Thème XVI: l’organisme face à
          l’agression
anatomie pathologique générale


   La pathologie
    circulatoire

 Dr Lahmar.A, Dr Ayadi.A
HYPOXIE- ISCHEMIE-
INFARCTUS- ETAT DE CHOC
HYPOXIE

   Insuffisance d’oxygénation des tissus

   Conséquence d’un déséquilibre entre
    besoins en oxygène et quantité d’oxygène
    disponible au niveau des tissus
Hypoxie généralisée
 Par défaut d’apport:
      H. Hypoxémique
      H. Anémique
      H. Circulatoire
 Par      des besoins en oxygène
 Par utilisation anormale de l’oxygène
Hypoxie localisée à un organe

      Hypoxie de stase

      Hypoxie ischémique
Hypoxie d’origine veineuse

   Secondaires à la congestion passive
             désaturation en O2 du sang
    séquestré dans les capillaires
Ischémie

   Arrêt ou Diminution (ischémie relative) de
    l'apport sanguin artériel dans un territoire
    donné de l'organisme.
Causes
  Locales: obstacle sur la circulation
  artérielle ( athérosclérose, thrombose
  artérielle, embolie, artériopathies non
  athéromateuses)
 plus rarement compression d'une artère
  (garrot, hématome, tumeur) ou spasme
 Générales: un état de choc, un collapsus
  vasculaire, un bas débit cardiaque ou une
  hypercoagulabilité
Facteurs favorisants
   Nature du tissu

   État fonctionnel du tissu

   Architecture vasculaire
Lésions élémentaires
   o2           altération de
  fonctionnement du transport membranaire
 ME: gonflement des mitochondries,
  vacuolisation de l’ergastoplasme
 6 H : perte transparence du cytoplasme,
  stéatose microvacuolaire
 5 à 8 H d’ischémie         nécrose de
  coagulation
Formes évolutives
   Ischémie aigue          infarctus

   Ischémie chronique        foyers limités
    de souffrance        atrophie, sclérose
Infarctus

   Foyer de nécrose circonscrit secondaire à
    l’arrêt brutal ou la diminution extrême de
    l’irrigation sanguine dans un organe
Causes
    locales:
     occlusion de l'artère irriguant ce territoire.
    thrombose souvent associée à des lésions
    d'athérosclérose (infarctus du myocarde)
    embolie fibrinocruorique (infarctus du poumon).

   générales : hypoxie, chocs hypovolémiques.
NECROSE : Mort cellulaire en rapport avec une
lésion cellulaire irréversible mettant en jeu des enzymes
lytiques

* Altérations nucléaires :
      - Pycnose : condensation avec rétraction du noyau
      - Caryorrhéxie : fragmentation du noyau
      - Caryolyse : dissolution nucléaire

* Modifications cytoplasmiques :
      - Clarification du cytoplasme qui gonfle et devient
transparent
      - Altération de la membrane cellulaire
4 phases
   Première phase: stade précoce (inférieur
    à 6 h): lésion non visible avec les
    techniques conventionnelles.
 Premières    modifications biochimiques
   Deuxième phase:
        (6-48 H)
    zone triangulaire bien
    circonscrite dont la
    base est tournée vers
    la périphérie de
    l’organe
POUMON NORMAL




INFARCTUS ROUGE
Infarctus pulmonaire




Foyer hémorragique, triangulaire à
base pleurale, bien limité.
Infarctus pulmonaire




Infarctus pulmonaire ancien
Infarctus pulmonaire




On devine l'architecture des cloisons   Les cloisons alvéolaires sont nécrosées.
alvéolaires nécrosées.                  Les alvéoles sont remplies d'hématies.
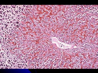
INFARCTUS HEPATIQUE
infarctus mésentérique




Grèle infarci (flèches)
Thrombose (T) récente de l'artère mésentérique supérieure.
MICROSCOPIE




