HYDROCEPHALIE
Topo-Neurochirurgie,le 05-11-14
Définition
L’hydrocéphalie se caractérise par une
distention des espaces anatomiques
intracraniens ou siège normalement le
liquide cérébro-spinal LCS en rapport avec un
déséquilibre entre la production et la
circulation résorption du LCS.
I - PHYSIOLOGIE du LCS
• Volume total:
o Nourrisson : 40 - 60 ml
o enfant : 60 - 80 ml
o adolescent : 80 - 120 ml
o adulte : 120 – 150 ml
Origine,secrétion:
Le LCS est sécrété par :
• les plexus choroïdes (30%)
• le revêtement épendymaire des ventricules (30%)
• les espaces sous arachnoïdiens intra-crâniens (20%)
• les espaces sous -arachnoïdiens spinaux (20%).
La production est réalisée à partir du plasma selon un
mécanisme actif de filtration et de sécrétion.
Le débit du LCS est de 21 ml/h voisinant 500 ml/j chez
l’adulte (renouvellement 3 à 4 fois par jour).
Circulation de LCS
• La résorption du LCS se fait au niveau des
villosités arachnoïdiennes par un mecanisme
passif.
• Il existe un équilibre entre la sécrétion et la
résorption.
II-PHYSIOPATHOLOGIE
• MECANISMES DE L’HYDROCEPHALIE:
1-Une hyperproduction du LCS:
est presque exclusivement le fait d’une
tumeur du plexus choroide
Rarement: conséquences d’une
hypervitaminose A
2-Une resistance accrue à la circulation
du LCS
• Par obstacle sur la voie d’ecoulement: +++
soit sur la filaire ventriculaire et on parle
d’Hydrocéphalie non communicante (ex:
stenose de l’aqueduc centrale)
soit dans les ESA periencéphaliques et on
parle d’Hydrocéphalie communicante
(secondaire a une meningite responsable d’un
feutrage des ESA)
3-Une resistance accrue à la resorption
du LCS:
• Thrombose du sinus veineux
• Obstruction ou destruction des villosités
arachnoidiennes
Conséquences de ces 3 mécanismes
de l’Hydrocéphalie
Augmentation de la pression du LCS
Aug pression intraV
Gd de pression Ventricule-Parenchyme et ESA
force radiale qui dilate les V
destruction du parenchyme cérébrale
• Nourrisson: application d’une force anormale
sur les sutures craniennes
Augmentation du volume cranien
=MACROCRANIE++
III-Diagnostic positif
Hydrocéphalie chronique du Nrs:
1.Stade de decouverte:
a/Phase de debut:
• Accroissement du perimetre cranien (PC) par
rapport au reste du corps
• Stagnation ou regression psychomotrice
• Tb ophtalmo: strabisme convergent, aspect des
yeux en coucher de soleil,retraction de la
paupiere sup
Yeux en coucher de soleil
b/ phase evoluée:
• Tete augmentée de volume contrastant avec
un coprs pt et gracile
• Tension excessive de la fontanelle ant qui est
largement ouverte
• Disjonction des sutures à la palpation
• Aspect fin et luisant de la peau du scalpe
parcourue par des veines dilatées
2. Interrogatoire:
• ATCDS FX
• Evolution de la Grossesse
• Modalités de l’accouchement: Traumatisme
obst,infection,dytocie,souffrance neonat
• Evolution postnat de l’enfant et les accidents
eventuels trauma,inf,toxiques
3.Examen Clinique:
• Ex Neuro: degré de developpement psycho
moteur par etude des reflexes archaiques
• F.O: peut reveler des signes precoces
d’atrophie optique
• Auscultation du crane: recherche d’un souffle
en faveur d’une malformation vasculaire
• Recherche d’un syndrome dysmorphique
4.PARACLINIQUE
Échographie trans-fontanellaire:
examen atraumatique fournissant des
informations morphologiques chez le
nourrisson à fontanelle ouverte.
