Service de Néphrologie-Hémodialyse & Transplantation rénale
CHU Ibn Rochd Casablanca
Mohammed Amine KHALFAOUI, MD
medaminekhalfaoui@gmail.com
Echanges plasmatiques:
Techniques et indications
PLAN
I. Introduction:
II. Aspects techniques et pratiques:
III. Indications:
1. En Néphrologie:
2. Autres:
IV. Complications:
VI. Conclusion:
Tout d’abord…définition!
Aphérèse : Une séparation des constituants du sang et consiste
en l’extraction du plasma sanguin
Soit en petit volume (600 ml max):
Plasmaphérèse encore utilisée pour le don de plasma
Soit en volume important (2 à 5 litres):
Echange plasmatique avec compensation volémique par des
produits de substitution
Introduction
• Soustraction du plasma ( haut volume) , et son remplacement
par des solutions de substitution
But :
• Épuration d’une substance nocive ( Ac ,CI, produits toxiques,...)
ou diminution du taux des Ig (hyperviscosité)
• Apport par la perfusion de plasma, d’une protéine déficitaire
(métaloprotéase dans les MAT)
Seuils de séparations
Seuils de séparations
EER CVVH EP
Globules
rouges
Les techniques
• Plusieurs techniques sont possibles pour réaliser cette épuration du
sang:
 La centrifugation à flux continu
 La centrifugation à flux discontinu
 La filtration
• La centrifugation permettra de réaliser une séparation des éléments
du sang par densité tandis que la filtration va effectuer une
séparation selon la taille des molécules
La centrifugation à flux continu
Le sang est traité et séparé de façon continue:
Les Avantages :
• Rapidité du traitement
• Stabilité de la volémie
• Volume extracorporel faible de 150 à 250mL
• Gestion automatique du substitut
• Bonne qualité de la séparation
Les limites:
• Deux voies veineuses indispensables
• Mise en œuvre plus complexe
• Moniteur difficilement transportable sur les anciennes générations
La centrifugation à flux continu
La centrifugation à flux discontinu
• La centrifugation à flux discontinu utilise la technique du
bol de Latham
• Le traitement se décline par cycle comprenant :
- Une phase de remplissage
- Une séparation
- Un prélèvement du plasma
- Une restitution des cellules au patient
- Une phase de purge du bol
La centrifugation à flux discontinu
Les avantages :
• Une seule voie veineuse
• Mise en œuvre peu complexe
• Moniteur transportable au chevet du patient
Les limites du système :
• Durée plus importante
• Instabilité de la volémie
• Volume extracorporel important en fonction du taux d’hématocrite
• Gestion manuelle du substitut
• Ce dispositif est peu utilisé pour les aphérèses thérapeutiques
La filtration
• Le sang total passe sur une membrane microporeuse
• Dans la filtration classique, le plasma extrait est remplacé par les
fluides de substitution, et le plasma du patient est éliminé
• Des capteurs de pression contrôlent en permanence la pression
dans le circuit en sortie de la membrane et avant la restitution
au patient
La filtration
Albumine 69 kDa
IgG 150 kDa
IgA 160 kDa
IgM 900 kDa
Fibrinogene 340 kDa
LDL 2000-4500 kDa
0.02 µm
Pore membrane 0.2 - 0.6 µm
Membrane de séparation
Comparaison entre la filtration
et la centrifugation
M.R. Galliot, SRLF 2011
Les différentes techniques d’EP dans le monde
Dialysis & Transplantation 2009 February: 1-4
Autres techniques
Double filtration cascade
• Combine une série de 2 séparations plasmatiques avec des coefficients d’épuration
différents
• La première étape va permettre par centrifugation ou filtration d’obtenir le plasma
• Le plasma obtenu passe par une seconde étape de filtration à travers d’un
plasmafiltre ( dont le diamètre des pores est choisi en fonction du PM de la substance à épurer
)
• C’est une technique semi-sélective qui permet de faire l’économie d’une certaine
quantité de substitution
Limites :
• Ne permet pas tjrs de cibler l’épuration de la molécule souhaitée en éliminant d’autres
molécules de poids moléculaire proche
• Le plasmafiltre de la séparation secondaire est souvent soumis au colmatage
L’immunoadsorption
• Repose sur une séparation plasmatique en deux étapes
• La première consiste à séparer le plasma à partir du sang par centrifugation ou
filtration
• Le plasma obtenu passe par une seconde étape de séparation avec des colonnes
contenant des motifs antigéniques particuliers (ligands), permettant de retenir les Ig
• Plusieurs types de colonnes existent, semi-sélectifs pour certains, épurant
préférentiellement les IgG en globalité (protéine-A-Sépharose, ou Ac de mouton anti-
Ig humaine), ou plus récemment des colonnes dites « sélectives » qui n’épurent qu’un
seul motif antigénique d’Ig particulier comme les AC anti-A ou B de la greffe ABO
incompatible (Glycosorb1)
• Ces colonnes restent encore couteuses, limitant la diffusion de la technique
L’immunoadsorption
L’adsorption chimique
• Le principe est basé sur la capacité de certaines colonnes à
contenir des gels ayant des affinités électro-chimiques pour
des molécules particulières
Ex: les gels constitués de sulfate de dextran ou d’acide acrylamide
• Ces gels, de par leur charge négative, ont la capacité
d’adsorber des molécules de charge positive
• Cette technique d’aphérèse est pour l’instant utilisée quasi
exclusivement pour l’épuration du LDL-cholestérol
• Elle a été proposée également lors de récidives des HSF
réfractaires au traitement conventionnel
L’adsorption chimique
La photochimiothérapie extracorporelle
• La moins dé́veloppée des techniques avec des indications restant
encore à définir
• Il s’agit d’un traitement immunomodulateur dont les principales
indications:
a) La réaction du greffon contre l’hote post-transplantation médullaire
b) Les rejets aigus et/ou chroniques dans les transplantations cœur-poumons
c) Les lymphomes cutanés T (mycosis fongoide)
• Cette technique nécessite un séparateur de cellules dont le principe
de séparation est la centrifugation
Le volume plasmatique échangé
• Estimation du volume plasmatique chez un
adulte:
VP = (1-Hct) x 0,065 x Poids
• Volume de plasma échangé à chaque séance :
