MALADIES
TROPHOBLASTIQUES
Pr Ag Mourali Mechaal
Rt Ben khedija
Centre de Maternité de Bizerte
Tunisie
INTRODUCTION
MOLE HYDATIFORME
TTG
les tumeurs trophoblastiques du site
d’implantation (TTSI) et les tumeurs
trophoblastiques épithelioides(TTE).
ÉPIDÉMIOLOGIE
12/10000,5-1/1000 0,5-1/1000
1,5-6/1000
FACTEURS DE RISQUES
A
MOLE HYDATIFORME COMPLÈTE
Produit de conception diploïde, mais dont les deux lots
chromosomiques sont d’origine paternelle:
Par dispermie: 20%
Par diandrie: 80%
MOLE INCOMPLÈTE
Produit de conception triploïde : fécondation
d’un ovocyte par deux spermatozoïdes
(dispermie)
Dysgénie duplication ovocyte ou non expulsion du
globule polaire
MOLE HYDATIFORME COMPLÈTE
  CHM PHM
Age>40 24.3% 12.5%
Age <20 1.9% 4.1%
Nulliparity 22.5% 29.2%
Multiparity 18% 2%
History of Abortion 29% 29%
History of mole 3.73% 0%
DIU 15.9% 6.3%
OP 19.6% 16.7%
A+ 29% 39.6%
A- 4.7% 0%
Mean gestational Age 11.5 11
metrorrhagia 75% 67%
Ex sympatic signs 17% 12%
Anemia 41.5%  
HTA 5% 6%
hyperthyroïdy 0.93% 0%
Uterine size 41% 37%
Ovarian cysts 16% 12%
Snowstorm appearance 61% 44%
Visible embryo 6.5% 35.5%
Mean βHCG 183.5*10³ UI/l 103.1*10³ UI/l
MOLE HYDATIFORME COMPLÈTE
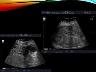
ECHOGRAPHIE
ECHOGRAPHIE
ECHOGRAPHIE
ECHOGRAPHIE
CAT DEVANT UNE MH
Aspiration utérine échoguidée(risque de rétention)
Pas de curetage(perforation, synéchies)
Ocytociques
Reserve de sang
Anti D si RH négatif
Adresser le produit à l examen anatomopathologique
Récidive (0.6%–2%)
Trophoblastic Disease Review for Diagnosis and Management. A Joint Report From the
International Society for the Study of Trophoblastic Disease, European Organisation
for the Treatment of Trophoblastic Disease, and the Gynecologic Cancer InterGroup.
Giorgia Mangili, MD,* Domenica Lorusso, MD,Þ Jubilee Brown, MD. Int J Gynecol
Cancer 2014;24: S109YS116)
ÉVOLUTION
Suivi β HCG
MC: 15-20% vers GTT
MP: 0,1-5% vers GTT
• Persistent gestational trophoblastic neoplasia after partial hydatidiform mole
incidence and outcome. Hancock BW, Nazir K, Everard JE. J Reprod Med
2006;51(10): 764–6.
• Gestational trophoblastic disease I: epidemiology, pathology, clinical
presentation and diagnosis of gestational trophoblastic disease, and
management of hydatidiform mole. Lurain JR. Am J Obstet Gynecol
2010;203(6):531–9.
PROPHYLACTIC CHEMOTHERAPY FOR HYDATIDIFORM MOLE
TO PREVENT GESTATIONAL TROPHOBLASTIC NEOPLASIA.
FU J, FANG F, XIE L, ET AL. COCHRANE DATABASE SYST REV.
2012;10:CD007289.
Réduction à 3-8% des GTT post-MHC
ASIAN PAC J CANCER PREV, 16 (6), 2441-244
MOLE INVASIVE
• métastases dans 15 %
IMAGERIE
IMAGERIE
CHORIOCARCINOME
Le choriocarcinome est souvent d’emblée métastatique :
80% 30% 20%
20% 10%
IMAGERIE
DIAGNOSTIC DES TTG
Ngan HY, Bender H, Benedet JL, Jones H, Montruccoli GC, Pecorelli
S, et al. Gestational trophoblastic neoplasia, FIGO 2000 staging and
classification. Int J Gynecol Obstet 2003;83(Suppl. 1):175–7.
TABLEAU CLINIQUE DES TTG
Le diagnostic peut également être suspecté sur
des critères cliniques :
 Les métrorragies
 L’apparition de signes d’hyperthyroidie
 Les troubles respiratoires ,troubles
neurologiques;
 Le syndrome hémorragique aigu sur un site
métastatique .