TDM:
Dilatation ventriculaire associée ou non à une
hypodensité périventriculaire.
Des orientations étiologiques:
tétraventriculaire : arachnoïdite d’origine
infectieuse ou post hémorragie méningée
tri ventriculaire : sténose, tumeur de
l’acqueduc du mésencéphale, anévrisme de
l’ampoule de Galien
uni ou biventriculaire : kyste colloïde, tumeur
thalamique
Hypodensité
périventriculaire
(signes de résorption
trans épendymaire)
IRM:
 Dilatation ventriculaire: Hypersignal péri-
ventriculaire (résorption)..
 Intérêt pour la fosse postérieure, et les coupes
sagittales.
 Possibilté d’image cinétique (de “flux”).
IV-Les formes cliniques
1-Hydrocéphalie aigue du nourrisson :
• Le gradient de pression ventricules/parenchyme
s’installe rapidement ne laissent pas le temps au crâne
de se distendre.
• Elle se traduit cliniquement par :
-Bombement et tension extrême de la fontanelle
antérieure
- le nourrisson ne l’alimente pas, vomit et présente des
troubles de la vigilance alternant avec des phases
d’agitation avec des cris aigus et prolongés (cri cérébral).
- l’hypertonie, habituellement nette au niveau des
membres inférieurs
2- hydrocéphalie de l’enfant :
• La symptomatologie est d’installation rapide,
et comporte :
- Céphalées
- vomissements
- Troubles oculomoteurs
- Troubles de la conscience
• Le fond d’œil montre un œdème papillaire
bilatéral.
3- hydrocéphalies arrêtées :
• Dilatation ventriculaire
• l’aspect dynamique fait défaut : il n’y a pas de gradient
ventricule-parenchyme .
• Sur le plan clinique, il n’ya pas de nouveaux signes
cliniques qui apparaissent et le quotient intellectuel
progresse normalement avec l’âge.
• Peut se décompenser++ à la suite d’une infection
intercurrente d’où la nécessite de surveiller ses patients.
4- hydrocéphalie externe :
hydrocéphalie sous arachnoïdienne
• Nourrisson++++
• elle se manifeste par augmentation rapide P.C
• Il existe inconstamment des signes discrets de H.I.C ( tension de
la fontanelle antérieure rétraction de la paupière supérieure).
• Le développement psychomoteur et normal ou peu touché.
• Il n’y a généralement pas des contextes précis mais on trouve
dans cette population une fréquence accrue de prématurité et
de P.C augmenté à la naissance
• Le diagnostique est facile par l’imagerie qui
montre:
un élargissement des espaces sous
arachnoïdiens et de la scissure inter-
hémisphérique habituellement sans dilation
ventriculaire franche.
• L’évolution se fait par la stabilisation à 12-18
mois et le P.C est en règle dans les normes.
5- hydrocéphalie de l’adulte :
• Hydrocéphalie aigue : tableau clinique d’ H.T.I.C
• Hydrocéphalie chronique : hydrocéphalie à pression
normale (H.P.N)
Elle se manifeste par la triade de HAKIM et ADAMS :
 Troubles psycho intellectuels.
 Troubles de la marche.
 Troubles sphinctériens .
