Réaliser par:
Les étudiants de La promo 2010 _2011
La rotation B2 du 10/04/2011 au 07/04/2011
clichés BENI MESSOUS +HCA
Belkhiri Aness /Houas hafida /Hriti besma/Hannachi mohamed Amine /Dali braham nadir/ Harkat Samiha/Haroun imen/Lalmi ahmed amir
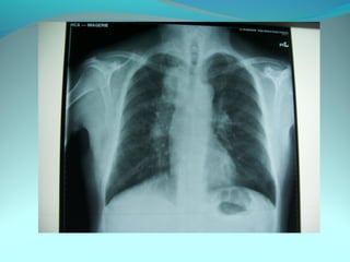
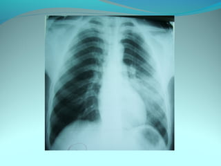
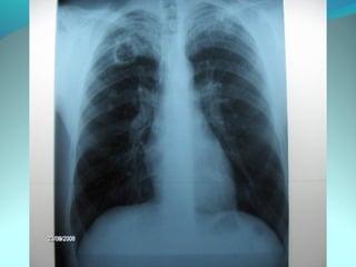
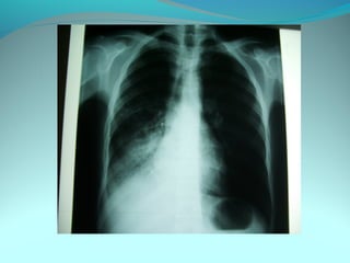
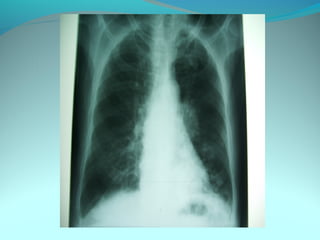
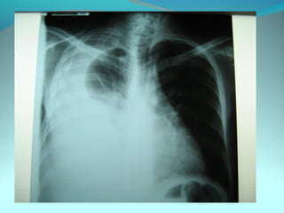
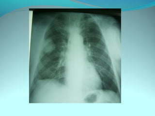
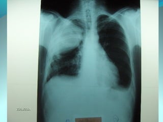
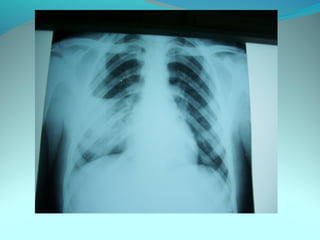
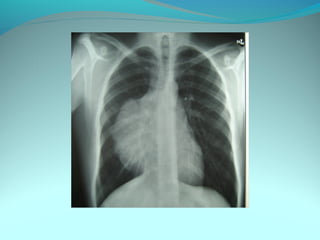
Opacité occupant la partie externe du 1/3 infer du poumon droit
dense et homogene ovalaire de 8cm de grand axe vertical
La limite externe se confend avec une opacité d’environ 1cm comble
les coupole costodiaphragmatique droit
Limitée a sa partie sup par la petit sessure qui est epaisse et pas de
lyse costale
 DIAGNOSTIC :DIAGNOSTIC :
 1_1_cancer bronchique droit( d epaississement)
 2_2_ kyste hydatique au stade sain
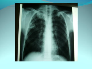
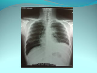
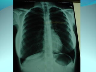
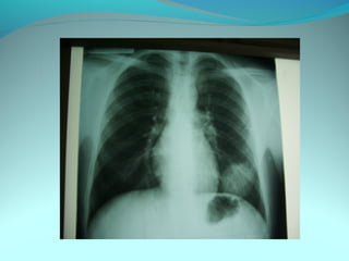
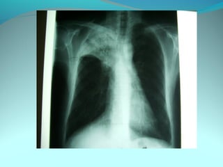
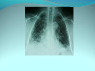
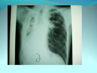
cliché de mauvaise qualité
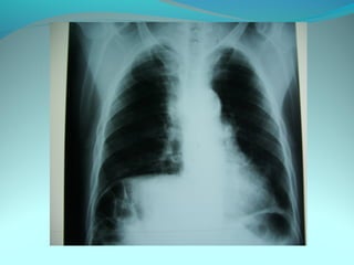
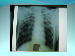
Clarté retroclaviculaire gauche d 3cm de diam
entouré d’une paroi de 1cm d’epaisseur
La limite interne se confend avec le mediastin
Les autre limites sont nette
DIAGNOSTIC
Caverne tuberculeuse gauche
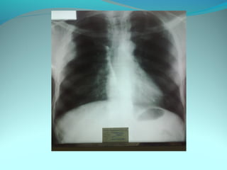
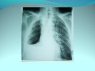
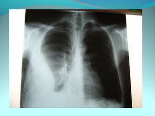
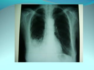
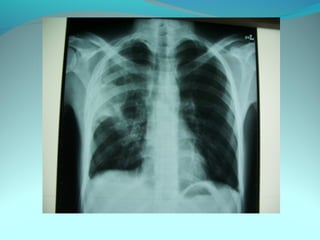
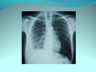
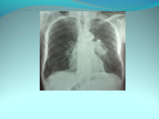
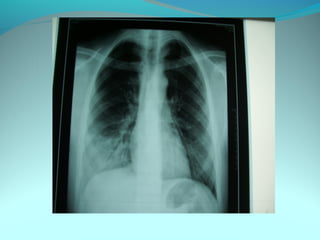
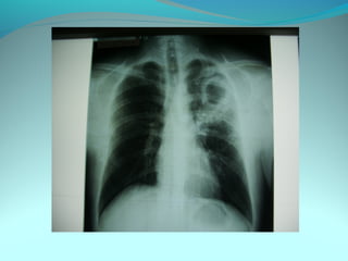
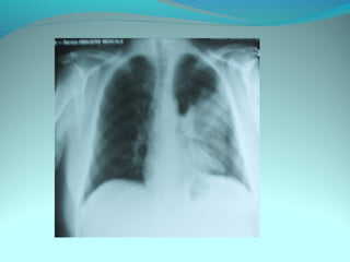
Opacité latéro_trachiale et hilaire droite grossierement arrondie de
6cm de diam dense et homogene
 la limite interne se confend avec le mediastin et la limite externe
nette convexe vers le mediastin
elle confond avec le mediastin évoquant une image mediastinale
Par ailleur on note:
Une surrélevation de la coupole diaph
Un coblement …..
DIAGNOSTIC:
Lymphome H ou NH
Volumineuse ADP tuberculeuse ou sarcoidosique
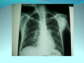
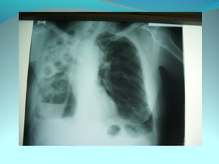
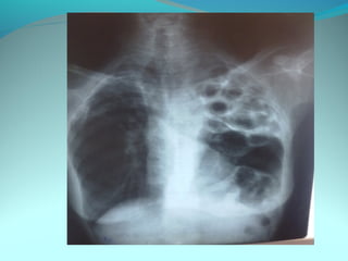
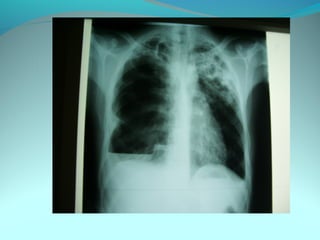
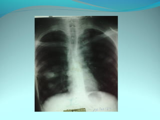
