Interprétation de l’HémogrammeInterprétation de l’Hémogramme
Pr.Ag Hatem BELLAAJPr.Ag Hatem BELLAAJ
Service d’hématologieService d’hématologie
Faculté de médecine de SfaxFaculté de médecine de Sfax
Sfax , 19 Nov 2017Sfax , 19 Nov 2017
Définition :Définition :
Hémogramme = NFSHémogramme = NFS
= Numération= Numération etet formule sanguineformule sanguine
= L’étude des différents éléments figurés= L’étude des différents éléments figurés
du sang :du sang :
- globules rouges : Hématies- globules rouges : Hématies
- globules blancs : Leucocytes- globules blancs : Leucocytes
- plaquettes :- plaquettes : ThrombocytesThrombocytes
C’est l’examen complémentaire leC’est l’examen complémentaire le plusplus demandédemandé
avec la VS et l’Urée-glycémieavec la VS et l’Urée-glycémie
L’interprétation doit s’effectuer toujours en associationL’interprétation doit s’effectuer toujours en association
avec laavec la cliniqueclinique..
TechniqueTechnique
* Un prélèvement de sang veineux rendu incoagulable
par un puissant chélateur de calcium, EDTA.
*L’idéal, ce prélèvement doit être effectué chez un sujet
à jeune et au repos (légère hyperleucocytose) .
*La numération est réalisée sur des automates déterminent
le décompte des particules et la mesure de leur volume.
Hémogramme - complémentHémogramme - complément
Deux examens supplémentaires demandésDeux examens supplémentaires demandés
en fonction des anomalies rencontrées:en fonction des anomalies rencontrées:
-- numération des réticulocytesnumération des réticulocytes ::
40.000 à 100.000/mm40.000 à 100.000/mm33
devenue de plus en plus automatisée.devenue de plus en plus automatisée.
-- analyse du frottisanalyse du frottis
au microscope après coloration MGGau microscope après coloration MGG
→→ voir l’aspect des hématies, des leucocytesvoir l’aspect des hématies, des leucocytes
et des plaquettes.et des plaquettes.
Causes d’erreur des automatesCauses d’erreur des automates
-- Taux d’hémoglobineTaux d’hémoglobine ::
Grandes hyperleucocytosesGrandes hyperleucocytoses
Hémolyse in vitroHémolyse in vitro
--VGMVGM : Agglutination des hématies (autoAc): Agglutination des hématies (autoAc)
-- Numération leucocytaireNumération leucocytaire: Effort ,Alimentation: Effort ,Alimentation
Fluctuations spontanéesFluctuations spontanées
-- Numération plaquettaireNumération plaquettaire: Agglutination à l’EDTA: Agglutination à l’EDTA
CryoglobulinémieCryoglobulinémie
Hémogramme normalHémogramme normal
HommeHomme FemmeFemme EnfantEnfant Nouveau-Nouveau-
néné
Nb de GRNb de GR
(millions/mm(millions/mm33
))
55 ++ 0.50.5 4.54.5 ++ 0.50.5 4.44.4 ++ 0.80.8 55 ++ 11
HémoglobineHémoglobine
(g/dl)(g/dl)
1515 ++ 22
(13 - 17)(13 - 17)
1414 ++ 22
(12-16)(12-16)
1212 ++ 11
(11-13)(11-13)
1616 ++ 22
(14-18)(14-18)
Hématocrite (%)Hématocrite (%) 4747 ++ 77 4242 ++ 55 4646 ++ 99 5454 ++ 1010
VGM (fl)VGM (fl) 9090 ++ 1010
(80-100)(80-100)
9090 ++ 1010
(80-100)(80-100)
75 à 9075 à 90 106106
TCMH (pg)TCMH (pg) 29+229+2 2929 ++ 22 2727++ 22 2727 ++ 22
CCMH (g/dl)CCMH (g/dl) 3333 ++ 2 (31-35)2 (31-35)
Nb de GBNb de GB (10(1033
/mm/mm33
)) 4 à 104 à 10 4 à 104 à 10 4 à 124 à 12 10 à 2510 à 25
Nb de PlqNb de Plq (10/mm(10/mm33
)) 150 à 400150 à 400
Formule leucocytaire normaleFormule leucocytaire normale
Eléments/mmEléments/mm33 Homme et femmeHomme et femme Enfant etEnfant et
nouveau-nénouveau-né
PN NeutrophilesPN Neutrophiles 1700 à 70001700 à 7000
40 – 70 %40 – 70 %
30 %30 %
PN ÉosinophilesPN Éosinophiles 50 à 30050 à 300
0 - 3 %0 - 3 %
2 %2 %
PN BasophilesPN Basophiles 0 à 500 à 50
0 – 0.5 %0 – 0.5 %
0 %0 %
LymphocytesLymphocytes 1500 à 40001500 à 4000
20 – 40 %20 – 40 %
60 %60 %
MonocytesMonocytes 100 à 800100 à 800
2 – 8 %2 – 8 %
150 à 500150 à 500
Anémie Thrombopénie Leucopénie
Polyglobulie
Hyper-
plaquettose
Hyper-
leucocytose