Muqueuse grêlique normale




                            Nécrose ischémique de la muqueuse grêlique
INFARCTUS RENAL
Infarctus blanc : Foyer triangulaire bien limité,
cortical.
   Histologie: nécrose
    de coagulation
MICROSCOPIE




   - Nécrose éosinophile des tubes et
     des glomérules
   - Périphérie de l'infarctus, zone congestive
3 ème phase
le foyer tend à s’isoler          séquestre nécrotique

                 détersion par les macrophages
Quatrième phase
(2ème-3ème semaine)
Lésions hypoxiques au cours du
                choc
 Secondaire à l’atteinte de la
  microcirculation
 Touche électivement certains organes au
  profit d’autres
   causes très nombreuses. On peut schématiquement
                       distinguer:
                    *Les chocs hypovolémiques.
 *Les chocs cardiogéniques, par atteinte du myocarde lui-
      même ou par gêne à la fonction myocardique.
               *Les chocs neurogéniques.
Certains chocs ont un déterminisme multifactoriel : chocs
             septiques, chocs traumatiques.
Siége des lésions
    Les reins : thrombi glomérulaires, nécrose tubulaire
    proximale, oedème interstitiel.
    Les surrénales: nécrose hémorragique.
    L'encéphale peut être le siège de lésions d'ischémie
    transitoire régressive ou définitive (ramollissement).
    Le grêle : entérite nécrotico-hémorragique.
    Le pancréas : pancréatite hémorragique.
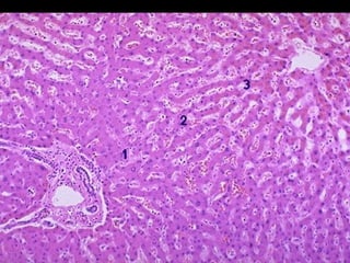
    Le foie : nécrose hépatocytaire centrolobulaire,
    dilatation sinusoïdale.
    Les zones mal perfusées de certains organes comme la
    région sous endocardique du myocarde.
CONGESTION- EMBOLIE-
    THROMBOSE
CONGESTION


Augmentation de la quantité de sang
 contenue dans les vaisseaux d’un
       organe ou d’un tissu
Congestion active
    sang artériel, vasodilatation active
 phase initiale de la réaction inflammatoire
 Peut être de nature hormonale ou
  nerveuse
 Macroscopie: rougeur,       Ө locale,
  poids de l’organe
exp: exanthème
Microscopie: congestion




Capillaire dilaté rempli d'hématies.
Congestion passive ou veineuse
Secondaire
 à un obstacle mécanique sur la circulation de retour:
  compression par une tumeur, par un utérus gravide;
  obstruction veineuse par une thrombose; altération des
  parois veineuses: insuffisance valvulaire des varices
  (congestion passive localisée ou régionale).

    à une cardiopathie: insuffisance cardiaque gauche par
    sténose mitrale           stase dans la circulation
    pulmonaire; insuffisance cardiaque droite: congestion
    passive périphérique (congestion passive systémique).
   Conséquences:
       hypoxie
       thrombose (stéatose du foie, atrophie
    cutanée en cas de varices)
       nécrose.
Exemples:
      Foie cardiaque

insuffisance cardiaque droite



hyperpression dans oreillette droite



congestion dans le domaine des veines sus-
            hépatiques.
FOIE NORMAL




FOIE MUSCADE
Dilatation des veines, alternance de zones
rouge sombre et plus claires (foie "muscade").
Nécrose centrolobulaire
partiellement
hémorragique,
systématisée autour
des veines dilatées (V),
avec respect des zones
périportales . Espace
porte (EP).
Poumon cardiaque

