Radiographie du thorax thorax Hôpital cantonal de Fribourg
EXEMPLE THORAX NORMAL
THORAX NORMAL
THORAX NORMAL
THORAX NORMAL
THORAX NORMAL
Syndromes radiologiques Syndrome alvéolaire Syndrome interstitiel Syndrome nodulaire Syndrome bronchique Syndrome vasculaire Syndrome cavitaire Syndrome pleural Syndrome médiastinal Syndrome pariétal Calcifications
Syndromes radiologiques Syndrome alvéolaire
Définition: Le syndrome alvéolaire se définit par une atteinte des espaces aériens distaux, au cœur du lobule pulmonaire. Critère  radiologiques répartition systématisée lobaire ou segmentaire limites floues tendance à la confluence bronchogramme et/ou alvéologramme aérique répartition en aile de papillon
Exemple
Syndromes radiologiques Syndrome interstitiel
Définition: Le syndrome interstitiel indique une atteinte de l’interstitium pulmonaire, formé de tissu conjonctif de soutien. On distingue : secteur périphérique secteur axial les parois alvéolaires
Secteur périphérique Le secteur périphérique comprend le tissu conjonctif sous-pleural et les septas interlobulaires. L’atteinte du secteur périphérique se traduit : œdème sous-pleural et des lignes de Kerley A ou B épaississement anormal de l’opacité scissurale
Exemple
Secteur axial L’épaississement du secteur axial définit des modifications dans les régions hilaires et parahilaires L’atteinte du secteur axial se traduit par : opacités péribroncho-vasculaires  effacement des contours vasculaires clartés tubulées ( manchon péribronchique )
Les parois alvéolaires Elles sont constituées de cloisons conjonctives intralobulaires  siégeant dans les espaces interalvéolaires destruction pulmonaire  évolution ultime des certaines fibrose   interstitielles   diffuses. exemple :  l’image en rayon de miel ou nid d’abeilles
Syndromes radiologiques Syndrome nodulaire
Définition: Le syndrome nodulaire est défini par la présence d’opacités pulmonaires arrondies, appelés nodules La taille minimale pour qu’un nodule unique non calcifié soit repéré est de  6 mm
Définition: Les nodules alvéolaires tendent à confluer limites floues  aspect changeant Les nodules interstitiels sont limités aux frontières du secteur interstitiel  bords nets non confluent
Définition: On distingue : opacités micronodulaires - nodules ronds de 1 à 3 mm nodules ou opacité arrondie - nodules mesurant jusqu’à 3 cm
Syndromes radiologiques Syndrome bronchique
Définition: Le syndrome bronchique est défini comme l’ensemble des manifestations radiologiques des affections bronchiques qui ont pour caractéristiques communes d’entraîner une hypersécrétion et une obstruction des voies aériennes. Signes  radiologiques images en anneaux à parois plus ou moins épaisses opacités linéaires parallèles en « rail »
Syndromes radiologiques Syndrome vasculaire
Définition: Le syndrome vasculaire englobe l’ensemble des signes traduisant une variation pathologique du calibre, du nombre ou de la situation des vaisseaux pulmonaires visibles sur la Rx standard.
Définition: hypovascularisation avec piégage -  vasoconstriction réflexe dans le teritoire   piégé et mal ventilé. Mécanisme du piégeage   lié à une obstruction des voies aériennes. Exemple: emphysème pulmonaire (destruction lit cap ) Hypovascularisation ou oligémie
Définition: hypovascularisation sans piégage obstruction artérielle pulmonaire Origine extrinsèque -  masse tumorale médiastinale Origine intrinsèque pariétale -  tumeur primitive de l’artère Embolie pulmonaire Origine congénitale - Hypovascularisation ou oligémie
Définition: Hypervascularisation pulmonaire -  par hyperdébit artériel pulmonaire -  hyperthyroïdie - hyperthermie - shunts intra-cardiaque D/G  -  exemple: CIA, CIV, canal artériel - par hyperpression veineuse pulmonaire - IC (  hypervascularisation passive ) Les vaisseaux des sommets sont hypertrophiés
Définition: Augmentation du calibre des artères pulmonaires centrales -  hypertension artérielle pulmonaire  Anomalies localisées de calibre ou de trajet vasculaire -  varice pulmonaire, anévrysme artériel -  malformation artério-veineuse
Syndromes radiologiques Syndrome cavitaire