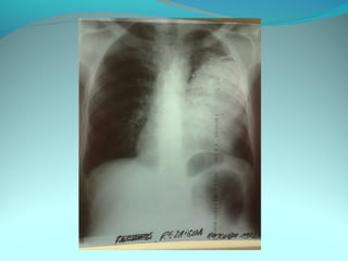
Opacité triangulaire a base cardiaque a sommet
axillaire dense et homogène
Par ailleurs on note
Une opacité plus dense que celle arrondie de 3cm de
diam hilaire gauche ;une surélévation de la coupole
diaphragmatique gauche é poche a aire gastrique
DIAGNOSTIC :
ADP hilaire gauche avec trouble de ventilation
Surelevation de la coupole G et de la poche gastrique
avec de clarté le médiastin
DIAGNOSTIC:
Hernie diaphragmatique paralysie du diaphragme

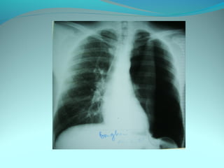
2 hyper clarté avasculaire occupant la quasi-totalité de l HT G
séparées par du parenchyme pulmonaire qui reste attache au sommet
par une opacité correspondant une bride
La hydrique est périohérique allant de sommet a la base de 5cm
d’épaisseur a sa partie inf et de 3cm a l supr; la limite supero ext se
confond a la paroi; la limite interne correspond au poumon
Pa de signe de distension ni de refoulement
DIAGNOSITC:
PNO gauche bride
Image radiologique bilaterale
A droite : clarté sous claviculaire et axilaire droite arrondie de 3 cm de
diam entourée d une paroi de 4mm d’épaisseur
Le 1/3 sup du poumon droit est le siege d’opacité nodulaire avec
quelque clarté
A gauche: le 1/3 moyen est le siege d’opacité nodulaire et de clarté de
taille variable
DIAGNOSTIC:
Tuberculose pulmonaire bilaterale cavitaire
Opacité hilaire droite ovalaire de 4cm de grand axe vertical dense et
homogene
La limite interne se confond avec le mediastin
la limite externe évoquant des ADP
Hilaire
Par ailleurs on note
Un comblement de par une opacité micronodulaire dans le 1/3 infer
du P gauche
DIAGNOSTIC:
Sarcoidose type(presence de syndrome interstitiel gauche)
tuberculose
Opacité micronodulaire et nodulaire siégeant dans la
région hilloaxilaire de clarté de tailles variable
DIAGNOSTIC:
Tuberculose pulmonaire droite
Opacité dense et homogene de la base droite effaçant l’hemi coupole
et comblant les 2cds costodiaph et cardiophrénique a limite super
concave en haut et en dedans se prolongeant par une opacité en bride
diminuant progressivement d’épaisseur pour disparaitre au niveau du
sommet
Par ailleurs on note une 2eme opacité peu dense dans la ½ inf du
poumon droit correspondante a pleural
DIAGNOSTIC:
Epanchement pleural liquidien droit de petit abondance
Clarté sous claviculaire gauche arrondie de 4cm de diam entouré
d’une paroi epaisse de 1 cm d epaisseur
Par ailleurs la ½ sup du poumon gauche est le siege d ’opacité
micronodulaire et nodulaire prédominante ds la région sus hilaire
asociées a des clartés de tailles variable
DIAGNOSTIC:
Tuberculose pulmonaire gauche cavitaire
Ascension de la coupole droite avec présence de
clarté originaire colique sous cette coupole