Etiologies
• A-Pré natales:
1-Sténose de l’aqueduc de Sylvius: (2/ 3)++
*inflammatoire: toxoplasmose
*malformative: agénésie
2-la malformation d’Arnold Chiari: pas important
Amygdales cérébelleuses fixées par une
arachnoide épaisse bloquant les orifices de
sortie du V4
• 3-Sd Dandy Walker:
Dilatation kystique du V4 par imperforation de son
toit
• 4-Hydrocéphalie associée au Spina Bifida:
Défaut de fermeture de l’arc postérieur
• 5-autres malformations:
Agénésie des trous de Monro
Agénésie des sites de résorption du LCS
Sd malf complexe (Tri 8,9,21)
B-Causes post natales
• 1-les infections:+++
Lésions inflm de la leptomininge entrainent une
fibrose interstitielle et un blocage des ESA et
des Citernes de la bases
• 2-Hémorragie méningée:
*Aigue: Obst mécanique à la circulation LCS
*tardivement: adhérences inflm ds ESA
• 3-Processus expansifs intracraniens: (20%)
=Gène à l’ecoulement LCS
Enfant: Tm de la fosse Post (V4 et cervelet)
• 4-Hydrocéphalie de cause inconnue (10à20%)
TRAITEMENT
• A-BUTS:
*1- restaurer l’eq entre prod et circ résorp LCS:
Rétablissement d’une circ nrml LCS
Dim de la sécrétion nrml LCS
Créer de nvelles aires de résorp
*2- dim la PIC à fin de prevenir les risques d’une
HTIC
1. Ttt de la cause: exerese tm, ttt d’une
malformation Vx
2. Ttt symptomatique:
 Medical: Acétazolamide:DIAMOX,isosorbide
 Chirurgical
Ttt Chirurgical
1. Derivation V externe
2. Derivation interne: DVP ou DVA
>>necessité système unidirectionnel anti-reflux:
la valve (complication post chirurgicale+++)
3. Ventriculocisternostomie
DVP
VALVE
Ventriculocisternostomie
Prévention et conseil génétique
• Hydrocéphalie congénitale
• Hydrocéphalie diagnotiquée in utero
MERCI
POUR VOTRE ATTENTION

Hydrocéphalie

  • 1.
  • 2.
    Définition L’hydrocéphalie se caractérisepar une distention des espaces anatomiques intracraniens ou siège normalement le liquide cérébro-spinal LCS en rapport avec un déséquilibre entre la production et la circulation résorption du LCS.
  • 4.
    I - PHYSIOLOGIEdu LCS • Volume total: o Nourrisson : 40 - 60 ml o enfant : 60 - 80 ml o adolescent : 80 - 120 ml o adulte : 120 – 150 ml
  • 5.
    Origine,secrétion: Le LCS estsécrété par : • les plexus choroïdes (30%) • le revêtement épendymaire des ventricules (30%) • les espaces sous arachnoïdiens intra-crâniens (20%) • les espaces sous -arachnoïdiens spinaux (20%). La production est réalisée à partir du plasma selon un mécanisme actif de filtration et de sécrétion. Le débit du LCS est de 21 ml/h voisinant 500 ml/j chez l’adulte (renouvellement 3 à 4 fois par jour).
  • 6.
  • 7.
    • La résorptiondu LCS se fait au niveau des villosités arachnoïdiennes par un mecanisme passif. • Il existe un équilibre entre la sécrétion et la résorption.
  • 8.
    II-PHYSIOPATHOLOGIE • MECANISMES DEL’HYDROCEPHALIE: 1-Une hyperproduction du LCS: est presque exclusivement le fait d’une tumeur du plexus choroide Rarement: conséquences d’une hypervitaminose A
  • 9.
    2-Une resistance accrueà la circulation du LCS • Par obstacle sur la voie d’ecoulement: +++ soit sur la filaire ventriculaire et on parle d’Hydrocéphalie non communicante (ex: stenose de l’aqueduc centrale) soit dans les ESA periencéphaliques et on parle d’Hydrocéphalie communicante (secondaire a une meningite responsable d’un feutrage des ESA)
  • 11.
    3-Une resistance accrueà la resorption du LCS: • Thrombose du sinus veineux • Obstruction ou destruction des villosités arachnoidiennes
  • 12.
    Conséquences de ces3 mécanismes de l’Hydrocéphalie Augmentation de la pression du LCS Aug pression intraV Gd de pression Ventricule-Parenchyme et ESA force radiale qui dilate les V destruction du parenchyme cérébrale
  • 13.
