Hirsutisme et Fertilité Pr Patrice Rodien  FMC 14 12 2010 CHU Angers
Melle M 19 ans Vient pour hirsutisme Pilosité très importante  lèvre sup ++ Région prétragiène +++, menton +++, cou région sous mentonnière +++ Périmammelonaire Ligne blanche sus et sous ombilicale Cuisses+++ Lombes, fesses Jambes (2 fois/semaine)
Hirsutisme
Melle M, 19 ans N’a jamais eu de prise en charge Jambes rasage 2fois /sem Gène sociale; +++ Cycles irréguliers (8 à 10 fois/an) Pas d’acnée, pas d’hyperséborrhée 76Kgs/1m70: IMC à 26 TA: 12/7 Thyroïde normale
Melle M, 19 ans Une sœur un peu plus jeune, hirsutisme moins sévère Une cousine du coté paternel avec un pb enzymatique Pas d’autre ATCD notable Réglée à 11 ans, hirsutisme apparu à la puberté, non évolutif actuellement Bilan
Melle M, 19 ans, biologie Bilan à la volée: DDR il y a 1 mois;  Testo: 0,56 µg/l (<0,7) SDHA: 3mg/l (< 4,2) 17 OH Pg: 1,3 µg/l (<1,1 Phase foll, <3 Phase lutéale)
Melle M, 19 ans; biologie Bilan après Duphaston 2cps /j pdt 10j; J1 du cycle  Testo 0,7 µg/l E2: 40 ng/l SDHA: 2,6mg/l FSH: 2,3, LH 11,8 UI/l
 
 
Melle M, 19 ans SOPK?
Le SOPK Les critères de Rotterdam Eliminer une autre cause A/Oligo/Spanioménorrhée ou cycles longs Hyperandrogénie clinique ou bio Ovaires polykystiques en échographie 2 sur 3 critères
Le SOPK De 15 à 30 % de femmes avec cycles normaux De 22 à 80 % ont une testostérone élevée De 33 à 92 % ont un aspect échographique de SOPK
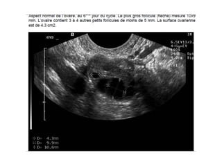
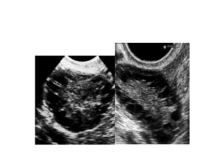
Le SOPK: Diagnostic Pas besoin de test dynamique/  Mesure de FSH, E2 (rech d’hypogonadisme hypogonadotrope devant spanio/aménorrhée), PRL? Testostérone Echo: nombre de follicules >12/ovaire, augmentation de volume  des ovaires(>10ml) Attention: première partie de cycle, opérateur dépendant.  Nouveau marqueur? AMH
Le SOPK Recherche d’anomalies métaboliques Poids/taille/IMC Tour de taille Pression artérielle Acanthosis nigricans Glycémie (HGPO si IMC > 30kg/m 2  ?) TG, HDL cholestérol Et FDR: sédentarité, tabac, …
Melle M, 19 ans Glycémie à J: 0,95g/l CT: 1,34g/l HDL 0,27g/l LDL: 0,94 g/l TG 0,53 g/l
Melle M, 19 ans Une sœur un peu plus jeune, hirsutisme moins sévère Une cousine du coté paternel avec un pb enzymatique Pas d’autre ATCD notable Réglée à 11 ans, hirsutisme apparu à la puberté, non évolutif actuellement Bilan
Le bloc en 21 hydroxylase Forme classique:  1/15000 naissance Dépistage en période néonatale Virilisation des petites filles, risque d’insuffisance surrénale (perte de sel ds les 2 sexes) Forme non classique : 1/1000 à 1/2000 Apparition après la puberté, hirsutisme, infertilité
 
Le bloc en 21 Hydroxylase Maladie autosomique récessive Hétérozygotes 1/40 à 1/50 dans la population générale Une forme non classique peut avoir une mutation sévère et une mutation modérée Risque pour la descendance Génotypage  et  dépistage  du conjoint et des  apparentés  si présence d’une mutation sévère.