1,0 - 1,5 masse plasmatique
• Ex: Patient de Pd : 60 Kg, Ht: 45% = 2310 ml - 3465 ml
Kaplan AA. ASAIO Trans 1990 jul-Sep;36 (3):M597-9
Critères d’une solution de subsitution
Repose sur la recherche de la meilleure adéquation possible entre:
• Un remplissage vasculaire pour garder une bonne stabilité
hémodynamique
• Le maintien d’une protidémie appropriée
• Un pouvoir de remplissage immédiat, pouvoir oncotiques
permettant une expansion volémique
• Une demi-vie intra vasculaire assez Permettre la restauration
significative des protéines plasmatiques (Albumine et facteurs de
coagulation)
• Une bonne tolérance par le patient, et un prix raisonnable
Le plasma
• Actuellement son utilisation est bien réglementée et
réservée uniquement à certaines maladies ou situations cliniques
• Principale indication les MAT: Purpura thrombotique
Thrombopénique (PTT) ou le syndrome hémolytique et urémique
(SHU)
• Déplétion/dilution des facteurs de la coagulation, EP
quotidiens (en particulier le fibrinogène exposant alors le
patient à un risque hémorragique)
Le plasma
• Lorsqu’il existe un trouble majeur de l'hémostase: (thrombopénie,
déficits en protéines de la coagulation) ou de traitement
anticoagulants
• Dans les situations à risque hémorragique: (Ponction biopsie
rénale, intervention chirurgicale)
• Les patients pour lesquels une intervention chirurgicale à fort
risque hémorragique est envisagée à court terme, la substitution
du plasma prélevé se fera à 100% par du plasma homologue:
(Greffe rénale dans les protocoles de désensibilisation)
TRALI: Transfusion-Related Acute Lung Injury
• Après toute transfusion ou perfusion de plasma
• Œdème pulmonaire non hémodynamique, dans les 6 h
suivant le produit sanguin
• Incidence : 1 à 2 pour 10 000 unités
• Fréquence dans le traitement du PTT
• Mortalité : 10 %
• Lié à la présence, chez le donneur, d’anti-HLA du receveur
L’Albumine
• Excellente tolérance du produit: Le risque allergique est très faible
• Une méta-analyse montre que l’albumine est le colloïde le mieux toléré :
Groeneveld AB, Navickis RJ, Wilkes MM: Update on the comparative safety of
colloids: a systematic review of clinical studies. Ann Surg 253: 470-483, 201
• Le risque de transmission infectieuse est extrêmement faible
• Facilité d’usage!
L’Albumine
Par ailleurs:
• Le risque hémorragique
Ce risque est lié à l’absence de substitution des facteurs de coagulation
• L’hypogammaglobulinémie
• L’hypocalcémie
• Son prix elevé / disponibilité....
Les cristalloides
• Solutés salés isotoniques tels que le sérum physiologique 0.9%, le
Ringer Lactate
• L’indication principale des cristalloïdes est l’hypovolémie
modérée, la déshydratation extracellulaire mais pas de
substitution plasmatique
• Pouvoir d’expansion vasculaire faible: (il faut perfuser 4 à 5 x le
volume à compenser )
• Durée d’action courte (01h après, 80% du volume perfusé quitte le
secteur vasculaire, exposant au risque d’inflation)
• Ne présentent aucun risque d’allergie
Les colloïdes artificiels:
l’hydroxyéthylamidon (HEA) (Volven), Les gélatines (plasmion)
• Le principal avantage est le prix, 4 fois moins cher que
l’albumine
• Pas de risque de transmission infectieuse avec les colloïdes de
synthèse
Les colloïdes artificiels:
l’hydroxyéthylamidon (HEA) (Volven), Les gélatines (plasmion)
• Le risque de surcharge volémique : Odème pulmonaire est majoré +
Augmentation du risque d’HTA au décours de la séance
• La néphrotoxicité: CI des HEA. Mise en évidence de lésions de néphrose osmotique
sur les biopsies de greffon issues de donneurs réanimés avec des HEA
Legendre C, Thervet E, Page B, Percheron A, Noel LH, Kreis H: Hydroxyethylstarch and osmotic-nephrosis-like lésions in
kidney transplantation. Lancet 342: 248-249, 1993.
• Sur-risque d’IRA de 59%: y compris avec nécessité d’épuration extrarénale (+31%)
chez des patients de réanimation
Dart AB, Mutter TC, Ruth CA, Taback SP: Hydro x xyethyl starch (HES) versus other fluid therapies: effects on kidney
function. Cochrane Database Syst Rev: CD007594, 2010
• Le risque allergique: Risque de réactions anaphylactique / l’albumine
La méta-analyse de Barron et coll. montre à partir de 107 études, un sur-risque allergique de 4,51 [2,06-9,89] pour les
HEA
vs. Albumine et de 12,4 [6,4-24,0] pour les gélatines vs. Albumine
• Anomalies de la coagulation: Par la baisse du facteur VIII, du facteur
Willebrandt et par dysfonction plaquettaire 20-22
L’anticoagulation
Elle peut etre faite par Le citrate ou L’héparine
L’héparine :
• Peu efficace pour les EP, et est contre-indiquée en cas de risque hémorragique
• La déplétion de facteurs de la coagulation durant les EP peut majorer ce risque
Le citrate:
• Anticoagulant de choix, il est utilisé systématiquement avec les EP par
centrifugation et est proposé maintenant avec les EP par filtration
• Le principal effet secondaire est l’hypocalccémie car le citrate agit comme
anticoagulant en chélatant le calcium
• L’injection de calcium peut etre nécessaire à la sortie du circuit pour prévenir
l’hypocalcémie, surtout pour les EP par filtration car la dose cumulée de citrate
injectée au patient est plus importante que lors des EP par centrifugation
Les indications de l’EP
• Les EP ont été́ souvent considé́rés comme dernier recours à
certaines pathologies mal connues ou les ressources
thé́rapeutiques étaient inexistantes
• Faute d’é́tude pertinente randomisée, le niveau de preuve
de l’efficacié des EP pour la plupart des indications reste
faible
• La société américaine d’hémaphérèse (American Society
for Apheresis) a édicté en 2010 des recommandations
concernant les indications médicales des EP
En Néphrologie
Niveaux de recommandation selon la pertinence
des articles médicaux publié́s
Niveaux d’indication des aphèrèses thérapeutiques selon le
classement de l’American Society for Apheresis 2010
Echanges plasmatiques : niveaux de recommandation et catégories de
l’American Society for Apheresis selon les indications néphrologiques
