologic disease,…  oesophageal diseases: hiatal hernia, reflux  altered esophageal sphincter: age, beta2mim., theophylline,  Colonization of the upper airway with gram negative.  Reduction in the ability to cough forcefully  Mucociliary clearance reduced (2/3)  Puchelle E, Scan J Respir Dis 1979;60:307-313  Immunoglobulin level and cellular immune response impaired
  • 65.
    Microbiological causes ofCAP 0 10 20 30 40 50 Pneumocoque H, Influenzae Mycoplasma Pneumoniae Legionella Staph aureus BGN Chlamydia Virus Germe indéterminé < 65 ans ( n = 458) > 65 ans (n=785)
  • 70.
     « Plusde 90 % des pneumopathies communautaires microbiologiquement prouvées sont dues à 6 agents  Pneumocoque, 1er chez PAC hospitalisés  H influenzae,  Légionella,  Mycoplasme, Chlamydia et virus Influenza. Plus en Conclusions de la conférence de consensus SPILF – 18 octobre 1991 ville avec des fréquences variant selon les pays, les années et les saisons.  Staphylococcus aureus et entérobactéries jouent un rôle non négligeable chez les vieillards de plus de 75 ans, vivant en institution et chez les patients atteints de tare majeure.  Des associations sont diagnostiquées de plus en plus fréquemment.  L'agent causal reste méconnu dans 25-50 % des cas.
  • 71.
    SPILF 1991 rev 2000 AFSSAPS 2005 IDSA 2003 ATS 2001 Dg microbiologique fait dans 50 à 75 % 40 à 84 % 40 à 60 % 30 à 80 % Pneumocoque 1ère cause de PAC + + + + Pneumocoque 30 à 47 % 2/3 des bactériémies 20 % PAC ville jusqu’à 60 % à l’hôpital H. Influenzae 5.5 à 22 % 3 à 10 % M. pneumoniae 7.4 à 12 % jusqu’à 23 % 10 % 10 % C. pneumoniae 5 à 10 % 12 % 10 % Légionella 5 à 15 % 10 % > 10 % en réa Virus 20 à 25 % 10 à 30 % 10 % Jusqu’à 36 % en ville Staphylocoques, entérobactéries < 5 % 0 à 33 % (patients institutionnalisés) 5 à 10 % (+ facteurs de risques) 22 % en réa Plus de 2 étiologies 2.5 % qq %
  • 72.
    Etude Thaïlandaise [1998et 2001] comparant les étiologies identifiées de patients ambulatoires (N = 98) et hospitalisés ( N=147). Le taux de diagnostics établis est très élevé : respectivement 75.5 % et 71.4 %.  ambulatoires:  CC ppnneeuummoonniiaaee ((3366..77%%)),,  MM ppnneeuummoonniiaaee ((2299..66%%)),,  SS ppnneeuummoonniiaaee ((1133..33%%)) ;;  hospitalisés :  SS ppnneeuummoonniiaaee ((2222..44 %%)),,  CC ppnneeuummoonniiaaee ((1166..33%%)),,  MM ppnneeuummoonniiaaee ((66..88 %%))..  co-infections 13,3 % et 6.1 %, C pneumoniae étant le plus souvent en cause.
  • 73.
    Le sujet âgé– des études, mais tellement disparates : Grandes *4 bases de donnée US pour 1997 - 600.000 dossiers pneumonies aiguës communautaires chez des sujets de plus de 65 ans. o L’âge moyen est de 75 ans, o la mortalité globale est de 10.6 %, o 5% des patients sont issus de maisons de retraite. o 1/3 des dossiers comportent un diagnostic étiologique. Les pathogènes identifiés sont :  pneumocoques 16 % ,  H. influenzae 9 %,  Staphylocoques 15 %  Bacilles Gram nég 29 %  Pseudomonas 13 %. L’identification de staphylocoque ou des BG- est corrélée avec un plus mauvais pronostic (RR de 1.2 à 1.85). Kaplan Am J Respir Crit Care Med 2002, 766,
  • 74.
