Autres manifestations: Manifestation neurologiques: Convulsions  Manifestations centrales déficitaires Chorée  paralysie des nerfs crâniens (faciale, oculomotrice), Neuropathies périphériques .  Manifestations psychiatriques Méningite Manifestations oculaires hémiplégie, monoplégie, paraplégie  Manifestations cardio-vasculaires : Péricardite Myocardite  Endocardite Libman et Sachs Troubles du rythme Artérite Le phénomène de Raynaud, 20 % Atteinte coronarienne Phlébites HTA
Raynaud
Manifestations respiratoires: Les atteintes pleurales sont fréquentes (épanchement exsudatif, lymphocytaire 30 à 40 %).  Elles sont évocatrices lorsque associées à une péricardite.  Les atteintes parenchymateuses sont le plus souvent asymptomatiques.  hémorragies intra-pulmonaires parfois gravissimes révélées souvent par des hémoptysies. Le diagnostic repose sur la TDM en coupes fines et les EFR, qui doivent obligatoirement comprendre une étude de la capacité de diffusion du CO.  L’HTAP, soit primitive, soit secondaire à des migrations emboliques répétées, est plus rare, mais grave. Devant une atteinte pulmonaire, il faut toujours évoquer une pneumopathie infectieuse ou une embolie pulmonaire (+++).
. Atteintes digestives : anorexie, nausées, vomissements, douleurs abdominales et de  mécanismes variés. L’ascite a le plus souvent la même signification que les autres  atteintes séreuses. La toxicité gastro-duodénale des traitements doit être recherchée.  . Atteintes ophtalmologiques: rétinite, névrite optique, thrombose des vaisseaux rétiniens.  On retient l’association fréquente à un syndrome de Gougerot- Sjögren. . Atteintes hématologiques: Des adénopathies diffuses, périphériques ou profondes sont souvent  notées.. Une splénomégalie est fréquemment notée.
SIGNES BIOLOGIQUES : Syndrome inflammatoire : net au cours des poussées de la maladie:  élévation de la (VS), hyperfibrinémie, hyperalpha2-globulinémie. La  CRP reste peu élevée, sauf en cas d'infection concomitante  Manifestations hématologiques : concernent les trois lignées.  1-anémie très fréquente;  plusieurs mécanismes: a· inflammatoire le plus souvent b· hémolytique auto-immune à test de Coombs positif  c· d’autre origine (insuffisance rénale, érythroblastopénie...)  2-leucopénie, habituelle,  due à une lymphopénie (lymphocytes T) avec ou sans neutropénie. 3-thrombopénie, Elle est parfois responsable d'un syndrome hémorragique  cutanéo-muqueux,  les troubles de l'hémostase sont dominés par la présence d'un anticorps antiprothrombinase, aussi appelé anticoagulant circulant de type lupique
Anomalies sérologiques : Les autoanticorps, de spécificité variée, sont dominés par les facteurs antinucléaires (FAN). Au cours du LED, divers aspects de fluorescence, parfois associés, peuvent être rencontrés: homogène :  le plus fréquent, évocateur si le titre est supérieur à 1/500 ;  périphérique :  plus rare, mais plus spécifique ;  moucheté :  lié à la présence d'anticorps dirigés contre un ou plusieurs antigènes nucléaires solubles. Cet aspect s'observe aussi dans d'autres connectivites ;  nucléolaire :  rare dans le LES, plus fréquent dans la sclérodermie.  La présence de FAN ne constitue qu'un test d'orientation, mais si negatif la probablité d’avoir un lupus est de 14%.
homogène moucheté
Anticorps anti-ADN natif:  très spécifiques du lupus (> 90 %) mais inconstants sensibilité(50 à 85 %). recherche par trois méthodes: test radio-immunologique de Farr, immunofluorescence sur Crithidia luciliae et dosage immuno-enzymatique (ELISA). taux bon marqueur d’évolutivité. seuls les anticorps anti-ADN natif et non dénaturé sont spécifiques du lupus. Anticorps spécifiques d’antigènes nucléaires solubles (anticorps anti-ENA):  les anticorps  anti-Sm  sont peu fréquents (20 p. 100), mais très spécifiques  (100%)  du LED ;  les anticorps  anti-SSA (ou Ro) ,  sont présents au cours du syndrome de Gougerot-Sjögren primitif et du LED, du lupus subaigu et du lupus néonatal. Les anticorps anti-SSB (ou La) sont plus rares ;  les anticorps  anti-RNP  (anti-ribonucléoprotéines) sont constants dans les connectivites mixtes et dans 30 p. 100 des LED.