Définition: Le syndrome cavitaire est défini par la présence d’une ou plusieurs cavités néoformées dans le parenchyme pulmonaire. Critère  radiologiques L’aspect radiologique varie en fonction : taille des cavités épaisseur de leur paroi contenu (  air, solide, niveau hydro-aérique  )
Syndromes radiologiques Syndrome pleural
Définition: Le syndrome pleural englobe les signes qui traduisent la présence de liquide, d’air ou de tissu anormal dans l’espace pleural limité par les deux feuillets. Critère radiologiques L’aspect radiologique varie en fonction : position ( zones la plus déclive ) quantité de liquide localisation ( interlobaire ou scissural ) degré d’organisation ( épanchement cloisonné )
Exemple
Syndromes radiologiques Syndrome médiastinal
Définition: Le syndrome médiastinal englobe des signes qui traduisent la présence d’un processus expansif ou infiltrant anormal dans le médiastin. Signes  radiologiques le signe cervico-thoracique le signe de la convergence du hile le signe de recouvrement du hile le signe de l’attraction de l’oesophage
Syndromes radiologiques Syndrome pariétal
Définition: Le syndrome pariétal traduit une lésion de la paroi thoracique Une augmentation ou une diminution de l’épaisseur de la paroi des parties molles du thorax peut être comparé au côté opposé
Exemple
Syndromes radiologiques Calcifications
Définition: Les calcification sont plus facilement repérées sur des clichés faits en basse tension. Elles sont analysées en fonction de leur topographie. localisations calcifications pleurales calcifications cardio-vasculaires calcifications ganglionnaires calcifications trachéo-bronchiques calcifications au sein de masses médiastinales calcifications pulmonaires
Calcifications pulmonaires Analyse en fonction de leur aspect morphologique calcification diffuses d’aspect miliaire -  histoplasmose, hémosidérose, tbc calcifications nodulaires multiples -  parasitoses, silicose, varicelle ossifications de forme nodulaire -  calcifications valvulaires mitrale calcification nodulaire unique -  tuberculose, hématome calcifications au sein de nodules multiples - métastases chondrosarcome, ostéosarcome calcifications arciformes -  paroi d’une bulle, kyste hydatique
EXEMPLES THORAX PATHOLOGIQUE
Adénopathies hilaires
Adénopathies hilaires
TROPISME LYMPHATIQUE DE LA SARCOÏDOSE
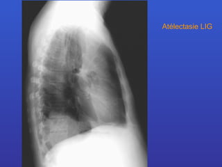
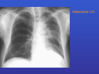
Atélectasie LIG
Atélectasie LIG
Atélectasie lobe moyen
Atélectasie lobe moyen
Dilatation bronchique
Dilatation bronchique
Calcifications pleurales
Calcifications pleurales
Calcifications post-pneumonie
Calcifications en coquille d’oeuf
Contrôle positionnement cathéter central
Contrôle positionnement cathéter central
Emphysème pulmonaire
Emphysème pulmonaire
Fibrose pulmonaire
Fibrose pulmonaire
Masse médiastinale rétro-cardiaque
Masse médiastinale rétro-cardiaque
Masses médiastinales d’origine lymphomateuse
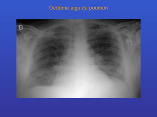
Oedème aigu du poumon
Oedème aigu du poumon
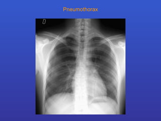
Pneumothorax
Pneumothorax
Syndrome alvéolaire pneumonie franche lobaire
Syndrome alvéolaire pneumonie franche lobaire
Syndrome alvéolaire
Syndrome alvéolaire
Syndrome bronchique
Syndrome bronchique
Séquelles de tuberculose
Syndrome cavitaire
Miliaire tuberculeuse
Miliaire tuberculeuse
Nodules pulmonaires multiples
Épaississement nodulaire de la plèvre
Mésothéliome
Mésothéliome
Empyème pleural
Empyème pleural
Pathologie tumorale
Pathologie tumorale
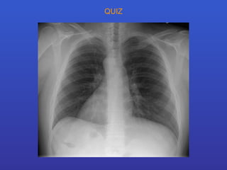
QUIZ
QUIZ
QUIZ
QUIZ
QUIZ
QUIZ
QUIZ
QUIZ
QUIZ
QUIZ
Réponse SARCOIDOSE
Définition Granulomatose systémique diffuse de cause inconnue La lésion pulmonaire initiale est une alvéolite  lymphocytaire et macrophagique. Secondairement, formation de granulomes. paroi des alvéoles le long des bronches dans les septas interlobulaires
Stades Stade 0 : thorax normal Stade I :  adénopathies hilaires Stade II : adénopathies + atteinte pulm. StadeIII : atteinte pulm. sans adénopathies Stade IV: fibrose pulmonaire
QUIZ
QUIZ
QUIZ

Rx Thorax