EPISTAXISEPISTAXIS
ETET
TROUBLES DETROUBLES DE
L’ODORATL’ODORAT
CONFERENCE RESIDANAT
S.KHAROUBI
FACULTE DE MEDECINE ANNABA
UNIVERSITE BADJI MOKHTAR ANNABA
ANATOMIE: VASCULARISATIONVASCULARISATION
1. Artère de la sous cloison - 2. Artère ethmoïdale antérieure - 3. Lame criblée –
4. Artères ethmoïdales postérieures - 5. Artère sphénopalatine - 6. Foramen
Sphénopalatin - 7. Artères Postéro Latérales - 8. Artère Maxillaire interne - 9.
Artère Palatine
DIAGNOSTIC POSITIF:EPISTAXIS BENIGNE
L'écoulement est peu abondant, se faisant goutte à goutte par la narine,
souvent unilatéral.
L'examen ORL est facile après mouchage, et la rhinoscopie antérieure
retrouve le siège du saignement, en général antérieur, au niveau de la
tache vasculaire.
Il n'y a pas de retentissement sur l'état général.
DIAGNOSTIC POSITIF: EPISTAXIS
GRAVE
 par son abondance (hypertension artérielle...)
 par sa répétition ou sa continuité (hémopathie, traitement anticoagulant...)
 par un risque de décompensation de tare associée (coronaropathie, sténose
carotidienne…)
Elle est souvent bilatérale.
L'écoulement est antérieur, par les narines, mais aussi postérieur, par les
choanes et mis en évidence par l'examen du pharynx à l'abaisse-langue.
L'examen ORL est difficile et la rhinoscopie ne permet souvent que de
suspecter le siège postérieur de l'hémorragie, au niveau de l'artère
sphénopalatine.
L'épistaxis peut être moins abondante mais persistante, sous la forme d'un
écoulement postérieur à bas bruit car déglutie chez un sujet en décubitus
dorsal.
DIAGNOSTICS DIFFÉRENTIELS
HÉMOPTYSIE :
EXTÉRIORISATION DE SANG DURANT DES EFFORTS DE TOUX.
HÉMATÉMÈSE :
EXTÉRIORISATION DE SANG DURANT DES EFFORTS DE
VOMISSEMENT.
DIAGNOSTIC DE GRAVITE
Devant une épistaxis quelle que soit son importance, l'interrogatoire,
l'examen ORL, mais aussi général et un bilan paraclinique sont
indispensables pour en apprécier la gravité et préciser l'étiologie.
· L'INTERROGATOIRE DU PATIENT ET DE L'ENTOURAGE VONT
PRECISER :
 l'âge
 les antécédents (HTA connue, antécédents hémorragiques)
 la prise de médicaments (aspirine, anti-coagulants)
 la durée et l'abondance de l'épisode hémorragique actuel
· L'EXAMEN GENERAL PERMET D'EVALUER LE
RETENTISSEMENT DE LA SPOLIATION SANGUINE PAR :
 la prise du pouls et de la pression artérielle
 l'aspect du patient : anxiété, agitation, sueurs, pâleur
DIAGNOSTIC DE GRAVITE
· L'EXAMEN O.R.L. (RHINOSCOPIE, EXAMEN PHARYNGE), APRES
EVACUATION DES CAILLOTS PAR MOUCHAGE PERMET :
d'apprécier l'abondance de l'hémorragie
 de préciser son siège antérieur ou postérieur
 et son origine localisée ou diffuse
· LES EXAMENS COMPLEMENTAIRES :
sont réalisés en fonction de l'abondance de l'hémorragie et en urgence :
groupe, numération sanguine, hématocrite, étude simple de l'hémostase
(TP, INR, TCA).
d'autres examens plus spécialisés seront demandés en fonction de
l'orientation étiologique, le plus souvent dans un deuxième temps.
DIAGNOSTICDIAGNOSTIC
ETIOLOGIQUEETIOLOGIQUE
Epistaxis in Ido Ekiti, Nigeria: A 5-year review of causes, treatment andEpistaxis in Ido Ekiti, Nigeria: A 5-year review of causes, treatment and
outcomeoutcome
Rhinosinusites bactériennesRhinosinusites bactériennes
rhinogènesrhinogènes
Rhinite allergique :Rhinite allergique : acariens ou autresacariens ou autres
pneumallergènes, muqueuse couleur lilaspneumallergènes, muqueuse couleur lilas
Polypose naso sinusiennePolypose naso sinusienne
Traitement
corticoïde local
parfois aidé par acte
chirurgical
complémentaire
Fracture des os propres du nez : radioFracture des os propres du nez : radio
des OPNdes OPN
Corps étranger nasal :Corps étranger nasal : risque d’inhalation.risque d’inhalation. SiSi
méconnu,méconnu, rhinorrhée unilatérale chronique derhinorrhée unilatérale chronique de
l’enfant .l’enfant .
CORPS ETRANGER VIVANT:CORPS ETRANGER VIVANT:
SANGSUE.SANGSUE.
Perforation septale :Perforation septale : croûtes, epistaxis sifflementcroûtes, epistaxis sifflement
nasal, parfois maladie évolutive sous jacentenasal, parfois maladie évolutive sous jacente
Inflammation nasale ou orale (épistaxis ulcérations buccales ou faciales douloureuses)
Anomalies de la radiographie pulmonaire (nodules cavernes infiltrats fixes)
Sédiment urinaire anormal (hématurie microscopique ou cylindres)
Inflammation granulomateuse à la biopsie (dans la paroi ou autour des artères ou artérioles)
Critères de l’American College of Rheumatology (1990) de la
Granulomatose de Wegener.
Chez un sujet atteint de vascularite la présence de 2 des 4 critères
suivants permet le classement comme granulomatose de Wegener
avec une sensibilité de 882 % et une spécificité de 92 %
Maladie de Wegener :Maladie de Wegener :
vascularite nécrosantevascularite nécrosante
MALADIE DE RENDU OSLER
CRITERES DIAGNOSTICS:
CRITERIA:
1- Spontaneous, recurrent epistaxis. Nocturnal nosebleeds heighten concern for
HHT.
2- Mucocutaneous telangiectases, especially on lips,tongue, oral cavity, fingers
and nose.
3- Internal AVM(s) (pulmonary, cerebral, hepatic,gastrointestinal, spinal).
4- First-degree relative with HHT according to these criteria.
HHT diagnosis:
Definite: 3 or more criteria present
Possible: 2 criteria present
Unlikely: < 2 criteria present
Malformations artério veineusesMalformations artério veineuses
pulmonaires: RENDU OSLERpulmonaires: RENDU OSLER
Nodules hépatiques:Nodules hépatiques:
RENDU OSLERRENDU OSLER
Criteria Characteristics
Epistaxis Spontaneous, recurrent
nosebleeds
Family history A first-degree relative with
HHT
Telangiectasias Multiple telangiectasias at
characteristic sites (e.g., lips,
oral cavity, fingers, nose)
Visceral lesions Examples include
gastrointestinal telangiectasia
(with or without bleeding),
pulmonary AVM, hepatic
AVM, cerebral AVM, spinal
AVM
Diagnostic Criteria for HHT (Curaçao Criteria)
NOTE: THE HHT DIAGNOSIS IS CLASSIFIED AS DEFINITE IF THREE CRITERIA
ARE PRESENT; POSSIBLE OR SUSPECTED IF TWO CRITERIA
ARE PRESENT; AND UNLIKELY IF FEWER THAN TWO CRITERIA ARE PRESENT.