    Le sujet âgé– des études, mais tellement disparates : Petites :  95 patients institutionnalisés, ayant une pneumopathie. [El-Solh Am J Respir Crit Care Med 2003; 1650]  67 pathogènes identifiés :  49 % de bacille Gram négatifs (E. coli, K. pneumoniae, P. mirabilis et Serratia spp, en constituent l’essentiel),  16 % d’anaérobies,  12 % de staphylocoques.  5 S. pneumoniae, mais 6 Streptococcus spp.  Pneumonies à Strepto B chez des vieillards colonisés [Edwards CID 2005;41:839]
  • 75.
    Agents pathogènes Classiquement en fonction du délai de survenue de la PNEU*  « précoce » (<5j)  Germes communautaires (pneumocoque, H. influenzae, E. coli, bacille gram – et du S. aureus sensibles)  « tardive » (>5j)  Germes plus résistants (pyocyanique, acinetobacter, bacille gram – et du S. aureus résistants) *Am J Resp Crit Care Med 1996;153:1711-25
  • 76.
    Distribution (%) desmicroorganismes isolés au cours des pneumonies nosocomiales : tous services Microorganisme Bartlett Bryan S. aureus 26 27 S. pneumoniae 31 13 H. influenzae 17 - E. coli 14 10 K. pneumoniae 23 Enterobacter 4 29 P. aeruginosa 9 15 Polymicrobienne 54 13 PTT Hc J. Bartlett, Arch Int Med 1986; C. Bryan, Am Rev Resp Dis 1984
  • 84.
    La pneumonie dusujet âgé: présentation clinique  Présentation atypique  Moins de température  Moins de frissons  Plus de confusion  Chutes  Incontinence urinaire  Signes cliniques locaux souvent présents  La fréquence respiratoire est un excellent paramètre
  • 85.
    PNEUMONIES AIGUES COMMUNAUTAIRESGRAVES Difficultés diagnostiques chez le sujet âgé Plaintes Anamnèse majeures complète Fièvre 20.8 % 50 % Toux 22.9 % 68.8 % Dyspnée 12.5 % 37.5 % Faiblesse 14.6 % 60.4 % Douleurs thoraciques 4.2 % 27.1 % Anorexie 6.2 % 54.2 % Asthénie 4.2 % 14.6 % Chutes 2.1 % 14.6 % Confusion 0 % 14.6 % HARPER J. Am. Geriatr. Soc. 1989
  • 94.
    OOuuttiillss ddiiaaggnnoossttiiqquueess Radiographie scanner Interrogatoire Ex clinique Biologie ECBC Diagnostic microbiologique PCR bactériennes PCR virus Sérologies Myc. Leg. Clam Antigénuries legionelle Pneumocoque hémocultures Ponction transP LBA, Brosse
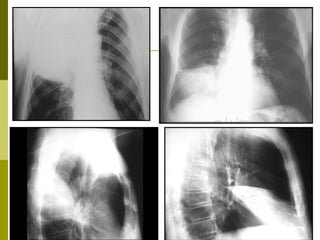
  • 95.
    Début brutal, crépitantssous le sein droit, Dg par hémocultures : Pneumocoque
  • 97.
    RRaaddiiooggrraapphhiiee ppuullmmoonnaaiirree Condensation TypiquLeS dDet …légionellose (75%)
  • 98.
  • 99.
    SSccaannnneerr vvss rraaddiiooggrraapphhiiee TDM :Infiltrat bilatéral -LSdt, apical LIG, -pyramide basale Syrjala CID 1998
  • 100.
    • TTeecchhnniiqquuee bbrroonncchhoossccooppiiqquuee :: – LLaavvaaggee BBrroonncchhoo--aallvvééoollaaiirree – BBrroossssaaggee ddiissttaall pprroottééggéé
  • 122.
    PAC présumées bactériennes  Antibiothérapie probabiliste des PAC en ambulatoire 1er choix Échec amoxicilline à 48 h Sujets jeunes sans comorbidité amoxicilline 1 g x 3/j PO Ou pristinamycine 1 g x 3/jPO Ou télithromycine 800 mg/j PO macrolide Ou pristinamycine 1 g x 3/jPO Ou télithromycine 800 mg/j PO Sujets âgés sans comorbidité amoxicilline ac. clav. 1 g x 3/j PO FQAP lévofloxacine 500 mg/j PO Ou moxifloxacine 400 mg/j PO Sujets âgés institution amoxicilline ac. clav. 1 g x 3/j PO Ou ceftriaxone 1 g/j IM/IV/SC Ou FQAP = lévofloxacine 500 mg/j PO moxifloxacine 400 mg/j PO FQAP lévofloxacine 500 mg/j PO Ou moxifloxacine 400 mg/j PO
  • 123.