Indications
• 1. Syndrome de Goodpasture
• 2. Vascularites à ANCA
• 3. Microangiopathies thrombotiques
• 4. Lupus
• 5. Transplantation rénale
• 6. Néphropathie myélomateuse
1964: Goodpasture’s syndrome: a clinicopathologic entity
Benoit & al, Am J Med
52 patients: Survie 4 %, Autonomie rénale 2%
Hémorragie intra-alvéolaire + LBA
Anti-Glomerular Basement Membrane Disease
Outcomes of Different Therapeutic Regimens in a Large Single-Center
Chinese Cohort Study
Zhao Cui, MD, Juan Zhao, MD, Xiao-yu Jia, MB, Sai-nan Zhu, ScM, Qi-zhuang Jin, MB,
Xu-yang Cheng, MD, and Ming-hui Zhao, MD, PhD
Indications
• 1. Syndrome de Goodpasture
• 2. Vascularites à ANCA
• 3. Microangiopathies thrombotiques
• 4. lupus
• 5. Transplantation rénale
• 6. Néphropathie myélomateuse
Vascularites à ANCA
• 1. Traitement d’induction:
– Bolus de Méthylprédnisolone :15 mg/kg/j x 3 jours
puis Corticothérapie 1 mg/kg/j puis décroissance
– Cyclophosphamide bolus:
• 600 mg/m2 J1, J15, J30
• puis 750 mg/m2 toutes les 3 semaines
– Echanges plasmatiques:
• Si créatinine > 54 mg/l, 7 EP en 14 jours
• Si hémorragie alvéolaire persistante, EP avec PFC
Les échanges plasmatiques
MEPEX
Traitement des vascularites à ANCA avec
créatinine > 500 μmol par Echange
plasmatiques ou bolus de méthylprednisolone
Jayne D. JASN 2007
Essai MEPEX
• Phase initiale du traitement des formes graves
• Comparaison des bolus de méthylprednisolone et des
échanges plasmatiques dans les vascularites ANCA+ avec
créatininémie >500 μmol/l
• Amélioration significative de la survie rénale
EP: 69 vs MP: 43
• Pas d’amélioration de la survie
EP: 16 vs MP: 16
Jayne D. JASN 2007
Essai MEPEX
Protocoles en cours : PEXIVAS
• Les échanges plasmatiques dans les vascularites associées aux
ANCA+ avec créatinine sérique < 200 μmol/l
Objectif:
• Démontrer l’efficacité des EP en adjonction aux
corticoïdes et aux immunosuppresseurs à diminuer le
nombre de décès et d’évolution vers l’IRCT
Indications
• 1. Syndrome de Goodpasture
• 2. Vascularites à ANCA
• 3. Microangiopathies thrombotiques
• 4. Lupus
• 5. Transplantation rénale
• 6. Néphropathie myélomateuse
PTT/SHU
• Purpura thrombotique thrombopénique
• Syndrome Hémolytique et Urémique
Micro-angiopathies thrombotiques
• EP>PFC
• Rock, NEJM 1991:
– 102 patients avec PTT (51/51)
– Réponse initiale meilleure dans le bras EP
– Amélioration de la survie à 6 mois dans le groupe EP
– Les patients du groupe EP ont reçu trois fois plus de
plasma que le groupe transfusion de plasma
PTT/SHU
• Rock, NEJM 1991
• Pene, Intensive Care med 2005
• Ariceta, Pediatr Nephrol 2009
• Michael, Am J Kidney Dis 2009
Rock, NEJM 1991
• Réponse initiale meilleure dans le bras EP
Rock, NEJM
• Amélioration de la survie à 6 mois dans le groupe EP
PTT/SHU
Pene, ICM 2005 Tostivint, NDT 2002 :
• étude rétrospective entre 1990 et
1998 (soins intensif néphrologie),
55 SHU de l’adulte
Infection dans 50% des cas
Prévalence 0,35% (112 MAT)
Mortalité 35%
Présentation
clinique
Nb. (%)
Fièvre 15 (27%)
HTA maligne 12 (21%)
Atteinte
neurologique
centrale
25 (45%)
Hémodialyse 22(40%)
Ventilation
mécanique
15 (27%)
Les échanges plasmatiques en pratique
• En urgence dans les MAT
• Par filtration ou centrifugation
• Soluté de substitution : PLASMA
– Plasma isogroupe, déleucocyté, viro-inactivé
– Plasma « cryo-deplété » (Fg/F VIII/ ULvWF) de préférence non disponible au
Maroc
• 1 volume plasmatique par jour :
– Réglette de calcul du volume plasmatique
– Calcul : sang total = 7% du poids corporel et plasma = 55% du sang total donc vol.
plam. = 3.85% du poids ( 38 ml/kg)
– En pratique : 30mL/Kg/j
– forme gravissime ou réfractaire : 60 ml/kg/j
Allford, Br J Haematol 2003
Smith,Transfusion 2003
Les échanges plasmatiques en pratique PTT/SHU
• Séances quotidienne jusqu’à rémission
 Plaquettes > 150.000 /mm3 ; LDH < 1.5 N
 7 à 9 jours nécessaires en général
• Au moins 7 jours
• Puis une séance tous les 2 à 3 jours pendant deux semaines
• Parfois des périodes de 1 à 3 mois sont nécessaires
• Relais par infusion de plasma
Allford, Br J Haematol 2003
Smith,Transfusion 2003
Complications des EP PTT/SHU
Howard, transfusion 2006
28 % de
complication
majeure
Septicémie
Thrombose cathéter
Hémo pneumothorax
Indications
• 1. Syndrome de Goodpasture
• 2. Vascularites à ANCA
• 3. Microangiopathies thrombotiques
• 4. Lupus
• 5. Transplantation rénale
• 6. Néphropathie myélomateuse
Lupus érythémateux aigu disséminé
• Le traitement classique comporte des immunosuppresseurs
dans les formes sévères (glomérulopathies lupiques
prolifératives)
• Les EP n’ont pas apporté d’avantage supplémentaire sur le
pronostic rénal dans les glomérulopathies sévères, comparés
aux traitements immunosuppresseurs
Lewis EJ, N Engl J Med 1992;326:1373–9
Lupus érythémateux aigu disséminé
Les EP peuvent etre proposés dans certaines particulières du
lupus comme:
• Durant la grossesse pour éviter la toxicité des immunosuppresseurs
• Le lupus associé à une MAT
• Syndrome catastrophique des anticorps antiphospholipides en
complément de l’anticoagulation efficace
• Formes sévères de lupus résistantes aux traitements
immunosuppresseurs: neurolupus sévère mettant en jeu le
pronostic vital
Wei N , Lancet 1983;1:17–22
Indications
• 1. Syndrome de Goodpasture
• 2. Vascularites à ANCA
• 3. Microangiopathies thrombotiques
• 4. Lupus
• 5. Transplantation rénale
• 6. Néphropathie myélomateuse
EP et transplantation rénale
• 3 indications majeurs:
– Rejet aigu de greffe médié par des anticorps
– Préparation à la greffe d’un receveur hyper-immunisé HLA
– Préparation à la greffe avec donneur vivant incompatible ABO
Rejet aigu de greffe rénale
médié par des anticorps
• Progrès du diagnostic des rejets aigus à médiation
humorale
– Progrès dans la détection des Anticorps anti-HLA (Luminex)
– Dépôts de C4d dans les capillaires péri-tubulaires, en IF des
biopsies de greffon
• Publications des effets bénéfiques des EP
(et des IgIV, et du Rituximab, et des associations…)
kalin E, Clin J Am Soc Nephrol 2008;3:1160–7.