Cholestérol Pregnenolone  Progestérone  11DOC  18OH DOC  Aldo (Pgn)  Pg 17OH  Pgn  17OH Pg  11désoxycortisol  Cortisol Déhydroépiandrostérone  Delta4 Androstènedione Testostérone Estradiol Bloc 21 : IS + hyperandrogénie Bloc 11: HTA + hyperandrogénie Bloc 17: Ambiguité/impubérisme + HTA Bloc 3   ol: IS + ambiguité
Cholestérol Pregnenolone  Progestérone  11DOC  18OH DOC  Aldo (Pgn)  Pg 17OH  Pgn  17OH Pg  11désoxycortisol  Cortisol Déhydroépiandrostérone  Delta4 Androstènedione Testostérone Estradiol Bloc 21 : IS + hyperandrogénie 21 désoxycortisol X X X X X
Melle M, 19 ans Test Synacthène Cortisol 150 à 280 µg/l 17 OH PG 2,26 à 4, 76 µg/l 21 désoxy cortisol 813 pmole/l pic à 2043 pmol/l en faveur d’une hétérozygotie pour le bloc en 21 hydroxylase.
Melle M, 19 ans, la génétique
Melle M, 19 ans SOPK Hétérozygotie 21 hydroxylase forme modérée pas de risque pour la descendance
Le bloc en 21 OH: et si elle avait eu une mutation sévère? Dépistage du conjoint: Porteur d’une mutation sévère Diagnostic précoce de sexe fœtal (détection de SRY ds le sang maternel vers 5-6 SA) si sexe masculin: stop, DPN? Risque néonatal Si sexe féminin: traitement de la mère par dectancyl: freiner l’ACTH fœtal et l’hyperandrogénie fœtale,  Biopsie villosités; non atteinte: stop,  Atteinte: TTT jusqu’à l’accouchement et après.
Risque d’insuffisance surrénale? Quasi nulle, mais sécurité Hypofertilité: ttt par Hydrocortisone Même si le conjoint a une mutation sévère: pas de risque, donc pas de dépistage Le bloc en 21 OH: et si elle avait une forme non classique, mutations modérées
Le bloc en 21 Hydroxylase Quand le suspecter ? 17 OH Pg > 2µg/l (90 à 98 % de sensibilité) 17 OH Pg sous synacthène <10: improbable.
Le SOPK: TTT De l’hirsutisme?  De l’infertilité? Tjrs les mesures hygiénodiététiques
SOPK: hirsutisme TTT cosmétiques: épilation à la cire ou laser Éviter rasage, crèmes dépilatoires Pilule OP: amélioration acnée, modeste Diane 35 (2mg d’acétate de cyprotérone+ éthynil estradiol): OK pour l’acnée, séborrhée Androcur/+ 17 beta estradiol (1 ou 2mg) 20j/mois
TTT par Androcur= 50 mg Contraceptif à 1cp/j 20j/mois au-delà du premier mois Pas de contraception associée Tératogénicité potentielle: progestatif puissant, antiandrogène Efficace sur acnée séborrhée en 3 mois, hirsutisme > 6 mois, ralentissement de la repousse
Androcur Utilisé en association à estrogène Car insuffisance gonadotrope iatrogène= carence estrogénique (os, risque CV, libido, …) Poids: amplification des phénotypes (fringales)  Spotting ou aménorrhée Peut-être utilisé en cas de thrombophilie, tr métabolique……..Attention à l’estrogène associé
http://www.masef.com/scores/hirsutismescoreferriman.htm
SOPK et fertilité
SOPK: ttt de l’infertilité Règles hygiénodiététiques Citrate de clomiphène en première intention Gonadotrophines+/- FIV si échec La metformine Intérêt sur les paramètres métaboliques Amélioration lente des cycles (1500mg/j) Efficacité sur la fertilité? (taux de FC?)