    PAC présumées bactériennes Antibiothérapie probabiliste des PAC non sévères hospitalisées (SAU, service de médecine) Arguments en faveur du pneumocoque Pas d’arguments en faveur du pneumocoque 1er choix Si échec ß-lactamine à 48 h Sujets jeunes sans comorbidité amoxicilline 1 g x 3/j PO/perfusion IV amoxicilline 1 g x 3/j PO/perf IV Ou pristinamycine 1 g x 3/j PO Ou télithromycine 800 mg/j PO Associer un macrolide Ou substitution par télithromycine ou pristinamycine Sujets âgés sans comorbidité amoxicilline 1 g x 3/j PO/perfusion IV amoxicilline ac. clav. 1 g x 3/j PO/perf IV Ou céfotaxime 1 g x 3/j perf IV Ou ceftriaxone 1 g/j IV Ou FQAP (lévofloxacine 500 mg x 1 à 2/j PO ou moxifloxacine 400 mg/j PO Associer un macrolide Ou substitution par télithromycine ou pristinamycine Sujets âgés avec comorbidité(s) amoxicilline 1 g x 3/j PO/perfusion IV amoxicilline ac. clav. 1 g x 3/j perf IV Ou céfotaxime 1 g x 3/j perf IV Ou ceftriaxone 1 g/j IV Ou FQAP (lévofloxacine 500 mg x 1 à 2/j PO ou moxifloxacine 400 mg/j PO) Associer un macrolide Ou substitution par télithromycine ou pristinamycine
  • 124.
     Antibiothérapie probabilistedes PAC sévères (Unités de soins intensifs ou réanimation) 1er choix Sujets jeunes sans comorbidité (céfotaxime 1-2 g x 3/j perf IV ou ceftriaxone 1-2 g/j IV) plus (macrolides IV ou FQAP IV : lévofloxacine 500 mg 2/j IV) Sujets âgés sans comorbidité (céfotaxime 1-2 g x 3/j perf IV ou ceftriaxone 1-2 g/j IV) plus FQAP (lévofloxacine 500 mg x 2/j IV) Sujets avec comorbidité(s) (céfotaxime 1-2 g x 3/j perf IV ou ceftriaxone 1-2 g/j IV) plus FQAP (lévofloxacine 500 mg x 2/j IV) si suspicion de pyocyanique : (pipéracilline-tazobactam 4 g x 3/j IV ou céfépime 2 g x 2/j IV ou imipénème 1 g x 3/j IV) en association avec un aminoside et un antibiotique actif sur les germes intracellulaires (macrolide ou flluoroquinolone)
  • 125.
    Prévention  Mesuresspécifiques (plus ou moins discutées)  Soins de bouche, preuves de l’intérêt Réduction des pneumopathies chez le sujet âgé (antiseptique, brossage après le repas) Réduction des pneumopathies en chirurgie cardiaque et en réa chirurgicale (bain de bouche par chlorhexidine à 0,12%)
  • 132.
    Prévention  Mesuresspécifiques (plus ou moins discutées)  Prophylaxie de l’ulcère de stress  7 méta-analyses (plus de 20 essais randomisés) avec le sucralfate et 2 essais récents (dont 1 comparant omeprazole, famotidine, sucralfate, placebo ne montre pas de différence entre les 4 groupes ni pour le saignement ni pour la PNEU)  A réserver à certains patients (état de choc, détresse respiratoire majeure, coagulopathie)
  • 133.