Indications
• 1. Syndrome de Goodpasture
• 2. Vascularites à ANCA
• 3. Microangiopathies thrombotiques
• 4. Lupus
• 5. Transplantation rénale
• 6. Néphropathie myélomateuse
Insuffisance rénale du Myélome
• Néphropathie spécifique à cylindres myélomateux
• Rôle des chaînes légères libres sériques
• Faible poids moléculaire : Filtration glomérulaire
• Toxicité tubulaire et interstitielle
• Formation de cylindres myélomateux obstructifs
Néphropathie spécifique à cylindres myélomateux
Insuffisance rénale du Myélome
• Intérêt des EP dans le traitement initial ?
• Littérature non conclusive :
- Deux études contrôlées + contradictoires :
• Une positive : Zucchelli, 1988
• Une négative, mais positive dans un sous-groupe :
Johnson, 1990
- Une étude contrôlée récente négative, W.F.Clark,
Ann.Int.Med 2005
- Patients:
• Groupe EP, n = 58 ( 5 à 7 EP en 10 jours )
• Groupe Contrôle, n = 39
- Résultats:
• Critère composite = décès, dialyse ou DFG < 30 ml/mn/1.73 m2
• Décès à 6 mois :
Groupe EP = 33 % ; Groupe contrôle = 33 %
• Dialyse chez les survivants :
Groupe EP = 13 % ; Groupe contrôle = 30 %
En résumé,
devant une insuffisance rénale du myélome
• 1. Biopsie rénale:
• Éventuellement différée ?
• Car seule la présence de cylindres myélomateux peut justifier les
épurations
• 2. Epurations plasmatiques:
• EP ou dialyse sur membranes haute perméabilité
• 4 séances sur 7 jours
• Monitorisation des chaines légères libres sériques ?
• 3. Chimiothérapie d’action rapide:
• Velcade-Dexamethasone
En dehors de la Néphrologie
Indications en réanimation
• Myasthénie: (auto Ac anti R. de l’acetyl-choline)
Amélioration spectaculaire rapportée depuis 20 ans
Pas d’essai randomisé contrôlé satisfaisant
Gajdos P, Cochrane Database Syst Rev 2002;(4):CD002275
Indications en réanimation
• Sepsis:
• Rationnel: Présence de toxines bactériennes, cytokines, débris
cellulaires, myoglobine
-> lésions vasculaires et hyperperméabilité
-> CIVD
 Endotoxines et IL 6
Stegmayr, Blood Purif 1996;14:94-101
 TNF a
Gardlund, J Inf Dis1995;172:296-301
 Endotoxines, TNF, prostaglandines
McClelland, Intensive Care Med1990;16:100-3
Indications en réanimation
• Etudes randomisées:
• 106 patients: 1 séance dans les 6h +/- 1 autre. 1,8L, ½ PFC ½ Alb
Apache 3 plus bas à 24è heure
Nécéssité de traiter 4,9 patients
Baisse du risque absolu de mortalité de 20,5%
MAIS: Hétérogénéité des sites de sepsis et gp contrôle + âge !
Busund, ICM 2002;28:1434-9
30 patients: en continu 2 vol plasmatiques/4-6h puis 3 vol/28-30h. ½ PFC ½
Alb+cristalloïdes
Mortalité: 50% - 57% (ns)
Reeves, CCM1999;27(10):2096-2104
Indications en réanimation
• Intoxications médicamenteuses:
- Forte liaison protidique
- Faible vol. de distribution
- Temps de clairance hépatique et rénal long
Ex: AAS
• Pancréatite aigüe:
• Hypertriglicéridémie,pas d’études contrôlées
Samtleben W, therap Aph 2001;5(5):351-7
• Aigüe nécrosantes: HF+EP>HF
Tishkov, Anesteziol Reanimatol 2002;(2):66-70Abstract
Indications en réanimation
• Insuffisance hépato-cellulaire fulminante:
En attente de transplantation hépatique
• Autres:
Guillain Barre, sd d’hyperviscosité,…
Complications
 Métaboliques :
• Hypocalcémie:
• Utilisation du citrate se liant au calcium
• Retrait du calcium présent dans le plasma
• Hypokaliémie / hypophosphorémie / hypomagnésie
• Hypoglycémie
• Alcalose métabolique: si PFC ou AC au citrate
Complications
Liées à l’anticoagulation :
• EP avec albumine
• Filtration des facteurs de coagulation :
- Hémorragie
• Perte de l’antithrombine III : risque thrombotique
- AVC
- Infarctus du myocarde
- Embolie pulmonaire
Complications
Infectieuses :
Risque augmenté :
• Par l’élimination des immunoglobulines
• Risque de contamination par les produits de
substitutions (les PFC)
Transmission HIV, HBV, HCV
• Contamination quasi inexistante avec albumine
Conclusion
• Ttt intéressant dans un certain nombre de pathologies
MAIS…
• Petit nombre de malades
• Pas de concensus pour durée des ttt, modalités
(centrifugation, filtration, produit de remplacement),
thérapeutiques annexes…
• Pas de variables identifiées prédictives de succès
• Intérêt d’études multicentrique
Merci de votre attention

Plasma Exchange

  • 1.