Autres anticorps: facteurs rhumatoïdes, anticorps anti-hématies (Coombs), anti-plaquettes, anti-lymphocytes, anti-polynucléaires, anti-phospholipides  Complément sérique :  hypocomplémentémie fréquente (2/3 des malades) deux mécanismes parfois associés: 1-  par consommation  avec activation de la voie classique lors des poussées une chute du CH50 et/ou des fractions C3 et surtout C4 et augmentation des produits de dégradation (C3d) bon marqueur évolutivité (atteinte rénale). 2-  déficits congénitaux  en facteurs de la voie classique prédisposent au lupus (C4, C2).
Diagnostique positif: L’American College of Rheumatology (ex-American Rheumatism Association) a proposé en 1982 une liste révisée en 1997 de 11 critères (Tableau). Quatre critères au moins doivent être présents, simultanément ou successivement chez un individu, pour retenir le diagnostic de LED avec une sensibilité et une spécificité de 96 %  leur valeur diagnostique n'étant pas absolue à l'échelon individuel
Critères révisés de l’ACR ( EX ARA ) 1 . Éruption malaire 2. Lupus discoïde 3. Photosensibilité 4. Ulcérations orales 5. Arthrite non érosive 6. Épanchement: - pleurésie - péricardite 7. Atteinte rénale: - protéinurie > 0,5 g/j - cylindres 8. Atteinte neurologique: - comitialité - psychose 9. Anomalie hématologique: - anémie hémolytique ou - leucopénie < 4 000 ou - lymphopénie < 1 500 ou - thrombocytopénie < 10 000 10. Désordre immunologique: - cellules LE + ou - anti-ADN natif ou - anti-Sm ou - fausse sérologie syphilitique 11. Anticorps antinucléaires (en l’-ce de méds inducteurs)
Score pondéré Cytopénie  Érythème malaire  Sérite Alopécie Photosensibilité Protéinurie > 3,5 g/l Cylindres cellulaires Psychose ou convulsion Lupus discoïde Raynaud Fausse sérologie syphilitique Arthrite Ulcérations nasales ou orales FAN+ FAN+ DNA- Sm- FAN+ DNA+ Sm- FAN+ DNA- Sm+ FAN+ DNA+ Sm+ FAN- 1,5 1 0,6 0,6 0,6 1 1,5 0,7 1,5 0,3 0,5 0,1 0,1 0,5 0,3 1,3 1,3 1,4 - 1,8 .  En effet, ces critères n’ont pas tous la même sensibilité ou spécificité, alors que cette méthode, leur donne une valeur unique qui nuit à la spécificité de l’ensemble. De ce fait un score pondéré a été proposé, qui pondère la valeur de chaque signe.Ce score pondéré, donné dans le second tableau a  une sensibilité de 92% ,  une spécificité 96% à partir de 2.