Physiopathologie de l’hyperplasie desPhysiopathologie de l’hyperplasie des
lignéeslignées
→ Hyperplasie peut concerner:
- 1à 3 lignées: Blanche , Rouge ou plaquettaire
- isolée ou associée
→ Elle impose:
- une démarche diagnostique rigoureuse ⇒ étiologie
- une confrontation des données cliniques et biologiques
→ Mécanismes :
- secondaire : hyperproduction à un stimulus extra médullaire
- Primitif : hyperproduction par anomalie de cellule souche médullaire
Anomalies de la lignée leucocytaireAnomalies de la lignée leucocytaire
RésultatsRésultats du décompte sont exprimés en %du décompte sont exprimés en %
mais pour apprécier les modifications pathologiquesmais pour apprécier les modifications pathologiques
⇒⇒ il faut tenir compte desil faut tenir compte des valeurs absoluesvaleurs absolues
(% de chaq catégorie leucocytaire x numération GB)(% de chaq catégorie leucocytaire x numération GB)
⇒⇒ ce qui évite les contresens d’interprétationce qui évite les contresens d’interprétation
Anomalies de la lignée leucocytaireAnomalies de la lignée leucocytaire
par exemple :par exemple :
 GB = 3000/mmGB = 3000/mm33
;PN = 30% L = 65%;PN = 30% L = 65%
pas de lymphocytosepas de lymphocytose
mais neutropénie (900/mmmais neutropénie (900/mm3)3)
 GB 100.000/mmGB 100.000/mm33
;PN = 3 %, L = 97 %;PN = 3 %, L = 97 %
lymphocytoselymphocytose
mais pas de neutropénie (3000/mmmais pas de neutropénie (3000/mm3)3)
inversion leucocytaire ???inversion leucocytaire ???
HyperleucocytoseHyperleucocytose
GB > 10 G/L (x 10GB > 10 G/L (x 1033
/mm/mm33
)) ⇒⇒ le frottis s’imposele frottis s’impose
-- PolynucleosePolynucleose : PNN > 7.000/mm: PNN > 7.000/mm33
-- LymphocytoseLymphocytose : lymphocytes > 4.000/mm: lymphocytes > 4.000/mm33
- Myélémie- Myélémie : passage d’éléments myéloïdes jeunes: passage d’éléments myéloïdes jeunes
dans le sangdans le sang
- Blastes- Blastes : présence de blastes dans le sang: présence de blastes dans le sang
- Eosinophilie : PNE > 500/mmEosinophilie : PNE > 500/mm33
- Basophilie : PNB > 100/mmBasophilie : PNB > 100/mm33
- Monocytose : Monocytes > 1.000/mmMonocytose : Monocytes > 1.000/mm33
Anomalies de la lignée rougeAnomalies de la lignée rouge
PolyglobuliePolyglobulie
 Taux d’hémoglobineTaux d’hémoglobine : 13-17 g/dl chez l’homme: 13-17 g/dl chez l’homme
12-16 g/dl chez la femme12-16 g/dl chez la femme
 Évoquée devant :Évoquée devant :
Taux d’HbTaux d’Hb > 18 g/dl,> 18 g/dl,
GRGR > 6 Millions/mm> 6 Millions/mm33
chez l’hommechez l’homme
HématocriteHématocrite > 55 %> 55 %
Taux d’Hb > 16.5 g/dlTaux d’Hb > 16.5 g/dl
GR > 5 Millions/mmGR > 5 Millions/mm33
chez la femmechez la femme
Hématocrite > 47 %Hématocrite > 47 %
}
}
Pathologies des plaquettesPathologies des plaquettes
ThrombocytoseThrombocytose : Plaquettes > 400 G/L (x 10: Plaquettes > 400 G/L (x 1033
/mm/mm33
))
ThrombopéniesThrombopénies : Plaquettes < 150 G/L (x 10: Plaquettes < 150 G/L (x 1033
/mm/mm33
))
Cas cliniques
Cas n°1Cas n°1
Femme âgée de 46 ansFemme âgée de 46 ans
ATCDATCD Diabétique sous ADODiabétique sous ADO
constipation chroniqueconstipation chronique
SF:SF: douleurs abdominales + brulures mictionnellesdouleurs abdominales + brulures mictionnelles
SP:SP: fièvre à 38.4°fièvre à 38.4°
EL douloureux du coté droitEL douloureux du coté droit
Cas n°1Cas n°1
Explorations:Explorations:
CRP=167CRP=167
ECBU: E.coliECBU: E.coli
Echographie rénale:Echographie rénale: pas d’obstacle sur les voies excrétricespas d’obstacle sur les voies excrétrices
Evolution:Evolution:
favorable sous antibiotiques adaptésfavorable sous antibiotiques adaptés
⇒⇒ Normalisation du taux de GBNormalisation du taux de GB
CAS n°2CAS n°2
 Patient dePatient de 4242 ansans
 SplénomégalieSplénomégalie à 7 cm du RCà 7 cm du RC
 BEGBEG
Cas n°2
CAS n°2CAS n°2
 Hyperleucocytose majeureHyperleucocytose majeure