DIAGNOSTIC:
Hernie diaphragmatique droite
Image radiologique bilatirale a type d’opacité nodulaire occupant les
2/3 sup du poumon droit et la ½ sup du P G confluante par pour
former de grosses opacités
DIAGNOSTIC:
Tuberculose pulmonaire bilateral
Pneumonie bilaterale
Opacité heterogene de tout le P.G peu dense et siege de clarté
arrondie de taille variable dont la plus volumineuse est sous
claviculaire et axillaire arrondie de 4cm de diam a paroi de 2mm
d’epaisseur
DIAGNOSTIC:
Tuberculose pulmonaire gauche étendu cavitaire
Opacité latero trachiale droite dense et homogene ovalaire de 4cm de
grand axe vertical
La limoite interne se confond avec le mediastin et la limite ext nette se
raccordons en pente douce avec le mediastin exoquant image
mediastinale
DIAGNOSTIC:
ADP maligne ou benigne
Multiple clartés arrondies de 3cm de diam dessinées au compat
entourées de parois epaisses de 5mm d’epaisseur siegeant dans la ½ sup
du poumon droit correspondant a des billes de ( ou materiel de
comblement de pneumo plastie )
Par ailleurs la ½ inf du poumon est le siege de la superposition de 2
images mixtes hydro-aérique de 8cm de diam effaçant la coupole droite
comblant les 2CDS costodiaph et cardiophrenique
On note attraction de la trachée vers laD
DIAGNOSTIC:
suppuration pulmonaire sur sequelle de pneumoplastie
Dystrophie bulleuse surinfectée sur séquelle de pneumoplastie
image radiologique bilaterale a type d’opacité en nappe occupant les
2/3 inf des du poumon pridominante a droite
Par ailleurs on note une opacité dense et homogene comblant les cds
costodiaph droit correspondant a une pleurale
DIAGNOSTIC :
Bronchopneumonie bilaterale
Opacité de la base gauche arrondie de 5cm de diam
homogene bien limités
La limite inf se confond avec la coupole sans l efface
et les autre limites sont nettes
DIAGNOSTIC:
kyste hydatique au stade sain
cancer bronchique gauche
Opacité micronodulaire bilaterale diffuses et uniformement repartis
sur les 2 poumons realisant l’aspect d’une miliaire a petit grain
On note opacité latero trachiale ovalaire de 3cm de grand axe vertical
a limite ext des ADP médiastinale
Une opacité hilaire droite de 15 mm d’epaisseur
DIAGNOSTIC:
Miliaire tuberculeuse avec ADP mediastinal
Lymphome avec miliaire
Sarcoidose type2
Opacité en plage peu dense du 1/3 inf du poumon droit homogene a
limite ext se confond avec la paroi et la limite inf avec la coupole sans
l’efface et la limite interne en contacte avec la le bord droit du cœur
sans l efface et la limite sup floue
DIAGNOSTIC :
Pneumonie alveolaire du lobe inf du poumon droit (l opacité n’efface
pas le bord droit du cœur donc elle est post)
Image radiologique bilaterale fait de multiple clarté de