    • Nourrisson: applicationd’une force anormale sur les sutures craniennes Augmentation du volume cranien =MACROCRANIE++
  • 14.
    III-Diagnostic positif Hydrocéphalie chroniquedu Nrs: 1.Stade de decouverte: a/Phase de debut: • Accroissement du perimetre cranien (PC) par rapport au reste du corps • Stagnation ou regression psychomotrice • Tb ophtalmo: strabisme convergent, aspect des yeux en coucher de soleil,retraction de la paupiere sup
  • 15.
    Yeux en coucherde soleil
  • 16.
    b/ phase evoluée: •Tete augmentée de volume contrastant avec un coprs pt et gracile • Tension excessive de la fontanelle ant qui est largement ouverte • Disjonction des sutures à la palpation • Aspect fin et luisant de la peau du scalpe parcourue par des veines dilatées
  • 17.
    2. Interrogatoire: • ATCDSFX • Evolution de la Grossesse • Modalités de l’accouchement: Traumatisme obst,infection,dytocie,souffrance neonat • Evolution postnat de l’enfant et les accidents eventuels trauma,inf,toxiques
  • 18.
    3.Examen Clinique: • ExNeuro: degré de developpement psycho moteur par etude des reflexes archaiques • F.O: peut reveler des signes precoces d’atrophie optique • Auscultation du crane: recherche d’un souffle en faveur d’une malformation vasculaire • Recherche d’un syndrome dysmorphique
  • 19.
    4.PARACLINIQUE Échographie trans-fontanellaire: examen atraumatiquefournissant des informations morphologiques chez le nourrisson à fontanelle ouverte.
  • 20.
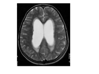
    TDM: Dilatation ventriculaire associéeou non à une hypodensité périventriculaire. Des orientations étiologiques: tétraventriculaire : arachnoïdite d’origine infectieuse ou post hémorragie méningée tri ventriculaire : sténose, tumeur de l’acqueduc du mésencéphale, anévrisme de l’ampoule de Galien uni ou biventriculaire : kyste colloïde, tumeur thalamique
  • 21.
  • 22.
    IRM:  Dilatation ventriculaire:Hypersignal péri- ventriculaire (résorption)..  Intérêt pour la fosse postérieure, et les coupes sagittales.  Possibilté d’image cinétique (de “flux”).
  • 24.
  • 25.
    1-Hydrocéphalie aigue dunourrisson : • Le gradient de pression ventricules/parenchyme s’installe rapidement ne laissent pas le temps au crâne de se distendre. • Elle se traduit cliniquement par : -Bombement et tension extrême de la fontanelle antérieure - le nourrisson ne l’alimente pas, vomit et présente des troubles de la vigilance alternant avec des phases d’agitation avec des cris aigus et prolongés (cri cérébral). - l’hypertonie, habituellement nette au niveau des membres inférieurs
  • 26.
    2- hydrocéphalie del’enfant : • La symptomatologie est d’installation rapide, et comporte : - Céphalées - vomissements - Troubles oculomoteurs - Troubles de la conscience • Le fond d’œil montre un œdème papillaire bilatéral.
  • 27.
    3- hydrocéphalies arrêtées: • Dilatation ventriculaire • l’aspect dynamique fait défaut : il n’y a pas de gradient ventricule-parenchyme . • Sur le plan clinique, il n’ya pas de nouveaux signes cliniques qui apparaissent et le quotient intellectuel progresse normalement avec l’âge. • Peut se décompenser++ à la suite d’une infection intercurrente d’où la nécessite de surveiller ses patients.
  • 28.
    4- hydrocéphalie externe: hydrocéphalie sous arachnoïdienne • Nourrisson++++ • elle se manifeste par augmentation rapide P.C • Il existe inconstamment des signes discrets de H.I.C ( tension de la fontanelle antérieure rétraction de la paupière supérieure). • Le développement psychomoteur et normal ou peu touché. • Il n’y a généralement pas des contextes précis mais on trouve dans cette population une fréquence accrue de prématurité et de P.C augmenté à la naissance
  • 29.
