LA GOUTTE
DEFINITION
• La goutte appartient au groupe des arthropathies
  microcristallines.
• Véritable maladie générale métabolique
• Par anomalie du métabolisme des purines; à
  l’origine d’une hyper uricémie chronique
• Caractérisés par des dépôts intra et/ou péri-
  articulaires de cristaux d’urate de sodium;
  responsables d’accès inflammatoires aigus
  sensibles à la colchicine, ou d’arthropathies
  chroniques
EPIDEMIOLOGIE
• Pathologie fréquente dans les pays
  industrialisés (Europe de l’oues;t,USA,…)
• Pathologie essent masculine : 10H/1F
• L’age de début : 50 ans en moyenne chez les
  hommes, et en post ménopause chez les
  femmes, sauf dans les formes par déficit enz
• génétique(dès la naissance)
• Des ATCD familiaux : un tiers des cas
PHYSIOPATHOLOGIE
• La goutte résulte d’une hyper uricémie
  chronique(>70 mg/L)
• A/Mécanismes de production d’acide urique
• L’a.urique est le produit final du catabolisme
  des purines qui ont trois origines:
1/la purinosynthèse de novo :sous la PRPP
  synthétase; aboutît à la formation d’acide
  inosinique
PHYSIOPATHOLOGIE
2/le catabolisme des a. nucl endogènes:donne
  des bases puriques qui vont:soit se
  transformer en ac.urique,soit réutilisées ds la
  synthèse des ac. nucléiques(ADN et ARN)
3/le catabolisme des a. nucl exogènes(aliments
  riches en nucléoprotéines):donne
  l’hypoxantine qui se transforme en
  xantine;puis en ac.urique sous la xantine-
  oxydase
PHYSIOPATHOLOGIE
• B/Elimination de l’a.urique:
1.L’uricolyse intest:sous l’action de l’uricase
   produites par les bactéries intestinales;donne
   l’allantoine éliminée dans les fécès,représente
   25p cent
2.L’élimination rénale:réabsorption tub prox par
   méc de transport actif avec sécretion tubul
L’uraturie norm est estimée à 750mg/24h en
   moy en régime libre
PHYSIOPATHOLOGIE
• C/Mécanismes de l’hyperuricémie:
1.Excès de production d’a.urique:
 a/ augm de la purinosynthèse de novo: déficit
  enz génétique complet ou partiel en HGPRT
 b/augm du catab des a.nucl endogènes: lyse
  tumorale;hémop malignes; psoriasis étendu
c/augm due catab des a.nucl exogènes: régime
  riche en aliments purinogènes;obésité
PHYSIPOPATHOLOGIE
2.Défaut d’élimination:
a/l’insuffisance rénale
b/le déficit en Glucose-6-phosphatase
c/la prise de diurétiques
d/ goutte primitive
L’ ACCES GOUTTEUX
L’hyperuricémie prolongée conduit au dépôt de
  cristaux d’urate de Na ds le cartilage articul et
  la mbne synoviale. Ils peuvent être libérés ds
  la cavité artic et phagocytés par les Mph synov
  avec prod de cytokines pro-inflamm(IL1,TNFa)
  avec des effets locaux(recrutement de PNN:
  participent à l’inflamm articul)et
  systémique(fièvre;signes généraux)
ETUDE CLINIQUE
• TDD: accès aigu du gros orteil(MTP)
Touche le plus svt, l’homme adulte autour de
  40-50 ans, volontiers obèse et gros mangeur.
La crise débute brutalement, en pleine nuit,au
  bord int de la MTP du gros orteil, d’abord
  supportable, puis rapid insomniante avec
  impotence fonct majeure.
A l’examen:hyperesthésie cutanée avec gonflem
  articul,peau luisante rouge vif, avec s.généraux
A l’interrog:notion de fact déclench:excès alim,
  prise mdcteuse,trauma,émotion,infection…
  Prodromes:svt fixes chez un même malade:
  asthénie,anorexie,irritabilité,céphalées,parest
  hésies au gros orteil, polyurie
  Des ATCD pers: lithiase urique ou accès de
  même type ou famil:30p cent des cas
La crise dure qq jours ,puis disparait spont avec
  persistance d’un gros ort et une desquam cut
FORMES CLINIQUES
A/Formes symptomatiques:
1.Crises à minima: peu douloureuses; courtes
2.Crises pseudo-phlegmonneuses:peuvent cond
  à un geste chirurgical inutile et dangereux
B/Formes topographiques:
1.Atteinte des autres artic du pied; le genou, les
  doigts, le poignet et le coude, rarement la
  hanche et l’épaule.