 insuffisance cardiaque gauche



hyperpression sanguine dans le poumon



 transsudat vers les alvéoles.
Stade aigu:œdème aigu du
     poumon (OAP)
Stade chronique
Thrombose
 la formation d'un caillot (thrombus) dans
  les cavités vasculaires (artères, veines,
  capillaires ou cavités cardiaques) durant
  la vie.
 Cette définition élimine les caillots post-
  mortem et les caillots d'hémostase
  extravasculaire (hématome).
 Maladie chronique locale au sein d’une
  zone d’un vaisseau
Causes
   Altération de la paroi vasculaire: traumatique ou
    inflammatoire.
      (athérome+++)
   Stase sanguine où ralentissement du flux sanguin
                accumulation de sang (coagulation IVD.,
    immobilisation prolongée, varices).
   Turbulences du sang à la rencontre d'un obstacle
    (anévrisme, plaque d'athérome et au niveau des
    carrefours vasculaires ou des valvules).
   Modification du sang circulant: hyperviscosité
    (maladie de Vaquez, polyglobulie)
 Macroscopie:
      friables
      surface rugueuse
      Adhérents à la paroi
 Suivant la topographie, on distingue des
  thrombus pariétaux
             oblitérants
Histologie: 3 variétés
   Caillot blanc:
   Caillot rouge: exceptionnel      injection
    accidentelle ou expérimentale d'une
    substance coagulante (sang hétérologue,
    éther) ou substance toxique (venin de
    serpent).
Caillot mixte
   Caillot mixte




     Lignes de Zahn : alternance de stries blanches et
                    de stries rouges
Variétés topographiques de
               thromboses
Thrombose veineuse
    siège le plus fréquent: membres inférieurs (veines du mollet), veines
    profondes (pelviennes)

   2 types:
    la thrombophlébite: caillots adhérant fortement à la paroi et peu
    emboligène
     la phlébothrombose: thrombus rouge peu adhérent, très emboligène.

    facteurs étiologiques:
    principalement le ralentissement circulatoire ou stase liée à l'alitement
    les lésions de la paroi veineuse secondaires à un traumatisme chirurgical
      les facteurs généraux d'hypercoagulabilité.

    conséquences:
    . locales, : oedème ou infarcissement hémorragique, lésions trophiques

    . générales: risque d'embolie en particulier dans la circulation pulmonaire.
Thrombose artérielle
 - siège ubiquitaire, mais fréquence des
 localisations coronaires, cérébrales et des
 membres inférieurs
 - causes: lésions de la paroi artérielle (
 athérosclérose, artériopathie
 inflammatoire)
 - conséquences graves: ischémie pouvant
 entraîner suivant la localisation: infarctus
 ou gangrène
Gangrène
Thrombose intracardiaque
 - Localisation: thrombus mural au contact d'un
 infarctus du myocarde, thrombose de l'oreillette
 gauche dans le rétrécissement mitral,
 thrombose valvulaire des endocardites.
 - Conséquences: migration embolique dans la
 grande circulation (cérébrale, rénale, membres
 inférieurs)
Thromboses capillaires :
    au contact des foyers inflammatoires
   syndrome de coagulation intravasculaire
    disséminée (C.I.V.D):multiples foyers de
    thrombose dans vaisseaux apparemment
    normaux, après accidents obstétricaux
    (hématome rétroplacentaire), septicémie,
    embolies graisseuses, leucémies,
    micro-angiopathies .
   Conséquences: accidents hémorragiques,
    fibrinolyse
EVOLUTION DU THROMBUS

    Persistance et organisation de la thrombose
évolution habituelle
résorption des éléments fibrino-cruoriques du caillot par des histiocytes et des
   macrophages           prolifération vasculaire et fibroblastique avec synthèse de
   collagène                bourgeon charnu
   obstruction définitive de la lumière vasculaire dans les thrombus oblitérants.
En cas de thrombus mural, pariétal :incorporation du thrombus à la paroi avec
   recouvrement par des cellules endothéliales.
   Thrombolyse
    exceptionnelle; par un processus de fibrinolyse.
     Elle peut être favorisée par la thérapeutique (urokinase, steptokinase).
   Calcification
   Suppuration du caillot : exceptionnelle
   Mobilisation du caillot
    accident évolutif majeur source d'embolies.
     thromboses récentes
Thrombose ancienne organisée
                                 (sous forme d'un tissu conjonctif
                                 vascularisé) obstruant une artère.