taille variable de 1cm jusque 10cm
On note:
aplatissement de la coupole droit avec ouverture de cds
cardiopleural
Un comblement de cds costodiaph droit
Un aspect quadrangulaire du thorax
DIAGNOSTIC:
Emphysème bulleux bilatérale
Hyperclarté avasculaire occupant la totalité du poumon droit
correspondront a une volumineuse bulle d’emphyseme
On note des signe de distention a type d’ellargissement des EIC et
horizentalisation des cote avec refoulement du mediastin
On note une clarté lignaire verticale le long des cardiaque
correspondant a un
DIAGNOSTIC:
Volumineuse bulle d’emphyseme gauche avec pneumomediastin
Image mixte hydroaerique axillaire droite grossierement ovalaire a
8cm de grand axe vertical
la limite ext se confond avec une opacité en bonde d’environ 1cm
d’épaisseur comblant le cds costodiaph droit
Les limites inf et int nettes et la limite sup
Cette image est faite d’une 2/3 infer dense et homogene surmenté d’une
clarté séparée d’elle par niveau horizontal
Par ailleurs on note au niveau de 1/3 moyen des opacité micronodulaires
associés a des clartés de tailles variables allant de qq mm a 1cm
DIAGNOSTIC:
Abcés pulmonaire associé a un tuberculose droit
Opacité dense et homogene occupant les 2/3 sup du poumon droit a
limite super extr se confond avec le mediastin et la limite infer
convexe vers le bas
Cette opacité est le siege d une clarté séparée d’elle par un niveau
horizontal
DIAGNOSTIC:
Pneumonie excavée droite
Cancer bronchique excavé
Opacité fusiforme axillaire gauche de 8cm de grand axe vertical de 3cm
de grand axe horizontal
Opacité dense homogene comblant le cds costodiaph G
La limite ext se confond avec la paroi
La limite int convexe vers le poumon se prolonge par une ligne
bourdante jusqu’au sommet
on note un aplatissement de la coupole G
DIAGNOSTIC:
Epanchement pleural enkysté
Epaississement pleural
Tumeur parietale
Image radiologique bilaterale a type d’opacité a progection hilaire
ovalaire de 4cm a droite de 3cm a gauche a limites externes
irrigulieres
On note
Attraction de la trachée vers la droite
DIAGNOSTIC:
Cancer branchique droit avec ADP controlatérale métastasique
Opacité axillaire droite grossièrement arrondie de 3cm de
diam dense et homogene a limite ext et limite int polylobé
DIAGNOSTIC:
Cancer bronchique
Kyste hydatique au stade sain
Foyer rond pneumonique
Opacité dense et homogene de la base droite effaçant la coupole et
comblant les Cds costodiaph et cardiaq
a limite sup concave en haut se prolongeant par une ligne bourdante
jusqu’à la région sous axillaire
On note une 2eme opacité moins dense du 1/3 inf du poumon droit a
limite sup floue cette image avec présence de clarté et arrondie