2.Atteintes extra-artic: tendinite achill,bursite
  rétro-olécranienne
C/Formes étiologiques: hémopathie maligne;
  Ifce rénale chronique, prise
  mdcteuse(diurétique,chimioth,aspirine(<2g/J),
  ciclosporine A, pyrazinamide)
D/F. selon le terrain:
1.Goutte enzymopathique:
a.Sd de Lesch-Nyhan: déf complet en HGPRT
b.Déf part en HGPRT: touche les hommes avt 30
  ans avec lithiase ; insuff rénale;hyperuraturie
c.La néphropathie uratique famil autosomique
d. La goutte des transplantés
LA GOUTTE CHRONIQUE
  Après plusieurs accès aigus, apparaissent des
  manif artic chroniques, dues aux dépôts intra
  et/ou péri-artic des cristaux d’urate de Na
A/Le tophus goutteux: concrétion uratique sous-
  cutanée, après plusieurs années d’évloution;de
  consistance ferme, arrondie, qui peut s’ulcérer
  avec écoulement crayeux, siège au pavillon de
  l’oreille; l’olécrane;artic des mains et des pieds.
  Leur régression est lente sous traitement
B/L’ arthropathie goutteuse: les dépôts intra-artic
   d’urate de Na entrainent des destructions ostéo-
   cartilagineuses des artic atteintes lors des accès
   aigus
Clinique: Dlr mécanique avec raideur et/ou gonfl
   artic. Des crises aigues peuvent survenir
Radio: géodes arrondies ou oval,juxta-artic ou
   rompant parfois la corticale osseuse avec
   réaction ostéophytique imp(pieds,mains,genoux)
COMPLICATIONS RENALES
 Frq au cours de la goutte chronique, doivent être
 recherchées systématiquement car peuvent
 mettre en jeu le pronostic vital:
A/La lithiase rénale: dues à l’hyperuricurie et
 l’hyperacidité urinaire chez un tiers des goutteux,
 se manifeste par des coliques néphrétiques avec
 des calculs radio-transparents.Elle peut se
 compliquer par des accidents obstructifs ou
 infectieux avec dvpt de pyélonéphrite chronique
B/La néphropathie goutteuse : 10à20p cent des
  goutteux chroniques, de type interstitielle:
  protéinurie modérée;leucocyturie aseptique
  et sans hématurie,svt associée à une HTA.
  Évolue vers l’insuffisance rénale en l’absence
  d’un traitement hypo-uricémiant.
DIAGNOSTIC POSITIF
Le dgc de goutte est clinique: accès aigu qui touche
  le gros orteil,notion de lithiase et/ou d’ Atcd
  familial de goutte, évolution de la crise avec ou
  sans TRT.
Au stade chronique: la présence de tophus est
  quasi-pathognomonique du dgc.
La mise en évidence des cristaux d’urate de Na ds le
  liquide synovial est le seul signe spécifique de la
  goutte: cristaux longs à bout pointus extra ou
  intracell,fort biréfringents; dissous par l’uricase
Le bilan biol: un Sd inflamm non spécifique(VS
  et CRP élevées) lors des accès aigus
L’hyperuricémie>70mg/l est le signe principal.
  Mais, seulement 10 p cent des
  hyperuricémiques font une goutte
En crise, l’uricémie peut être nle. Il faut refaire le
  dosage à distance de la crise
DIAGNOSTIC DIFFERENTIEL
Devant un accès aigu avec fièvre: il faut éliminer
 une arthrite septique; l’absence de réponse à
 la colchicine et la ponction artic avec étude
 cyto-bact du liquide synovial permet de faire
 le dgc.