    Prévention  Mesuresspécifiques (plus ou moins discutées)  Décontamination digestive sélective (le plus souvent associée à une ATB par voie générale) ? ? ?  10 méta-analyses (40 essais randomisés) en faveur d’une réduction des PNEU et de la mortalité  Revue récente (32 essais) conclut à une relation inversement proportionnelle entre bénéfice et qualité méthodologique de l’étude  Pas de consensus sur émergence ou non de BMR  En 2007 revue de 51 essais randomisés (1987-2005) incluant 8 065 patients graves en faveur d’une réduction des bactériémies et de la mortalité (nécessité de traiter 22 patients pour prévenir 1 décès)* * J H I 2007;65:187-203
  • 134.
    Vaccin antipneumocoque: pasde preuves irréfutables mais des recommandations  Peu d’ effets secondaires  L’ âge supérieur à 65 ans ne permet pas d’ identifier les sujets à risque  Pas de preuves de l’ efficacité en termes de prévention des pneumonies à pneumocoque (« Prescrire » 1999/Tome 19, n° 201, pp 807-810)  « Diminution de l’ infection systémique et des pneumonies sans entraîner de diminution de la mortalité: preuves insuffisantes pour recommander la vaccination systématique après 65 ans » (http://www.formularium.be)  Conseil supérieur d’ hygiène (1993, 1999): personnes > 60 ans; Sujets > 45 ans + maladie chronique CV, hépatique, rénale, pulmonaire ou diabète); sujet splénectomisés (Folia juin 2001, août 2003) http://www.cbip.be
  • 135.
    Vaccin antipneumocoque (Lancet 1998; 351: 399-403) RCT en Suède (patients hospitalisés pneumonie)  Taux de nouvelles pneumonies: groupe vaccin (19%) groupe placebo ( 16%) NS  incidence pneumonies à pneumocoques: 5,6 % versus 4,5% NS  Mortalité totale: 8,6 % versus 8% NS  Concl.: pas de démonstration de réduction du risque de pneumonie ou de la mortalité après 65 ans  (Vaccine 1999; 17: 2493-2500) Essai comparatif non-aveugle en Finlande  2 groupes triés selon l ’ année de naissance paire ou impaire: mais > 65 ans  Groupe 1: vaccins grippe + pneumo 23 (n = 13980)  Groupe 2: vaccin grippe seul (n = 12945)  Incidence des pneumonies à pneumocoques pour 1000 années/patient: Groupe 1 = 2,7 % vs groupe 2 = 2,4 % NS  Injection de rappel après 5 ans ? Pas d’utilité démontrée (JAMA
  • 136.
    Vaccin antipneumococique Source:Formul R info, n° 5, novembre 2004  Synthèse méthodique (Cochrane)  Méta-analyse études randomisées: pas de preuve d’ efficacité pour la prévention de la pneumonie  Méta-analyse des études « Cas-contrôle » (moins fiables): efficacité dans la prévention des infections invasives à pneumocoque  => suppression de l’indication de ce vaccin pour les P.A. aux Pays-Bas (Ned. Tijdschr Gennesk 2004; 148: 871-4)  Pas repris dans le Formulaire MRS (Formul R info, année 11, n°5, nov. 2004)
  • 138.
    QUELLE ÉVOLUTION ? Facteurs prédictifs de mortalité (Métaanalyse ) Odd Ratio Sexe masculin 1.3 Diabète 1.3 Leucopénie 2.5 Bactériémie 2.8 Néoplasie 2.8 Tachypnée 2.9 Opacités Multilobaires 3.1 HypoTA systolique 4.8 Hypothermie 5
  • 139.
    QUELLE ÉVOLUTION ? Facteurs prédictifs de mortalité (Analyse multivariée) TORRES (1991) Extension radiologique après admission Choc septique Maladie s/jacente à pronostic fatal ALMIRALL (1995) Age ³ 70 ans SAPS > 12 Recours à la ventilation mécanique Choc septique Opacités bilatérales Pneumonie à Pseudomonas
  • 140.
    QUELLE ÉVOLUTION ? Critères de « Guérison » disponibles à 48 – 72 heures - Cassure thermique - Arrêt de l’extension des opacités - Stabilisation de l’état hémodynamique - Stabilisation de l’état ventilatoire
  • 141.
    QUELLE ÉVOLUTION ? Situations d’échec au cours de l’évolution - Aggravation de l’état respiratoire avec signes de sepsis - Aggravation de l’état respiratoire sans signes de sepsis
  • 142.