AVM = ARTERIOVENOUS MALFORMATION; HHT = HEREDITARY HEMORRHAGIC TELANGIECTASIA.
ANEVRYSME ARTERE MAXILLAIREANEVRYSME ARTERE MAXILLAIRE
INTERNE :INTERNE :
ETIOLOGIES:ETIOLOGIES:
Anévrysme de l’artère maxillaire interne se voit après:
Traumatisme avec fractures de la face
Ostéotomies mandibulaires
Ponction- Aspiration nasale sinusienne
Infections
SIGNES CLINIQUES:SIGNES CLINIQUES:
Œdème pulsatile parotidien.
Paralysie faciale.
Douleurs faciales.
Épistaxis.
Hémorragie buccale.
DIAGNOSTIC:DIAGNOSTIC:
SCANNER IRM et ANGIO IRM ARTERIOGRAPHIE.
TRAITEMENT:TRAITEMENT:
ENDOVASCULAIRE: COILS.
CHIRURGIE: MOBDITE +++
Fibrome nasopharyngien :Fibrome nasopharyngien : adolescent,adolescent,
épistaxis répétés et obstruction nasale récente,épistaxis répétés et obstruction nasale récente,
tumeur bénigne très vasculariséetumeur bénigne très vascularisée.
Carcinome indifférencié duCarcinome indifférencié du
nasopharynxnasopharynx
Origine asiatique ou pourtour
méditerranéen
souvent révélé par surdité (atteinte
trompe d’eustache),ON , épistaxis
ou signes neurologiques.
traitement radiochimiothérapie
implication du virus EBV
PRINCIPES DE L’HEMOSTASE I
LOCALISATION PRECISEPRECISE A LA TACHE VASCULAIRE
1) compression digitale simple de l'aile du nez pendant 10 minutes
(épistaxis de la tache vasculaire).
2) compression par tampon de coton hémostatique…
3) cautérisation de la tache vasculaire le plus souvent à distance du
saignement :
-chimique (nitrate d'argent en perle ou liquide)
-électrique (pincette bipolaire)
PRINCIPES DE L’HEMOSTASE II
· LOCALISATION IMPRECISEIMPRECISE : « ESCALADE THERAPEUTIQUE »
1)méchage par voie antérieure de la fosse nasale.
2) tamponnement par voie antérieure avec ballonnet gonflable.
3) tamponnement par voie postérieure.
4) coagulation par voie chirurgicale endoscopique des artères
sphénopalatines.
5) ou embolisation de ces artères en radiologie interventionnelle.
6) coagulation des artères ethmoïdales par orbitotomie dans les cas
d'épistaxis persistantes (ces artères ne peuvent pas bénéficier d’une
embolisation puisqu’elles sont des branches terminales de l’artère
ophtalmique, elle- même branche de la carotide interne : un accident
d’embolisation entraînerait soit une hémiplégie, soit une cécité).
HIERARCHIE DES MOYENS THERAPEUTIQUES
MOYENS DE PREMIERE INTENTION:
Compression digitale.
Cautérisation chimique.
Cautérisation électrique.
Tamponnement antérieur.
MOYENS DE DEUXIEME INTENTION:
Le tamponnement postérieur.
Les sondes a ballonnets.
MOYENS DE TROISIEME INTENTION:
 la chirurgie d’hémostase.
 l’embolisation.
Ils deviennent nécessaires face à :
toute épistaxis postérieure non contrôlée,
récidivante dans les 72 heures,
toute épistaxis massive supérieure à 1,5 litre,
toute épistaxis persistante avec un taux d’hémoglobine inférieur à 8 g/l.
ANEVRYSMES CAROTIDE INTERNE
Dégénérescence de la couche élastique interne artérielle, du collagène combinée
à des modifications du flux sanguins (turbulences) conduisant à une dilatation de
l’artère.
L’anévrysme carotidien correspond à 2% des anévrysmes intra crâniens.
Traumatiques
Non traumatiques
Facteurs de risque: tabagisme, l’age et l’HTA, histoire familiale d’anévrysme,
maladie poly kystique rénale, dysplasie fibreuse et co arcation de l’aorte.
Délai de survenue: 5 jours à 9 semaines avec une moyenne de 7 semaines.
EPISTAXIS : SIGNE REVELATEUR
Diplopie, syndrome caverneux
GRAVITE: MORTALITE DANS 30% DES CAS.
DIAGNOSTIC:
SCANNER – IRM – ARTERIOGRAPHIE
Facteurs de risque de rupture:
Sexe féminin, anévrysme de plus de 1cm, multilobé , anévrysme symptomatique.
CT scans des sinus en coupe axiale (A) et coronale (B), avec injection de contraste :
Anévrysme trilobé du segment intra caverneux de l’ artère carotide interne droite
avec érosion paroi externe sinus sphénoidal.
MISE EN PLACE
D’UN COIL.
LES COILS EN NEURORADIOLOGIE
INTERVENTIONNELLE.
Les coils sont des spires métalliques utilisées comme matériel d’occlusion
endovasculaire.
Les coils permettent le remplissage endovasculaire d’un compartiment vasculaire
relativement large (anévrysme intracrânien, sinus veineux dural, artère
cérébrale). Jusqu’au début des années 80, cela ne pouvait se faire qu’à l’aide de
ballonnets largables dont l’un des inconvénients majeurs était le dégonflage
précoce. Cet inconvénient n’existe pas pour les coils du fait de leur
structure métallique.
Tous les coils sont faits d’une tresse de platine. Le platine est en effet un métal
noble qui ne se corrode pas dans le courant sanguin et qui, par ailleurs, ne
détermine pas d’allergie.
Ces coils ont des formes diverses : hélicoïdales, sphériques, droites. Les coils
hélicoïdaux, qui sont probablement les plus utilisés, sont définis par le diamètre
de la spire (de 2 à 20 mm) et par leur longueur totale (de 10 à 500 mm).
Le principe est d’introduire un microcathéter à l’intérieur du sac anévrysmal
afin d’y dérouler des spires de diamètres progressivement décroissants.
On réalise ainsi une pelote métallique que l’on densifie jusqu’à ce que le
produit de contraste n’opacifie plus l’anévrysme sur l’artériographie de
contrôle.
Le nombre moyen de coils implantés par anévrysme est de 3,5.
coût: environ 700 €
Schémas d’une embolisation d’anévrysme à l’aide de coils.
A. Cathétérisme du sac.
B. Vue finale après détachement du coil et retrait du microcathéter.
A B
LES FISTULES CAROTIDO
CAVERNEUSES
Schéma d’une coupe coronale
(vue de face) du sinus caverneux
droit.
ACI : artère carotide interne ;
AO : artère ophtalmique ;
SC : sinus caverneux ;
H: hypophyse ;
SS : sinus sphénoïdal ;
D : dure-mère.
LES FISTULES CAROTIDO
CAVERNEUSES
Les fistules carotido caverneuses correspondent a des communications
anormales entre le système carotidien et le sinus caverneux.
Un tableau aigu post-traumatique oriente rapidement le clinicien vers le
diagnostic de fistule carotido caverneuse DIRECTEDIRECTE.