MALADIE DU SITE D’INSERTION
PLACENTAIRE
 0,2% des GTD
 Infiltration trophoblastique de l’endométre et
du myométre sur le site d’insertion du placenta.
 Cellules trophoblastiques intermédiaires le plus
souvent mononuclées, de forme polyédrique
 Sécrète peu d’hcg. Plus d’hpl
 Importante chimiorésistance.
BILAN D’EXTENSION DES TTG
CLASSIFICATION ET SCORE
PRONOSTIQUE
Stade anatomique FIGO 2000
I Maladie limitée à l’utérus
II TTG étendue en dehors de l’utérus, mais limitée aux structures
génitales (annexes, vagin, ligament large)
III TTG étendue aux poumons avec ou sans atteinte connue du
tractus génital
IV Tout autre site métastatique
• Deux groupes de patientes en fonction de leur score
pronostique:
≤ 6 : TTG à faible risque d’échec du traitement
≥ 7 : TTG à haut risque d’échec du traitement.
FIRST-LINE CHEMOTHERAPY IN LOW-
RISK GESTATIONAL TROPHOBLASTIC
NEOPLASIA (REVIEW 2015)
ALAZZAM M, TIDY J, HANCOCK BW, OSBORNE R, LAWRIE
TA
• Methotrexate eight-day regimen (1 mg/kg intramuscular (IM), days one,
three, five and seven) with folinic acid rescue (days two, four six and eight),
repeated every 14 to 16 days (Bagshawe 1989
• Low-dose (30 to 50 mg/m²) IM methotrexate, repeated weekly (Homesley
1988; Homesley 1990);
• Five-day low-dose methotrexate (intravenous (IV) or IM); maximum of
25mg/m² daily for five days, repeated every 14 days(Soper 1994
• Pulsed IV dactinomycin (1.25 mg/m² to a maximum 2 mg single dose),
repeated every 14 days (Twiggs 1983;
• Five-day dactinomycin (0.5 mg IV), repeated every 14 days (Osathanondh
1975
ROLE OF SURGICAL THERAPY IN THE MANAGEMENT OF
GESTATIONAL TROPHOBLASTIC NEOPLASIA.
KYUNG JIN EOH, YOUNG SHIN CHUNG, GA WON YIM ET AL.
OBSTET GYNECOL SCI 2015;58(4):277-283
L’hysterectomie raccourcie les délais de guérison
Haut risque: chimiorésistance
Contrôle de l’hémorragie
• After treatment of GTN, frequent monitoring of
hCG for at least 12 months with reliable
contraception is essential for surveillance of relapse.
TAKE HOME MESSAGES
• HCG + echo; diagnostic et surveillance
• Chimio prophylaxie discutable
• TTG: HCG, choriocarcinome ou métastases
• Score OMS
• Méthotrexate si faible risque
• EMA-CO si risque élevé
MERCI

Maladies trophoblastiques

  • 1.
    MALADIES TROPHOBLASTIQUES Pr Ag MouraliMechaal Rt Ben khedija Centre de Maternité de Bizerte Tunisie
  • 2.
  • 3.
  • 4.
    TTG les tumeurs trophoblastiquesdu site d’implantation (TTSI) et les tumeurs trophoblastiques épithelioides(TTE).
  • 5.
  • 6.
  • 7.
  • 8.
    MOLE HYDATIFORME COMPLÈTE Produitde conception diploïde, mais dont les deux lots chromosomiques sont d’origine paternelle: Par dispermie: 20% Par diandrie: 80%
  • 9.
    MOLE INCOMPLÈTE Produit deconception triploïde : fécondation d’un ovocyte par deux spermatozoïdes (dispermie) Dysgénie duplication ovocyte ou non expulsion du globule polaire
  • 10.
  • 14.
      CHM PHM Age>4024.3% 12.5% Age <20 1.9% 4.1% Nulliparity 22.5% 29.2% Multiparity 18% 2% History of Abortion 29% 29% History of mole 3.73% 0% DIU 15.9% 6.3% OP 19.6% 16.7% A+ 29% 39.6% A- 4.7% 0% Mean gestational Age 11.5 11 metrorrhagia 75% 67% Ex sympatic signs 17% 12% Anemia 41.5%   HTA 5% 6% hyperthyroïdy 0.93% 0% Uterine size 41% 37% Ovarian cysts 16% 12% Snowstorm appearance 61% 44% Visible embryo 6.5% 35.5% Mean βHCG 183.5*10³ UI/l 103.1*10³ UI/l
  • 15.