⇒⇒ formule manuelle +++formule manuelle +++
 Polynucléose + myélémiePolynucléose + myélémie
 Pas d’anémie et thrombopénie sévèrePas d’anémie et thrombopénie sévère
⇒ leucémie myéloïde chronique LMCleucémie myéloïde chronique LMC
→→ caryotype médullairecaryotype médullaire : chromosome philadelphie: chromosome philadelphie
→→ biologie moléculairebiologie moléculaire : transcrit de fusion bcr-abl: transcrit de fusion bcr-abl
(spécialiste)(spécialiste)
causes des polynucléoses neutrophilescauses des polynucléoses neutrophiles
et des myélémieset des myélémies
 infections bactériennesinfections bactériennes
 cancers: paranéoplasiquescancers: paranéoplasiques
 Syndromes myéloprolifératifs ( LMC)Syndromes myéloprolifératifs ( LMC)
 syndromes inflammatoires (syndromes inflammatoires (maladie de système)maladie de système)
 causes iatrogènes: corticoïdes, adrénaline,causes iatrogènes: corticoïdes, adrénaline,
 TabacTabac
Cas n°3Cas n°3
 Enfant de 7 ansEnfant de 7 ans
 ATCDATCD :RAS:RAS
▪▪ SFSF
- Fièvre évoluant depuis 3 jours- Fièvre évoluant depuis 3 jours
- Polyarthralgies- Polyarthralgies
 SP:SP:
- EG conservé- EG conservé
- Fièvre à 39°C- Fièvre à 39°C
- Articulations libresArticulations libres
- ADP cervicales et axillaires centimétriquesADP cervicales et axillaires centimétriques
Cas n°3
Cas n°3Cas n°3
 Frottis sanguin:Frottis sanguin: lymphocytes activéslymphocytes activés
 Sérologie de l’EBV : IgM augmentéesSérologie de l’EBV : IgM augmentées
 Evolution spontanément favorableEvolution spontanément favorable
Cas n°3Cas n°3
CAS n°4CAS n°4
 Patient âgé dePatient âgé de 7979 ansans
 Syndrome spléno- ganglionnaireSyndrome spléno- ganglionnaire
 EG conservéEG conservé
CAS n°4
CAS n°4CAS n°4
 Hyperleucocytose + lymphocytoseHyperleucocytose + lymphocytose
(majeure ou chronique)(majeure ou chronique)
 Sujet âgé présentant un sd splénoggSujet âgé présentant un sd splénogg
⇒⇒ leucémie lymphoïde chroniqueleucémie lymphoïde chronique
LLCLLC
→→ immunophénotypage de lymphocytesimmunophénotypage de lymphocytes
(spécialiste)(spécialiste)
causes de l’hyperlymphocytosecauses de l’hyperlymphocytose
 Physiologique chez l’enfantPhysiologique chez l’enfant
 Infections virales: mononucléose infectieuseInfections virales: mononucléose infectieuse
 Leucémie lymphoide chroniqueLeucémie lymphoide chronique
 Autres syndromes lympho-prolifératifAutres syndromes lympho-prolifératif
(Lymphomes et maladie de Hodgkin)(Lymphomes et maladie de Hodgkin)
CAS n°5CAS n°5
 Patiente de 24 ansPatiente de 24 ans
 Fièvre au long coursFièvre au long cours + sueurs+ sueurs
nocturnes + toux chroniquenocturnes + toux chronique
 Syndrome inflammatoireSyndrome inflammatoire
biologiquebiologique
- vs accélérée- vs accélérée
- hyper- hyper αα2 et hyper gamma à l’EPP2 et hyper gamma à l’EPP
CAS n°4
CAS n°5CAS n°5
 ThrombocytoseThrombocytose
 Hyperleucocytose à prédominance PNNHyperleucocytose à prédominance PNN
 Anémie modérée normochromeAnémie modérée normochrome
normocytairenormocytaire
⇓ NFS inflammatoireNFS inflammatoire
⇓ - Infection chronique- Infection chronique
⇓ ((TBC:TBC: RBK dans crachat positif chez notre patienteRBK dans crachat positif chez notre patiente))
- ou maladie de système- ou maladie de système
- ou d’origine néoplasique- ou d’origine néoplasique
Cas n°6Cas n°6
 Femme agée de 57 ansFemme agée de 57 ans
 ATCDS: Ménopausée depuis 8 ansATCDS: Ménopausée depuis 8 ans
mère de 3 enfantsmère de 3 enfants
 DécouverteDécouverte fortuitefortuite d’uned’une
hyperplaquettose ( bilanhyperplaquettose ( bilan
systématique)systématique)
Cas n°6Cas n°6
 Bilan inflammatoire et martial: normalBilan inflammatoire et martial: normal
 Rx thorax et echographie abdomino-Rx thorax et echographie abdomino-
pelvienne sans anomaliespelvienne sans anomalies