Score pondéré Cytopénie  Érythème malaire  Sérite Alopécie Photosensibilité Protéinurie > 3,5 g/l Cylindres cellulaires Psychose ou convulsion Lupus discoïde Raynaud Fausse sérologie syphilitique Arthrite Ulcérations nasales ou orales FAN+ FAN+ DNA- Sm- FAN+ DNA+ Sm- FAN+ DNA- Sm+ FAN+ DNA+ Sm+ FAN- 1,5 1 0,6 0,6 0,6 1 1,5 0,7 1,5 0,3 0,5 0,1 0,1 0,5 0,3 1,3 1,3 1,4 - 1,8
Score pondéré Cytopénie  Érythème malaire  Sérite Alopécie Photosensibilité Protéinurie > 3,5 g/l Cylindres cellulaires Psychose ou convulsion Lupus discoïde Raynaud Fausse sérologie syphilitique Arthrite Ulcérations nasales ou orales FAN+ FAN+ DNA- Sm- FAN+ DNA+ Sm- FAN+ DNA- Sm+ FAN+ DNA+ Sm+ FAN- 1,5 1 0,6 0,6 0,6 1 1,5 0,7 1,5 0,3 0,5 0,1 0,1 0,5 0,3 1,3 1,3 1,4 - 1,8
Tout les ex  Normaux / S* disparaissent Ex normaux S* persistent FAN + Ecarté un LED Répéter les FAN / anti DNA / ANTI Ro NEGATIF certains elts  + Ecarté un LED Confirmé ≥4 Suspecté< 4 traitement DG LED confirmé ≥ 4 critères DG LED suspecté < 4 critères  Diagnostic du LED EX.COMPL: FAN , AC anti DNA natif AC anti ENA, FNS, bilan U Algorithme pour diagnostic du LED
FORMES CLINIQUES : 1-Syndrome des anti-phospholipides (SAPL) : • Définition:  association de manifestations thrombotiques (thrombose veineuse ou artérielle) ou de complications obstétricales et de la présence d’anticorps anti-phospholipides ( APL) • SAPL isolé: primaire • SAPL associé à une maladie générale: lupus, maladie rhumatologique, Infections ou meds : secondaire • Présence d’APL au cours de nombreuses affections, sans symptôme associé  • Présence d’APL dans: 5 à 20 % des TVP, 20 à 45 % des AVC du sujet de moins de 50 ans, 40 % des pertes fœtales du 2è et 3è trimestre, 21 % des éclampsies
Manifestations cliniques : • Conséquences de thromboses veineuses ( 60 à 70 % des patients), artérielles (35 à 45 %), veineuses et artérielles (10 %), ou de la microcirculation . Risque élevé de récidive. • Thromboses veineuses: ?? Siège:  MI +++,, veines caves, rénales, mésentériques, spléniques, porte, sus-hépatiques, rétiniennes, sinus cérébraux, veines superficielles ?? Complication:  embolie pulmonaire+++ • Manifestations neurologiques centrales: ?? AVC:  par thrombose artérielle in situ ou migration embolique d’origine cardiaque ( endocardite de Libman-Sacks ou thrombose intra-cardiaque); Évolution possible vers une démence;  syndrome de Sneddon = AVC récidivants + livedo,