    Service de Néphrologie-Hémodialyse& Transplantation rénale CHU Ibn Rochd Casablanca Mohammed Amine KHALFAOUI, MD medaminekhalfaoui@gmail.com Echanges plasmatiques: Techniques et indications
  • 2.
    PLAN I. Introduction: II. Aspectstechniques et pratiques: III. Indications: 1. En Néphrologie: 2. Autres: IV. Complications: VI. Conclusion:
  • 3.
    Tout d’abord…définition! Aphérèse :Une séparation des constituants du sang et consiste en l’extraction du plasma sanguin Soit en petit volume (600 ml max): Plasmaphérèse encore utilisée pour le don de plasma Soit en volume important (2 à 5 litres): Echange plasmatique avec compensation volémique par des produits de substitution
  • 4.
    Introduction • Soustraction duplasma ( haut volume) , et son remplacement par des solutions de substitution But : • Épuration d’une substance nocive ( Ac ,CI, produits toxiques,...) ou diminution du taux des Ig (hyperviscosité) • Apport par la perfusion de plasma, d’une protéine déficitaire (métaloprotéase dans les MAT)
  • 5.
    Seuils de séparations Seuilsde séparations EER CVVH EP Globules rouges
  • 6.
    Les techniques • Plusieurstechniques sont possibles pour réaliser cette épuration du sang:  La centrifugation à flux continu  La centrifugation à flux discontinu  La filtration • La centrifugation permettra de réaliser une séparation des éléments du sang par densité tandis que la filtration va effectuer une séparation selon la taille des molécules
  • 7.
    La centrifugation àflux continu Le sang est traité et séparé de façon continue: Les Avantages : • Rapidité du traitement • Stabilité de la volémie • Volume extracorporel faible de 150 à 250mL • Gestion automatique du substitut • Bonne qualité de la séparation Les limites: • Deux voies veineuses indispensables • Mise en œuvre plus complexe • Moniteur difficilement transportable sur les anciennes générations
  • 8.
  • 9.
    La centrifugation àflux discontinu • La centrifugation à flux discontinu utilise la technique du bol de Latham • Le traitement se décline par cycle comprenant : - Une phase de remplissage - Une séparation - Un prélèvement du plasma - Une restitution des cellules au patient - Une phase de purge du bol
  • 10.
    La centrifugation àflux discontinu Les avantages : • Une seule voie veineuse • Mise en œuvre peu complexe • Moniteur transportable au chevet du patient Les limites du système : • Durée plus importante • Instabilité de la volémie • Volume extracorporel important en fonction du taux d’hématocrite • Gestion manuelle du substitut • Ce dispositif est peu utilisé pour les aphérèses thérapeutiques
  • 11.
    La filtration • Lesang total passe sur une membrane microporeuse • Dans la filtration classique, le plasma extrait est remplacé par les fluides de substitution, et le plasma du patient est éliminé • Des capteurs de pression contrôlent en permanence la pression dans le circuit en sortie de la membrane et avant la restitution au patient
  • 12.
  • 13.
    Albumine 69 kDa IgG150 kDa IgA 160 kDa IgM 900 kDa Fibrinogene 340 kDa LDL 2000-4500 kDa 0.02 µm Pore membrane 0.2 - 0.6 µm Membrane de séparation
  • 14.
    Comparaison entre lafiltration et la centrifugation M.R. Galliot, SRLF 2011
  • 15.
    Les différentes techniquesd’EP dans le monde Dialysis & Transplantation 2009 February: 1-4
  • 16.
  • 17.
    Double filtration cascade •Combine une série de 2 séparations plasmatiques avec des coefficients d’épuration différents • La première étape va permettre par centrifugation ou filtration d’obtenir le plasma • Le plasma obtenu passe par une seconde étape de filtration à travers d’un plasmafiltre ( dont le diamètre des pores est choisi en fonction du PM de la substance à épurer ) • C’est une technique semi-sélective qui permet de faire l’économie d’une certaine quantité de substitution Limites : • Ne permet pas tjrs de cibler l’épuration de la molécule souhaitée en éliminant d’autres molécules de poids moléculaire proche • Le plasmafiltre de la séparation secondaire est souvent soumis au colmatage
  • 18.
    L’immunoadsorption • Repose surune séparation plasmatique en deux étapes • La première consiste à séparer le plasma à partir du sang par centrifugation ou filtration • Le plasma obtenu passe par une seconde étape de séparation avec des colonnes contenant des motifs antigéniques particuliers (ligands), permettant de retenir les Ig • Plusieurs types de colonnes existent, semi-sélectifs pour certains, épurant préférentiellement les IgG en globalité (protéine-A-Sépharose, ou Ac de mouton anti- Ig humaine), ou plus récemment des colonnes dites « sélectives » qui n’épurent qu’un seul motif antigénique d’Ig particulier comme les AC anti-A ou B de la greffe ABO incompatible (Glycosorb1) • Ces colonnes restent encore couteuses, limitant la diffusion de la technique
  • 19.
  • 20.
    L’adsorption chimique • Leprincipe est basé sur la capacité de certaines colonnes à contenir des gels ayant des affinités électro-chimiques pour des molécules particulières Ex: les gels constitués de sulfate de dextran ou d’acide acrylamide • Ces gels, de par leur charge négative, ont la capacité d’adsorber des molécules de charge positive • Cette technique d’aphérèse est pour l’instant utilisée quasi exclusivement pour l’épuration du LDL-cholestérol • Elle a été proposée également lors de récidives des HSF réfractaires au traitement conventionnel
  • 21.
  • 22.
    La photochimiothérapie extracorporelle •La moins dé́veloppée des techniques avec des indications restant encore à définir • Il s’agit d’un traitement immunomodulateur dont les principales indications: a) La réaction du greffon contre l’hote post-transplantation médullaire b) Les rejets aigus et/ou chroniques dans les transplantations cœur-poumons c) Les lymphomes cutanés T (mycosis fongoide) • Cette technique nécessite un séparateur de cellules dont le principe de séparation est la centrifugation
  • 23.
    Le volume plasmatiqueéchangé • Estimation du volume plasmatique chez un adulte: VP = (1-Hct) x 0,065 x Poids • Volume de plasma échangé à chaque séance : 1,0 - 1,5 masse plasmatique • Ex: Patient de Pd : 60 Kg, Ht: 45% = 2310 ml - 3465 ml Kaplan AA. ASAIO Trans 1990 jul-Sep;36 (3):M597-9
  • 24.