 Confirmation de l’origine primitive parConfirmation de l’origine primitive par
biologie moléculaire :biologie moléculaire : mutation JAK2mutation JAK2
⇒⇒ Thrombocytémie essentielleThrombocytémie essentielle
Causes de l’hyperplaquettoseCauses de l’hyperplaquettose
Eliminer une cause réactionnelle ouEliminer une cause réactionnelle ou
secondairesecondaire
 Carence en ferCarence en fer  ferritinémieferritinémie
 Inflammation (chronique)Inflammation (chronique)  CRP, VS, EPPCRP, VS, EPP
 AsplénieAsplénie  Echo-abdominaleEcho-abdominale
 Origine primitiveOrigine primitive
Thrombocytémie essentielle(TE)Thrombocytémie essentielle(TE)
diagnostic d’éliminationdiagnostic d’élimination
biologie moléculairebiologie moléculaire: mutation JAK2: mutation JAK2
Cas n°7Cas n°7
 Patient de 68 ansPatient de 68 ans
 Sans ATCDS pathologiques notablesSans ATCDS pathologiques notables
 Consulte pour lombalgies trainantesConsulte pour lombalgies trainantes
hématurieshématuries paroxystiques totalesparoxystiques totales
 Culot urinaire : hématies sans leucocyturieCulot urinaire : hématies sans leucocyturie
Cas n°7Cas n°7
 Echographie rénale:Echographie rénale: tumeur rénaletumeur rénale du rein gauchedu rein gauche
 Chirurgie: néphrectomie élargieChirurgie: néphrectomie élargie
 Evolution : normalisation du taux de l’hémoglobineEvolution : normalisation du taux de l’hémoglobine
 Diagnostic : polyglobulie d’origineDiagnostic : polyglobulie d’origine paranéoplasiqueparanéoplasique
par sécrétion d’EPO like par la tumeurpar sécrétion d’EPO like par la tumeur
Cas n°8Cas n°8
 Patient de 72 ansPatient de 72 ans
 ATCD : HTAATCD : HTA
 SF: céphaléesSF: céphalées
bourdonnements des oreillesbourdonnements des oreilles
 SP :SP :erythrose facialeerythrose faciale
SMG à 2 cm du RCSMG à 2 cm du RC
Cas n°12Cas n°12
Cas n°8Cas n°8
 Bilan biologique normalBilan biologique normal
 Echographie abdominale sansEchographie abdominale sans
anomaliesanomalies
 Recherche deRecherche de mutation JAK2mutation JAK2:positive:positive
⇒⇒ origine primitiveorigine primitive
Polyglobulie de VaquezPolyglobulie de Vaquez
Causes des polyglobuliesCauses des polyglobulies
** Fausse polyglobulieFausse polyglobulie
Hémoconcentration : Hte ( Hb )↑ ↑Hémoconcentration : Hte ( Hb )↑ ↑
** Polyglobulie secondairePolyglobulie secondaire
→→ Sécrétion appropriée d’EPO en cas d’hypoxie :Sécrétion appropriée d’EPO en cas d’hypoxie :
altitude, cardiopathie cyanogène,altitude, cardiopathie cyanogène, tabagismetabagisme
→→ Sécrétion inappropriée d’EPO : tumorale etSécrétion inappropriée d’EPO : tumorale et
paranéoplasique Cancer du rein,paranéoplasique Cancer du rein, hépatomehépatome
** Polyglobulie primitive:Polyglobulie primitive:
maladie de vaquezmaladie de vaquez (SMG,(SMG, mutation JAK2mutation JAK2))
CONCLUSIONCONCLUSION
→→ HemogrammeHemogramme
-- Anomalies quantitatives ou↑Anomalies quantitatives ou↑
- intéressant 1 ou plusieurs lignées- intéressant 1 ou plusieurs lignées
⇒⇒ intérêt du frottis sanguinintérêt du frottis sanguin
→→Hyperplasie d’une lignéeHyperplasie d’une lignée
▪▪ primitive ou secondaireprimitive ou secondaire
▪▪ OrigineOrigine secondairesecondaire plus fréquenteplus fréquente
- lignée blanche : infection- lignée blanche : infection
- lignée rouge : hypoxie , tumeur- lignée rouge : hypoxie , tumeur
- lignée plaquettaire: inflammation, carence en fer- lignée plaquettaire: inflammation, carence en fer
CONCLUSIONCONCLUSION
Cause primitive de l’hyperplasieCause primitive de l’hyperplasie
** Rare etRare et diagnostic d’éliminationdiagnostic d’élimination
** Présence dePrésence de marqueur moléculairemarqueur moléculaire
( mutation jak2, transcrit bcr-abl)( mutation jak2, transcrit bcr-abl)
⇒⇒ mécanisme physiopathologiquemécanisme physiopathologique
traitement cibléetraitement ciblée

Interprétation de l'hémogramme

  • 1.
