Dr BOUDJEMA.R
    EHS Douera.
 Douleur thoracique est une cause très fréquente de
  consultation = 50% des motifs d’hospitalisation.
 Un interrogatoire précis et un examen clinique
  minutieux permettent souvent d’orienter le Dg.
 C’est un symptôme très fréquent qui pose le problème
  de son étiologie extrêmement variée mais dominée par
  les causes cardio-Vx en priorité IDM puis embolie
  pulmonaire, la dissection Ao et autres.
Eléments d’1 urgence Dg et Trt
 Les urgences sont: syndromes coronarien aigue,
  dissection Ao, embolie pulmonaire , péricardite et
  toutes les autres formes de Dl thoracique avec dyspnée
 L’interrogatoire recherche ATCDS de phlébite, HTA,
  coronarien et traumatisme thoracique .
 L’examen clinique recherche les signes de gravités:
* Respiratoire: signes de détresse respiratoire aigue;
  cyanose, sueurs profuses, orthopnée et les signes de
  épuisement respiratoire: tirage, respiration paradoxale
  abdominale, encombrement bronchique, pauses
  respiratoires, hypoxie et hypercapnie.
*Cardio-vasculaire: marbrures, hypotension, paleurs,
  extrémités froides, collapsus(PAS<90mmhg),
  tachycardie >120/mn, pouls paradoxal voire arrêt C-V.
* Neuropsychologique: score de Glascow, agitation,
  angoisse, troubles de la conscience voire coma.
*Cardio-vasculaire: marbrures, hypotension, paleurs,
  extrémités froides, collapsus(PAS<90mmhg),
  tachycardie >120/mn, pouls paradoxal voire arrêt C-V.
* Neuropsychologique: score de Glascow, agitation,
  angoisse, troubles de la conscience voire coma.
Une fois l’urgence écartée:
 INTERROGATOIRE: caractéristiques de la douleurs:
1- siège: médiothoracique, retrosternal, basithoracique,
   latérothoracique, précordiale et metamérique.
2- notion d’irradiation: mâchoire, membre sup et dos.
3- mode d’installation: brutal ou progressif.
4- circonstance de survenue: spontanée, repos, effort,
   glotte fermée, stress, post prandial ou post trauma.
5- type: constriction, écrasement, brulure, pesanteur,
   déchirure, coup de poignard ou point de coté.
6- durée: brève ou prolongée.
7- horaire de survenue: post prandial, diurne ou
   nocturne, fix ou pas.
8- mode d’évolution: épisode unique ou répété, fond
   douloureux, paroxysmes et périodes d’accalmies.
9- facteurs déclenchants/aggravants/calmants: toux,
   inspiration profonde, trinitrine(TNT), position
   antalgique(antéflexion), décubitus et mouvements.
10- ancienneté: aigue ou chronique.
11- signes associés: altération de état général, syndrome
   pseudo-grippal, fièvre, dyspnée, toux, hémoptysie,
   hypersialorrhée, angoisse, sueurs, troubles digestifs….
 Terrain: âge, sexe, grossesse, anxiété.
 Facteurs de risques C-Vx: âge, sexe, tabac, ATCD C-Vx
  précoce(IDM, AVC…), HTA, diabète et dyslipidémie.
 Facteurs de risques thromboemboliques:
  immobilisation prolongée, Ice cardiaque, Ice veineuse,
  grossesse, contraception et cancer.
 ATCDS médico-chirurgicaux: cardio-Vx, pulmonaire
  et digestifs.
 Traitement en cours.
 EXAMEN CLINIQUE: appareil par appareil:
1- EG: taille, anorexie, TA, FC, T°, signes IVD et signes
   IVG.
2- Inspection: téguments(cyanose, anémie), signes de
   phlébite, éruption métamérique.
3- Palpation: pouls de façon bilatérale et symétrique,
   grill costal, articulation chondrosternale, abdominale..