Mme P, 30 ans Hypertrichose familiale (AV bras, lèvre sup) Majoration pilosité: ligne blanche abdo sus et sous ombilicale,  Membres inf Bras Périaréolaire. Visage; région prétraggiene, menton, lèvre sup +++
Mme P, 30 ans Cycles irréguliers Prise de poids (tronc) Irritabilité, tendance dépressive Crampes HTA
Mme P: biologie NFS: N Glycémie: 1,16g /l Na: 140 mmol/l, K: 3, 3 mmole/l Testostérone : 0, 5 µg/l (0,1-0,7) Estradiol 30 ng/l (début de cycle), FSH 5,5 UI/l SDHEA 4,9 mg/l (0,56-4,2 mg/l
Mme P,  Cycle cortisol  158 µg/l  8h 216  12h 204  16h 217  20h CLU 120 µg/24h (<70) Freinage mn: cortisol plasmatique à 70 µg/l Cycle ACTH 54 ng/l 74 30 25
 
 
Hyperandrogénie: quel Bilan minimal? Clinique: hypertrichose/hirsutisme/virilisation Testostérone E2 FSH SDHA 17 OH Pg
Valeurs seuils des androgènes Testostérone> 1 µg/l suspicion de tumeur SDHA > 6 mg/l suspicion de T surrénalienne SDHA modérément élevé: Tumeur surrénalienne, SOPK sévère (hyperthécose), Maladie de Cushing
Testostérone < ou > 1µg/l (ou 2 si dosage direct)
Testostérone; fiabilité du dosage 0.8  1.4  3  3.6  6.9  8.8  µg/L
Dispersion des valeurs mesurées de testostérone

Hirsutisme pr 14 12 10

  • 1.
    Hirsutisme et FertilitéPr Patrice Rodien FMC 14 12 2010 CHU Angers
  • 2.
    Melle M 19ans Vient pour hirsutisme Pilosité très importante lèvre sup ++ Région prétragiène +++, menton +++, cou région sous mentonnière +++ Périmammelonaire Ligne blanche sus et sous ombilicale Cuisses+++ Lombes, fesses Jambes (2 fois/semaine)
  • 3.
  • 4.
    Melle M, 19ans N’a jamais eu de prise en charge Jambes rasage 2fois /sem Gène sociale; +++ Cycles irréguliers (8 à 10 fois/an) Pas d’acnée, pas d’hyperséborrhée 76Kgs/1m70: IMC à 26 TA: 12/7 Thyroïde normale
  • 5.
    Melle M, 19ans Une sœur un peu plus jeune, hirsutisme moins sévère Une cousine du coté paternel avec un pb enzymatique Pas d’autre ATCD notable Réglée à 11 ans, hirsutisme apparu à la puberté, non évolutif actuellement Bilan
  • 6.
    Melle M, 19ans, biologie Bilan à la volée: DDR il y a 1 mois; Testo: 0,56 µg/l (<0,7) SDHA: 3mg/l (< 4,2) 17 OH Pg: 1,3 µg/l (<1,1 Phase foll, <3 Phase lutéale)
  • 7.
    Melle M, 19ans; biologie Bilan après Duphaston 2cps /j pdt 10j; J1 du cycle Testo 0,7 µg/l E2: 40 ng/l SDHA: 2,6mg/l FSH: 2,3, LH 11,8 UI/l
  • 8.
  • 9.
  • 10.
    Melle M, 19ans SOPK?
  • 11.
    Le SOPK Lescritères de Rotterdam Eliminer une autre cause A/Oligo/Spanioménorrhée ou cycles longs Hyperandrogénie clinique ou bio Ovaires polykystiques en échographie 2 sur 3 critères
  • 12.
    Le SOPK De15 à 30 % de femmes avec cycles normaux De 22 à 80 % ont une testostérone élevée De 33 à 92 % ont un aspect échographique de SOPK
  • 13.