    Interprétation de l’HémogrammeInterprétationde l’Hémogramme Pr.Ag Hatem BELLAAJPr.Ag Hatem BELLAAJ Service d’hématologieService d’hématologie Faculté de médecine de SfaxFaculté de médecine de Sfax Sfax , 19 Nov 2017Sfax , 19 Nov 2017
  • 2.
    Définition :Définition : Hémogramme= NFSHémogramme = NFS = Numération= Numération etet formule sanguineformule sanguine = L’étude des différents éléments figurés= L’étude des différents éléments figurés du sang :du sang : - globules rouges : Hématies- globules rouges : Hématies - globules blancs : Leucocytes- globules blancs : Leucocytes - plaquettes :- plaquettes : ThrombocytesThrombocytes C’est l’examen complémentaire leC’est l’examen complémentaire le plusplus demandédemandé avec la VS et l’Urée-glycémieavec la VS et l’Urée-glycémie L’interprétation doit s’effectuer toujours en associationL’interprétation doit s’effectuer toujours en association avec laavec la cliniqueclinique..
  • 3.
    TechniqueTechnique * Un prélèvementde sang veineux rendu incoagulable par un puissant chélateur de calcium, EDTA. *L’idéal, ce prélèvement doit être effectué chez un sujet à jeune et au repos (légère hyperleucocytose) . *La numération est réalisée sur des automates déterminent le décompte des particules et la mesure de leur volume.
  • 4.
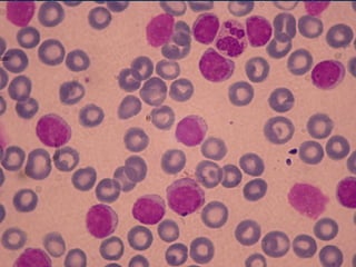
    Hémogramme - complémentHémogramme- complément Deux examens supplémentaires demandésDeux examens supplémentaires demandés en fonction des anomalies rencontrées:en fonction des anomalies rencontrées: -- numération des réticulocytesnumération des réticulocytes :: 40.000 à 100.000/mm40.000 à 100.000/mm33 devenue de plus en plus automatisée.devenue de plus en plus automatisée. -- analyse du frottisanalyse du frottis au microscope après coloration MGGau microscope après coloration MGG →→ voir l’aspect des hématies, des leucocytesvoir l’aspect des hématies, des leucocytes et des plaquettes.et des plaquettes.
  • 5.
    Causes d’erreur desautomatesCauses d’erreur des automates -- Taux d’hémoglobineTaux d’hémoglobine :: Grandes hyperleucocytosesGrandes hyperleucocytoses Hémolyse in vitroHémolyse in vitro --VGMVGM : Agglutination des hématies (autoAc): Agglutination des hématies (autoAc) -- Numération leucocytaireNumération leucocytaire: Effort ,Alimentation: Effort ,Alimentation Fluctuations spontanéesFluctuations spontanées -- Numération plaquettaireNumération plaquettaire: Agglutination à l’EDTA: Agglutination à l’EDTA CryoglobulinémieCryoglobulinémie
  • 6.
    Hémogramme normalHémogramme normal HommeHommeFemmeFemme EnfantEnfant Nouveau-Nouveau- néné Nb de GRNb de GR (millions/mm(millions/mm33 )) 55 ++ 0.50.5 4.54.5 ++ 0.50.5 4.44.4 ++ 0.80.8 55 ++ 11 HémoglobineHémoglobine (g/dl)(g/dl) 1515 ++ 22 (13 - 17)(13 - 17) 1414 ++ 22 (12-16)(12-16) 1212 ++ 11 (11-13)(11-13) 1616 ++ 22 (14-18)(14-18) Hématocrite (%)Hématocrite (%) 4747 ++ 77 4242 ++ 55 4646 ++ 99 5454 ++ 1010 VGM (fl)VGM (fl) 9090 ++ 1010 (80-100)(80-100) 9090 ++ 1010 (80-100)(80-100) 75 à 9075 à 90 106106 TCMH (pg)TCMH (pg) 29+229+2 2929 ++ 22 2727++ 22 2727 ++ 22 CCMH (g/dl)CCMH (g/dl) 3333 ++ 2 (31-35)2 (31-35) Nb de GBNb de GB (10(1033 /mm/mm33 )) 4 à 104 à 10 4 à 104 à 10 4 à 124 à 12 10 à 2510 à 25 Nb de PlqNb de Plq (10/mm(10/mm33 )) 150 à 400150 à 400
  • 7.
    Formule leucocytaire normaleFormuleleucocytaire normale Eléments/mmEléments/mm33 Homme et femmeHomme et femme Enfant etEnfant et nouveau-nénouveau-né PN NeutrophilesPN Neutrophiles 1700 à 70001700 à 7000 40 – 70 %40 – 70 % 30 %30 % PN ÉosinophilesPN Éosinophiles 50 à 30050 à 300 0 - 3 %0 - 3 % 2 %2 % PN BasophilesPN Basophiles 0 à 500 à 50 0 – 0.5 %0 – 0.5 % 0 %0 % LymphocytesLymphocytes 1500 à 40001500 à 4000 20 – 40 %20 – 40 % 60 %60 % MonocytesMonocytes 100 à 800100 à 800 2 – 8 %2 – 8 % 150 à 500150 à 500
  • 8.