Tableau est rapidement progressif, associe donc classiquement :
-une exophtalmie pulsatile,
-avec un œdème palpébral,
-la perception d’un souffle par le patient, parfois objective au stéthoscope
sur la paupière fermée,
-l’artérialisation des vaisseaux conjonctivaux qui prennent un aspect en
« tire-bouchon »,
-un chémosis ainsi qu’une paralysie oculomotrice
-les céphalées,
-les douleurs retro-orbitaires ,
-les ophtalmoplégies ,
-les baisses d’acuité visuelle.
SCANNER ET IRM AVEC INJECTION DE PRODUIT DESCANNER ET IRM AVEC INJECTION DE PRODUIT DE
CONTRASTE:CONTRASTE:
-élargissement du sinus caverneux
-de la veine ophtalmique supérieure
-infiltration des muscles oculomoteurs des tissus
orbitaires
L’ULTRASONOGRAPHIE COUPLÉE AU DOPPLERL’ULTRASONOGRAPHIE COUPLÉE AU DOPPLER
ORBITAIRE:ORBITAIRE:
- la dilatation des veines ophtalmiques
-élargissement des muscles oculomoteurs
LE SIGNE DIRECT EST LA VISUALISATION DE LALE SIGNE DIRECT EST LA VISUALISATION DE LA
FISTULE CAROTIDO CAVERNEUSE:FISTULE CAROTIDO CAVERNEUSE:
-sur une angio-IRM en 3DTOF ou dynamique,
technique non invasive,
-ou bien sur une angiographie qui reste le
« gold standard » bien qu’elle présente des
risques de complications neurologiques parfois
létales.
TRAITEMENT:
Le but du traitement est d’obturer la communication entre
la carotide et le sinus caverneux tout en maintenant une
bonne fonction carotidienne.
Ont été proposés:
-la chirurgie,
-La radiothérapie conventionnelle
- Radiothérapie stéréotaxique,
-la compression de l’ACI par la main controlatérale du patient,
- le sacrifice de l’ACI homolatérale.
-L’embolisation transartérielle par ballonnet largableballonnet largable est le traitement de choix
des fistules directes et donne de bons résultats.
COMPLICATIONS MAJEURES : 6% des cas.
avc,
cecite,
ophtalmoplegie,
necrose tissus mous,
paralysie faciale,
allergie et choc anaphylactique (produit de
contraste).
COMPLICATIONS MINEURES : 21% des cas
Douleurs faciales,
Douleurs osseuses,
céphalées,
Paresthésies – anesthésie, trismus
Douleurs et hématome inguinal.
LIGAURES DES ARTERES ETHMOIDALES
LIGATURE ENDOSCOPIQUE
ARTERE SPHENO PALATINE
MALADIE DE RENDU OSLER
CRITERES DIAGNOSTICS:
CRITERIA:
1- Spontaneous, recurrent epistaxis. Nocturnal nosebleeds heighten concern for
HHT.
2- Mucocutaneous telangiectases, especially on lips,tongue, oral cavity, fingers
and nose.
3- Internal AVM(s) (pulmonary, cerebral, hepatic,gastrointestinal, spinal).
4- First-degree relative with HHT according to these criteria.
HHT diagnosis:
Definite: 3 or more criteria present
Possible: 2 criteria present
Unlikely: < 2 criteria present
MALADIE DE RENDU OSLER
MOYENS THERAPEUTIQUES:
•Cryothérapie.
•Dermoplastie de SAUNDERS ou les lambeaux locaux.
•La Pléiscuriethérapie endonasale (Iridium 192).
•Œstrogènes et Progestérone par voie orale ou locale.
•Lasers YAG Nd, KTP, ARGON, CO2.
•Injection de colle de fibrine (TISSUCOL) ou d’ETHIBLOC.
•Techniques d’Obturation des cavités nasales au niveau de l’orifice narinaire
permettant d’obtenir un arrêt des saignements chez des patients ayant
des épistaxis incontrôlées (technique de YOUNG).
•Nasal obtrurator
•Anticorps monoclonal anti- VEGF : plusieurs études font état
de résultats satisfaisants sur la fréquence et l’importance des saignements
et la normalisation du taux d’hémoglobine chez des patients
porteurs de maladie de Rendu Osler traités par
le bevacuzimab (5mg/kg chaque 15 jours pendant 3 mois).
Ethibloc® injections
RÉANIMATION MÉDICALE OU CHIRURGICALE :
mauvaise tolérance malgré prise en charge initiale.
URGENCES ORL SPÉCIALISÉES :
Tout patient ayant nécessité un méchage postérieur avec sonde double
ballonnet.
La chirurgie d'hémostase et l'embolisation seront indiquée pour :
• toute épistaxis postérieure non contrôlée ou récidivante dans les 72 heures
• toute épistaxis massive supérieure à 1,5 litre
• toute épistaxis persistante avec un taux d'hémoglobine inférieur à 8 g/l
SORTIE :
Toute épistaxis bénigne sans signe de gravité clinique tarie.
L'ordonnance de sortie comportera des mèches hémostatiques (Coalgan®)
+/- pommade hémostatique locale type pommade HEC®) pour une mise en
place par le patient en cas de récidive.
En cas de méchage antérieur, la sortie se fait sous antibiotique (Amoxicilline
2g/24h) et avec nécessité de consulter un ORL dans les 48h (ABLATION
MECHAGE).
PRÉVOIR DANS TOUS LES CAS UNE CONSULTATION ORL POUR
COMPLÉTER BILAN.
FICHE DE CONDUITE PRATIQUEFICHE DE CONDUITE PRATIQUE
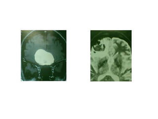
CAS N°1:
Femme 75 ans consulte aux urgences pour épistaxis droite.
Début remonte à 6 semaines: saignement modéré mais répété, rhinorrhée et
céphalées.
Elle prend des anticoagulants en raison d’une cardiopathie.
Examen endoscopique: muqueuse aspect normal, tache vasculaire normale.
Masse lisse comblant complètement la fosse nasale droite et le nasopharynx
avec quelques fines veinules en surface.la palpation du cou ne retrouve pas
d’adénopathies cervicales.
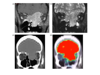
Adénome à prolactine de la glande hypophysaire.
L’épistaxis est rarement révélatrice d’un adénome hypophysaire.
Il s’agit surtout de manifestations d’une hyperprolactinémie: galactorrhée et
hypogonadisme.
Selon l’extension de la tumeur on obtient une symptomatologie supra sellaire:
céphalées et troubles visuels par compression du chiasma optique.
TRAITEMENT:
-bromocryptine
-chirurgie selle turcique par voie endoscopique
CAS N°2
Adulte âgé de 34 ans victime d’un accident de la voie publique avec un
impact au niveau de la face.
Pris en charge en chirurgie plastique avec ostéosynthèse de fractures
multiples: mandibule et maxillaire supérieur.
15 jours après apparition d’une tuméfaction pulsatile de la face et de la
région parotidienne droite, un trismus douloureux.
ETIOLOGIES:ETIOLOGIES:
Anévrysme de l’artère maxillaire interne se voit après:
Traumatisme avec fractures de la face
Ostéotomies mandibulaires
Ponction- Aspiration nasale sinusienne
Infections
SIGNES CLINIQUES:SIGNES CLINIQUES:
Œdème pulsatile parotidien.
Paralysie faciale.
Douleurs faciales.
Épistaxis.
Hémorragie buccale.
DIAGNOSTIC:DIAGNOSTIC:
SCANNER IRM et ANGIO IRM ARTERIOGRAPHIE.
TRAITEMENT:TRAITEMENT:
ENDOVASCULAIRE: COILS.