Devant une goutte chronique polyrticulaire,
 d’autres rhumatismes inflamm chroniques
 peuvent être évoqués.
TRAITEMENT
A/TRT de l’accès aigu:
1. Mesures générales: repos artic, poche de glace
2.Trt médical:
 a. La colchicine(cp 1mg):3mg à J1,2mg à J2,1mg à J3
   jusqu’à la fin de l’accès. Effets second: diarrhée,
   vomissements, leucopénie.
b. Les AINS: seul(si intolérance à la colch) ou avec la
   colchicine.Ex:diclofénac 50mg.3/J
c.Les corticoides: 30mg/j de prednisone pdt 5 j(si contre-
   ind à la colch et aux ains)
d.Infiltration intra-artic d’un corticoïde retard
TRAITEMENT
B/Trt de la goutte chronique
1/Indications: après 3 accès aigus avec uricémie>90mg/l et/ou
   présence de tophus ou une compl rénale.
2/Mesures hygiéno-diététiques:régime hypo-uricémiant:
a. supprimer les
  abats,viande,sardine,alcool,sodas riches en fructose
b. Limiter : poissons, crustacés,volaille,lentilles,haricots
c. Si obésité: régime hypo-calorique
d. Si hyperlipidémie: prescrire le fénofibrate car diminue
   l’uricémie de 20p cent
e. Boissons alcalines abondantes(2L/jr)
TRAITEMENT
3/Trt médical:
a.La colchicine:1mg/j pdt 3-6mois
b.Trts hypo-uricémiants:en association à la colch
     pdt 3 mois pour éviter le déclench d’ accès
     aigus:
L’allopurinol (Zyloric) inhibe la xantine oxydase: cp
     à 100et200mg: 100mg/j avec augm d’un cp ch
     2à4 sem; sans dépasser 800mg/j avec
     uricémie<60mg/J. Eff sec: DRESS syndrome,
     leucopénie, cytolyse hépatique.
c.Trt uricosurique: la benzbromarone(Désuric):
   contre-ind si lithiase ou insuffisance
   rénale:100-300mg/j
d.Trt uricolytique: L’uricase recombinante
   Indiquée lors des hyperuricémies aigues après
   chimiothérapie

La goute 2

  • 1.
  • 2.
    DEFINITION • La goutteappartient au groupe des arthropathies microcristallines. • Véritable maladie générale métabolique • Par anomalie du métabolisme des purines; à l’origine d’une hyper uricémie chronique • Caractérisés par des dépôts intra et/ou péri- articulaires de cristaux d’urate de sodium; responsables d’accès inflammatoires aigus sensibles à la colchicine, ou d’arthropathies chroniques
  • 3.
    EPIDEMIOLOGIE • Pathologie fréquentedans les pays industrialisés (Europe de l’oues;t,USA,…) • Pathologie essent masculine : 10H/1F • L’age de début : 50 ans en moyenne chez les hommes, et en post ménopause chez les femmes, sauf dans les formes par déficit enz • génétique(dès la naissance) • Des ATCD familiaux : un tiers des cas
  • 4.
    PHYSIOPATHOLOGIE • La goutterésulte d’une hyper uricémie chronique(>70 mg/L) • A/Mécanismes de production d’acide urique • L’a.urique est le produit final du catabolisme des purines qui ont trois origines: 1/la purinosynthèse de novo :sous la PRPP synthétase; aboutît à la formation d’acide inosinique
  • 5.
    PHYSIOPATHOLOGIE 2/le catabolisme desa. nucl endogènes:donne des bases puriques qui vont:soit se transformer en ac.urique,soit réutilisées ds la synthèse des ac. nucléiques(ADN et ARN) 3/le catabolisme des a. nucl exogènes(aliments riches en nucléoprotéines):donne l’hypoxantine qui se transforme en xantine;puis en ac.urique sous la xantine- oxydase
  • 6.
    PHYSIOPATHOLOGIE • B/Elimination del’a.urique: 1.L’uricolyse intest:sous l’action de l’uricase produites par les bactéries intestinales;donne l’allantoine éliminée dans les fécès,représente 25p cent 2.L’élimination rénale:réabsorption tub prox par méc de transport actif avec sécretion tubul L’uraturie norm est estimée à 750mg/24h en moy en régime libre
  • 7.