    Le SOPK: DiagnosticPas besoin de test dynamique/ Mesure de FSH, E2 (rech d’hypogonadisme hypogonadotrope devant spanio/aménorrhée), PRL? Testostérone Echo: nombre de follicules >12/ovaire, augmentation de volume des ovaires(>10ml) Attention: première partie de cycle, opérateur dépendant. Nouveau marqueur? AMH
  • 14.
    Le SOPK Recherched’anomalies métaboliques Poids/taille/IMC Tour de taille Pression artérielle Acanthosis nigricans Glycémie (HGPO si IMC > 30kg/m 2 ?) TG, HDL cholestérol Et FDR: sédentarité, tabac, …
  • 15.
    Melle M, 19ans Glycémie à J: 0,95g/l CT: 1,34g/l HDL 0,27g/l LDL: 0,94 g/l TG 0,53 g/l
  • 16.
    Melle M, 19ans Une sœur un peu plus jeune, hirsutisme moins sévère Une cousine du coté paternel avec un pb enzymatique Pas d’autre ATCD notable Réglée à 11 ans, hirsutisme apparu à la puberté, non évolutif actuellement Bilan
  • 17.
    Le bloc en21 hydroxylase Forme classique: 1/15000 naissance Dépistage en période néonatale Virilisation des petites filles, risque d’insuffisance surrénale (perte de sel ds les 2 sexes) Forme non classique : 1/1000 à 1/2000 Apparition après la puberté, hirsutisme, infertilité
  • 18.
  • 19.
    Le bloc en21 Hydroxylase Maladie autosomique récessive Hétérozygotes 1/40 à 1/50 dans la population générale Une forme non classique peut avoir une mutation sévère et une mutation modérée Risque pour la descendance Génotypage et dépistage du conjoint et des apparentés si présence d’une mutation sévère.
  • 20.
    Cholestérol Pregnenolone Progestérone 11DOC 18OH DOC Aldo (Pgn) Pg 17OH Pgn 17OH Pg 11désoxycortisol Cortisol Déhydroépiandrostérone Delta4 Androstènedione Testostérone Estradiol Bloc 21 : IS + hyperandrogénie Bloc 11: HTA + hyperandrogénie Bloc 17: Ambiguité/impubérisme + HTA Bloc 3  ol: IS + ambiguité
  • 21.
    Cholestérol Pregnenolone Progestérone 11DOC 18OH DOC Aldo (Pgn) Pg 17OH Pgn 17OH Pg 11désoxycortisol Cortisol Déhydroépiandrostérone Delta4 Androstènedione Testostérone Estradiol Bloc 21 : IS + hyperandrogénie 21 désoxycortisol X X X X X
  • 22.
    Melle M, 19ans Test Synacthène Cortisol 150 à 280 µg/l 17 OH PG 2,26 à 4, 76 µg/l 21 désoxy cortisol 813 pmole/l pic à 2043 pmol/l en faveur d’une hétérozygotie pour le bloc en 21 hydroxylase.
  • 23.
    Melle M, 19ans, la génétique
  • 24.
    Melle M, 19ans SOPK Hétérozygotie 21 hydroxylase forme modérée pas de risque pour la descendance
  • 25.
    Le bloc en21 OH: et si elle avait eu une mutation sévère? Dépistage du conjoint: Porteur d’une mutation sévère Diagnostic précoce de sexe fœtal (détection de SRY ds le sang maternel vers 5-6 SA) si sexe masculin: stop, DPN? Risque néonatal Si sexe féminin: traitement de la mère par dectancyl: freiner l’ACTH fœtal et l’hyperandrogénie fœtale, Biopsie villosités; non atteinte: stop, Atteinte: TTT jusqu’à l’accouchement et après.
  • 26.