CHIRURGIE: MOBDITE +++
Homme âgé de 55 ans:
remplacement valvulaire: valve aortique (valve mécanique)
HTA
Hypercholestérolémie
Traitement:
Sintron 1cp/j , triatec 1cp/j et taor 1cp/j.
PATIENT HOSPITALISE POUR EPISTAXIS AUX URGENCES.
A SON ARRIVEE:
TA: 9/7
Pouls à 110 batt/min
Marbrures au niveau des membres inférieurs
Patient très angoissé
Épistaxis bilatérale prédomine à gauche
Que faites vous en urgence?
CAS N°3
GESTE:
Méchage antérieur
BILAN:
NFS
TP, TCA, PLAQUETTES IONOGRAMME
ECG, TELETHORAX
CONDUITE THERAPEUTIQUE:
Voie veineuse centrale
Perfusion macromolécules
Anxiolytiques en IV
Antibiothérapie en IV
ARRET ANTIVITAMINES K ET RELAI AVEC HEPARINE IV AU
POUSSE SERRINGUE TCA (2 A 2,5 x témoin)
Taux Hémoglobine à 8g/l.
Le contrôle de la cavité buccale montre un saignement
postérieur.
QUE FAITES VOUS?
MECHAGE POSTERIEUR ET ANTERIEUR.
SONDE A DOUBLE BALLONNET.
ANTALGIQUES IV.
LE PATIENT EST HOSPITALISE EN ORL
QUELLE EST LA CONDUITE A TENIR ?
AU BOUT DE 24 H DEGONFLER LE BALLONNETS QUELQUES MINUTES
PLUSIEURS FOIS.
AU BOUT DE 48 H DEGONFLER DEFINITIVEMENT LE BALLONNET.
AU BOUT DE 72 H DEMECHAGE TOTAL AU BLOC.
PAS DE SAIGNEMENT STOP
RELAIS PAR ANTIVITAMINES K
REPRISE DU SAIGNEMENT ACTIF:
LIGATURE ARTERE SPHENO PALATINE SOUS ENDOSCOPIE
EMBOLISATION
TROUBLES DE L’ODORAT
DEFINITIONS:
QUANTITATIFQUANTITATIF
•Normosmie (odorat normal)
•Hyposmie (diminution des performances olfactives)
•Anosmie (perte totale des performances olfactives)
•Hyperosmie (performances olfactives supérieures à la norme –rare !)
•Anosmie spécifique (p.e. androsténone, acide isovalérique)
QUALITATIFQUALITATIF
•Parosmie, Troposmia (perceptions erronées d’une odeur en présence d’une
source odorante)
•Phantosmies (hallucination olfactive)
•Cacosmie (mauvaise odeur avec substrat, foyer infectieux)
CONSEQUENCES DES TROUBLES DE L’ODORAT:CONSEQUENCES DES TROUBLES DE L’ODORAT:
•Manque d’un système d’alarme
–Nourriture périmée
–Fumée, feu, gaz non détectés
–Env. 40 % des patients ont déjà eu un accident ! Santos, Arch Otolaryngol Head
Neck Surg 2004.
•Insécurité (pas de contrôle des odeurs corporelles).
•Diminution de la qualité de vie :
–Plaisir ↓de s’alimenter
–Pas d’odeurs agréables (printemps)
•Dépression
TESTS PSYCHOPHYSIQUES.
SNIFFIN’S STICKS
UPSIT TEST
T OLFACTOMETRE
BIOALFA
CCCRC (CONNECTICUT CHEMOSENSORY CLINICAL RESEARCH CENTER)
SOIT SCANDINAVIAN ODOR IDENTIFICATION TEST
SMELL DISKETTES (TEST DE ZURICH)
SCREENING: Dépistage à l’aide d’un petit nombred’odeurs en forte concentration
SEUIL OLFACTIF
n-butanol(odeur de feutre à écrire), phényléthanol (odeur de rose)
Mode de présentation :petites bouteilles, feutres odorants numérotés (de la plus haute
Concentration jusqu’à la plus faible dilution). C’est la mesure la plus fine de la fonction
olfactive périphérique.
IDENTIFICATION OLFACTIVE Présentation d’un grand nombre d’odeurs en forte
concentration,qui doivent être reconnues parmi un choix multiple.
utiliser des odeurs familières.
DISCRIMINATION OLFACTIVE Présentation d’odeurs en forte concentration.
Le sujet doit reconnaître une odeur qui se distingue des autres odeurs présentes
TESTS ELECTROPHYSIOLOGIQUES
ELECTRO OLFACOGRAMME - EOG
POTENIELS EVOQUES OLFACTIFS -PEO
IMAGERIE
TDM
IRM
IRM FONCTIONNELLE
TEP
ETAPE ATTEINTE
TRANSPORT DES MOLECULES ODORANTES VERS LA FENTE
OLFACTIVE
POLYPOSE OBSTRUCTIVE
INFLAMATION OBSTRUCTIVE BILATERALE DES FENTES
OLFACTIVES
DIFUSION DES MOLECULES ODORANTES DANS LE MUCUS
OLFACTIF
PATHOLOGIE QUANTITATIVE ET QUALITATIVE DU MUCUS.
PROCESSUS INFLAMMATOIRE LOCAL
ACTIVATION DES NEURONES RECEPTEURS PERTE NEUROSENSORIELLE AU SEIN DE L’EPITHELIUM
SENSORIEL (ATTAQUE VIRALE ,NEUROTOXIQUES ,TRAUMA
CRANIEN)
TRANSMISSION DE L’INFORMATION AUX BULBES OLFACTIFS TRAUMA CRANIEN SECTION DES AXONES (FRACTURE DE LA
LAME CRIBLEE).
ATTAQUE VIRALE
TRAITEMENT DE L’INFORMATION PAR LE BULBE OLFACTIF ABSENCE CONGENITALE DE BULBES OLFACTIFS
TRAUMA CRANIEN LESION DU BULBE OLFACTIF
MALADIE NEURODEGENERATIVE
ATTAQUE VIRALE
TRANSMISSION DE L’INFORMATION AUX DIFFERENTS CENTRES
DU SNC
TRAUMA CRANIEN LESIONS DU TRACTUS OLFACTIF
LESIONS DU CORTEX PIRIFORME
LESION DU CORTEX ORBITO FRONTAL
MALADIE NEURO DEGENERATIVE
ANALYSE DE L’INFORMATION INTERPRETATION ET PRISE DE
DECISION
ATTEINTE COGNITIVE
ETIOLOGIES DEEMS ET AL BONFILS
ET AL
POST-
RHINITIQUE
192 (26%) 54(18%)
IDIOPATHIQUE 167 (22%) 31 (10%)
TRAUMATISME
CRANIEN
132 (18%) 6 (2%)
NASO-
SINUSIENNE
109 (15%) 205 ( 67%)
CONGENITALE 29(4%) 4 (1%)
TOXIQUE 18 (2%) 2 (1%)
NEURO
PSYCHIATRIQUE
4 (1%) 3 (1%)
TUMEUR
CEREBRALE
2 (1%) 1 (1%)
GENERALE
TOTAL 653 306
ANOSMIE ET TRAUMATISMES CRANIENS : MECANISMESANOSMIE ET TRAUMATISMES CRANIENS : MECANISMES
TTRAITEMENT:RAITEMENT:
•En fonction de l’origine:
Postvirale / Posttraumatique : Récupération spontanée.
