SYNDROME D’EPANCHEMENT GAZEUX
  DE LA GRANDE CAVITE PLEURALE
         Dr  innocent kashongwe
         Clinique de Pneumologie,Chnu
         Fann,UCAD
         Dakar
PLAN

I. INTRODUCTION :
- DEFINITION
- INTERET
- RAPPEL ANATOMIQUE
- PHYSIOPATHOLOGIE
II. SEMIOLOGIE CLINIQUE
- SIGNES FONCTIONNELS
- SIGNES GENERAUX
- SIGNES PHYSIQUES
PLAN

III.SEMIOLOGIE
    RADIOLOGIQUE
- RX THORAX
- SCOPIE TELEVISEE
- TOMODENSITOMETRIE
    THORACIQUE
IV. VALEUR SEMIOLOGIQUE
V. CONCLUSION
Syndrome
d’épanchement
gazeux de la
grande cavité
pleurale
  Introduction
  1. definition
Introduction
   Syndrome                         1.definition
   d’épanchement
   gazeux de la
   grande cavité
• = un ensemble de signe qui traduisent la
   pleurale
  présence de gaz dans la grande cavité
  pleurale ,libre ou cloisonné ,en dehors de tout
  traumatisme ou manœuvre instrumentale


Est exclu de cette définition toute
origine traumatique
Syndrome
d’épanchement
gazeux de la
grande cavité
 •
pleurale
  Introduction
  2. INTERETS
Introduction
   Syndrome                        2. INTERET
   d’épanchement
   gazeux de la
   grande cavité
 fréquemment rencontré en pratique clinique
   pleurale
diagnostic clinique aisé, parfois de découverte
 radiologique
Plusieurs formes possibles
 Risque de récidive d’où patient à surveiller
Introduction
  Syndrome                          2. INTERET
  d’épanchement
  gazeux de la
  grande cavité
Les étiologies fréquentes et variée :
  pleurale
- TBC +++++ (dans notre contexte)
- PNO spontanée idiopathique est le plus
  fréquemment observé
Evolution vers une urgence médico
  chirurgicale possible avec pronostic vital
  engagé
Syndrome
  d’épanchement
• gazeux de la
  grande cavité
 Introduction
  pleurale

 3. anatomie de
 la plèvre
Introduction
Syndrome          3.anatomie de la
d’épanchement          plèvre
gazeux de la
grande cavité   séreuse
pleurale        deux feuillets :
                - le feuillet viscéral
                - le feuillet pariétal
                - Cavité virtuelle où
                  on trouve un mince
                  film liquidien
                  paucicellulaire.
Introduction
Syndrome                               3.anatomie de la
d’épanchement                               plèvre
gazeux de la
grande cavité
            Mbne                     • Chaque feuillet est
            fibroélastique
pleurale                               revêtu d'un
                                       mésothélium =
                                       épithélium
                                       pavimenteux simple




          Miserocchi Eur Resp 1997
Syndrome
  d’épanchement
• gazeux de la
  grande cavité
 Introduction
  pleurale

 4. physiologie
  de la plèvre
Introduction
 Syndrome                            4.physiologie de
 d’épanchement                           la plèvre
 gazeux de la
 grande cavité
1894 Loi de STARLING
«pleurale de soluté à travers une membrane
 les échanges
  semi-perméable dépendent de l’équilibre entre
  les pressions hydrostatiques et oncotiques de
  chaque coté de cette membrane »
Jv= kf[(P1–P2)–(∏1–∏2)]
Jv:flux de liquide entre le
compartiment 1et 2           ∏:pression oncotique
Kf:coefficient de filtration σ:coefficient de reflection pour
P:pression hydrostatique les protéines
Introduction
Syndrome                              4.physiologie de
d’épanchement                             la plèvre
gazeux de la
grande cavité
pleurale
Le liq intrapleural est produit et résorbé par la plèvre
  pariétal.(0,3ml/kg:N)

               :0,15ml/kg/h
 transsudat des vx sysmq de la plèvre pariétal  par
  l’interstitium  le mesothéliumespace pleural