    Critères d’une solutionde subsitution Repose sur la recherche de la meilleure adéquation possible entre: • Un remplissage vasculaire pour garder une bonne stabilité hémodynamique • Le maintien d’une protidémie appropriée • Un pouvoir de remplissage immédiat, pouvoir oncotiques permettant une expansion volémique • Une demi-vie intra vasculaire assez Permettre la restauration significative des protéines plasmatiques (Albumine et facteurs de coagulation) • Une bonne tolérance par le patient, et un prix raisonnable
  • 25.
    Le plasma • Actuellementson utilisation est bien réglementée et réservée uniquement à certaines maladies ou situations cliniques • Principale indication les MAT: Purpura thrombotique Thrombopénique (PTT) ou le syndrome hémolytique et urémique (SHU) • Déplétion/dilution des facteurs de la coagulation, EP quotidiens (en particulier le fibrinogène exposant alors le patient à un risque hémorragique)
  • 26.
    Le plasma • Lorsqu’ilexiste un trouble majeur de l'hémostase: (thrombopénie, déficits en protéines de la coagulation) ou de traitement anticoagulants • Dans les situations à risque hémorragique: (Ponction biopsie rénale, intervention chirurgicale) • Les patients pour lesquels une intervention chirurgicale à fort risque hémorragique est envisagée à court terme, la substitution du plasma prélevé se fera à 100% par du plasma homologue: (Greffe rénale dans les protocoles de désensibilisation)
  • 27.
    TRALI: Transfusion-Related AcuteLung Injury • Après toute transfusion ou perfusion de plasma • Œdème pulmonaire non hémodynamique, dans les 6 h suivant le produit sanguin • Incidence : 1 à 2 pour 10 000 unités • Fréquence dans le traitement du PTT • Mortalité : 10 % • Lié à la présence, chez le donneur, d’anti-HLA du receveur
  • 28.
    L’Albumine • Excellente tolérancedu produit: Le risque allergique est très faible • Une méta-analyse montre que l’albumine est le colloïde le mieux toléré : Groeneveld AB, Navickis RJ, Wilkes MM: Update on the comparative safety of colloids: a systematic review of clinical studies. Ann Surg 253: 470-483, 201 • Le risque de transmission infectieuse est extrêmement faible • Facilité d’usage!
  • 29.
    L’Albumine Par ailleurs: • Lerisque hémorragique Ce risque est lié à l’absence de substitution des facteurs de coagulation • L’hypogammaglobulinémie • L’hypocalcémie • Son prix elevé / disponibilité....
  • 30.
    Les cristalloides • Solutéssalés isotoniques tels que le sérum physiologique 0.9%, le Ringer Lactate • L’indication principale des cristalloïdes est l’hypovolémie modérée, la déshydratation extracellulaire mais pas de substitution plasmatique • Pouvoir d’expansion vasculaire faible: (il faut perfuser 4 à 5 x le volume à compenser ) • Durée d’action courte (01h après, 80% du volume perfusé quitte le secteur vasculaire, exposant au risque d’inflation) • Ne présentent aucun risque d’allergie
  • 31.
    Les colloïdes artificiels: l’hydroxyéthylamidon(HEA) (Volven), Les gélatines (plasmion) • Le principal avantage est le prix, 4 fois moins cher que l’albumine • Pas de risque de transmission infectieuse avec les colloïdes de synthèse
  • 32.
    Les colloïdes artificiels: l’hydroxyéthylamidon(HEA) (Volven), Les gélatines (plasmion) • Le risque de surcharge volémique : Odème pulmonaire est majoré + Augmentation du risque d’HTA au décours de la séance • La néphrotoxicité: CI des HEA. Mise en évidence de lésions de néphrose osmotique sur les biopsies de greffon issues de donneurs réanimés avec des HEA Legendre C, Thervet E, Page B, Percheron A, Noel LH, Kreis H: Hydroxyethylstarch and osmotic-nephrosis-like lésions in kidney transplantation. Lancet 342: 248-249, 1993. • Sur-risque d’IRA de 59%: y compris avec nécessité d’épuration extrarénale (+31%) chez des patients de réanimation Dart AB, Mutter TC, Ruth CA, Taback SP: Hydro x xyethyl starch (HES) versus other fluid therapies: effects on kidney function. Cochrane Database Syst Rev: CD007594, 2010 • Le risque allergique: Risque de réactions anaphylactique / l’albumine La méta-analyse de Barron et coll. montre à partir de 107 études, un sur-risque allergique de 4,51 [2,06-9,89] pour les HEA vs. Albumine et de 12,4 [6,4-24,0] pour les gélatines vs. Albumine • Anomalies de la coagulation: Par la baisse du facteur VIII, du facteur Willebrandt et par dysfonction plaquettaire 20-22
  • 33.
    L’anticoagulation Elle peut etrefaite par Le citrate ou L’héparine L’héparine : • Peu efficace pour les EP, et est contre-indiquée en cas de risque hémorragique • La déplétion de facteurs de la coagulation durant les EP peut majorer ce risque Le citrate: • Anticoagulant de choix, il est utilisé systématiquement avec les EP par centrifugation et est proposé maintenant avec les EP par filtration • Le principal effet secondaire est l’hypocalccémie car le citrate agit comme anticoagulant en chélatant le calcium • L’injection de calcium peut etre nécessaire à la sortie du circuit pour prévenir l’hypocalcémie, surtout pour les EP par filtration car la dose cumulée de citrate injectée au patient est plus importante que lors des EP par centrifugation
  • 34.
    Les indications del’EP • Les EP ont été́ souvent considé́rés comme dernier recours à certaines pathologies mal connues ou les ressources thé́rapeutiques étaient inexistantes • Faute d’é́tude pertinente randomisée, le niveau de preuve de l’efficacié des EP pour la plupart des indications reste faible • La société américaine d’hémaphérèse (American Society for Apheresis) a édicté en 2010 des recommandations concernant les indications médicales des EP
  • 35.
  • 36.
    Niveaux de recommandationselon la pertinence des articles médicaux publié́s
  • 37.
    Niveaux d’indication desaphèrèses thérapeutiques selon le classement de l’American Society for Apheresis 2010
  • 38.
    Echanges plasmatiques :niveaux de recommandation et catégories de l’American Society for Apheresis selon les indications néphrologiques
  • 39.
    Indications • 1. Syndromede Goodpasture • 2. Vascularites à ANCA • 3. Microangiopathies thrombotiques • 4. Lupus • 5. Transplantation rénale • 6. Néphropathie myélomateuse
  • 40.