  • 16.
  • 19.
  • 20.
  • 21.
    CAT DEVANT UNEMH Aspiration utérine échoguidée(risque de rétention) Pas de curetage(perforation, synéchies) Ocytociques Reserve de sang Anti D si RH négatif Adresser le produit à l examen anatomopathologique Récidive (0.6%–2%) Trophoblastic Disease Review for Diagnosis and Management. A Joint Report From the International Society for the Study of Trophoblastic Disease, European Organisation for the Treatment of Trophoblastic Disease, and the Gynecologic Cancer InterGroup. Giorgia Mangili, MD,* Domenica Lorusso, MD,Þ Jubilee Brown, MD. Int J Gynecol Cancer 2014;24: S109YS116)
  • 23.
    ÉVOLUTION Suivi β HCG MC:15-20% vers GTT MP: 0,1-5% vers GTT • Persistent gestational trophoblastic neoplasia after partial hydatidiform mole incidence and outcome. Hancock BW, Nazir K, Everard JE. J Reprod Med 2006;51(10): 764–6. • Gestational trophoblastic disease I: epidemiology, pathology, clinical presentation and diagnosis of gestational trophoblastic disease, and management of hydatidiform mole. Lurain JR. Am J Obstet Gynecol 2010;203(6):531–9.
  • 24.
    PROPHYLACTIC CHEMOTHERAPY FORHYDATIDIFORM MOLE TO PREVENT GESTATIONAL TROPHOBLASTIC NEOPLASIA. FU J, FANG F, XIE L, ET AL. COCHRANE DATABASE SYST REV. 2012;10:CD007289. Réduction à 3-8% des GTT post-MHC
  • 26.
    ASIAN PAC JCANCER PREV, 16 (6), 2441-244
  • 29.
  • 30.
  • 31.
  • 32.
    CHORIOCARCINOME Le choriocarcinome estsouvent d’emblée métastatique : 80% 30% 20% 20% 10%
  • 33.
  • 34.
    DIAGNOSTIC DES TTG NganHY, Bender H, Benedet JL, Jones H, Montruccoli GC, Pecorelli S, et al. Gestational trophoblastic neoplasia, FIGO 2000 staging and classification. Int J Gynecol Obstet 2003;83(Suppl. 1):175–7.
  • 35.
    TABLEAU CLINIQUE DESTTG Le diagnostic peut également être suspecté sur des critères cliniques :  Les métrorragies  L’apparition de signes d’hyperthyroidie  Les troubles respiratoires ,troubles neurologiques;  Le syndrome hémorragique aigu sur un site métastatique .
  • 36.
    MALADIE DU SITED’INSERTION PLACENTAIRE  0,2% des GTD  Infiltration trophoblastique de l’endométre et du myométre sur le site d’insertion du placenta.  Cellules trophoblastiques intermédiaires le plus souvent mononuclées, de forme polyédrique  Sécrète peu d’hcg. Plus d’hpl  Importante chimiorésistance.
  • 37.
  • 38.
    CLASSIFICATION ET SCORE PRONOSTIQUE Stadeanatomique FIGO 2000 I Maladie limitée à l’utérus II TTG étendue en dehors de l’utérus, mais limitée aux structures génitales (annexes, vagin, ligament large) III TTG étendue aux poumons avec ou sans atteinte connue du tractus génital IV Tout autre site métastatique
  • 40.
    • Deux groupesde patientes en fonction de leur score pronostique: ≤ 6 : TTG à faible risque d’échec du traitement ≥ 7 : TTG à haut risque d’échec du traitement.
  • 42.
    FIRST-LINE CHEMOTHERAPY INLOW- RISK GESTATIONAL TROPHOBLASTIC NEOPLASIA (REVIEW 2015) ALAZZAM M, TIDY J, HANCOCK BW, OSBORNE R, LAWRIE TA • Methotrexate eight-day regimen (1 mg/kg intramuscular (IM), days one, three, five and seven) with folinic acid rescue (days two, four six and eight), repeated every 14 to 16 days (Bagshawe 1989 • Low-dose (30 to 50 mg/m²) IM methotrexate, repeated weekly (Homesley 1988; Homesley 1990); • Five-day low-dose methotrexate (intravenous (IV) or IM); maximum of 25mg/m² daily for five days, repeated every 14 days(Soper 1994 • Pulsed IV dactinomycin (1.25 mg/m² to a maximum 2 mg single dose), repeated every 14 days (Twiggs 1983; • Five-day dactinomycin (0.5 mg IV), repeated every 14 days (Osathanondh 1975
  • 45.