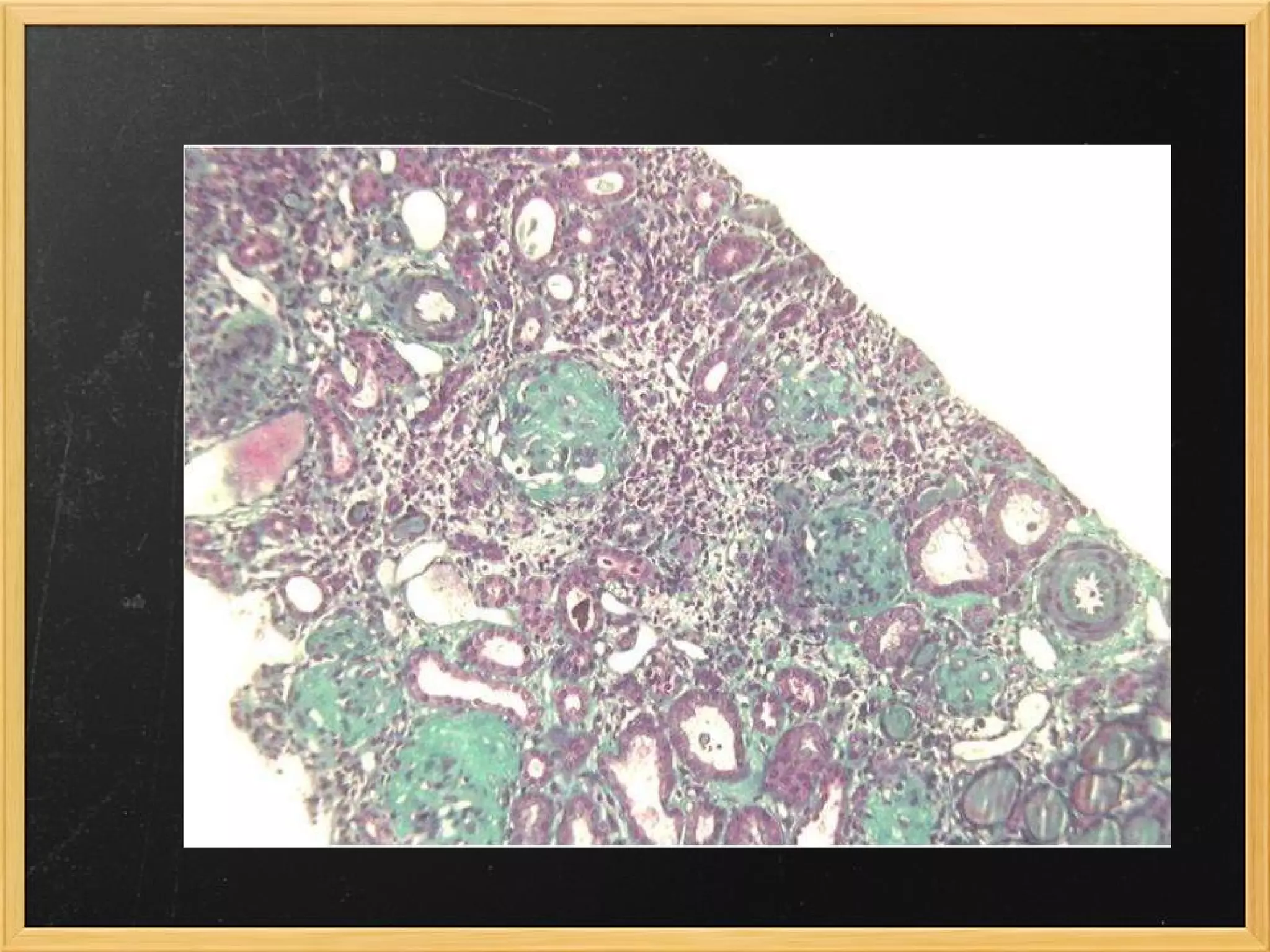
• Manifestations cardiaques: ?? Thrombose des artères coronaires: angor ou IDM ?? Valvulopathie: végétation ou IM; source d’embolie cérébrale ?? Thrombose intracardiaque • Manifestations cutanées: ?? Livedo reticularis. ?? Autres: ulcère de jambe, nécroses distales • Manifestations pulmonaires:   HTAP non embolique par thrombose in situ • Manifestations rénales: ?? Thrombose des capillaires et artérioles glomérulaires responsable d’IR et HTA ?? Thrombose des artères de plus gros calibre responsable d’HTA et d’infarctus cortical
• Manifestations hématologiques:   thrombopénie auto-immune,anémie hémolytique auto-immune • Manifestations oculaires: occlusion de l’artère centrale de la rétine, neuropathie optique ischémique, thrombose de la veine centrale de la rétine • Manifestations obstétricales+++: ?? Avortements spontanés inexpliqués récidivants (avant 10è SA) par thrombose placentaire ?? Morts foetales inexpliquées (à partir de la 10è SA) par thrombose placentaire ?? Prématurité par prééclampsie sévère, ou éclampsie. ?? Autres: thrombose veineuse ou artérielle maternelle; HELLP syndrome • Autres manifestations: • Insuffisance surrénalienne par nécrose hémorragique des surrénales • Syndrome catastrophique des APL: défaillance multiviscérale liée à une microangiopathie thrombotique
Signes biologiques: NFS, Bilan d’hemostase, recherche des AC antiPL. • Anticorps antiphospholipides (APL): 1-Anticoagulant circulant de type lupique ou antiprothrombinase: allongement du TCA non corrigé par l’adjonction de plasma normal et normalisé par addition de phospholipides 2-Anticorps anticardiolipine :  ELISA,  IgG ou IgM• 3-Dissociation de la sérologie syphilitique :  BW et  VDRL +,TPHA – .  Dosage par ELISA . 4-Anticorps anti-ß2-glycoprotéine 1:  Dosage par ELISA, très forte valeur prédictive du SAPL. Thrombopénie, anémie hémolytique auto-immune.

lupus Erythémateux Disséminé3

  • 1.
  • 2.