Le tout est guidée par un équilibre entre:
 P.hydro., P.П, P.intrapleural
Loi de STARLING
Introduction
Syndrome        4.physiologie de
d’épanchement       la plèvre
gazeux de la
grande cavité
pleurale
Introduction
Syndrome        4.physiologie de
d’épanchement       la plèvre
gazeux de la
grande cavité
pleurale
Introduction
Syndrome                          4.physiologie de
d’épanchement                         la plèvre
gazeux de la
 La circ.systmq est
grande cavité systm à haute pression( a.systmq )
pleurale
 P.hydro élevé:46cmd’H2O >P.П:25cmd’H2O
  (artériolre)SORTIE DES LIQUIDES ds espace pleural
 P.hydro.=P. П (capillaire)  permet échange
 P.hydro<P. П (veinule) REABSORPTION DES
  LIQUIDES
Introduction
Syndrome                           4.physiologie de
d’épanchement                          la plèvre
gazeux de la
grande cavité
pleurale existe des pores (2–12um)=pores de
Sur f.pariétal
  Wang,
o muni des valves anti-reflux(f.p)vx lymphtq s/jacent
o Rôle: drainage de espace pleural(300cc/j)
o Présence des zones riches en macrophages,
  lymphocytes=MILKY SPOTS= formation
  KAMPMEIER=taches laiteusesROLE: intervenir ds
  l’épuration du matériel intrapleural(cellules,GR,
  particules minérales
o NB: plèvre viscéral ne comporte pas de pore
Syndrome                           Introduction
d’épanchement                    3.anatomie de la
gazeux de la                          plèvre
grande cavité
pleurale




   INSPI: ouverts   aspiration
   EXPI: fermé      extrusion
Syndrome
d’épanchement
gazeux de la
  Introduction
grande cavité
pleurale
       5.
physiopathologie
Syndrome                  Introduction
d’épanchement          5.physiopathologie
gazeux de la
grande cavité
pleuralenormal le poumon adhère à la paroi
En temps
thoracique grâce à la pression négative
intrapleurale(- 5 cm d’eau )liée aux forces de
rétraction élastique s’exerçant sur le poumon et
l’élasticité de la cage thoracique
Syndrome           Introduction
d’épanchement   5.physiopatologie
gazeux de la
grande cavité
pleurale
Syndrome            Introduction
d’épanchement    5.physiopathologie
gazeux de la
grande cavité
pleurale        • Une communication
                  entre les alvéoles et
                  la cavité pleurale
                • présence de
                  microorganismes
                  produisant des gaz
                  dans cette cavité.
Syndrome           Introduction
d’épanchement   5.physiopathologie
gazeux de la
grande cavité   Une communication
pleurale        entre les alvéoles et la
                cavité pleurale
                - Cela peutarriver sans
                qu’aucune cause ne soit
                decelée(idiopathique) ou
                secondairement lorsqu’une
                pathologie pulmonaire sous
                jacente est mis en évidence
Syndrome           Introduction
d’épanchement   5.physiopathologie
gazeux de la
grande cavité   Une communication
pleurale        entre les alvéoles et la
                cavité pleurale



                Différentes lésions du
                tissu pulmonaire peuvent
                être observées et être
                responsables d’une fuite
                alvéolaire :
Syndrome                             Introduction
 d’épanchement                   5.physiopathologie
 gazeux de la
lésions du tissu pulmonaire pouvant être
 grande cavité
responsables d’une fuite alvéolaire :
 pleurale

               kystes gazeux souspleuraux
              Mécanisme:
              -liés à la rupture de la paroi alvéolaire et
              de la limitante élastique interne de la
              plèvre viscérale par hyperpression
              entrainant issu de l’air à travers le tissu
              interstitiel puis se loger sous la plèvre
              viscéral
Syndrome                            Introduction
d’épanchement                    5.physiopathologie
gazeux de la
grande cavité   Mbne

pleurale        fibroélastique
Syndrome
 d’épanchement
 gazeux de la
lésions du tissu pulmonaire pouvant être
 grande cavité
responsables d’une fuite alvéolaire :
 pleurale
Syndrome                             Introduction
                                 5.physiopathologie
 d’épanchement
 gazeux de la
lésions du tissu pulmonaire pouvant être
 grande cavité
responsables d’une fuite alvéolaire :
 pleurale

                        Destruction localisée du
                        parenchyme pulmonaire
                        Localisé le plus svt à l’apex
                        Mécanisme:
                        Dégradation des fibres élastiques
                        sous l’effet du déséquilibre protéase-
                        antiprotéase et oxydant-antioxydant
                        dans lequel neutrophiles et
                        macrophages jouent un rôle
                        important
Syndrome                             Introduction
                                 5.physiopathologie
 d’épanchement
 gazeux de la
lésions du tissu pulmonaire pouvant être
 grande cavité
responsables d’une fuite alvéolaire :
 pleurale