    ROLE OF SURGICALTHERAPY IN THE MANAGEMENT OF GESTATIONAL TROPHOBLASTIC NEOPLASIA. KYUNG JIN EOH, YOUNG SHIN CHUNG, GA WON YIM ET AL. OBSTET GYNECOL SCI 2015;58(4):277-283 L’hysterectomie raccourcie les délais de guérison Haut risque: chimiorésistance Contrôle de l’hémorragie
  • 49.
    • After treatmentof GTN, frequent monitoring of hCG for at least 12 months with reliable contraception is essential for surveillance of relapse.
  • 51.
    TAKE HOME MESSAGES •HCG + echo; diagnostic et surveillance • Chimio prophylaxie discutable • TTG: HCG, choriocarcinome ou métastases • Score OMS • Méthotrexate si faible risque • EMA-CO si risque élevé
  • 52.

Notes de l'éditeur

  • #3 En commun la prolifération trophoblastique anormale
  • #4 CLASSIFICATION OMS
  • #5 Les TTG ont un fort potentiel métastatique et sont mortelles en l’absence de traitement.
  • #6 Wide regional variations in the incidence of hydatidiform mole have been reported, ranging from 0.5 to 1 per 1000 pregnancies in North America and Europe, 1.5 to 6 per 1000 pregnancies in SouthAmerica, and as high as 12 per 1000 pregnancies in some older Southeast Asian studies.1Y3 More recent analyses suggest that the Southeast Asia incidence is actually similar to that seen in Europe 1,08/1000 tunisie
  • #7 incidence dans le monde Antécédents obstétricaux : - 1 Antécédent de mole: Risque de récidive x 10. - 2 Antécédents de mole: Risque de récidive= 15 à 28%. - 1 antécédent d ’avortement: Risque de mole x 3. Age: -RR x 1.5 ( &amp;lt; 20 ans). - RR x 7.6 ( &amp;gt; 40 ans).
  • #8 Autres facteurs de risque: -Le groupe sanguin de la patiente: serait également un facteur important avec un risque plus élevé pour les patientes de groupe A ou AB par rapport aux patientes de groupe B ou O (aucun mécanisme physiopathologique n’est avancé pour expliquer cette observation) - Malnutrition - Tabac, contraception orale, radiations: discutés.
  • #10 Fortunately, immunostaining for P57KIP2, an imprinted gene expressed by the maternal allele, shows nuclear staining of cytotrophoblast and villousmesenchyme in placenta of all gestations apart from androgenetic complete mole.1 Consequently, negative staining is indicative of a CHM. In addition, ploidy analysis by in situ hybridizati
  • #11 Hence, the previous classical presentations of hyperemesis gravidarum, hyperthyroidism, pre-eclampsia, pulmonary trophoblastic embolization, and uterine size larger than dates are rarely seen nowadays. Hyperthyroidie TG uterus
  • #12 βHCG TRES AUGMENTE +++ In cancers including GTN, hCG can exist in a variety of forms and/or fragments including free A subunit, nicked free A subunit, c-terminal peptide and A-core, as well as hyperglycosylated forms.9 It is therefore essential that the assays used tomeasure hCGin cancer recognize all the different forms of hCG equally well.
  • #15 Dans une étude multicentrique réalisée en Tunisie et publiée en 2008,la fréquence de la mdie gestationnelle tropho était de 1 pour 918,,,
  • #16 MASSE INTRACAVITAIRE CONTENANT DE NOMBREUX MICROKYSTES SANS IMAGE EMBRYONNAIRE ET SANS INVASION DU MYOMETRE (PAS DE DOPPLER DANS LA MASSE) +/- ASPECT D’OVAIRES MULTIFOLLICULAIRES (+/ HEMORRAGIQUES)
  • #17 Interet doppler 3D
  • #21 Traitement: cytotec
  • #22 Surveillance HCG durée Intérêt de la chimioprophylaxie Contrôle échographique 1 à 2 semaines plutard Une contraception doit être conseillée dans les suites de l’aspiration
  • #23 The use of the oral contraceptive pill before hCG normalization was previously linked with an increased risk for developing GTN.1 However, modern lowerdose progestin (desogestrel) pills do not seem to cause this problem (ISSTD 2013 Chicago meeting)
  • #24 Comment reconnaitre les patientes à risque d’evolution vers GNT? Toutes les 1-2 semaines jusqu’à 2 fois negative puis mensuel pendant 6 mois avec contraception
  • #25 Although this may reduce post-CHM GTN to 3% to 8%, it exposes more than 80% of patients to unnecessary toxicity, does not eliminate the need for surveillance, and may induce drug-resistant disease. Moreover, for patients on hCG surveillance, nearly all will have their GTN detected and subsequently cured with chemotherapy. Thus, the use of prophylactic chemotherapy is controversial and should be limited to very special situations where adequate hCG and patient follow-up are not possible.