4- Percussion: pulmonaire(syndrome de condensation,
   tympanisme).
5- Auscultation: souffle diastolique Ao récent,
   frottement péricardique, crépitants et arythmies.
6- Examen gastro, uro, néphro, neuro et ostéoarticulaire.
 EXAMENS COMPLEMENTAIRES:
1- ECG: onde Q, sus décalage ST, aspect S1Q3, anomalie T
2- Radio pulmonaire: opacité/clarté, foyers,
   cardiomégalie/élargissement du médiastin.
3- Gaz du sang: hypoxie/hypercapnie.
4- Biologie: D-Dimères, troponines, CPK, Tx plaquettes,
   TP, TCK, VS, CRP, transaminases et LDH.
5- Echocardiographie transoesophagienne si doute
   dissection Ao et transthoracique épanchement
   péricardique, anomalies valvulaires.
6- Angiographie ou mieux scintigraphie pul: embolie pul
7- fibroscopie œsogastroduodénale, PH métrie, amylase,
   lipase…
Syndrome coronarien aigue:
 Englobe Angor stable, Angor instable et IDM.
 Dl précordiale médiothoracique, constrictive, à
    irradiation vers mâchoire, membre sup gauche et dos.
   Terrain: ATCDS, facteurs de risques…
   ECG: onde Pardée, onde Q de necrose, sus décalage ST
   Marqueurs biologiques: troponine I etCPK
   Si signes d’insuffisance coronaire aigue: hospitalisation
    et surveillance rapprochée (revascularisation de
    l’artère obstruée, hypocoagulation efficace).
Dissection Aortique:
 Dl à début subaigüe, antérieure, prolongée, irradiant dans
    le dos, à type de déchirement avec caractère migratoire.
   S. clinique: apparition souffle diastolique Ao, asymétrie TA,
    abolition d’1 pouls, état de choc et trouble neurologique
    déficitaire.
   Facteurs favo: HTA ancienne mal contrôlée, athéromateux,
    syndrome de Marfan.
   ECG: normale éliminant IDM.
   Radio pul: élargissement médiastin supérieure.
   Echocardiographie confirme Dg compléter par TDM ou
    IRM thoracique.
Douleurs péricardiques:
 Dl de péricardite aigue: vive, antérieure, pseudoangineuse,
    modifiée par la respiration, atténuée par la position
    penchée en avant.
   Contexte viral précessif ou associé avec fièvre.
   Auscultation: frottement péricardique fugace.
   ECG: pas de signes ischémie, micro voltage, sus décalageST
    diffus et concave.
   Radio pul: élargissement de silhouette cardiaque.
   En absence de dl+fièvre+frottement, une échocardio
    permet de confirmée le Dg.
   Syndrome de Dressler: complication dans 1ére semaine
    post IDM(épanchement péricardique+fièvre).
Embolie pulmonaire:
 Dl brutale basithoracique, augmentée par respiration,
    s’accompagne d’1 dyspnée, angoisse parfois syncope ou état
    de choc dans embolie massive.
   Contexte évocateur: mauvais état veineux, alitement
    prolongé, intervention chirurgicale récente, thrombose
    veineuse périphérique.
   ECG: nl, tachycardie sinusale, BBD, aspect S1Q3.
   Gaz du sang: hypoxie, hypocapnie.
   Radio pul: nl, atélectasie en bande basale droite.
   Dg confirmé par TDM spiralé thoracique, angiopul ou
    mieux scintigraphie pulmonaire.
   Le trt repose sur anticoagulation efficace.
Pneumothorax PNO:
 Dl latérothoracique, brutale, spontanée ou post
  traumatique, en coup de poignard, augmentée par
  inspiration profonde et toux, accompagnée de dyspnée
 Dg évoqué par examen clinique qui met en évidence
  tympanisme et diminution voire silence auscultatoire.