    PHYSIOPATHOLOGIE • C/Mécanismes del’hyperuricémie: 1.Excès de production d’a.urique: a/ augm de la purinosynthèse de novo: déficit enz génétique complet ou partiel en HGPRT b/augm du catab des a.nucl endogènes: lyse tumorale;hémop malignes; psoriasis étendu c/augm due catab des a.nucl exogènes: régime riche en aliments purinogènes;obésité
  • 8.
    PHYSIPOPATHOLOGIE 2.Défaut d’élimination: a/l’insuffisance rénale b/ledéficit en Glucose-6-phosphatase c/la prise de diurétiques d/ goutte primitive
  • 9.
    L’ ACCES GOUTTEUX L’hyperuricémieprolongée conduit au dépôt de cristaux d’urate de Na ds le cartilage articul et la mbne synoviale. Ils peuvent être libérés ds la cavité artic et phagocytés par les Mph synov avec prod de cytokines pro-inflamm(IL1,TNFa) avec des effets locaux(recrutement de PNN: participent à l’inflamm articul)et systémique(fièvre;signes généraux)
  • 10.
    ETUDE CLINIQUE • TDD:accès aigu du gros orteil(MTP) Touche le plus svt, l’homme adulte autour de 40-50 ans, volontiers obèse et gros mangeur. La crise débute brutalement, en pleine nuit,au bord int de la MTP du gros orteil, d’abord supportable, puis rapid insomniante avec impotence fonct majeure. A l’examen:hyperesthésie cutanée avec gonflem articul,peau luisante rouge vif, avec s.généraux
  • 11.
    A l’interrog:notion defact déclench:excès alim, prise mdcteuse,trauma,émotion,infection… Prodromes:svt fixes chez un même malade: asthénie,anorexie,irritabilité,céphalées,parest hésies au gros orteil, polyurie Des ATCD pers: lithiase urique ou accès de même type ou famil:30p cent des cas La crise dure qq jours ,puis disparait spont avec persistance d’un gros ort et une desquam cut
  • 12.
    FORMES CLINIQUES A/Formes symptomatiques: 1.Crisesà minima: peu douloureuses; courtes 2.Crises pseudo-phlegmonneuses:peuvent cond à un geste chirurgical inutile et dangereux B/Formes topographiques: 1.Atteinte des autres artic du pied; le genou, les doigts, le poignet et le coude, rarement la hanche et l’épaule.
  • 13.
    2.Atteintes extra-artic: tendiniteachill,bursite rétro-olécranienne C/Formes étiologiques: hémopathie maligne; Ifce rénale chronique, prise mdcteuse(diurétique,chimioth,aspirine(<2g/J), ciclosporine A, pyrazinamide) D/F. selon le terrain: 1.Goutte enzymopathique: a.Sd de Lesch-Nyhan: déf complet en HGPRT
  • 14.
    b.Déf part enHGPRT: touche les hommes avt 30 ans avec lithiase ; insuff rénale;hyperuraturie c.La néphropathie uratique famil autosomique d. La goutte des transplantés
  • 15.
    LA GOUTTE CHRONIQUE Après plusieurs accès aigus, apparaissent des manif artic chroniques, dues aux dépôts intra et/ou péri-artic des cristaux d’urate de Na A/Le tophus goutteux: concrétion uratique sous- cutanée, après plusieurs années d’évloution;de consistance ferme, arrondie, qui peut s’ulcérer avec écoulement crayeux, siège au pavillon de l’oreille; l’olécrane;artic des mains et des pieds. Leur régression est lente sous traitement
  • 16.
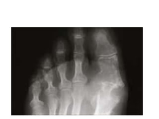
    B/L’ arthropathie goutteuse:les dépôts intra-artic d’urate de Na entrainent des destructions ostéo- cartilagineuses des artic atteintes lors des accès aigus Clinique: Dlr mécanique avec raideur et/ou gonfl artic. Des crises aigues peuvent survenir Radio: géodes arrondies ou oval,juxta-artic ou rompant parfois la corticale osseuse avec réaction ostéophytique imp(pieds,mains,genoux)
  • 17.