    • Le diagnostiqueest facile par l’imagerie qui montre: un élargissement des espaces sous arachnoïdiens et de la scissure inter- hémisphérique habituellement sans dilation ventriculaire franche. • L’évolution se fait par la stabilisation à 12-18 mois et le P.C est en règle dans les normes.
  • 30.
    5- hydrocéphalie del’adulte : • Hydrocéphalie aigue : tableau clinique d’ H.T.I.C • Hydrocéphalie chronique : hydrocéphalie à pression normale (H.P.N) Elle se manifeste par la triade de HAKIM et ADAMS :  Troubles psycho intellectuels.  Troubles de la marche.  Troubles sphinctériens .
  • 31.
    Etiologies • A-Pré natales: 1-Sténosede l’aqueduc de Sylvius: (2/ 3)++ *inflammatoire: toxoplasmose *malformative: agénésie 2-la malformation d’Arnold Chiari: pas important Amygdales cérébelleuses fixées par une arachnoide épaisse bloquant les orifices de sortie du V4
  • 32.
    • 3-Sd DandyWalker: Dilatation kystique du V4 par imperforation de son toit • 4-Hydrocéphalie associée au Spina Bifida: Défaut de fermeture de l’arc postérieur • 5-autres malformations: Agénésie des trous de Monro Agénésie des sites de résorption du LCS Sd malf complexe (Tri 8,9,21)
  • 34.
    B-Causes post natales •1-les infections:+++ Lésions inflm de la leptomininge entrainent une fibrose interstitielle et un blocage des ESA et des Citernes de la bases • 2-Hémorragie méningée: *Aigue: Obst mécanique à la circulation LCS *tardivement: adhérences inflm ds ESA
  • 35.
    • 3-Processus expansifsintracraniens: (20%) =Gène à l’ecoulement LCS Enfant: Tm de la fosse Post (V4 et cervelet) • 4-Hydrocéphalie de cause inconnue (10à20%)
  • 36.
    TRAITEMENT • A-BUTS: *1- restaurerl’eq entre prod et circ résorp LCS: Rétablissement d’une circ nrml LCS Dim de la sécrétion nrml LCS Créer de nvelles aires de résorp *2- dim la PIC à fin de prevenir les risques d’une HTIC
  • 37.
    1. Ttt dela cause: exerese tm, ttt d’une malformation Vx 2. Ttt symptomatique:  Medical: Acétazolamide:DIAMOX,isosorbide  Chirurgical
  • 38.
    Ttt Chirurgical 1. DerivationV externe 2. Derivation interne: DVP ou DVA >>necessité système unidirectionnel anti-reflux: la valve (complication post chirurgicale+++) 3. Ventriculocisternostomie
  • 39.
  • 40.
  • 41.
  • 42.
    Prévention et conseilgénétique • Hydrocéphalie congénitale • Hydrocéphalie diagnotiquée in utero
  • 43.

Notes de l'éditeur

  • #7 Dans le système ventriculaire, la circulation du LCS se fait tjrs d VL vers le trou de Magendie puis vont se repandre ds les espaces ss arachnoidiens pr se diriger vers les aires de resorption reparties le long des grands sinus veineux dure-mèriens
  • #8 Pression intracranienne : entre 10 et 14 cm H20 chez l’adulte; 2 à 4 cm H2O chez le nourrissson.
  • #27 Si le traitement n’est pas entrepris rapidement, le tableau clinique s’enrichit de signes de souffrance du tronc cérébral. Le tableau est grave par engagement central à travers le foramen ovale ou un engagement des amygdales cérébelleuses dans le trou occipital. Si l’hydrocéphalie se constitue progressivement, le tableau réalisé est celui d’une hypertension intracrânienne chronique