Rhinosinusien : Corticoïdes systémiques, topiques; Chirurgie.
Toxique / Médicamenteux : Arrêt des médicaments / exposition toxique
Congénital : nihil, Informations.
•Autres :
souvent pris en charge par les spécialités correspondantes (Neurologie,
Psychiatrie, Médecine interne).
•Médicaments en phase d’essai:
Caroverine, Vitamine B, Acide alpha-lipoïque, Zinc.
AVENIR:AVENIR:

Epistaxis conference

  • 1.
    EPISTAXISEPISTAXIS ETET TROUBLES DETROUBLES DE L’ODORATL’ODORAT CONFERENCERESIDANAT S.KHAROUBI FACULTE DE MEDECINE ANNABA UNIVERSITE BADJI MOKHTAR ANNABA
  • 2.
  • 6.
    1. Artère dela sous cloison - 2. Artère ethmoïdale antérieure - 3. Lame criblée – 4. Artères ethmoïdales postérieures - 5. Artère sphénopalatine - 6. Foramen Sphénopalatin - 7. Artères Postéro Latérales - 8. Artère Maxillaire interne - 9. Artère Palatine
  • 13.
    DIAGNOSTIC POSITIF:EPISTAXIS BENIGNE L'écoulementest peu abondant, se faisant goutte à goutte par la narine, souvent unilatéral. L'examen ORL est facile après mouchage, et la rhinoscopie antérieure retrouve le siège du saignement, en général antérieur, au niveau de la tache vasculaire. Il n'y a pas de retentissement sur l'état général.
  • 14.
    DIAGNOSTIC POSITIF: EPISTAXIS GRAVE par son abondance (hypertension artérielle...)  par sa répétition ou sa continuité (hémopathie, traitement anticoagulant...)  par un risque de décompensation de tare associée (coronaropathie, sténose carotidienne…) Elle est souvent bilatérale. L'écoulement est antérieur, par les narines, mais aussi postérieur, par les choanes et mis en évidence par l'examen du pharynx à l'abaisse-langue. L'examen ORL est difficile et la rhinoscopie ne permet souvent que de suspecter le siège postérieur de l'hémorragie, au niveau de l'artère sphénopalatine. L'épistaxis peut être moins abondante mais persistante, sous la forme d'un écoulement postérieur à bas bruit car déglutie chez un sujet en décubitus dorsal.
  • 15.
    DIAGNOSTICS DIFFÉRENTIELS HÉMOPTYSIE : EXTÉRIORISATIONDE SANG DURANT DES EFFORTS DE TOUX. HÉMATÉMÈSE : EXTÉRIORISATION DE SANG DURANT DES EFFORTS DE VOMISSEMENT.
  • 16.
    DIAGNOSTIC DE GRAVITE Devantune épistaxis quelle que soit son importance, l'interrogatoire, l'examen ORL, mais aussi général et un bilan paraclinique sont indispensables pour en apprécier la gravité et préciser l'étiologie. · L'INTERROGATOIRE DU PATIENT ET DE L'ENTOURAGE VONT PRECISER :  l'âge  les antécédents (HTA connue, antécédents hémorragiques)  la prise de médicaments (aspirine, anti-coagulants)  la durée et l'abondance de l'épisode hémorragique actuel · L'EXAMEN GENERAL PERMET D'EVALUER LE RETENTISSEMENT DE LA SPOLIATION SANGUINE PAR :  la prise du pouls et de la pression artérielle  l'aspect du patient : anxiété, agitation, sueurs, pâleur
  • 17.
    DIAGNOSTIC DE GRAVITE ·L'EXAMEN O.R.L. (RHINOSCOPIE, EXAMEN PHARYNGE), APRES EVACUATION DES CAILLOTS PAR MOUCHAGE PERMET : d'apprécier l'abondance de l'hémorragie  de préciser son siège antérieur ou postérieur  et son origine localisée ou diffuse · LES EXAMENS COMPLEMENTAIRES : sont réalisés en fonction de l'abondance de l'hémorragie et en urgence : groupe, numération sanguine, hématocrite, étude simple de l'hémostase (TP, INR, TCA). d'autres examens plus spécialisés seront demandés en fonction de l'orientation étiologique, le plus souvent dans un deuxième temps.
  • 18.
  • 20.
    Epistaxis in IdoEkiti, Nigeria: A 5-year review of causes, treatment andEpistaxis in Ido Ekiti, Nigeria: A 5-year review of causes, treatment and outcomeoutcome
  • 22.
  • 23.
    Rhinite allergique :Rhiniteallergique : acariens ou autresacariens ou autres pneumallergènes, muqueuse couleur lilaspneumallergènes, muqueuse couleur lilas
  • 24.
    Polypose naso sinusiennePolyposenaso sinusienne Traitement corticoïde local parfois aidé par acte chirurgical complémentaire
  • 25.
    Fracture des ospropres du nez : radioFracture des os propres du nez : radio des OPNdes OPN
  • 26.
    Corps étranger nasal:Corps étranger nasal : risque d’inhalation.risque d’inhalation. SiSi méconnu,méconnu, rhinorrhée unilatérale chronique derhinorrhée unilatérale chronique de l’enfant .l’enfant .
  • 27.
    CORPS ETRANGER VIVANT:CORPSETRANGER VIVANT: SANGSUE.SANGSUE.
  • 28.
    Perforation septale :Perforationseptale : croûtes, epistaxis sifflementcroûtes, epistaxis sifflement nasal, parfois maladie évolutive sous jacentenasal, parfois maladie évolutive sous jacente
  • 29.
    Inflammation nasale ouorale (épistaxis ulcérations buccales ou faciales douloureuses) Anomalies de la radiographie pulmonaire (nodules cavernes infiltrats fixes) Sédiment urinaire anormal (hématurie microscopique ou cylindres) Inflammation granulomateuse à la biopsie (dans la paroi ou autour des artères ou artérioles) Critères de l’American College of Rheumatology (1990) de la Granulomatose de Wegener. Chez un sujet atteint de vascularite la présence de 2 des 4 critères suivants permet le classement comme granulomatose de Wegener avec une sensibilité de 882 % et une spécificité de 92 % Maladie de Wegener :Maladie de Wegener : vascularite nécrosantevascularite nécrosante
  • 31.
    MALADIE DE RENDUOSLER CRITERES DIAGNOSTICS: CRITERIA: 1- Spontaneous, recurrent epistaxis. Nocturnal nosebleeds heighten concern for HHT. 2- Mucocutaneous telangiectases, especially on lips,tongue, oral cavity, fingers and nose. 3- Internal AVM(s) (pulmonary, cerebral, hepatic,gastrointestinal, spinal). 4- First-degree relative with HHT according to these criteria. HHT diagnosis: Definite: 3 or more criteria present Possible: 2 criteria present Unlikely: < 2 criteria present
  • 35.
    Malformations artério veineusesMalformationsartério veineuses pulmonaires: RENDU OSLERpulmonaires: RENDU OSLER Nodules hépatiques:Nodules hépatiques: RENDU OSLERRENDU OSLER
  • 36.