Thrombose organisée sous forme
d'un tissu conjonctif riche en
vaisseaux.
Embolie
L'embolie est la migration intravasculaire
d'un corps étranger, et son arrêt brusque
dans un vaisseau dont le calibre est
insuffisant pour lui laisser passage. Le
corps étranger s'appelle un embol
( souvent un caillot sanguin )
Types d’embols
   caillot sanguin, fibrinocruorique
      95% des embols.
      points de départ
             veineux
             artériel: rare, lentement évolutif
             parfois aortique
             parfois cardiaque. Les embolies sont
    alors artérielles, périphériques ou viscérales,
    dans la grande circulation.
EMBOLIE
Voies de cheminement : suit la direction du courant
                       sanguin
      Thrombus veineux périphérique (MI++++)
                 ↓ embole

           Cœur droit
                  ↓
           Artère pulmonaire
                  ↓
  Embolies de la petite circulation (pulm)
Thrombose d’une veine du membre inférieur ⇒ thromboembolie pulmonaire
Embolie dans l'artère pulmonaire
EMBOLIE
Thrombus artériel - Cœur Ghe ou aorte

               ↓ embole

Embolies de la gde circulation = Embolies
dites systémiques
(cérébrale, coronaire, rénale, splénique, MI)
    embols microbiens (septicopyohémies, abcès)
    cellules cancéreuses, à l'origine des
    métastases
    embolies gazeuses, au cours d'une effraction
    vasculaire ou après décompression brutale
    (maladie des caissons, accidents de plongée)
    embolies athéromateuses, à partir d'une
    plaque athéroscléreuse ulcérée
    embolies graisseuses; exceptionnelles après
    injection huileuse intraveineuse
    embolies de moelle osseuse, après fracture
    ou intervention orthopédique, après massage
    cardiaque
    embolies parasitaires (bilharziose, filariose,
    hydatidose ).
Embolie d'une colonie microbienne dans un vaisseau myocardique
Embolie de moelle osseuse (poumon) : Moelle osseuse dans la lumière
           d'une artère pulmonaire (flèches). Alvéoles (A).
Conséquences des embolies

     locales

    - perturbations
                  circulatoires liées à l'obstruction vasculaire
     (ischémie aiguë , infarctus)
     - conséquences liées à la nature de l'embole:
       un embole septique      abcès métastatique ou
     anévrysme par lyse microbienne de la paroi vasculaire.
       Un embole néoplasique          métastase tumorale.

    générales

    embolies pulmonaires+++++ les plus graves et parmi les
     plus fréquentes: mort subite, par embolie massive, ou
     par pluie d'embols de petite taille.