    QUELLE ÉVOLUTION ? Situation d’aggravation de l’état respiratoire avec signe de sepsis = bilan à entreprendre - Examen clinique, ORL inclus - Imagerie thoracique - Imagerie des sinus - Échographie cardiaque - Prélèvements microbiologiques (avant changement d’antibiothérapie)
  • 143.
    QUELLE ÉVOLUTION ? Situation d’aggravation de l’état respiratoire sans signe de sepsis = Bilan à entreprendre - Examen clinique - Bilan cardiologique - Bilan rénal - NFS – Bilan de coagulation - (Angio) Scanner thoracique - Fibroscopie + prélèvements protégés - Lavage bronchoalvéolaire
  • 144.
    QUELLE ÉVOLUTION ? 1) Existe t-il une phase fibroproliférative post –pneumonique aboutissant à un pneumonie organisée ? 2) Relève t-elle d’une corticothérapie différée ? Si oui, sur quels critères peut on l’engager ? (Tableau radioclinique + LBA) (ou Biopsie pulmonaire ? )
  • 145.
     Évaluation desa gravité  Gravité systématiquement appréciée sur l’association de facteurs cliniques et de comorbidités  Scores spécifiquement dédiés aux PAC  Fine (Pneumonia Severity Index : PSI)  CRB 65  British Thoracic Society (BTS)  American Thoracic Society (ATS)
  • 148.
    Score de Fine  Éléments de calcul du score de Fine (PSI) La classe 1 correspond à l’adulte sain de moins de 50 ans, sans aucun signe de gravité, ni comorbidité (probabilité de mortalité inférieure à 0,1 %). Pas de prélèvement sanguin. Facteurs démographiques Points Âge Hommes Femmes Vie en institution = Âge en années = Âge-10 + 10 Comorbidités Maladie néoplasique Maladie hépatique Insuffisance cardiaque congestive Maladie cérébro-vasculaire Maladie rénale + 30 + 20 + 10 + 10 + 10 Données de l’examen physique Atteinte des fonctions supérieures Fréquence respiratoire > 30/min TA systolique < 90 mmHg T° < 36 °C ou > 40 °C Fréquence cardiaque ≥ 125/min + 20 + 20 + 20 + 15 + 10 Données radiologiques et biologiques pH artériel < 7,35 Urée ≥ 11 mmol/l Na < 130 mmol/l Hématocrite < 30 % PaO2 < 60 mmHg Épanchement pleural + 30 + 20 + 20 + 10 + 10 + 10
  • 149.
    Score de Fine Classe Points Probabilité de Mortalité II ≤ 70 0,6-0,7 % III 71-90 0,9-2,8 % IV 91-130 8,2-9,3 % V > 131 27-31 %
  • 150.
    Score de laBTS Confusion Urea > 7 mmol/l Respiratory rate ≥ 30/min Blood pressure: systolic < 90 mmHg or diastolic ≤ 60 mmHg 65 Age ≥ 65 La présence d’au moins 2 de ces 4 facteurs multiplie par 36 le risque de mortalité
  • 151.
    Score CRB 65 C Mental Confusion R Respiratory rate ≥ 30/min B Blood pressure : systolic < 90 mmHg or diastolic ≤ 60 mmHg 65 Age ≥ 65 Score utilisable en ville 0 critère : traitement ambulatoire possible, ≥ 1 critère : évaluation à l’hôpital
  • 152.
    Score de l’ATS(révisé en 2001) 3 critères mineurs • PaO2/FiO2 < 250 • Atteinte plurilobaire • PAS ≤ 90 mmHg 2 critères majeurs • Nécessité d’une ventilation mécanique • Choc septique La présence de deux critères mineurs ou un critère majeur prédit la nécessité d’une admission en USI Sensibilité : 78 % Spécificité : 94 % VPP : 75 % VPN : 95 %
  • 153.