    Autres manifestations: Manifestationneurologiques: Convulsions Manifestations centrales déficitaires Chorée paralysie des nerfs crâniens (faciale, oculomotrice), Neuropathies périphériques . Manifestations psychiatriques Méningite Manifestations oculaires hémiplégie, monoplégie, paraplégie Manifestations cardio-vasculaires : Péricardite Myocardite Endocardite Libman et Sachs Troubles du rythme Artérite Le phénomène de Raynaud, 20 % Atteinte coronarienne Phlébites HTA
  • 3.
  • 4.
    Manifestations respiratoires: Lesatteintes pleurales sont fréquentes (épanchement exsudatif, lymphocytaire 30 à 40 %). Elles sont évocatrices lorsque associées à une péricardite. Les atteintes parenchymateuses sont le plus souvent asymptomatiques. hémorragies intra-pulmonaires parfois gravissimes révélées souvent par des hémoptysies. Le diagnostic repose sur la TDM en coupes fines et les EFR, qui doivent obligatoirement comprendre une étude de la capacité de diffusion du CO. L’HTAP, soit primitive, soit secondaire à des migrations emboliques répétées, est plus rare, mais grave. Devant une atteinte pulmonaire, il faut toujours évoquer une pneumopathie infectieuse ou une embolie pulmonaire (+++).
  • 5.
    . Atteintes digestives: anorexie, nausées, vomissements, douleurs abdominales et de mécanismes variés. L’ascite a le plus souvent la même signification que les autres atteintes séreuses. La toxicité gastro-duodénale des traitements doit être recherchée. . Atteintes ophtalmologiques: rétinite, névrite optique, thrombose des vaisseaux rétiniens. On retient l’association fréquente à un syndrome de Gougerot- Sjögren. . Atteintes hématologiques: Des adénopathies diffuses, périphériques ou profondes sont souvent notées.. Une splénomégalie est fréquemment notée.
  • 6.
    SIGNES BIOLOGIQUES :Syndrome inflammatoire : net au cours des poussées de la maladie: élévation de la (VS), hyperfibrinémie, hyperalpha2-globulinémie. La  CRP reste peu élevée, sauf en cas d'infection concomitante Manifestations hématologiques : concernent les trois lignées. 1-anémie très fréquente; plusieurs mécanismes: a· inflammatoire le plus souvent b· hémolytique auto-immune à test de Coombs positif c· d’autre origine (insuffisance rénale, érythroblastopénie...) 2-leucopénie, habituelle, due à une lymphopénie (lymphocytes T) avec ou sans neutropénie. 3-thrombopénie, Elle est parfois responsable d'un syndrome hémorragique cutanéo-muqueux, les troubles de l'hémostase sont dominés par la présence d'un anticorps antiprothrombinase, aussi appelé anticoagulant circulant de type lupique
  • 7.
    Anomalies sérologiques :Les autoanticorps, de spécificité variée, sont dominés par les facteurs antinucléaires (FAN). Au cours du LED, divers aspects de fluorescence, parfois associés, peuvent être rencontrés: homogène : le plus fréquent, évocateur si le titre est supérieur à 1/500 ; périphérique : plus rare, mais plus spécifique ; moucheté : lié à la présence d'anticorps dirigés contre un ou plusieurs antigènes nucléaires solubles. Cet aspect s'observe aussi dans d'autres connectivites ; nucléolaire : rare dans le LES, plus fréquent dans la sclérodermie. La présence de FAN ne constitue qu'un test d'orientation, mais si negatif la probablité d’avoir un lupus est de 14%.
  • 8.
  • 9.
    Anticorps anti-ADN natif: très spécifiques du lupus (> 90 %) mais inconstants sensibilité(50 à 85 %). recherche par trois méthodes: test radio-immunologique de Farr, immunofluorescence sur Crithidia luciliae et dosage immuno-enzymatique (ELISA). taux bon marqueur d’évolutivité. seuls les anticorps anti-ADN natif et non dénaturé sont spécifiques du lupus. Anticorps spécifiques d’antigènes nucléaires solubles (anticorps anti-ENA): les anticorps anti-Sm sont peu fréquents (20 p. 100), mais très spécifiques (100%) du LED ; les anticorps anti-SSA (ou Ro) , sont présents au cours du syndrome de Gougerot-Sjögren primitif et du LED, du lupus subaigu et du lupus néonatal. Les anticorps anti-SSB (ou La) sont plus rares ; les anticorps anti-RNP (anti-ribonucléoprotéines) sont constants dans les connectivites mixtes et dans 30 p. 100 des LED.