    COMPLICATIONS RENALES Frqau cours de la goutte chronique, doivent être recherchées systématiquement car peuvent mettre en jeu le pronostic vital: A/La lithiase rénale: dues à l’hyperuricurie et l’hyperacidité urinaire chez un tiers des goutteux, se manifeste par des coliques néphrétiques avec des calculs radio-transparents.Elle peut se compliquer par des accidents obstructifs ou infectieux avec dvpt de pyélonéphrite chronique
  • 18.
    B/La néphropathie goutteuse: 10à20p cent des goutteux chroniques, de type interstitielle: protéinurie modérée;leucocyturie aseptique et sans hématurie,svt associée à une HTA. Évolue vers l’insuffisance rénale en l’absence d’un traitement hypo-uricémiant.
  • 19.
    DIAGNOSTIC POSITIF Le dgcde goutte est clinique: accès aigu qui touche le gros orteil,notion de lithiase et/ou d’ Atcd familial de goutte, évolution de la crise avec ou sans TRT. Au stade chronique: la présence de tophus est quasi-pathognomonique du dgc. La mise en évidence des cristaux d’urate de Na ds le liquide synovial est le seul signe spécifique de la goutte: cristaux longs à bout pointus extra ou intracell,fort biréfringents; dissous par l’uricase
  • 20.
    Le bilan biol:un Sd inflamm non spécifique(VS et CRP élevées) lors des accès aigus L’hyperuricémie>70mg/l est le signe principal. Mais, seulement 10 p cent des hyperuricémiques font une goutte En crise, l’uricémie peut être nle. Il faut refaire le dosage à distance de la crise
  • 21.
    DIAGNOSTIC DIFFERENTIEL Devant unaccès aigu avec fièvre: il faut éliminer une arthrite septique; l’absence de réponse à la colchicine et la ponction artic avec étude cyto-bact du liquide synovial permet de faire le dgc. Devant une goutte chronique polyrticulaire, d’autres rhumatismes inflamm chroniques peuvent être évoqués.
  • 29.
    TRAITEMENT A/TRT de l’accèsaigu: 1. Mesures générales: repos artic, poche de glace 2.Trt médical: a. La colchicine(cp 1mg):3mg à J1,2mg à J2,1mg à J3 jusqu’à la fin de l’accès. Effets second: diarrhée, vomissements, leucopénie. b. Les AINS: seul(si intolérance à la colch) ou avec la colchicine.Ex:diclofénac 50mg.3/J c.Les corticoides: 30mg/j de prednisone pdt 5 j(si contre- ind à la colch et aux ains) d.Infiltration intra-artic d’un corticoïde retard
  • 30.
    TRAITEMENT B/Trt de lagoutte chronique 1/Indications: après 3 accès aigus avec uricémie>90mg/l et/ou présence de tophus ou une compl rénale. 2/Mesures hygiéno-diététiques:régime hypo-uricémiant: a. supprimer les abats,viande,sardine,alcool,sodas riches en fructose b. Limiter : poissons, crustacés,volaille,lentilles,haricots c. Si obésité: régime hypo-calorique d. Si hyperlipidémie: prescrire le fénofibrate car diminue l’uricémie de 20p cent e. Boissons alcalines abondantes(2L/jr)
  • 31.
    TRAITEMENT 3/Trt médical: a.La colchicine:1mg/jpdt 3-6mois b.Trts hypo-uricémiants:en association à la colch pdt 3 mois pour éviter le déclench d’ accès aigus: L’allopurinol (Zyloric) inhibe la xantine oxydase: cp à 100et200mg: 100mg/j avec augm d’un cp ch 2à4 sem; sans dépasser 800mg/j avec uricémie<60mg/J. Eff sec: DRESS syndrome, leucopénie, cytolyse hépatique.
  • 32.
    c.Trt uricosurique: labenzbromarone(Désuric): contre-ind si lithiase ou insuffisance rénale:100-300mg/j d.Trt uricolytique: L’uricase recombinante Indiquée lors des hyperuricémies aigues après chimiothérapie