Thème vi pathologie circulatoire

  • 1.
    Thème XVI: l’organismeface à l’agression anatomie pathologique générale La pathologie circulatoire Dr Lahmar.A, Dr Ayadi.A
  • 2.
  • 3.
    HYPOXIE  Insuffisance d’oxygénation des tissus  Conséquence d’un déséquilibre entre besoins en oxygène et quantité d’oxygène disponible au niveau des tissus
  • 4.
    Hypoxie généralisée  Pardéfaut d’apport: H. Hypoxémique H. Anémique H. Circulatoire  Par des besoins en oxygène  Par utilisation anormale de l’oxygène
  • 5.
    Hypoxie localisée àun organe  Hypoxie de stase  Hypoxie ischémique
  • 6.
    Hypoxie d’origine veineuse  Secondaires à la congestion passive désaturation en O2 du sang séquestré dans les capillaires
  • 7.
    Ischémie  Arrêt ou Diminution (ischémie relative) de l'apport sanguin artériel dans un territoire donné de l'organisme.
  • 8.
    Causes  Locales:obstacle sur la circulation artérielle ( athérosclérose, thrombose artérielle, embolie, artériopathies non athéromateuses) plus rarement compression d'une artère (garrot, hématome, tumeur) ou spasme  Générales: un état de choc, un collapsus vasculaire, un bas débit cardiaque ou une hypercoagulabilité
  • 9.
    Facteurs favorisants  Nature du tissu  État fonctionnel du tissu  Architecture vasculaire
  • 10.
    Lésions élémentaires  o2 altération de fonctionnement du transport membranaire  ME: gonflement des mitochondries, vacuolisation de l’ergastoplasme  6 H : perte transparence du cytoplasme, stéatose microvacuolaire  5 à 8 H d’ischémie nécrose de coagulation
  • 11.
    Formes évolutives  Ischémie aigue infarctus  Ischémie chronique foyers limités de souffrance atrophie, sclérose
  • 12.
    Infarctus  Foyer de nécrose circonscrit secondaire à l’arrêt brutal ou la diminution extrême de l’irrigation sanguine dans un organe
  • 13.
    Causes  locales: occlusion de l'artère irriguant ce territoire. thrombose souvent associée à des lésions d'athérosclérose (infarctus du myocarde) embolie fibrinocruorique (infarctus du poumon).  générales : hypoxie, chocs hypovolémiques.
  • 14.
    NECROSE : Mortcellulaire en rapport avec une lésion cellulaire irréversible mettant en jeu des enzymes lytiques * Altérations nucléaires : - Pycnose : condensation avec rétraction du noyau - Caryorrhéxie : fragmentation du noyau - Caryolyse : dissolution nucléaire * Modifications cytoplasmiques : - Clarification du cytoplasme qui gonfle et devient transparent - Altération de la membrane cellulaire
  • 15.
    4 phases  Première phase: stade précoce (inférieur à 6 h): lésion non visible avec les techniques conventionnelles.  Premières modifications biochimiques
  • 16.
    Deuxième phase: (6-48 H) zone triangulaire bien circonscrite dont la base est tournée vers la périphérie de l’organe
  • 17.
  • 18.
    Infarctus pulmonaire Foyer hémorragique,triangulaire à base pleurale, bien limité.
  • 19.
  • 20.
    Infarctus pulmonaire On devinel'architecture des cloisons Les cloisons alvéolaires sont nécrosées. alvéolaires nécrosées. Les alvéoles sont remplies d'hématies.
  • 21.
  • 23.
    infarctus mésentérique Grèle infarci(flèches) Thrombose (T) récente de l'artère mésentérique supérieure.
  • 24.
    MICROSCOPIE Muqueuse grêlique normale Nécrose ischémique de la muqueuse grêlique
  • 25.
    INFARCTUS RENAL Infarctus blanc: Foyer triangulaire bien limité, cortical.
  • 26.
    Histologie: nécrose de coagulation
  • 27.
    MICROSCOPIE - Nécrose éosinophile des tubes et des glomérules - Périphérie de l'infarctus, zone congestive
  • 30.
    3 ème phase lefoyer tend à s’isoler séquestre nécrotique détersion par les macrophages
  • 31.
  • 32.
    Lésions hypoxiques aucours du choc  Secondaire à l’atteinte de la microcirculation  Touche électivement certains organes au profit d’autres causes très nombreuses. On peut schématiquement distinguer: *Les chocs hypovolémiques. *Les chocs cardiogéniques, par atteinte du myocarde lui- même ou par gêne à la fonction myocardique. *Les chocs neurogéniques. Certains chocs ont un déterminisme multifactoriel : chocs septiques, chocs traumatiques.