    Criteria Characteristics Epistaxis Spontaneous,recurrent nosebleeds Family history A first-degree relative with HHT Telangiectasias Multiple telangiectasias at characteristic sites (e.g., lips, oral cavity, fingers, nose) Visceral lesions Examples include gastrointestinal telangiectasia (with or without bleeding), pulmonary AVM, hepatic AVM, cerebral AVM, spinal AVM Diagnostic Criteria for HHT (Curaçao Criteria) NOTE: THE HHT DIAGNOSIS IS CLASSIFIED AS DEFINITE IF THREE CRITERIA ARE PRESENT; POSSIBLE OR SUSPECTED IF TWO CRITERIA ARE PRESENT; AND UNLIKELY IF FEWER THAN TWO CRITERIA ARE PRESENT. AVM = ARTERIOVENOUS MALFORMATION; HHT = HEREDITARY HEMORRHAGIC TELANGIECTASIA.
  • 37.
    ANEVRYSME ARTERE MAXILLAIREANEVRYSMEARTERE MAXILLAIRE INTERNE :INTERNE : ETIOLOGIES:ETIOLOGIES: Anévrysme de l’artère maxillaire interne se voit après: Traumatisme avec fractures de la face Ostéotomies mandibulaires Ponction- Aspiration nasale sinusienne Infections SIGNES CLINIQUES:SIGNES CLINIQUES: Œdème pulsatile parotidien. Paralysie faciale. Douleurs faciales. Épistaxis. Hémorragie buccale. DIAGNOSTIC:DIAGNOSTIC: SCANNER IRM et ANGIO IRM ARTERIOGRAPHIE. TRAITEMENT:TRAITEMENT: ENDOVASCULAIRE: COILS. CHIRURGIE: MOBDITE +++
  • 38.
    Fibrome nasopharyngien :Fibromenasopharyngien : adolescent,adolescent, épistaxis répétés et obstruction nasale récente,épistaxis répétés et obstruction nasale récente, tumeur bénigne très vasculariséetumeur bénigne très vascularisée.
  • 39.
    Carcinome indifférencié duCarcinomeindifférencié du nasopharynxnasopharynx Origine asiatique ou pourtour méditerranéen souvent révélé par surdité (atteinte trompe d’eustache),ON , épistaxis ou signes neurologiques. traitement radiochimiothérapie implication du virus EBV
  • 40.
    PRINCIPES DE L’HEMOSTASEI LOCALISATION PRECISEPRECISE A LA TACHE VASCULAIRE 1) compression digitale simple de l'aile du nez pendant 10 minutes (épistaxis de la tache vasculaire). 2) compression par tampon de coton hémostatique… 3) cautérisation de la tache vasculaire le plus souvent à distance du saignement : -chimique (nitrate d'argent en perle ou liquide) -électrique (pincette bipolaire)
  • 41.
    PRINCIPES DE L’HEMOSTASEII · LOCALISATION IMPRECISEIMPRECISE : « ESCALADE THERAPEUTIQUE » 1)méchage par voie antérieure de la fosse nasale. 2) tamponnement par voie antérieure avec ballonnet gonflable. 3) tamponnement par voie postérieure. 4) coagulation par voie chirurgicale endoscopique des artères sphénopalatines. 5) ou embolisation de ces artères en radiologie interventionnelle. 6) coagulation des artères ethmoïdales par orbitotomie dans les cas d'épistaxis persistantes (ces artères ne peuvent pas bénéficier d’une embolisation puisqu’elles sont des branches terminales de l’artère ophtalmique, elle- même branche de la carotide interne : un accident d’embolisation entraînerait soit une hémiplégie, soit une cécité).
  • 42.
    HIERARCHIE DES MOYENSTHERAPEUTIQUES MOYENS DE PREMIERE INTENTION: Compression digitale. Cautérisation chimique. Cautérisation électrique. Tamponnement antérieur. MOYENS DE DEUXIEME INTENTION: Le tamponnement postérieur. Les sondes a ballonnets. MOYENS DE TROISIEME INTENTION:  la chirurgie d’hémostase.  l’embolisation. Ils deviennent nécessaires face à : toute épistaxis postérieure non contrôlée, récidivante dans les 72 heures, toute épistaxis massive supérieure à 1,5 litre, toute épistaxis persistante avec un taux d’hémoglobine inférieur à 8 g/l.
  • 43.
    ANEVRYSMES CAROTIDE INTERNE Dégénérescencede la couche élastique interne artérielle, du collagène combinée à des modifications du flux sanguins (turbulences) conduisant à une dilatation de l’artère. L’anévrysme carotidien correspond à 2% des anévrysmes intra crâniens. Traumatiques Non traumatiques Facteurs de risque: tabagisme, l’age et l’HTA, histoire familiale d’anévrysme, maladie poly kystique rénale, dysplasie fibreuse et co arcation de l’aorte. Délai de survenue: 5 jours à 9 semaines avec une moyenne de 7 semaines. EPISTAXIS : SIGNE REVELATEUR Diplopie, syndrome caverneux GRAVITE: MORTALITE DANS 30% DES CAS. DIAGNOSTIC: SCANNER – IRM – ARTERIOGRAPHIE Facteurs de risque de rupture: Sexe féminin, anévrysme de plus de 1cm, multilobé , anévrysme symptomatique.
  • 44.
    CT scans dessinus en coupe axiale (A) et coronale (B), avec injection de contraste : Anévrysme trilobé du segment intra caverneux de l’ artère carotide interne droite avec érosion paroi externe sinus sphénoidal.
  • 45.
  • 46.
    LES COILS ENNEURORADIOLOGIE INTERVENTIONNELLE. Les coils sont des spires métalliques utilisées comme matériel d’occlusion endovasculaire. Les coils permettent le remplissage endovasculaire d’un compartiment vasculaire relativement large (anévrysme intracrânien, sinus veineux dural, artère cérébrale). Jusqu’au début des années 80, cela ne pouvait se faire qu’à l’aide de ballonnets largables dont l’un des inconvénients majeurs était le dégonflage précoce. Cet inconvénient n’existe pas pour les coils du fait de leur structure métallique. Tous les coils sont faits d’une tresse de platine. Le platine est en effet un métal noble qui ne se corrode pas dans le courant sanguin et qui, par ailleurs, ne détermine pas d’allergie. Ces coils ont des formes diverses : hélicoïdales, sphériques, droites. Les coils hélicoïdaux, qui sont probablement les plus utilisés, sont définis par le diamètre de la spire (de 2 à 20 mm) et par leur longueur totale (de 10 à 500 mm).
  • 47.
    Le principe estd’introduire un microcathéter à l’intérieur du sac anévrysmal afin d’y dérouler des spires de diamètres progressivement décroissants. On réalise ainsi une pelote métallique que l’on densifie jusqu’à ce que le produit de contraste n’opacifie plus l’anévrysme sur l’artériographie de contrôle. Le nombre moyen de coils implantés par anévrysme est de 3,5. coût: environ 700 €
  • 48.
    Schémas d’une embolisationd’anévrysme à l’aide de coils. A. Cathétérisme du sac. B. Vue finale après détachement du coil et retrait du microcathéter. A B
  • 49.
    LES FISTULES CAROTIDO CAVERNEUSES Schémad’une coupe coronale (vue de face) du sinus caverneux droit. ACI : artère carotide interne ; AO : artère ophtalmique ; SC : sinus caverneux ; H: hypophyse ; SS : sinus sphénoïdal ; D : dure-mère.
  • 50.
