Sous-titre:

“Le bon sens paysan appliqué au
paludisme”
Les Plasmodium sont des
          Protozoaires parasites
Les Plasmodium sont des
Protozoaires parasites
4 espèces de Plasmodium
            chez l’Homme
•   Plasmodium falciparum
•   P. vivax
•   P. ovale
•   P. malariae

Pourquoi est-il important de savoir les
 reconnaitre ?
Les bandelettes sont-elles vraiment
utiles ?

• surtout P. falciparum-spécifiques
• non quantitatives
• restent positives jusqu’à 3 semaines
après traitement
• en général plus chères et information
moins utile que la microscopie
Le cycle des Plasmodium:
  • reproduction sexuée chez l’hôte définitif, le
   moustique vecteur
  • reproduction asexuée chez l’hôte intermédiaire,
  l’Homme

Caractéristiques du cycle:
       • haploide, sauf pour l’ookinète
       • division par schizogonie
       • fléxibilité dans les choix
       • spécificité des cellules hôtes
       • énorme polymorphisme
Division par schizogonie
Il y a, comme toujours, un prix à payer
pour une vie sexuelle:

• dans la plupart des moustiques, le
développement about it aux “corps
noirs” (oocystes dont la maturation est
anormale)….cible logique de la
recherche pour un moustique
transgénique

• même chez les moustiques
susceptibles, seuls quelques ookinètes
se developpent en oocystes, seuls
quelques sporozoites aboutissent aux
glandes salivaires
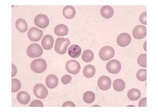
Les stades extra-cellulaires
infectants:


        • sporozoite
        • merozoite
        • ookinete
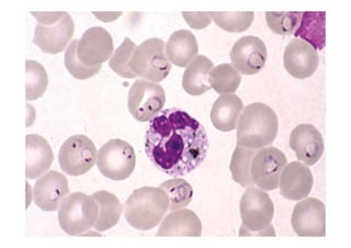
La susceptibilité des globules rouges :

•   groupe Duffy/ P. vivax
•   glycophorins/ P. falciparum
•   reticulocytes/ P. vivax et P. ovale
•   ovalocytose/ toutes espèces
•   drépanocytose/ P. falciparum
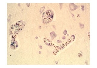
Molécules à la surface du globule infecté:
• responsable de la cytoadhérence, donc de la
séquestration, cause importante de la
physiopathologie du neuropaludisme

• responsable de la variation antigénique
La variation antigénique permet à une infection
                              chronique de se maintenir malgré la réponse
                              immune

                      5
                    4.5
Log10 Parasis/ µl




                      4
                    3.5
                      3
                    2.5
                      2
                    1.5
                      1
                    0.5
                      0
                          0   10        20       30        40        50         60
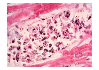
Le pigment palustre, normalement situé à l’intérieur
de la vacuole digestive du Plasmodium est un site
majeur d’action médicamenteuse (par exemple
de la chloroquine).

Une meilleure connaissance du métabolisme de
l’hémoglobine permettra très probablement d’identifier
de nouvelles têtes de série de médicaments
Biologie des Plasmodium
Biologie des Plasmodium

Biologie des Plasmodium

  • 2.
    Sous-titre: “Le bon senspaysan appliqué au paludisme”
  • 3.
    Les Plasmodium sontdes Protozoaires parasites Les Plasmodium sont des Protozoaires parasites
  • 6.
    4 espèces dePlasmodium chez l’Homme • Plasmodium falciparum • P. vivax • P. ovale • P. malariae Pourquoi est-il important de savoir les reconnaitre ?
  • 13.
    Les bandelettes sont-ellesvraiment utiles ? • surtout P. falciparum-spécifiques • non quantitatives • restent positives jusqu’à 3 semaines après traitement • en général plus chères et information moins utile que la microscopie
  • 14.
    Le cycle desPlasmodium: • reproduction sexuée chez l’hôte définitif, le moustique vecteur • reproduction asexuée chez l’hôte intermédiaire, l’Homme Caractéristiques du cycle: • haploide, sauf pour l’ookinète • division par schizogonie • fléxibilité dans les choix • spécificité des cellules hôtes • énorme polymorphisme
  • 16.
  • 20.
    Il y a,comme toujours, un prix à payer pour une vie sexuelle: • dans la plupart des moustiques, le développement about it aux “corps noirs” (oocystes dont la maturation est anormale)….cible logique de la recherche pour un moustique transgénique • même chez les moustiques susceptibles, seuls quelques ookinètes se developpent en oocystes, seuls quelques sporozoites aboutissent aux glandes salivaires
  • 25.
    Les stades extra-cellulaires infectants: • sporozoite • merozoite • ookinete
  • 32.
    La susceptibilité desglobules rouges : • groupe Duffy/ P. vivax • glycophorins/ P. falciparum • reticulocytes/ P. vivax et P. ovale • ovalocytose/ toutes espèces • drépanocytose/ P. falciparum
  • 35.
    Molécules à lasurface du globule infecté: • responsable de la cytoadhérence, donc de la séquestration, cause importante de la physiopathologie du neuropaludisme • responsable de la variation antigénique
  • 39.
    La variation antigéniquepermet à une infection chronique de se maintenir malgré la réponse immune 5 4.5 Log10 Parasis/ µl 4 3.5 3 2.5 2 1.5 1 0.5 0 0 10 20 30 40 50 60
  • 41.
    Le pigment palustre,normalement situé à l’intérieur de la vacuole digestive du Plasmodium est un site majeur d’action médicamenteuse (par exemple de la chloroquine). Une meilleure connaissance du métabolisme de l’hémoglobine permettra très probablement d’identifier de nouvelles têtes de série de médicaments