 - dans la couche de cellules mésothéliales
   couvrant la plèvre viscérale (au niveau et à
   côté des bulles)
 - Remplacé par du tissu fibro élastique très
   poreux responsable d’une fuite d’air
- le plus souvent apicoaxillaires
- très vascularisées.
- ouverture expiratoire de la brèche pleuro-
  pulmonaire(située au pied de la bride)→
  risque hémorragie+++
Syndrome                      Introduction
d’épanchement              5.physiopathologie
gazeux de la
grande cavité             Communication entre
                          les alvéoles et la cavité
pleurale                  pleurale
                Prédispositions constitutionnels
                -anomalies anatomique des
                bronches(ex:poumon adenomatoïde)
                - prédisposition héréditaire(déficit en
                alpha1antitrypsine)
                - physionomie longiligne(sd
                marfan)
                Prédispositions acquises:
• Syndrome de marfan décrite pr la 1ère fois par le professeur
  anthonin marfan en 1896
• Maladie systémique présentant un grand polymorphisme
  symptomatologique,héréditaire,de transmission autosomique
  dominant,due à la mutation du gène de la fibrilline(FBN1 situé
  sur Chr 15)
• Le gène mutant affecte la capacité de produire la fibrille
  collagène élément constitutif du tissu conjonctif
• Complications diverses: ligament(hyperlaxité
  ligamentaires),osseuse(gigantisme),occulaire(myopie),cardiaq
  ue(pathologie valvulaire),aorte(anévrysme voire
  rupture),poumon(kystes à l’orine des PNO)
• La répétition de la mise en tension des lésions bulleuses:
Par:
- des variations de pression intra-alvéolaire
  ex: les effort à glotte fermé (toux, éternuement, défécation)
       les gestes e la vie courante(bains,se courber…)
- des variations de pression atmosphérique
  Ex: changement climatique, parachutisme,alpinisme,plongé
  sous marine…
- phénomènes mécaniques: musique à haute énergie et à
  basse fréquence: techno
Syndrome           Introduction
d’épanchement   5.physiopathologie
gazeux de la
grande cavité   Communication entre
pleurale        les alvéoles et la cavité
                pleurale



                 plusieurs mécanismes:
                 tous conduisant à la
                rupture de la paroi
                alvéolaire et plèvre
                viscérale déjà fragilisée
Introduction
Syndrome                      5.physiopathologie
d’épanchement
gazeux de la
grande cavité
pleurale de la
   Conséquence
  rupture



 Fuite d’air jusqu’à la
 disparition de
 la    P ou jusqu’à la
 fermeture de la          Diminution de la
 communication            ventilation du
                          coté atteint
Introduction
Syndrome        5.physiopathologie
d’épanchement
gazeux de la
grande cavité
pleurale

- Ouverte
- à soupape
- fermée
Syndrome
d’épanchement gazeux
de la grande cavité
pleurale FONCTIONNELS :
 1 . SIGNES
• Sont variables en fonction de l’importance de
  l’épanchement gazeux et de l’état du
  parenchyme pulmonaire
• Certains PNO surtout minimes sont
  asymptomatiques et de découverte
  radiologique
SEMIOLOGIE CLINIQUE
            1 . SIGNES FONCTIONNELS :

DOULEUR THORACIQUE :
• D’apparition brutale le plus svt
• Intensité variable
• type de coup de poignard ++++
  (un coup de tonnerre dans un ciel serein) ,
  parfois limitée à un point de coté
• fugace dans les PNO minimes
SEMIOLOGIE CLINIQUE
        1 . SIGNES FONCTIONNELS :
DOULEUR THORACIQUE
• Siège variable :
- latérothoracique +++ homolatéral à l’épanchement
• Déclenché et aggravé par l’inspiration profonde la
  toux et l’effort surtout les efforts importants à glotte
  fermé(toux, éternuement défécation…)
SEMIOLOGIE CLINIQUE
      1 . SIGNES FONCTIONNELS :
DYSPNEE
• D’installation brutale
• A type de polypnée superficielle
• D’intensité variable en fonction de
  l’importance de l’épanchement et de l’état
  antérieur du poumon ;
SEMIOLOGIE CLINIQUE
      1 . SIGNES FONCTIONNELS :
DYSPNEE
• minime modéré ou majeur devenant
  angoissante asphyxiante dans les
  épanchements gazeux de grande abondance
• Déclenchée et aggravé par
  la douleur, l’effort, les changements de
  positions et l’inspiration profonde
• Atténuée par le repos et le décubitus latéral
  du coté opposé à l’épanchement
SEMIOLOGIE CLINIQUE
      1 . SIGNES FONCTIONNELS :
TOUX
• Inconstante
• En général d’installation brutale mais peut
  être progressive
• Sèche, quinteuse, et rebelle pénible
  douloureuse gênante
• Sans horaire particulier
SEMIOLOGIE CLINIQUE
      1 . SIGNES FONCTIONNELS :
TOUX(suite)
• Déclenchée par les changements de position
• Elle aggrave la douleur et la dyspnée