correspondant a un broncho gramme aérique
DIAGNOSTIC
Pneumopathie droite
Image radiologique bilaterale a type d’opacité dense et homogene a
progection hilaire ovalaire de 3cm de grand axe vertical a droit;
arrondi de 1;5 de diam a gauche a limite ext bilobée a droit et convexe
a gauche évoquant des ADP hilaire
On note des opacités micronodulaires uniformément réparties sur les
2champs pulmonaires réalisant un aspect de miliaire a petit grains
DIAGNOSTIC:
Lymphome avec miliaire carcinomateuse
Sarcoïdose de type2
Opacité dense et homogene du 1/3 sup du poumon droit
La limite supero extr se confond avec le mediastin
La limite inf concave en bas correspondant a la petite scissure
On note une éeme opacité hilaire droite arrondie de 2cm de diam
Par ailleurs on note
Une surélévation de la coupole droite
Pincement des EIC en regard de l opacité
 DIAGNOSTIC:
Atélectasie du lobe sup droit avec ADP hilaire
DIAGNOSTIC:
cancer bronchique droit
DIAGNOSTIC:
Tuberculose pulmonaire gauche evolutive
DIAGNOSTIC:
Miliaire tuberculeuse compliquée d’un
hydropneumothoraxe droit sur séquelle pleurale
Pneumoconiose gauche compliqué d’un
hydropneumothorax droit sur séquelle pleurale
DIAGNOSTIC:
Fibrothoraxe
DIAGNOSTIC:
Cancer bronchique gauche
DIAGNOSTIC:
Cancer bronchique droit excavé
Kyste hydatique flétri
DIAGNOSTIC:
DDB bilatérale
DIAGNOSTIC:
Tuberculose pulmonaire gauche avec dystrophie
bulleuse droite surinfectée
DIAGNOSTIC:
Pneumonie alvéolaire systématisée au lobe sup droit
DIAGNOSTIC:
Pneumonie alveolaire droit
Cancer branchique droit
DIAGNOSTIC:
Tuberculose pulmonaire gauche évolutive étendue
DIAGNOSTIC:
Tuberculose bilaterale evolutive
DIAGNOSTIC:
Pneumonie alveolaire gauche
DIAGNOSTIC:
Sequelle de tuberculose
DIAGNOSTIC:
Cliché normal
DIAGNOSTIC:
DIAGNOSTIC:
Cancer bronchique droit
Kyste hydatique au stade sain
DIAGNOSTIC:
Tuberculose pulmonaire droit
DIAGNOSTIC:
Epanchement pleural liquidien droit de moyenne
abondance
DIAGNOSTIC:
Pneumonie alveolaire du lobe super droit
DIAGNOSTIC:
Sequelle de tuberculose
DIAGNOSTIC:
Cancer bronchique droit
Kyste hydatique au stade sain
DIAGNOSTIC:
Tuberculose pulmonaire gauche
DIAGNOSTIC:
Atelectasie du lobe sup droit sur ADP hilaire droit
DIAGNOSTIC:
Pneumonie excavé droit
Cancer excavé
DIAGNOSTIC:
Hydropneumothorax droit de moyenne abondance
DIAGNOSTIC:
Cancer bronchique avec epanchement sous
pulmonaire
DIAGNOSTIC:
Pneumothorax partiel droit
DIAGNOSTIC:
Metastase pulmonaire d un cancer
Kyste hydatique multiple au stade sain
DIAGNOSTIC:
Cancer bronchique gauche
DIAGNOSTIC:
Tuberculose pulmonaire cavitaire gauche
DIAGNOSTIC:
Tuberculose pulmonaire bilatérale étendue
DIAGNOSTIC:
Tuberculose pulmonaire droit
DIAGNOSTIC:
Kyste hydatique …..