  • 9.
    Physiopathologie de l’hyperplasiedesPhysiopathologie de l’hyperplasie des lignéeslignées → Hyperplasie peut concerner: - 1à 3 lignées: Blanche , Rouge ou plaquettaire - isolée ou associée → Elle impose: - une démarche diagnostique rigoureuse ⇒ étiologie - une confrontation des données cliniques et biologiques → Mécanismes : - secondaire : hyperproduction à un stimulus extra médullaire - Primitif : hyperproduction par anomalie de cellule souche médullaire
  • 10.
    Anomalies de lalignée leucocytaireAnomalies de la lignée leucocytaire RésultatsRésultats du décompte sont exprimés en %du décompte sont exprimés en % mais pour apprécier les modifications pathologiquesmais pour apprécier les modifications pathologiques ⇒⇒ il faut tenir compte desil faut tenir compte des valeurs absoluesvaleurs absolues (% de chaq catégorie leucocytaire x numération GB)(% de chaq catégorie leucocytaire x numération GB) ⇒⇒ ce qui évite les contresens d’interprétationce qui évite les contresens d’interprétation
  • 11.
    Anomalies de lalignée leucocytaireAnomalies de la lignée leucocytaire par exemple :par exemple :  GB = 3000/mmGB = 3000/mm33 ;PN = 30% L = 65%;PN = 30% L = 65% pas de lymphocytosepas de lymphocytose mais neutropénie (900/mmmais neutropénie (900/mm3)3)  GB 100.000/mmGB 100.000/mm33 ;PN = 3 %, L = 97 %;PN = 3 %, L = 97 % lymphocytoselymphocytose mais pas de neutropénie (3000/mmmais pas de neutropénie (3000/mm3)3) inversion leucocytaire ???inversion leucocytaire ???
  • 12.
    HyperleucocytoseHyperleucocytose GB > 10G/L (x 10GB > 10 G/L (x 1033 /mm/mm33 )) ⇒⇒ le frottis s’imposele frottis s’impose -- PolynucleosePolynucleose : PNN > 7.000/mm: PNN > 7.000/mm33 -- LymphocytoseLymphocytose : lymphocytes > 4.000/mm: lymphocytes > 4.000/mm33 - Myélémie- Myélémie : passage d’éléments myéloïdes jeunes: passage d’éléments myéloïdes jeunes dans le sangdans le sang - Blastes- Blastes : présence de blastes dans le sang: présence de blastes dans le sang - Eosinophilie : PNE > 500/mmEosinophilie : PNE > 500/mm33 - Basophilie : PNB > 100/mmBasophilie : PNB > 100/mm33 - Monocytose : Monocytes > 1.000/mmMonocytose : Monocytes > 1.000/mm33
  • 13.
    Anomalies de lalignée rougeAnomalies de la lignée rouge PolyglobuliePolyglobulie  Taux d’hémoglobineTaux d’hémoglobine : 13-17 g/dl chez l’homme: 13-17 g/dl chez l’homme 12-16 g/dl chez la femme12-16 g/dl chez la femme  Évoquée devant :Évoquée devant : Taux d’HbTaux d’Hb > 18 g/dl,> 18 g/dl, GRGR > 6 Millions/mm> 6 Millions/mm33 chez l’hommechez l’homme HématocriteHématocrite > 55 %> 55 % Taux d’Hb > 16.5 g/dlTaux d’Hb > 16.5 g/dl GR > 5 Millions/mmGR > 5 Millions/mm33 chez la femmechez la femme Hématocrite > 47 %Hématocrite > 47 % } }
  • 14.
    Pathologies des plaquettesPathologiesdes plaquettes ThrombocytoseThrombocytose : Plaquettes > 400 G/L (x 10: Plaquettes > 400 G/L (x 1033 /mm/mm33 )) ThrombopéniesThrombopénies : Plaquettes < 150 G/L (x 10: Plaquettes < 150 G/L (x 1033 /mm/mm33 ))
  • 15.
  • 16.
    Cas n°1Cas n°1 Femmeâgée de 46 ansFemme âgée de 46 ans ATCDATCD Diabétique sous ADODiabétique sous ADO constipation chroniqueconstipation chronique SF:SF: douleurs abdominales + brulures mictionnellesdouleurs abdominales + brulures mictionnelles SP:SP: fièvre à 38.4°fièvre à 38.4° EL douloureux du coté droitEL douloureux du coté droit
  • 18.
    Cas n°1Cas n°1 Explorations:Explorations: CRP=167CRP=167 ECBU:E.coliECBU: E.coli Echographie rénale:Echographie rénale: pas d’obstacle sur les voies excrétricespas d’obstacle sur les voies excrétrices Evolution:Evolution: favorable sous antibiotiques adaptésfavorable sous antibiotiques adaptés ⇒⇒ Normalisation du taux de GBNormalisation du taux de GB
  • 19.