    LES FISTULES CAROTIDO CAVERNEUSES Lesfistules carotido caverneuses correspondent a des communications anormales entre le système carotidien et le sinus caverneux. Un tableau aigu post-traumatique oriente rapidement le clinicien vers le diagnostic de fistule carotido caverneuse DIRECTEDIRECTE. Tableau est rapidement progressif, associe donc classiquement : -une exophtalmie pulsatile, -avec un œdème palpébral, -la perception d’un souffle par le patient, parfois objective au stéthoscope sur la paupière fermée, -l’artérialisation des vaisseaux conjonctivaux qui prennent un aspect en « tire-bouchon », -un chémosis ainsi qu’une paralysie oculomotrice -les céphalées, -les douleurs retro-orbitaires , -les ophtalmoplégies , -les baisses d’acuité visuelle.
  • 51.
    SCANNER ET IRMAVEC INJECTION DE PRODUIT DESCANNER ET IRM AVEC INJECTION DE PRODUIT DE CONTRASTE:CONTRASTE: -élargissement du sinus caverneux -de la veine ophtalmique supérieure -infiltration des muscles oculomoteurs des tissus orbitaires L’ULTRASONOGRAPHIE COUPLÉE AU DOPPLERL’ULTRASONOGRAPHIE COUPLÉE AU DOPPLER ORBITAIRE:ORBITAIRE: - la dilatation des veines ophtalmiques -élargissement des muscles oculomoteurs LE SIGNE DIRECT EST LA VISUALISATION DE LALE SIGNE DIRECT EST LA VISUALISATION DE LA FISTULE CAROTIDO CAVERNEUSE:FISTULE CAROTIDO CAVERNEUSE: -sur une angio-IRM en 3DTOF ou dynamique, technique non invasive, -ou bien sur une angiographie qui reste le « gold standard » bien qu’elle présente des risques de complications neurologiques parfois létales.
  • 52.
    TRAITEMENT: Le but dutraitement est d’obturer la communication entre la carotide et le sinus caverneux tout en maintenant une bonne fonction carotidienne. Ont été proposés: -la chirurgie, -La radiothérapie conventionnelle - Radiothérapie stéréotaxique, -la compression de l’ACI par la main controlatérale du patient, - le sacrifice de l’ACI homolatérale. -L’embolisation transartérielle par ballonnet largableballonnet largable est le traitement de choix des fistules directes et donne de bons résultats.
  • 53.
    COMPLICATIONS MAJEURES :6% des cas. avc, cecite, ophtalmoplegie, necrose tissus mous, paralysie faciale, allergie et choc anaphylactique (produit de contraste). COMPLICATIONS MINEURES : 21% des cas Douleurs faciales, Douleurs osseuses, céphalées, Paresthésies – anesthésie, trismus Douleurs et hématome inguinal.
  • 54.
  • 57.
  • 61.
    MALADIE DE RENDUOSLER CRITERES DIAGNOSTICS: CRITERIA: 1- Spontaneous, recurrent epistaxis. Nocturnal nosebleeds heighten concern for HHT. 2- Mucocutaneous telangiectases, especially on lips,tongue, oral cavity, fingers and nose. 3- Internal AVM(s) (pulmonary, cerebral, hepatic,gastrointestinal, spinal). 4- First-degree relative with HHT according to these criteria. HHT diagnosis: Definite: 3 or more criteria present Possible: 2 criteria present Unlikely: < 2 criteria present
  • 63.
    MALADIE DE RENDUOSLER MOYENS THERAPEUTIQUES: •Cryothérapie. •Dermoplastie de SAUNDERS ou les lambeaux locaux. •La Pléiscuriethérapie endonasale (Iridium 192). •Œstrogènes et Progestérone par voie orale ou locale. •Lasers YAG Nd, KTP, ARGON, CO2. •Injection de colle de fibrine (TISSUCOL) ou d’ETHIBLOC. •Techniques d’Obturation des cavités nasales au niveau de l’orifice narinaire permettant d’obtenir un arrêt des saignements chez des patients ayant des épistaxis incontrôlées (technique de YOUNG). •Nasal obtrurator •Anticorps monoclonal anti- VEGF : plusieurs études font état de résultats satisfaisants sur la fréquence et l’importance des saignements et la normalisation du taux d’hémoglobine chez des patients porteurs de maladie de Rendu Osler traités par le bevacuzimab (5mg/kg chaque 15 jours pendant 3 mois).
  • 64.
  • 65.
    RÉANIMATION MÉDICALE OUCHIRURGICALE : mauvaise tolérance malgré prise en charge initiale. URGENCES ORL SPÉCIALISÉES : Tout patient ayant nécessité un méchage postérieur avec sonde double ballonnet. La chirurgie d'hémostase et l'embolisation seront indiquée pour : • toute épistaxis postérieure non contrôlée ou récidivante dans les 72 heures • toute épistaxis massive supérieure à 1,5 litre • toute épistaxis persistante avec un taux d'hémoglobine inférieur à 8 g/l SORTIE : Toute épistaxis bénigne sans signe de gravité clinique tarie. L'ordonnance de sortie comportera des mèches hémostatiques (Coalgan®) +/- pommade hémostatique locale type pommade HEC®) pour une mise en place par le patient en cas de récidive. En cas de méchage antérieur, la sortie se fait sous antibiotique (Amoxicilline 2g/24h) et avec nécessité de consulter un ORL dans les 48h (ABLATION MECHAGE). PRÉVOIR DANS TOUS LES CAS UNE CONSULTATION ORL POUR COMPLÉTER BILAN. FICHE DE CONDUITE PRATIQUEFICHE DE CONDUITE PRATIQUE
  • 66.
    CAS N°1: Femme 75ans consulte aux urgences pour épistaxis droite. Début remonte à 6 semaines: saignement modéré mais répété, rhinorrhée et céphalées. Elle prend des anticoagulants en raison d’une cardiopathie. Examen endoscopique: muqueuse aspect normal, tache vasculaire normale. Masse lisse comblant complètement la fosse nasale droite et le nasopharynx avec quelques fines veinules en surface.la palpation du cou ne retrouve pas d’adénopathies cervicales.
  • 68.
    Adénome à prolactinede la glande hypophysaire. L’épistaxis est rarement révélatrice d’un adénome hypophysaire. Il s’agit surtout de manifestations d’une hyperprolactinémie: galactorrhée et hypogonadisme. Selon l’extension de la tumeur on obtient une symptomatologie supra sellaire: céphalées et troubles visuels par compression du chiasma optique. TRAITEMENT: -bromocryptine -chirurgie selle turcique par voie endoscopique
  • 69.
    CAS N°2 Adulte âgéde 34 ans victime d’un accident de la voie publique avec un impact au niveau de la face. Pris en charge en chirurgie plastique avec ostéosynthèse de fractures multiples: mandibule et maxillaire supérieur. 15 jours après apparition d’une tuméfaction pulsatile de la face et de la région parotidienne droite, un trismus douloureux.
  • 71.
    ETIOLOGIES:ETIOLOGIES: Anévrysme de l’artèremaxillaire interne se voit après: Traumatisme avec fractures de la face Ostéotomies mandibulaires Ponction- Aspiration nasale sinusienne Infections SIGNES CLINIQUES:SIGNES CLINIQUES: Œdème pulsatile parotidien. Paralysie faciale. Douleurs faciales. Épistaxis. Hémorragie buccale. DIAGNOSTIC:DIAGNOSTIC: SCANNER IRM et ANGIO IRM ARTERIOGRAPHIE. TRAITEMENT:TRAITEMENT: ENDOVASCULAIRE: COILS. CHIRURGIE: MOBDITE +++
  • 72.