  • 33.
    Siége des lésions  Les reins : thrombi glomérulaires, nécrose tubulaire proximale, oedème interstitiel.  Les surrénales: nécrose hémorragique.  L'encéphale peut être le siège de lésions d'ischémie transitoire régressive ou définitive (ramollissement).  Le grêle : entérite nécrotico-hémorragique.  Le pancréas : pancréatite hémorragique.  Le foie : nécrose hépatocytaire centrolobulaire, dilatation sinusoïdale.  Les zones mal perfusées de certains organes comme la région sous endocardique du myocarde.
  • 34.
  • 35.
    CONGESTION Augmentation de laquantité de sang contenue dans les vaisseaux d’un organe ou d’un tissu
  • 36.
    Congestion active  sang artériel, vasodilatation active  phase initiale de la réaction inflammatoire  Peut être de nature hormonale ou nerveuse  Macroscopie: rougeur, Ө locale, poids de l’organe exp: exanthème
  • 37.
  • 38.
    Congestion passive ouveineuse Secondaire  à un obstacle mécanique sur la circulation de retour: compression par une tumeur, par un utérus gravide; obstruction veineuse par une thrombose; altération des parois veineuses: insuffisance valvulaire des varices (congestion passive localisée ou régionale).  à une cardiopathie: insuffisance cardiaque gauche par sténose mitrale stase dans la circulation pulmonaire; insuffisance cardiaque droite: congestion passive périphérique (congestion passive systémique).
  • 39.
    Conséquences: hypoxie thrombose (stéatose du foie, atrophie cutanée en cas de varices) nécrose.
  • 40.
    Exemples: Foie cardiaque insuffisance cardiaque droite hyperpression dans oreillette droite congestion dans le domaine des veines sus- hépatiques.
  • 41.
  • 42.
    Dilatation des veines,alternance de zones rouge sombre et plus claires (foie "muscade").
  • 45.
    Nécrose centrolobulaire partiellement hémorragique, systématisée autour desveines dilatées (V), avec respect des zones périportales . Espace porte (EP).
  • 48.
    Poumon cardiaque insuffisancecardiaque gauche hyperpression sanguine dans le poumon transsudat vers les alvéoles.
  • 49.
    Stade aigu:œdème aigudu poumon (OAP)
  • 50.
  • 51.
    Thrombose  la formationd'un caillot (thrombus) dans les cavités vasculaires (artères, veines, capillaires ou cavités cardiaques) durant la vie.  Cette définition élimine les caillots post- mortem et les caillots d'hémostase extravasculaire (hématome).  Maladie chronique locale au sein d’une zone d’un vaisseau
  • 52.
    Causes  Altération de la paroi vasculaire: traumatique ou inflammatoire. (athérome+++)  Stase sanguine où ralentissement du flux sanguin accumulation de sang (coagulation IVD., immobilisation prolongée, varices).  Turbulences du sang à la rencontre d'un obstacle (anévrisme, plaque d'athérome et au niveau des carrefours vasculaires ou des valvules).  Modification du sang circulant: hyperviscosité (maladie de Vaquez, polyglobulie)
  • 53.
     Macroscopie: friables surface rugueuse Adhérents à la paroi  Suivant la topographie, on distingue des thrombus pariétaux oblitérants
  • 54.
  • 55.
    Caillot rouge: exceptionnel injection accidentelle ou expérimentale d'une substance coagulante (sang hétérologue, éther) ou substance toxique (venin de serpent).
  • 56.
  • 57.
    Caillot mixte Lignes de Zahn : alternance de stries blanches et de stries rouges
  • 58.
    Variétés topographiques de thromboses Thrombose veineuse  siège le plus fréquent: membres inférieurs (veines du mollet), veines profondes (pelviennes)  2 types: la thrombophlébite: caillots adhérant fortement à la paroi et peu emboligène la phlébothrombose: thrombus rouge peu adhérent, très emboligène.  facteurs étiologiques: principalement le ralentissement circulatoire ou stase liée à l'alitement les lésions de la paroi veineuse secondaires à un traumatisme chirurgical les facteurs généraux d'hypercoagulabilité.  conséquences: . locales, : oedème ou infarcissement hémorragique, lésions trophiques . générales: risque d'embolie en particulier dans la circulation pulmonaire.
  • 60.