    CAS n°2CAS n°2 Patient dePatient de 4242 ansans  SplénomégalieSplénomégalie à 7 cm du RCà 7 cm du RC  BEGBEG
  • 20.
  • 22.
    CAS n°2CAS n°2 Hyperleucocytose majeureHyperleucocytose majeure ⇒⇒ formule manuelle +++formule manuelle +++  Polynucléose + myélémiePolynucléose + myélémie  Pas d’anémie et thrombopénie sévèrePas d’anémie et thrombopénie sévère ⇒ leucémie myéloïde chronique LMCleucémie myéloïde chronique LMC →→ caryotype médullairecaryotype médullaire : chromosome philadelphie: chromosome philadelphie →→ biologie moléculairebiologie moléculaire : transcrit de fusion bcr-abl: transcrit de fusion bcr-abl (spécialiste)(spécialiste)
  • 23.
    causes des polynucléosesneutrophilescauses des polynucléoses neutrophiles et des myélémieset des myélémies  infections bactériennesinfections bactériennes  cancers: paranéoplasiquescancers: paranéoplasiques  Syndromes myéloprolifératifs ( LMC)Syndromes myéloprolifératifs ( LMC)  syndromes inflammatoires (syndromes inflammatoires (maladie de système)maladie de système)  causes iatrogènes: corticoïdes, adrénaline,causes iatrogènes: corticoïdes, adrénaline,  TabacTabac
  • 24.
    Cas n°3Cas n°3 Enfant de 7 ansEnfant de 7 ans  ATCDATCD :RAS:RAS ▪▪ SFSF - Fièvre évoluant depuis 3 jours- Fièvre évoluant depuis 3 jours - Polyarthralgies- Polyarthralgies  SP:SP: - EG conservé- EG conservé - Fièvre à 39°C- Fièvre à 39°C - Articulations libresArticulations libres - ADP cervicales et axillaires centimétriquesADP cervicales et axillaires centimétriques
  • 25.
  • 26.
    Cas n°3Cas n°3 Frottis sanguin:Frottis sanguin: lymphocytes activéslymphocytes activés  Sérologie de l’EBV : IgM augmentéesSérologie de l’EBV : IgM augmentées  Evolution spontanément favorableEvolution spontanément favorable
  • 27.
  • 28.
    CAS n°4CAS n°4 Patient âgé dePatient âgé de 7979 ansans  Syndrome spléno- ganglionnaireSyndrome spléno- ganglionnaire  EG conservéEG conservé
  • 29.
  • 31.
    CAS n°4CAS n°4 Hyperleucocytose + lymphocytoseHyperleucocytose + lymphocytose (majeure ou chronique)(majeure ou chronique)  Sujet âgé présentant un sd splénoggSujet âgé présentant un sd splénogg ⇒⇒ leucémie lymphoïde chroniqueleucémie lymphoïde chronique LLCLLC →→ immunophénotypage de lymphocytesimmunophénotypage de lymphocytes (spécialiste)(spécialiste)
  • 32.
    causes de l’hyperlymphocytosecausesde l’hyperlymphocytose  Physiologique chez l’enfantPhysiologique chez l’enfant  Infections virales: mononucléose infectieuseInfections virales: mononucléose infectieuse  Leucémie lymphoide chroniqueLeucémie lymphoide chronique  Autres syndromes lympho-prolifératifAutres syndromes lympho-prolifératif (Lymphomes et maladie de Hodgkin)(Lymphomes et maladie de Hodgkin)
  • 33.
    CAS n°5CAS n°5 Patiente de 24 ansPatiente de 24 ans  Fièvre au long coursFièvre au long cours + sueurs+ sueurs nocturnes + toux chroniquenocturnes + toux chronique  Syndrome inflammatoireSyndrome inflammatoire biologiquebiologique - vs accélérée- vs accélérée - hyper- hyper αα2 et hyper gamma à l’EPP2 et hyper gamma à l’EPP
  • 34.
  • 35.
    CAS n°5CAS n°5 ThrombocytoseThrombocytose  Hyperleucocytose à prédominance PNNHyperleucocytose à prédominance PNN  Anémie modérée normochromeAnémie modérée normochrome normocytairenormocytaire ⇓ NFS inflammatoireNFS inflammatoire ⇓ - Infection chronique- Infection chronique ⇓ ((TBC:TBC: RBK dans crachat positif chez notre patienteRBK dans crachat positif chez notre patiente)) - ou maladie de système- ou maladie de système - ou d’origine néoplasique- ou d’origine néoplasique
  • 36.
    Cas n°6Cas n°6 Femme agée de 57 ansFemme agée de 57 ans  ATCDS: Ménopausée depuis 8 ansATCDS: Ménopausée depuis 8 ans mère de 3 enfantsmère de 3 enfants  DécouverteDécouverte fortuitefortuite d’uned’une hyperplaquettose ( bilanhyperplaquettose ( bilan systématique)systématique)
  • 38.