    Homme âgé de55 ans: remplacement valvulaire: valve aortique (valve mécanique) HTA Hypercholestérolémie Traitement: Sintron 1cp/j , triatec 1cp/j et taor 1cp/j. PATIENT HOSPITALISE POUR EPISTAXIS AUX URGENCES. A SON ARRIVEE: TA: 9/7 Pouls à 110 batt/min Marbrures au niveau des membres inférieurs Patient très angoissé Épistaxis bilatérale prédomine à gauche Que faites vous en urgence? CAS N°3
  • 73.
    GESTE: Méchage antérieur BILAN: NFS TP, TCA,PLAQUETTES IONOGRAMME ECG, TELETHORAX CONDUITE THERAPEUTIQUE: Voie veineuse centrale Perfusion macromolécules Anxiolytiques en IV Antibiothérapie en IV ARRET ANTIVITAMINES K ET RELAI AVEC HEPARINE IV AU POUSSE SERRINGUE TCA (2 A 2,5 x témoin)
  • 74.
    Taux Hémoglobine à8g/l. Le contrôle de la cavité buccale montre un saignement postérieur. QUE FAITES VOUS?
  • 75.
    MECHAGE POSTERIEUR ETANTERIEUR. SONDE A DOUBLE BALLONNET. ANTALGIQUES IV. LE PATIENT EST HOSPITALISE EN ORL QUELLE EST LA CONDUITE A TENIR ?
  • 76.
    AU BOUT DE24 H DEGONFLER LE BALLONNETS QUELQUES MINUTES PLUSIEURS FOIS. AU BOUT DE 48 H DEGONFLER DEFINITIVEMENT LE BALLONNET. AU BOUT DE 72 H DEMECHAGE TOTAL AU BLOC. PAS DE SAIGNEMENT STOP RELAIS PAR ANTIVITAMINES K REPRISE DU SAIGNEMENT ACTIF: LIGATURE ARTERE SPHENO PALATINE SOUS ENDOSCOPIE EMBOLISATION
  • 77.
  • 78.
    DEFINITIONS: QUANTITATIFQUANTITATIF •Normosmie (odorat normal) •Hyposmie(diminution des performances olfactives) •Anosmie (perte totale des performances olfactives) •Hyperosmie (performances olfactives supérieures à la norme –rare !) •Anosmie spécifique (p.e. androsténone, acide isovalérique) QUALITATIFQUALITATIF •Parosmie, Troposmia (perceptions erronées d’une odeur en présence d’une source odorante) •Phantosmies (hallucination olfactive) •Cacosmie (mauvaise odeur avec substrat, foyer infectieux)
  • 79.
    CONSEQUENCES DES TROUBLESDE L’ODORAT:CONSEQUENCES DES TROUBLES DE L’ODORAT: •Manque d’un système d’alarme –Nourriture périmée –Fumée, feu, gaz non détectés –Env. 40 % des patients ont déjà eu un accident ! Santos, Arch Otolaryngol Head Neck Surg 2004. •Insécurité (pas de contrôle des odeurs corporelles). •Diminution de la qualité de vie : –Plaisir ↓de s’alimenter –Pas d’odeurs agréables (printemps) •Dépression
  • 81.
    TESTS PSYCHOPHYSIQUES. SNIFFIN’S STICKS UPSITTEST T OLFACTOMETRE BIOALFA CCCRC (CONNECTICUT CHEMOSENSORY CLINICAL RESEARCH CENTER) SOIT SCANDINAVIAN ODOR IDENTIFICATION TEST SMELL DISKETTES (TEST DE ZURICH) SCREENING: Dépistage à l’aide d’un petit nombred’odeurs en forte concentration SEUIL OLFACTIF n-butanol(odeur de feutre à écrire), phényléthanol (odeur de rose) Mode de présentation :petites bouteilles, feutres odorants numérotés (de la plus haute Concentration jusqu’à la plus faible dilution). C’est la mesure la plus fine de la fonction olfactive périphérique. IDENTIFICATION OLFACTIVE Présentation d’un grand nombre d’odeurs en forte concentration,qui doivent être reconnues parmi un choix multiple. utiliser des odeurs familières. DISCRIMINATION OLFACTIVE Présentation d’odeurs en forte concentration. Le sujet doit reconnaître une odeur qui se distingue des autres odeurs présentes
  • 84.
    TESTS ELECTROPHYSIOLOGIQUES ELECTRO OLFACOGRAMME- EOG POTENIELS EVOQUES OLFACTIFS -PEO
  • 85.
  • 91.
    ETAPE ATTEINTE TRANSPORT DESMOLECULES ODORANTES VERS LA FENTE OLFACTIVE POLYPOSE OBSTRUCTIVE INFLAMATION OBSTRUCTIVE BILATERALE DES FENTES OLFACTIVES DIFUSION DES MOLECULES ODORANTES DANS LE MUCUS OLFACTIF PATHOLOGIE QUANTITATIVE ET QUALITATIVE DU MUCUS. PROCESSUS INFLAMMATOIRE LOCAL ACTIVATION DES NEURONES RECEPTEURS PERTE NEUROSENSORIELLE AU SEIN DE L’EPITHELIUM SENSORIEL (ATTAQUE VIRALE ,NEUROTOXIQUES ,TRAUMA CRANIEN) TRANSMISSION DE L’INFORMATION AUX BULBES OLFACTIFS TRAUMA CRANIEN SECTION DES AXONES (FRACTURE DE LA LAME CRIBLEE). ATTAQUE VIRALE TRAITEMENT DE L’INFORMATION PAR LE BULBE OLFACTIF ABSENCE CONGENITALE DE BULBES OLFACTIFS TRAUMA CRANIEN LESION DU BULBE OLFACTIF MALADIE NEURODEGENERATIVE ATTAQUE VIRALE TRANSMISSION DE L’INFORMATION AUX DIFFERENTS CENTRES DU SNC TRAUMA CRANIEN LESIONS DU TRACTUS OLFACTIF LESIONS DU CORTEX PIRIFORME LESION DU CORTEX ORBITO FRONTAL MALADIE NEURO DEGENERATIVE ANALYSE DE L’INFORMATION INTERPRETATION ET PRISE DE DECISION ATTEINTE COGNITIVE
  • 92.
    ETIOLOGIES DEEMS ETAL BONFILS ET AL POST- RHINITIQUE 192 (26%) 54(18%) IDIOPATHIQUE 167 (22%) 31 (10%) TRAUMATISME CRANIEN 132 (18%) 6 (2%) NASO- SINUSIENNE 109 (15%) 205 ( 67%) CONGENITALE 29(4%) 4 (1%) TOXIQUE 18 (2%) 2 (1%) NEURO PSYCHIATRIQUE 4 (1%) 3 (1%) TUMEUR CEREBRALE 2 (1%) 1 (1%) GENERALE TOTAL 653 306
  • 93.
    ANOSMIE ET TRAUMATISMESCRANIENS : MECANISMESANOSMIE ET TRAUMATISMES CRANIENS : MECANISMES
  • 94.
    TTRAITEMENT:RAITEMENT: •En fonction del’origine: Postvirale / Posttraumatique : Récupération spontanée. Rhinosinusien : Corticoïdes systémiques, topiques; Chirurgie. Toxique / Médicamenteux : Arrêt des médicaments / exposition toxique Congénital : nihil, Informations. •Autres : souvent pris en charge par les spécialités correspondantes (Neurologie, Psychiatrie, Médecine interne). •Médicaments en phase d’essai: Caroverine, Vitamine B, Acide alpha-lipoïque, Zinc.
  • 95.