 Radio pul confirme le Dg: hyperclarté partielle ou
  totale.
 Le trt est l’excuflation en urgence voire drainage
  thoracique
Pleurésie aigue:
 Dl aigue d’instalation parfois brutale, latérothoracique
  augmentée par la toux, inspiration profonde et les
  changement de position. S’accompagne d’1 toux sèche,
  dyspnée si épanchement abondant.
 Dg évoqué par examen clinique qui met en évidence
  une matité ou diminution voire abolition du murmure
  vésiculaire.
 Radio pul: opacité déclive de limite supérieure concave
  en haut et en dedans.
 Dg étiologique se fait par ponction exploratrice et
  évacuatrice.
Pneumopathie aigue:
 Dl type point de coté.
 Dg évoqué devant: fièvre, frisson + examen clinique
  retrouve foyer des râles crépitants associé parfois à
  souffle tubaire.
 Radio pul: foyer de condensation alvéolaire avec un
  bronchogramme aérique souvent systématisé.
Douleurs œsophagiennes:
 Spasmes œsophagiens: dl pseudoangineuse
  déclenchée par la déglutition, de durée brève et
  récidivante.
 ATCDS de reflux gastroduodénal, hernie hiatale.
 Dg positif: manométrie qui confirme la dyskinésie
  œsophagienne.
 La rupture œsophagienne se déclare par une dl rétro
  sternale ou épigastrique, accompagnée de
  vomissements, dyspnée, emphysème sous cutané au
  niveau sternale.
Dl sous diaphragmatique projeté:
 Pancréatite aigue: dl épigastrique, transfixiante,
  parfois pseudo-angineuse, irradiant en bretelle ou en
  barre, l’intensité diminué par antéflexion du tronc.
 Cholécystite aigue: dl de hypochondre droit, irradiant
  à la base du thorax, dans le dos et vers épaule droite. La
  palpation de hypochondre droit réveille cette dl qui
  inhibe l’inspiration profonde et qui est provoquée par
  repas copieux.
 Colique gastroduodénale: dl rythmé par les repas,
  s’accompagne de distension colique avec ballonnement
  abdominal.
Douleurs pariétales:
 Dl costale: fracture est facilement évoquée dans un
  contexte post traumatique, métastase osseuse ou
  myélome.
 Dl musculaire intercostale peut être causé par un effort
  violent ou tumorale.
 Dl névralgique radiculaire évoquée devant le caractère
  positionnel et irradiation en hémi-ceinture.
 Dl d’origine chondro-costale(arthrite chondro-costale
  ou syndrome de Tietze): dl reproduite par la palpation
  des cartilages chondro_costales qui sont parfois le
  siège d’1 tuméfaction localisée.
Dl psychogène et iatrogène:
 Dl psychogène: dg d’élimination, cause anorganique,
  dl fugace type de piqure souvent migratrice. Peut être
  décrite comme oppression thoracique, de siège
  précordiale ou diffuse et de durée variable, parfois vive
  punctiforme fugace à proximité du mamelon gauche.
  Associé à l’anxiété, dyspnée et palpitation mais
  l’examen clinique, radiologique et
  électrocardiogramme répétés sont normaux.
 Dl iatrogène ou médicamenteuse: effets secondaire des
  dérivés nicotiniques, nifidipine, 5 fluoro-uracile…
 Il faut reconnaitre Urgences douloureuses du thorax;
  origine cardiaque(IDM, péricardite), Ao(dissection),
  embolie pul et PNO.
 L’orientation Dg est fondée sur l’interrogatoire,
  examen clinique, ECG qui doit être réalisé. En dehors
  des causes C-Vx évidentes, aucune dl thoracique ne
  peut être interprétée sans radio pulmonaire.
 Si radio de thorax est normale(parenchyme, plèvre,
  médiastin et cotes) rechercher cause pariétale ou
  vertébrale
Douleurs thoraciques

Douleurs thoraciques

  • 1.