    1964: Goodpasture’s syndrome:a clinicopathologic entity Benoit & al, Am J Med 52 patients: Survie 4 %, Autonomie rénale 2%
  • 41.
  • 42.
    Anti-Glomerular Basement MembraneDisease Outcomes of Different Therapeutic Regimens in a Large Single-Center Chinese Cohort Study Zhao Cui, MD, Juan Zhao, MD, Xiao-yu Jia, MB, Sai-nan Zhu, ScM, Qi-zhuang Jin, MB, Xu-yang Cheng, MD, and Ming-hui Zhao, MD, PhD
  • 43.
    Indications • 1. Syndromede Goodpasture • 2. Vascularites à ANCA • 3. Microangiopathies thrombotiques • 4. lupus • 5. Transplantation rénale • 6. Néphropathie myélomateuse
  • 44.
    Vascularites à ANCA •1. Traitement d’induction: – Bolus de Méthylprédnisolone :15 mg/kg/j x 3 jours puis Corticothérapie 1 mg/kg/j puis décroissance – Cyclophosphamide bolus: • 600 mg/m2 J1, J15, J30 • puis 750 mg/m2 toutes les 3 semaines – Echanges plasmatiques: • Si créatinine > 54 mg/l, 7 EP en 14 jours • Si hémorragie alvéolaire persistante, EP avec PFC
  • 45.
    Les échanges plasmatiques MEPEX Traitementdes vascularites à ANCA avec créatinine > 500 μmol par Echange plasmatiques ou bolus de méthylprednisolone Jayne D. JASN 2007
  • 46.
    Essai MEPEX • Phaseinitiale du traitement des formes graves • Comparaison des bolus de méthylprednisolone et des échanges plasmatiques dans les vascularites ANCA+ avec créatininémie >500 μmol/l • Amélioration significative de la survie rénale EP: 69 vs MP: 43 • Pas d’amélioration de la survie EP: 16 vs MP: 16 Jayne D. JASN 2007
  • 47.
  • 49.
    Protocoles en cours: PEXIVAS • Les échanges plasmatiques dans les vascularites associées aux ANCA+ avec créatinine sérique < 200 μmol/l Objectif: • Démontrer l’efficacité des EP en adjonction aux corticoïdes et aux immunosuppresseurs à diminuer le nombre de décès et d’évolution vers l’IRCT
  • 50.
    Indications • 1. Syndromede Goodpasture • 2. Vascularites à ANCA • 3. Microangiopathies thrombotiques • 4. Lupus • 5. Transplantation rénale • 6. Néphropathie myélomateuse
  • 51.
    PTT/SHU • Purpura thrombotiquethrombopénique • Syndrome Hémolytique et Urémique Micro-angiopathies thrombotiques
  • 52.
    • EP>PFC • Rock,NEJM 1991: – 102 patients avec PTT (51/51) – Réponse initiale meilleure dans le bras EP – Amélioration de la survie à 6 mois dans le groupe EP – Les patients du groupe EP ont reçu trois fois plus de plasma que le groupe transfusion de plasma PTT/SHU • Rock, NEJM 1991 • Pene, Intensive Care med 2005 • Ariceta, Pediatr Nephrol 2009 • Michael, Am J Kidney Dis 2009
  • 53.
    Rock, NEJM 1991 •Réponse initiale meilleure dans le bras EP
  • 54.
    Rock, NEJM • Améliorationde la survie à 6 mois dans le groupe EP
  • 55.
    PTT/SHU Pene, ICM 2005Tostivint, NDT 2002 : • étude rétrospective entre 1990 et 1998 (soins intensif néphrologie), 55 SHU de l’adulte Infection dans 50% des cas Prévalence 0,35% (112 MAT) Mortalité 35% Présentation clinique Nb. (%) Fièvre 15 (27%) HTA maligne 12 (21%) Atteinte neurologique centrale 25 (45%) Hémodialyse 22(40%) Ventilation mécanique 15 (27%)
  • 56.
    Les échanges plasmatiquesen pratique • En urgence dans les MAT • Par filtration ou centrifugation • Soluté de substitution : PLASMA – Plasma isogroupe, déleucocyté, viro-inactivé – Plasma « cryo-deplété » (Fg/F VIII/ ULvWF) de préférence non disponible au Maroc • 1 volume plasmatique par jour : – Réglette de calcul du volume plasmatique – Calcul : sang total = 7% du poids corporel et plasma = 55% du sang total donc vol. plam. = 3.85% du poids ( 38 ml/kg) – En pratique : 30mL/Kg/j – forme gravissime ou réfractaire : 60 ml/kg/j Allford, Br J Haematol 2003 Smith,Transfusion 2003
  • 57.
    Les échanges plasmatiquesen pratique PTT/SHU • Séances quotidienne jusqu’à rémission  Plaquettes > 150.000 /mm3 ; LDH < 1.5 N  7 à 9 jours nécessaires en général • Au moins 7 jours • Puis une séance tous les 2 à 3 jours pendant deux semaines • Parfois des périodes de 1 à 3 mois sont nécessaires • Relais par infusion de plasma Allford, Br J Haematol 2003 Smith,Transfusion 2003
  • 58.
    Complications des EPPTT/SHU Howard, transfusion 2006 28 % de complication majeure Septicémie Thrombose cathéter Hémo pneumothorax
  • 59.
    Indications • 1. Syndromede Goodpasture • 2. Vascularites à ANCA • 3. Microangiopathies thrombotiques • 4. Lupus • 5. Transplantation rénale • 6. Néphropathie myélomateuse
  • 60.
    Lupus érythémateux aigudisséminé • Le traitement classique comporte des immunosuppresseurs dans les formes sévères (glomérulopathies lupiques prolifératives) • Les EP n’ont pas apporté d’avantage supplémentaire sur le pronostic rénal dans les glomérulopathies sévères, comparés aux traitements immunosuppresseurs Lewis EJ, N Engl J Med 1992;326:1373–9
  • 61.
    Lupus érythémateux aigudisséminé Les EP peuvent etre proposés dans certaines particulières du lupus comme: • Durant la grossesse pour éviter la toxicité des immunosuppresseurs • Le lupus associé à une MAT • Syndrome catastrophique des anticorps antiphospholipides en complément de l’anticoagulation efficace • Formes sévères de lupus résistantes aux traitements immunosuppresseurs: neurolupus sévère mettant en jeu le pronostic vital Wei N , Lancet 1983;1:17–22
  • 62.