  • #26 Epidemio
  • #28 Other factors linked with an increased risk for GTN after a CHM include a preevacuation hCG level greater than 100,000 IU/L, excessive uterine growth (&amp;gt;20-week size), theca lutein cysts greater than 6 cm in diameter, and age older than 40 years
  • #29 Blood flow velocity waveformindex refers to any index calculated froma Doppler shift spectrum like pulsatility index (PI), resistance index (RI), and systolic diastolic ratio (S :D ratio).Moreover, through the 3D vascular indices, that is, vascularization index (VI), flow index (FI), and vascularization-flow index (VFI) by using virtual organ computer-aided analysis (VOCAL)
  • #30 However, a population-based case series of 77 twin pregnancies suggests that approximately 38% of women will deliver a healthy baby without a significant increase in the risk for malignant transformation ofCHM
  • #33 la forme la plus agressive des MTG. Il s’agit d’une tumeur maligne de l’épithélium trophoblastique.
  • #35 Plus rarement, le diagnostic de MH est posé devant des complications à type de métrorragies, d’anémie, de pré - éclampsie ou de vomissements incoercibles. un dosage de hCG anormalement élevé par rapport au terme théorique de la grossesse. l’examen anatomopathologique d’un produit d’aspiration ou de curetage, ou devant une évolution anormale des hCG aprés évacuation d’une MH: -une réascension anormale supérieure ou égale à 10 % sur trois dosages consécutifs à une semaine d’intervalle ; -une stagnation (variation inférieure à 10 %) sur quatre dosages consécutifs à une semaine d’intervalle ; -une persistance hCG positifs 24 semaines après évacuation MH.
  • #36 les métrorragies persistantes dans le post-partum ou reprenant de l’abondance après une diminution normale ; - l’apparition de signes d’hyperthyroidie sans cause apparente chez une femme jeune ; -les troubles respiratoires en rapport avec des métastases pulmonaires, ou troubles neurologiques en rapport avec des métastases cérébrales sans primitif connu chez une femme en période d’activité génitale ; - le syndrome hémorragique aigu sur un site métastatique : hémopéritoine , hémothorax, hématome rétropéritonéal . Toutes ces situations doivent faire évoquer une tumeur trophoblastique, en particulier et même longtemps après une grossesse normale et un accouchement ou après une fausse couche apparemment banale et n’ayant pas justifié de surveillance
  • #37 In contrast, PSTTs and ETTs almost always cause irregular uterine bleeding because the disease remains localized in the uterus longer,
  • #38 Réaliser un complémentaire: . IRM PELVIENNE : extension loco-régionale : invasion du myomètre +++ . TDM thorax-abdomen-pelvis : extension régionale et à distance : poumon, rein, foie, ovaire, digestif (si lésions secondaires pulmonaires, il faut réaliser une radiographie de thorax pour le score FIGO) . IRM cérébrale (ou TDM cérébrale) : lésions secondaires cérébrales Le bilan d’extension permet le calcul du score FIGO 2000 pour adapter le traitement
  • #39 *La FIGO 2000 a instauré des critères diagnostiques des néoplasies trophoblastiques gestationnelles et a élaboré un score pronostique afin d’homogénéiser les pratiques médicales dans le monde. This stratification system is good but not perfect. Thus, whereas nearly all patients scoring 0 to 3 will be cured with single-agent therapy, 70% will fail this treatment with a score of 5 to 6 and require combination therapy.10 Fortunately, all failures can be salvaged, so it is reasonable to start with the much less toxic single-agent therapies for patients scoring 5 to 6
  • #51 83% of women who have had single- or multiagent chemotherapy have a further pregnancy.10 However, EMA/CO does induce menopause 3 years early, sowomen need to be warned of this.10 The previously reported slight increased risk for second cancers after combination-agent chemotherapies10 was no longer seen with EMA/CO treatment in a more recent