    Dr BOUDJEMA.R EHS Douera.
  • 4.
     Douleur thoraciqueest une cause très fréquente de consultation = 50% des motifs d’hospitalisation.  Un interrogatoire précis et un examen clinique minutieux permettent souvent d’orienter le Dg.  C’est un symptôme très fréquent qui pose le problème de son étiologie extrêmement variée mais dominée par les causes cardio-Vx en priorité IDM puis embolie pulmonaire, la dissection Ao et autres.
  • 6.
    Eléments d’1 urgenceDg et Trt  Les urgences sont: syndromes coronarien aigue, dissection Ao, embolie pulmonaire , péricardite et toutes les autres formes de Dl thoracique avec dyspnée  L’interrogatoire recherche ATCDS de phlébite, HTA, coronarien et traumatisme thoracique .  L’examen clinique recherche les signes de gravités: * Respiratoire: signes de détresse respiratoire aigue; cyanose, sueurs profuses, orthopnée et les signes de épuisement respiratoire: tirage, respiration paradoxale abdominale, encombrement bronchique, pauses respiratoires, hypoxie et hypercapnie.
  • 7.
    *Cardio-vasculaire: marbrures, hypotension,paleurs, extrémités froides, collapsus(PAS<90mmhg), tachycardie >120/mn, pouls paradoxal voire arrêt C-V. * Neuropsychologique: score de Glascow, agitation, angoisse, troubles de la conscience voire coma.
  • 8.
    *Cardio-vasculaire: marbrures, hypotension,paleurs, extrémités froides, collapsus(PAS<90mmhg), tachycardie >120/mn, pouls paradoxal voire arrêt C-V. * Neuropsychologique: score de Glascow, agitation, angoisse, troubles de la conscience voire coma.
  • 9.
    Une fois l’urgenceécartée:  INTERROGATOIRE: caractéristiques de la douleurs: 1- siège: médiothoracique, retrosternal, basithoracique, latérothoracique, précordiale et metamérique. 2- notion d’irradiation: mâchoire, membre sup et dos. 3- mode d’installation: brutal ou progressif. 4- circonstance de survenue: spontanée, repos, effort, glotte fermée, stress, post prandial ou post trauma. 5- type: constriction, écrasement, brulure, pesanteur, déchirure, coup de poignard ou point de coté. 6- durée: brève ou prolongée.
  • 10.
    7- horaire desurvenue: post prandial, diurne ou nocturne, fix ou pas. 8- mode d’évolution: épisode unique ou répété, fond douloureux, paroxysmes et périodes d’accalmies. 9- facteurs déclenchants/aggravants/calmants: toux, inspiration profonde, trinitrine(TNT), position antalgique(antéflexion), décubitus et mouvements. 10- ancienneté: aigue ou chronique. 11- signes associés: altération de état général, syndrome pseudo-grippal, fièvre, dyspnée, toux, hémoptysie, hypersialorrhée, angoisse, sueurs, troubles digestifs….
  • 11.
     Terrain: âge,sexe, grossesse, anxiété.  Facteurs de risques C-Vx: âge, sexe, tabac, ATCD C-Vx précoce(IDM, AVC…), HTA, diabète et dyslipidémie.  Facteurs de risques thromboemboliques: immobilisation prolongée, Ice cardiaque, Ice veineuse, grossesse, contraception et cancer.  ATCDS médico-chirurgicaux: cardio-Vx, pulmonaire et digestifs.  Traitement en cours.
  • 12.
     EXAMEN CLINIQUE:appareil par appareil: 1- EG: taille, anorexie, TA, FC, T°, signes IVD et signes IVG. 2- Inspection: téguments(cyanose, anémie), signes de phlébite, éruption métamérique. 3- Palpation: pouls de façon bilatérale et symétrique, grill costal, articulation chondrosternale, abdominale.. 4- Percussion: pulmonaire(syndrome de condensation, tympanisme). 5- Auscultation: souffle diastolique Ao récent, frottement péricardique, crépitants et arythmies. 6- Examen gastro, uro, néphro, neuro et ostéoarticulaire.