    Indications • 1. Syndromede Goodpasture • 2. Vascularites à ANCA • 3. Microangiopathies thrombotiques • 4. Lupus • 5. Transplantation rénale • 6. Néphropathie myélomateuse
  • 63.
    EP et transplantationrénale • 3 indications majeurs: – Rejet aigu de greffe médié par des anticorps – Préparation à la greffe d’un receveur hyper-immunisé HLA – Préparation à la greffe avec donneur vivant incompatible ABO
  • 64.
    Rejet aigu degreffe rénale médié par des anticorps • Progrès du diagnostic des rejets aigus à médiation humorale – Progrès dans la détection des Anticorps anti-HLA (Luminex) – Dépôts de C4d dans les capillaires péri-tubulaires, en IF des biopsies de greffon • Publications des effets bénéfiques des EP (et des IgIV, et du Rituximab, et des associations…) kalin E, Clin J Am Soc Nephrol 2008;3:1160–7.
  • 66.
    Indications • 1. Syndromede Goodpasture • 2. Vascularites à ANCA • 3. Microangiopathies thrombotiques • 4. Lupus • 5. Transplantation rénale • 6. Néphropathie myélomateuse
  • 67.
    Insuffisance rénale duMyélome • Néphropathie spécifique à cylindres myélomateux • Rôle des chaînes légères libres sériques • Faible poids moléculaire : Filtration glomérulaire • Toxicité tubulaire et interstitielle • Formation de cylindres myélomateux obstructifs
  • 68.
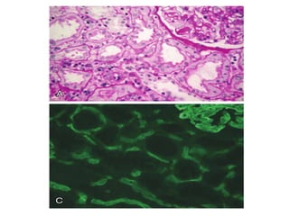
    Néphropathie spécifique àcylindres myélomateux
  • 69.
    Insuffisance rénale duMyélome • Intérêt des EP dans le traitement initial ? • Littérature non conclusive : - Deux études contrôlées + contradictoires : • Une positive : Zucchelli, 1988 • Une négative, mais positive dans un sous-groupe : Johnson, 1990 - Une étude contrôlée récente négative, W.F.Clark, Ann.Int.Med 2005
  • 70.
    - Patients: • GroupeEP, n = 58 ( 5 à 7 EP en 10 jours ) • Groupe Contrôle, n = 39 - Résultats: • Critère composite = décès, dialyse ou DFG < 30 ml/mn/1.73 m2 • Décès à 6 mois : Groupe EP = 33 % ; Groupe contrôle = 33 % • Dialyse chez les survivants : Groupe EP = 13 % ; Groupe contrôle = 30 %
  • 71.
    En résumé, devant uneinsuffisance rénale du myélome • 1. Biopsie rénale: • Éventuellement différée ? • Car seule la présence de cylindres myélomateux peut justifier les épurations • 2. Epurations plasmatiques: • EP ou dialyse sur membranes haute perméabilité • 4 séances sur 7 jours • Monitorisation des chaines légères libres sériques ? • 3. Chimiothérapie d’action rapide: • Velcade-Dexamethasone
  • 72.
    En dehors dela Néphrologie
  • 73.
    Indications en réanimation •Myasthénie: (auto Ac anti R. de l’acetyl-choline) Amélioration spectaculaire rapportée depuis 20 ans Pas d’essai randomisé contrôlé satisfaisant Gajdos P, Cochrane Database Syst Rev 2002;(4):CD002275
  • 74.
    Indications en réanimation •Sepsis: • Rationnel: Présence de toxines bactériennes, cytokines, débris cellulaires, myoglobine -> lésions vasculaires et hyperperméabilité -> CIVD  Endotoxines et IL 6 Stegmayr, Blood Purif 1996;14:94-101  TNF a Gardlund, J Inf Dis1995;172:296-301  Endotoxines, TNF, prostaglandines McClelland, Intensive Care Med1990;16:100-3
  • 75.
    Indications en réanimation •Etudes randomisées: • 106 patients: 1 séance dans les 6h +/- 1 autre. 1,8L, ½ PFC ½ Alb Apache 3 plus bas à 24è heure Nécéssité de traiter 4,9 patients Baisse du risque absolu de mortalité de 20,5% MAIS: Hétérogénéité des sites de sepsis et gp contrôle + âge ! Busund, ICM 2002;28:1434-9 30 patients: en continu 2 vol plasmatiques/4-6h puis 3 vol/28-30h. ½ PFC ½ Alb+cristalloïdes Mortalité: 50% - 57% (ns) Reeves, CCM1999;27(10):2096-2104
  • 76.
    Indications en réanimation •Intoxications médicamenteuses: - Forte liaison protidique - Faible vol. de distribution - Temps de clairance hépatique et rénal long Ex: AAS • Pancréatite aigüe: • Hypertriglicéridémie,pas d’études contrôlées Samtleben W, therap Aph 2001;5(5):351-7 • Aigüe nécrosantes: HF+EP>HF Tishkov, Anesteziol Reanimatol 2002;(2):66-70Abstract
  • 77.
    Indications en réanimation •Insuffisance hépato-cellulaire fulminante: En attente de transplantation hépatique • Autres: Guillain Barre, sd d’hyperviscosité,…
  • 78.
    Complications  Métaboliques : •Hypocalcémie: • Utilisation du citrate se liant au calcium • Retrait du calcium présent dans le plasma • Hypokaliémie / hypophosphorémie / hypomagnésie • Hypoglycémie • Alcalose métabolique: si PFC ou AC au citrate
  • 79.
    Complications Liées à l’anticoagulation: • EP avec albumine • Filtration des facteurs de coagulation : - Hémorragie • Perte de l’antithrombine III : risque thrombotique - AVC - Infarctus du myocarde - Embolie pulmonaire
  • 80.
    Complications Infectieuses : Risque augmenté: • Par l’élimination des immunoglobulines • Risque de contamination par les produits de substitutions (les PFC) Transmission HIV, HBV, HCV • Contamination quasi inexistante avec albumine
  • 81.
    Conclusion • Ttt intéressantdans un certain nombre de pathologies MAIS… • Petit nombre de malades • Pas de concensus pour durée des ttt, modalités (centrifugation, filtration, produit de remplacement), thérapeutiques annexes… • Pas de variables identifiées prédictives de succès • Intérêt d’études multicentrique
  • 82.
    Merci de votreattention