    Risque d’insuffisance surrénale?Quasi nulle, mais sécurité Hypofertilité: ttt par Hydrocortisone Même si le conjoint a une mutation sévère: pas de risque, donc pas de dépistage Le bloc en 21 OH: et si elle avait une forme non classique, mutations modérées
  • 27.
    Le bloc en21 Hydroxylase Quand le suspecter ? 17 OH Pg > 2µg/l (90 à 98 % de sensibilité) 17 OH Pg sous synacthène <10: improbable.
  • 28.
    Le SOPK: TTTDe l’hirsutisme? De l’infertilité? Tjrs les mesures hygiénodiététiques
  • 29.
    SOPK: hirsutisme TTTcosmétiques: épilation à la cire ou laser Éviter rasage, crèmes dépilatoires Pilule OP: amélioration acnée, modeste Diane 35 (2mg d’acétate de cyprotérone+ éthynil estradiol): OK pour l’acnée, séborrhée Androcur/+ 17 beta estradiol (1 ou 2mg) 20j/mois
  • 30.
    TTT par Androcur=50 mg Contraceptif à 1cp/j 20j/mois au-delà du premier mois Pas de contraception associée Tératogénicité potentielle: progestatif puissant, antiandrogène Efficace sur acnée séborrhée en 3 mois, hirsutisme > 6 mois, ralentissement de la repousse
  • 31.
    Androcur Utilisé enassociation à estrogène Car insuffisance gonadotrope iatrogène= carence estrogénique (os, risque CV, libido, …) Poids: amplification des phénotypes (fringales) Spotting ou aménorrhée Peut-être utilisé en cas de thrombophilie, tr métabolique……..Attention à l’estrogène associé
  • 32.
  • 33.
  • 34.
    SOPK: ttt del’infertilité Règles hygiénodiététiques Citrate de clomiphène en première intention Gonadotrophines+/- FIV si échec La metformine Intérêt sur les paramètres métaboliques Amélioration lente des cycles (1500mg/j) Efficacité sur la fertilité? (taux de FC?)
  • 35.
    Mme P, 30ans Hypertrichose familiale (AV bras, lèvre sup) Majoration pilosité: ligne blanche abdo sus et sous ombilicale, Membres inf Bras Périaréolaire. Visage; région prétraggiene, menton, lèvre sup +++
  • 36.
    Mme P, 30ans Cycles irréguliers Prise de poids (tronc) Irritabilité, tendance dépressive Crampes HTA
  • 37.
    Mme P: biologieNFS: N Glycémie: 1,16g /l Na: 140 mmol/l, K: 3, 3 mmole/l Testostérone : 0, 5 µg/l (0,1-0,7) Estradiol 30 ng/l (début de cycle), FSH 5,5 UI/l SDHEA 4,9 mg/l (0,56-4,2 mg/l
  • 38.
    Mme P, Cycle cortisol 158 µg/l 8h 216 12h 204 16h 217 20h CLU 120 µg/24h (<70) Freinage mn: cortisol plasmatique à 70 µg/l Cycle ACTH 54 ng/l 74 30 25
  • 39.
  • 40.
  • 41.
    Hyperandrogénie: quel Bilanminimal? Clinique: hypertrichose/hirsutisme/virilisation Testostérone E2 FSH SDHA 17 OH Pg
  • 42.
    Valeurs seuils desandrogènes Testostérone> 1 µg/l suspicion de tumeur SDHA > 6 mg/l suspicion de T surrénalienne SDHA modérément élevé: Tumeur surrénalienne, SOPK sévère (hyperthécose), Maladie de Cushing
  • 43.
    Testostérone < ou> 1µg/l (ou 2 si dosage direct)
  • 44.
    Testostérone; fiabilité dudosage 0.8 1.4 3 3.6 6.9 8.8 µg/L
  • 45.
    Dispersion des valeursmesurées de testostérone

Notes de l'éditeur

  • #46 À gauche: moyenne des valeurs trouvées = 1.85 nmole/l= 0.5micg/l alors que ref = 2.81= 0.8micg/l