  • 13.
     EXAMENS COMPLEMENTAIRES: 1-ECG: onde Q, sus décalage ST, aspect S1Q3, anomalie T 2- Radio pulmonaire: opacité/clarté, foyers, cardiomégalie/élargissement du médiastin. 3- Gaz du sang: hypoxie/hypercapnie. 4- Biologie: D-Dimères, troponines, CPK, Tx plaquettes, TP, TCK, VS, CRP, transaminases et LDH. 5- Echocardiographie transoesophagienne si doute dissection Ao et transthoracique épanchement péricardique, anomalies valvulaires. 6- Angiographie ou mieux scintigraphie pul: embolie pul 7- fibroscopie œsogastroduodénale, PH métrie, amylase, lipase…
  • 16.
    Syndrome coronarien aigue: Englobe Angor stable, Angor instable et IDM.  Dl précordiale médiothoracique, constrictive, à irradiation vers mâchoire, membre sup gauche et dos.  Terrain: ATCDS, facteurs de risques…  ECG: onde Pardée, onde Q de necrose, sus décalage ST  Marqueurs biologiques: troponine I etCPK  Si signes d’insuffisance coronaire aigue: hospitalisation et surveillance rapprochée (revascularisation de l’artère obstruée, hypocoagulation efficace).
  • 18.
    Dissection Aortique:  Dlà début subaigüe, antérieure, prolongée, irradiant dans le dos, à type de déchirement avec caractère migratoire.  S. clinique: apparition souffle diastolique Ao, asymétrie TA, abolition d’1 pouls, état de choc et trouble neurologique déficitaire.  Facteurs favo: HTA ancienne mal contrôlée, athéromateux, syndrome de Marfan.  ECG: normale éliminant IDM.  Radio pul: élargissement médiastin supérieure.  Echocardiographie confirme Dg compléter par TDM ou IRM thoracique.
  • 20.
    Douleurs péricardiques:  Dlde péricardite aigue: vive, antérieure, pseudoangineuse, modifiée par la respiration, atténuée par la position penchée en avant.  Contexte viral précessif ou associé avec fièvre.  Auscultation: frottement péricardique fugace.  ECG: pas de signes ischémie, micro voltage, sus décalageST diffus et concave.  Radio pul: élargissement de silhouette cardiaque.  En absence de dl+fièvre+frottement, une échocardio permet de confirmée le Dg.  Syndrome de Dressler: complication dans 1ére semaine post IDM(épanchement péricardique+fièvre).
  • 22.
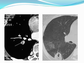
    Embolie pulmonaire:  Dlbrutale basithoracique, augmentée par respiration, s’accompagne d’1 dyspnée, angoisse parfois syncope ou état de choc dans embolie massive.  Contexte évocateur: mauvais état veineux, alitement prolongé, intervention chirurgicale récente, thrombose veineuse périphérique.  ECG: nl, tachycardie sinusale, BBD, aspect S1Q3.  Gaz du sang: hypoxie, hypocapnie.  Radio pul: nl, atélectasie en bande basale droite.  Dg confirmé par TDM spiralé thoracique, angiopul ou mieux scintigraphie pulmonaire.  Le trt repose sur anticoagulation efficace.
  • 26.
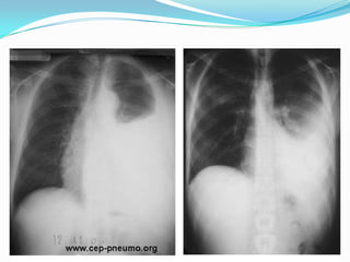
    Pneumothorax PNO:  Dllatérothoracique, brutale, spontanée ou post traumatique, en coup de poignard, augmentée par inspiration profonde et toux, accompagnée de dyspnée  Dg évoqué par examen clinique qui met en évidence tympanisme et diminution voire silence auscultatoire.  Radio pul confirme le Dg: hyperclarté partielle ou totale.  Le trt est l’excuflation en urgence voire drainage thoracique
  • 28.