Neo excavé
DIAGNOSTIC:
Pneumonie alveolaire gauche
DIAGNOSTIC:
Cancer axcavé
DIAGNOSTIC:
Cancer bronchique gauche
Kyste hydatique au stade sain
DIAGNOSTIC:
Kyste hydatique multiple a différents age
DIAGNOSTIC:
Abcés pulmonaire
Kyste hydatique rompu
Neo excavé
DIAGNOSTIC:
Tumeur pariétale avec lyse costale
DIAGNOSTIC:
Tumeur nerveuse
DIAGNOSTIC:
Tumeur vasculaire
DIAGNOSTIC:
Cancer bronchique droit
DIAGNOSTIC:
Cliché normal
DIAGNOSTIC:
Metastase multiple d’un cancer thoracique ou
extrathoracique
Kyste hydatique multiple au stade sain
DIAGNOSTIC:
Kyste hydatique au stade sain
Neo bronchique au stade sain
DIAGNOSTIC:
Kyste hydatique….
Volumineuse a intracavitaire
DIAGNOSTIC:
Lymphome H ou NH avec EPL de petite abondance
Thymome avec EPL de petite abondance
DIAGNOSTIC:
Cancer bronchique droit
DIAGNOSTIC:
Tuberculose pulmonaire gauche cavitaire étendue
DIAGNOSTIC:
Lymphome H ou NH
ADP tuberculeuse ou metastasique
DIAGNOSTIC:
Cancer bronchique droit
Kyste hydatique sain
DIAGNOSTIC:
Sarcoïdose type 2
DIAGNOSTIC:
emphyseme pulmonaire bilateral
DIAGNOSTIC:
EPL droit de grand abondance associé a une
atelectasie
Pneumectomie droite
DIAGNOSTIC:
Tuberculose pulmnaire bilaterale
DIAGNOSTIC:
Cancer bronchique gauche
DIAGNOSTIC:
Tumeur parietale
DIAGNOSTIC:
EPL droit en voie d’enkystement
DIAGNOSTIC:
Hydropneumothorax droit de grande abondance
DIAGNOSTIC:
EPL droit de moyenne abondance
DIAGNOSTIC:
EPL gauche de grande
abondance
DIAGNOSTIC:
Tuberculose pulmonaire cavitaire D
Pneumonie droit excavé
Cancer excavé
DIAGNOSTIC:
Metastase pulmonaire multiple d’1 cancer thoracique ou
extrathoracique
Kyste hydatique multiple au stade sain
DIAGNOSTIC:
PNO total droit
DIAGNOSTIC:
Sarcoïdose type 1
DIAGNOSTIC:
Miliaire hematogene avec abcé pariétale gauche
tuberculeuse
Miliaire staphyslococcique avec abcé gauche
DIAGNOSTIC:
Lymphome H ouNH
DIAGNOSTIC:
???
DIAGNOSTIC:
Cancer droit
Kyste hydarique au stade sain
Emphyseme Droit
Pneum ou bull a gauche
Emphyseme bulleux
Emphyseme
Fibrose pulmonaire
Normale + distention
Pneumothorax + DDB
Tuberculose pulmonaire
Bull d’emphyseme
Abcès du poumon

Serie de radio