    Prise en charge  Score PSI pour confirmer la possibilité d’une prise en charge extra-hospitalière (Recommandation de grade A)  Scores CRB 65, BTS et ATS : plus pertinents dans l’aide à la décision d’une prise en charge en réanimation  Étape 1 : recherche de conditions préexistantes compromettant le succès du traitement ambulatoire : instabilité hémodynamique, décompensation d’une comorbidité préexistante nécessitant l’hospitalisation, hypoxémie aiguë, problèmes d’ordre sociaux ou psychiatriques, et incapacité à l’absorption d’un traitement per os  Étape 2 : calcul du score PSI : patients classes I et II = traitement en ambulatoire (Recommandation de grade A)  Si score PSI ≥ III : hospitalisation (Recommandation de grade A)
  • 154.
    Réanimation En dehorsde la réanimation Score ATS /FINE Hospitalisation Score FINE +/- CRB 65 = III, IV, V = I, II Signes Vitaux (PA, FC, FR saturation) ? Comorbidité ? Non Ville Âge < 50 ans ? Score FINE = I Oui Score FINE +/- CRB 65 PAC en ville Oui Non Non Oui
  • 163.
    ………………. SUITE Patient age de 76 ans, admis 27/05/09 pour : - douleurs epigastriques - dyspnee - fievre - toux productive Symptomatologie evoluant deuis 3 semaines  ATCD : HTA (+) x 3 mois Arthrite genou G x 10 ans Epigastralgie, pyrosis  E.P (admission) : conscient TA 150/80 FC 120/mn FR 40/mn T 38.5 C Paleur conjonctivale – BDC acceleres – Rales crepitants aux 2 bases pulm. – HERNIE OMBILICALE
  • 164.
    • IC (admission): Pneumonie bacterienne TB pulmon. a E • Rx : azythromycine, PNC cristalline, enalapril, chloroquinotherapie d’epreuve • A J7 d’hospitalisation (salle) : TA 160/80 FC 80/mn FR 24/mn T 36.5 C opacification bilaterale cristallin – conjonctives pales BDC reguliers – Poumons avec fins crepitants aux 2 bases – Abdomen avec pannicule adipeux important+ hernie ombilicale – Discret oedeme membres < prenant godet + secheresse cutanee
  • 165.
     Bilans disponibles - Hgm : anemie moderee normochrome normocytaire a 8,37 g d’Hb Hyperleucocytose a 19500 : 65% neutro et 35% lympho - Ionogramme altere : legere hypernatremie (150meq/l « hyperchlorhemie (115 - VS acceleree : 61 mm/h - CRP elevee : 48 - Bilan renal normal - X-Ray thorax : opacites basales bilaterales - Hgm (29/05/09) : anemie severe a 7,6 g d’Hb 15% GR nuclees hyperleucocytose a 14000 avec 30% neutro et 70% lympho
  • 166.
     IC (Salle): Pneumonie bacterienne + anemie d’E a I + Cataracte + Hernie ombili-cale  Rx
  • 168.
     Pn. duSA, qu’elle soit acquise a domicile ou a l’hopital, est une affection frequente, dont la severite et pronostic sont conditionnes en grande partie par les comorbidites, et par le degre d’handicap fonctionnel.  Dx est souvent rendu difficile par nature non specifique des symptomes d’appel (etat confusionnel, chutes) et par l’absence ou paucite des symptomes classiques.  Prevention repose essentiellement sur vaccination anti-pneumococcique systematique (tous les 5 ans) et vaccina-tion antigrippale, clairement recommandees dans cette population.
  • 169.
     Traitement doittenir compte : - comorbidites - provenance du patient - notion eventuelle de contage  et integrer donnees epidemiologiques les + recentes quant aux agents etiologiques.  Enfin, TB doit rester a l’esprit dans ce groupe d’age
  • 170.
     Pneumonies PaulLeophonte & Ph. Birot – Ed. 2001 / p 84-101  Abreges : CAT dans les infections du sujet age Pierre Veyssier & Joel Belmin - Ed. 2003/ p35-44  Revue Medicale Suisse # 542 publiee 12/11/03 : Pn. du sujet tres age, specificites Article #23374 de J.- P. Janssens K. H. Krause  Robbins, Anatomie pathologique : Bases physiopatholo-giques et morphologiques des maladies Cotran & Kuman & Collins – 3eme Ed. Francaise , vol. 2  Harrisson : Principes de Medecine Interne 16eme Ed. - p 1475 - 1485
  • 171.
  • 172.
    REMERCIEMENTS  DrLambert  Tous les residents et internes