    Thrombose artérielle -siège ubiquitaire, mais fréquence des localisations coronaires, cérébrales et des membres inférieurs - causes: lésions de la paroi artérielle ( athérosclérose, artériopathie inflammatoire) - conséquences graves: ischémie pouvant entraîner suivant la localisation: infarctus ou gangrène
  • 66.
  • 67.
    Thrombose intracardiaque -Localisation: thrombus mural au contact d'un infarctus du myocarde, thrombose de l'oreillette gauche dans le rétrécissement mitral, thrombose valvulaire des endocardites. - Conséquences: migration embolique dans la grande circulation (cérébrale, rénale, membres inférieurs)
  • 69.
    Thromboses capillaires :  au contact des foyers inflammatoires  syndrome de coagulation intravasculaire disséminée (C.I.V.D):multiples foyers de thrombose dans vaisseaux apparemment normaux, après accidents obstétricaux (hématome rétroplacentaire), septicémie, embolies graisseuses, leucémies, micro-angiopathies .  Conséquences: accidents hémorragiques, fibrinolyse
  • 71.
    EVOLUTION DU THROMBUS  Persistance et organisation de la thrombose évolution habituelle résorption des éléments fibrino-cruoriques du caillot par des histiocytes et des macrophages prolifération vasculaire et fibroblastique avec synthèse de collagène bourgeon charnu obstruction définitive de la lumière vasculaire dans les thrombus oblitérants. En cas de thrombus mural, pariétal :incorporation du thrombus à la paroi avec recouvrement par des cellules endothéliales.  Thrombolyse exceptionnelle; par un processus de fibrinolyse. Elle peut être favorisée par la thérapeutique (urokinase, steptokinase).  Calcification  Suppuration du caillot : exceptionnelle  Mobilisation du caillot accident évolutif majeur source d'embolies. thromboses récentes
  • 73.
    Thrombose ancienne organisée (sous forme d'un tissu conjonctif vascularisé) obstruant une artère. Thrombose organisée sous forme d'un tissu conjonctif riche en vaisseaux.
  • 75.
    Embolie L'embolie est lamigration intravasculaire d'un corps étranger, et son arrêt brusque dans un vaisseau dont le calibre est insuffisant pour lui laisser passage. Le corps étranger s'appelle un embol ( souvent un caillot sanguin )
  • 76.
    Types d’embols  caillot sanguin, fibrinocruorique 95% des embols. points de départ veineux artériel: rare, lentement évolutif parfois aortique parfois cardiaque. Les embolies sont alors artérielles, périphériques ou viscérales, dans la grande circulation.
  • 77.
    EMBOLIE Voies de cheminement: suit la direction du courant sanguin Thrombus veineux périphérique (MI++++) ↓ embole Cœur droit ↓ Artère pulmonaire ↓ Embolies de la petite circulation (pulm)
  • 78.
    Thrombose d’une veinedu membre inférieur ⇒ thromboembolie pulmonaire
  • 79.
  • 80.
    EMBOLIE Thrombus artériel -Cœur Ghe ou aorte ↓ embole Embolies de la gde circulation = Embolies dites systémiques (cérébrale, coronaire, rénale, splénique, MI)
  • 81.
    embols microbiens (septicopyohémies, abcès)  cellules cancéreuses, à l'origine des métastases  embolies gazeuses, au cours d'une effraction vasculaire ou après décompression brutale (maladie des caissons, accidents de plongée)  embolies athéromateuses, à partir d'une plaque athéroscléreuse ulcérée  embolies graisseuses; exceptionnelles après injection huileuse intraveineuse  embolies de moelle osseuse, après fracture ou intervention orthopédique, après massage cardiaque  embolies parasitaires (bilharziose, filariose, hydatidose ).
  • 83.
    Embolie d'une coloniemicrobienne dans un vaisseau myocardique
  • 85.
    Embolie de moelleosseuse (poumon) : Moelle osseuse dans la lumière d'une artère pulmonaire (flèches). Alvéoles (A).
  • 86.
    Conséquences des embolies  locales - perturbations circulatoires liées à l'obstruction vasculaire (ischémie aiguë , infarctus) - conséquences liées à la nature de l'embole: un embole septique abcès métastatique ou anévrysme par lyse microbienne de la paroi vasculaire. Un embole néoplasique métastase tumorale.  générales embolies pulmonaires+++++ les plus graves et parmi les plus fréquentes: mort subite, par embolie massive, ou par pluie d'embols de petite taille.