  • 10.
    Autres anticorps: facteursrhumatoïdes, anticorps anti-hématies (Coombs), anti-plaquettes, anti-lymphocytes, anti-polynucléaires, anti-phospholipides Complément sérique : hypocomplémentémie fréquente (2/3 des malades) deux mécanismes parfois associés: 1- par consommation avec activation de la voie classique lors des poussées une chute du CH50 et/ou des fractions C3 et surtout C4 et augmentation des produits de dégradation (C3d) bon marqueur évolutivité (atteinte rénale). 2- déficits congénitaux en facteurs de la voie classique prédisposent au lupus (C4, C2).
  • 11.
    Diagnostique positif: L’AmericanCollege of Rheumatology (ex-American Rheumatism Association) a proposé en 1982 une liste révisée en 1997 de 11 critères (Tableau). Quatre critères au moins doivent être présents, simultanément ou successivement chez un individu, pour retenir le diagnostic de LED avec une sensibilité et une spécificité de 96 % leur valeur diagnostique n'étant pas absolue à l'échelon individuel
  • 12.
    Critères révisés del’ACR ( EX ARA ) 1 . Éruption malaire 2. Lupus discoïde 3. Photosensibilité 4. Ulcérations orales 5. Arthrite non érosive 6. Épanchement: - pleurésie - péricardite 7. Atteinte rénale: - protéinurie > 0,5 g/j - cylindres 8. Atteinte neurologique: - comitialité - psychose 9. Anomalie hématologique: - anémie hémolytique ou - leucopénie < 4 000 ou - lymphopénie < 1 500 ou - thrombocytopénie < 10 000 10. Désordre immunologique: - cellules LE + ou - anti-ADN natif ou - anti-Sm ou - fausse sérologie syphilitique 11. Anticorps antinucléaires (en l’-ce de méds inducteurs)
  • 13.
    Score pondéré Cytopénie Érythème malaire Sérite Alopécie Photosensibilité Protéinurie > 3,5 g/l Cylindres cellulaires Psychose ou convulsion Lupus discoïde Raynaud Fausse sérologie syphilitique Arthrite Ulcérations nasales ou orales FAN+ FAN+ DNA- Sm- FAN+ DNA+ Sm- FAN+ DNA- Sm+ FAN+ DNA+ Sm+ FAN- 1,5 1 0,6 0,6 0,6 1 1,5 0,7 1,5 0,3 0,5 0,1 0,1 0,5 0,3 1,3 1,3 1,4 - 1,8 . En effet, ces critères n’ont pas tous la même sensibilité ou spécificité, alors que cette méthode, leur donne une valeur unique qui nuit à la spécificité de l’ensemble. De ce fait un score pondéré a été proposé, qui pondère la valeur de chaque signe.Ce score pondéré, donné dans le second tableau a une sensibilité de 92% , une spécificité 96% à partir de 2.
  • 14.
    Score pondéré Cytopénie Érythème malaire Sérite Alopécie Photosensibilité Protéinurie > 3,5 g/l Cylindres cellulaires Psychose ou convulsion Lupus discoïde Raynaud Fausse sérologie syphilitique Arthrite Ulcérations nasales ou orales FAN+ FAN+ DNA- Sm- FAN+ DNA+ Sm- FAN+ DNA- Sm+ FAN+ DNA+ Sm+ FAN- 1,5 1 0,6 0,6 0,6 1 1,5 0,7 1,5 0,3 0,5 0,1 0,1 0,5 0,3 1,3 1,3 1,4 - 1,8
  • 15.
    Score pondéré Cytopénie Érythème malaire Sérite Alopécie Photosensibilité Protéinurie > 3,5 g/l Cylindres cellulaires Psychose ou convulsion Lupus discoïde Raynaud Fausse sérologie syphilitique Arthrite Ulcérations nasales ou orales FAN+ FAN+ DNA- Sm- FAN+ DNA+ Sm- FAN+ DNA- Sm+ FAN+ DNA+ Sm+ FAN- 1,5 1 0,6 0,6 0,6 1 1,5 0,7 1,5 0,3 0,5 0,1 0,1 0,5 0,3 1,3 1,3 1,4 - 1,8
  • 16.