    Pleurésie aigue:  Dlaigue d’instalation parfois brutale, latérothoracique augmentée par la toux, inspiration profonde et les changement de position. S’accompagne d’1 toux sèche, dyspnée si épanchement abondant.  Dg évoqué par examen clinique qui met en évidence une matité ou diminution voire abolition du murmure vésiculaire.  Radio pul: opacité déclive de limite supérieure concave en haut et en dedans.  Dg étiologique se fait par ponction exploratrice et évacuatrice.
  • 30.
    Pneumopathie aigue:  Dltype point de coté.  Dg évoqué devant: fièvre, frisson + examen clinique retrouve foyer des râles crépitants associé parfois à souffle tubaire.  Radio pul: foyer de condensation alvéolaire avec un bronchogramme aérique souvent systématisé.
  • 32.
    Douleurs œsophagiennes:  Spasmesœsophagiens: dl pseudoangineuse déclenchée par la déglutition, de durée brève et récidivante.  ATCDS de reflux gastroduodénal, hernie hiatale.  Dg positif: manométrie qui confirme la dyskinésie œsophagienne.  La rupture œsophagienne se déclare par une dl rétro sternale ou épigastrique, accompagnée de vomissements, dyspnée, emphysème sous cutané au niveau sternale.
  • 33.
    Dl sous diaphragmatiqueprojeté:  Pancréatite aigue: dl épigastrique, transfixiante, parfois pseudo-angineuse, irradiant en bretelle ou en barre, l’intensité diminué par antéflexion du tronc.  Cholécystite aigue: dl de hypochondre droit, irradiant à la base du thorax, dans le dos et vers épaule droite. La palpation de hypochondre droit réveille cette dl qui inhibe l’inspiration profonde et qui est provoquée par repas copieux.  Colique gastroduodénale: dl rythmé par les repas, s’accompagne de distension colique avec ballonnement abdominal.
  • 36.
    Douleurs pariétales:  Dlcostale: fracture est facilement évoquée dans un contexte post traumatique, métastase osseuse ou myélome.  Dl musculaire intercostale peut être causé par un effort violent ou tumorale.  Dl névralgique radiculaire évoquée devant le caractère positionnel et irradiation en hémi-ceinture.  Dl d’origine chondro-costale(arthrite chondro-costale ou syndrome de Tietze): dl reproduite par la palpation des cartilages chondro_costales qui sont parfois le siège d’1 tuméfaction localisée.
  • 38.
    Dl psychogène etiatrogène:  Dl psychogène: dg d’élimination, cause anorganique, dl fugace type de piqure souvent migratrice. Peut être décrite comme oppression thoracique, de siège précordiale ou diffuse et de durée variable, parfois vive punctiforme fugace à proximité du mamelon gauche. Associé à l’anxiété, dyspnée et palpitation mais l’examen clinique, radiologique et électrocardiogramme répétés sont normaux.  Dl iatrogène ou médicamenteuse: effets secondaire des dérivés nicotiniques, nifidipine, 5 fluoro-uracile…
  • 40.
     Il fautreconnaitre Urgences douloureuses du thorax; origine cardiaque(IDM, péricardite), Ao(dissection), embolie pul et PNO.  L’orientation Dg est fondée sur l’interrogatoire, examen clinique, ECG qui doit être réalisé. En dehors des causes C-Vx évidentes, aucune dl thoracique ne peut être interprétée sans radio pulmonaire.  Si radio de thorax est normale(parenchyme, plèvre, médiastin et cotes) rechercher cause pariétale ou vertébrale