    Cas n°6Cas n°6 Bilan inflammatoire et martial: normalBilan inflammatoire et martial: normal  Rx thorax et echographie abdomino-Rx thorax et echographie abdomino- pelvienne sans anomaliespelvienne sans anomalies  Confirmation de l’origine primitive parConfirmation de l’origine primitive par biologie moléculaire :biologie moléculaire : mutation JAK2mutation JAK2 ⇒⇒ Thrombocytémie essentielleThrombocytémie essentielle
  • 39.
    Causes de l’hyperplaquettoseCausesde l’hyperplaquettose Eliminer une cause réactionnelle ouEliminer une cause réactionnelle ou secondairesecondaire  Carence en ferCarence en fer  ferritinémieferritinémie  Inflammation (chronique)Inflammation (chronique)  CRP, VS, EPPCRP, VS, EPP  AsplénieAsplénie  Echo-abdominaleEcho-abdominale  Origine primitiveOrigine primitive Thrombocytémie essentielle(TE)Thrombocytémie essentielle(TE) diagnostic d’éliminationdiagnostic d’élimination biologie moléculairebiologie moléculaire: mutation JAK2: mutation JAK2
  • 40.
    Cas n°7Cas n°7 Patient de 68 ansPatient de 68 ans  Sans ATCDS pathologiques notablesSans ATCDS pathologiques notables  Consulte pour lombalgies trainantesConsulte pour lombalgies trainantes hématurieshématuries paroxystiques totalesparoxystiques totales  Culot urinaire : hématies sans leucocyturieCulot urinaire : hématies sans leucocyturie
  • 42.
    Cas n°7Cas n°7 Echographie rénale:Echographie rénale: tumeur rénaletumeur rénale du rein gauchedu rein gauche  Chirurgie: néphrectomie élargieChirurgie: néphrectomie élargie  Evolution : normalisation du taux de l’hémoglobineEvolution : normalisation du taux de l’hémoglobine  Diagnostic : polyglobulie d’origineDiagnostic : polyglobulie d’origine paranéoplasiqueparanéoplasique par sécrétion d’EPO like par la tumeurpar sécrétion d’EPO like par la tumeur
  • 43.
    Cas n°8Cas n°8 Patient de 72 ansPatient de 72 ans  ATCD : HTAATCD : HTA  SF: céphaléesSF: céphalées bourdonnements des oreillesbourdonnements des oreilles  SP :SP :erythrose facialeerythrose faciale SMG à 2 cm du RCSMG à 2 cm du RC
  • 44.
  • 45.
    Cas n°8Cas n°8 Bilan biologique normalBilan biologique normal  Echographie abdominale sansEchographie abdominale sans anomaliesanomalies  Recherche deRecherche de mutation JAK2mutation JAK2:positive:positive ⇒⇒ origine primitiveorigine primitive Polyglobulie de VaquezPolyglobulie de Vaquez
  • 46.
    Causes des polyglobuliesCausesdes polyglobulies ** Fausse polyglobulieFausse polyglobulie Hémoconcentration : Hte ( Hb )↑ ↑Hémoconcentration : Hte ( Hb )↑ ↑ ** Polyglobulie secondairePolyglobulie secondaire →→ Sécrétion appropriée d’EPO en cas d’hypoxie :Sécrétion appropriée d’EPO en cas d’hypoxie : altitude, cardiopathie cyanogène,altitude, cardiopathie cyanogène, tabagismetabagisme →→ Sécrétion inappropriée d’EPO : tumorale etSécrétion inappropriée d’EPO : tumorale et paranéoplasique Cancer du rein,paranéoplasique Cancer du rein, hépatomehépatome ** Polyglobulie primitive:Polyglobulie primitive: maladie de vaquezmaladie de vaquez (SMG,(SMG, mutation JAK2mutation JAK2))
  • 47.
    CONCLUSIONCONCLUSION →→ HemogrammeHemogramme -- Anomaliesquantitatives ou↑Anomalies quantitatives ou↑ - intéressant 1 ou plusieurs lignées- intéressant 1 ou plusieurs lignées ⇒⇒ intérêt du frottis sanguinintérêt du frottis sanguin →→Hyperplasie d’une lignéeHyperplasie d’une lignée ▪▪ primitive ou secondaireprimitive ou secondaire ▪▪ OrigineOrigine secondairesecondaire plus fréquenteplus fréquente - lignée blanche : infection- lignée blanche : infection - lignée rouge : hypoxie , tumeur- lignée rouge : hypoxie , tumeur - lignée plaquettaire: inflammation, carence en fer- lignée plaquettaire: inflammation, carence en fer
  • 48.
    CONCLUSIONCONCLUSION Cause primitive del’hyperplasieCause primitive de l’hyperplasie ** Rare etRare et diagnostic d’éliminationdiagnostic d’élimination ** Présence dePrésence de marqueur moléculairemarqueur moléculaire ( mutation jak2, transcrit bcr-abl)( mutation jak2, transcrit bcr-abl) ⇒⇒ mécanisme physiopathologiquemécanisme physiopathologique traitement cibléetraitement ciblée