    Tout les ex Normaux / S* disparaissent Ex normaux S* persistent FAN + Ecarté un LED Répéter les FAN / anti DNA / ANTI Ro NEGATIF certains elts + Ecarté un LED Confirmé ≥4 Suspecté< 4 traitement DG LED confirmé ≥ 4 critères DG LED suspecté < 4 critères Diagnostic du LED EX.COMPL: FAN , AC anti DNA natif AC anti ENA, FNS, bilan U Algorithme pour diagnostic du LED
  • 17.
    FORMES CLINIQUES :1-Syndrome des anti-phospholipides (SAPL) : • Définition: association de manifestations thrombotiques (thrombose veineuse ou artérielle) ou de complications obstétricales et de la présence d’anticorps anti-phospholipides ( APL) • SAPL isolé: primaire • SAPL associé à une maladie générale: lupus, maladie rhumatologique, Infections ou meds : secondaire • Présence d’APL au cours de nombreuses affections, sans symptôme associé • Présence d’APL dans: 5 à 20 % des TVP, 20 à 45 % des AVC du sujet de moins de 50 ans, 40 % des pertes fœtales du 2è et 3è trimestre, 21 % des éclampsies
  • 18.
    Manifestations cliniques :• Conséquences de thromboses veineuses ( 60 à 70 % des patients), artérielles (35 à 45 %), veineuses et artérielles (10 %), ou de la microcirculation . Risque élevé de récidive. • Thromboses veineuses: ?? Siège: MI +++,, veines caves, rénales, mésentériques, spléniques, porte, sus-hépatiques, rétiniennes, sinus cérébraux, veines superficielles ?? Complication: embolie pulmonaire+++ • Manifestations neurologiques centrales: ?? AVC: par thrombose artérielle in situ ou migration embolique d’origine cardiaque ( endocardite de Libman-Sacks ou thrombose intra-cardiaque); Évolution possible vers une démence; syndrome de Sneddon = AVC récidivants + livedo,
  • 19.
    • Manifestations cardiaques:?? Thrombose des artères coronaires: angor ou IDM ?? Valvulopathie: végétation ou IM; source d’embolie cérébrale ?? Thrombose intracardiaque • Manifestations cutanées: ?? Livedo reticularis. ?? Autres: ulcère de jambe, nécroses distales • Manifestations pulmonaires: HTAP non embolique par thrombose in situ • Manifestations rénales: ?? Thrombose des capillaires et artérioles glomérulaires responsable d’IR et HTA ?? Thrombose des artères de plus gros calibre responsable d’HTA et d’infarctus cortical
  • 20.
    • Manifestations hématologiques: thrombopénie auto-immune,anémie hémolytique auto-immune • Manifestations oculaires: occlusion de l’artère centrale de la rétine, neuropathie optique ischémique, thrombose de la veine centrale de la rétine • Manifestations obstétricales+++: ?? Avortements spontanés inexpliqués récidivants (avant 10è SA) par thrombose placentaire ?? Morts foetales inexpliquées (à partir de la 10è SA) par thrombose placentaire ?? Prématurité par prééclampsie sévère, ou éclampsie. ?? Autres: thrombose veineuse ou artérielle maternelle; HELLP syndrome • Autres manifestations: • Insuffisance surrénalienne par nécrose hémorragique des surrénales • Syndrome catastrophique des APL: défaillance multiviscérale liée à une microangiopathie thrombotique
  • 21.
    Signes biologiques: NFS,Bilan d’hemostase, recherche des AC antiPL. • Anticorps antiphospholipides (APL): 1-Anticoagulant circulant de type lupique ou antiprothrombinase: allongement du TCA non corrigé par l’adjonction de plasma normal et normalisé par addition de phospholipides 2-Anticorps anticardiolipine : ELISA, IgG ou IgM• 3-Dissociation de la sérologie syphilitique : BW et VDRL +,TPHA – . Dosage par ELISA . 4-Anticorps anti-ß2-glycoprotéine 1: Dosage par ELISA, très forte valeur prédictive du SAPL. Thrombopénie, anémie hémolytique auto-immune.