NB l’existence d’une toux productive au cours
 d’un PNO traduit la présence d’un foyer
 pulmonaire ou d’une atteinte bronchique sous
 jacente ou l’existence concomitante d’une
 fistule
SEMIOLOGIE CLINIQUE
          2. SIGNES GENERAUX :
• Sont fonctions de l’étiologie de l’abondance de
  l’épanchement et de la tolérance
• On observe souvent :
- fièvre peu élevée autour de 38°C
- une AEG avec une attitude antalgique(patient
  immobile,anxieux,sueur,en DL du coté de
  l’épanchement)
• Signes de gravité possible devant les PNO
  abondant à soupape,PNO bilatéraux
Syndrome
d’épanchement gazeux
de la grande cavité
pleurale
Syndrome
d’épanchement gazeux
de la grande cavité
pleurale

                  -   Dyspnée intense,
                  -   cyanose péribuccale
                  -   tachycardie
                  -   Signes de détresse resp.
                  -   perturbation
                      gazométrique et/ou
                      désat à oxymètre de
                      pouls
Syndrome
d’épanchement gazeux
de la grande cavité
pleurale


                       - Turgescence
                         jugulaire,
                       - distension
                         thoracique,
                       - pouls paradoxal de
                         kussmaul,
                       - emphysème sous
                         cutané
                   Ds les PNO à soupape
Syndrome
d’épanchement gazeux
de la grande cavité
pleurale
                   -   pâleur
                   -   soif
                   -   tachycardie
                   -   hypotension
Ds les PNO avec    -   pouls filant
hémopneumothorax
SEMIOLOGIE CLINIQUE
          3. SIGNES PHYSIQUES :
• L’ examen est réalisé dans une salle bien
  éclairée, le malade dévêtu jusqu’à la ceinture
• l’examen est réalisé de préférence en position
  assise sur un tabouret pour mieux explorer les
  faces du thorax (antérieur, postérieur et
  latéral)mais on peut également l’effectuer en
  décubitus dorsal.
SEMIOLOGIE CLINIQUE
          3. SIGNES PHYSIQUES :
• De façon bilatéral, symétrique et comparatif
  en respectant les 4 étapes que sont
  l’inspection, la palpation, la percussion, et
  l’auscultation
• L’examen doit être rapide et précis sans trop
  mobiliser le patient au risque d’aggraver les
  lésions
Syndrome
d’épanchement gazeux
de la grande cavité
pleurale :
 INSPECTION
 Technique
 • c’est le premier temps de l’examen
 • le malade dévêtu jusqu’à la ceinture, les bras en
   légère abduction
 • on regarde d’abord le malade respirer
   normalement puis il lui sera demandé
   d’effectuer des mouvements d’inspiration et
   expiration forcée en inspirant par le nez et
   expirant par la bouche
Syndrome
d’épanchement gazeux
de la grande cavité
 INSPECTION
pleurale
 Résultats :
 on note:
 • une assymétrie thoracique par distension de
   l’hémithorax atteint variable selon l’importance de
   l’épanchement
 • un élargissement des espaces intercostaux avec
   horizontalisation des côtes
 • une diminution de l’ampliation thoracique du côté
   atteint voir même une immobilisation de
   l’hémithorax
Syndrome
d’épanchement gazeux
de la grande cavité
 PALPATION :
pleurale
 • Elle complète les renseignements fournis par
   l’inspection sur le rythme et l’ampliation
   thoracique
 Technique
 • se réchauffer les mains puis les poser fermement
   à plat sur le thorax, les pouces se rejoigne sur la
   ligne médiane postérieur ; les autres doigts sont
   orientés vers l’extérieur et placé de façon
   parallèles aux espaces intercostaux.
Syndrome
                               PALPATION :
d’épanchement gazeux
de la grande cavité
 • On demandera au patient de respirer
pleurale
   normalement afin d’apprécier l’ampliation
   thoracique puis de prononcer des consonnes
   sonores (type 33, ninety
   nine,boubacar,ngiringiri…) afin de d’apprécier
   la transmission des vibrations vocales
   produite au niveau du larynx vers la paroi ;elle
   est perçus sous forme d’un frémissement
   léger et rapide .
Syndrome
d’épanchement gazeux
de la grande cavité
 PALPATION :
pleurale
 Résultats : on note
 • Une diminution de l’ampliation de
   l’ampliation thoracique du coté atteint
 • Diminution ou abolition de la transmission des
   vibrations vocales du coté atteint sur toute la
   hauteur de l’épanchement gazeux
 • Crépitation neigeuse au niveau du creux
   susclaviculaire témoignant d’un emphysème
   sous cutané
Syndrome
d’épanchement gazeux
de la grande cavité
 PERCUSSION :
pleurale
 • Geste qui permet d’ébranler la paroi
   thoracique en produisant des sons audibles
   permettant de déterminer si les tissus sous
   jacent sont de densité aréiques, solides, ou
   liquides
 • Elle permet d’apprécier une sensation tactile
   (l’élasticité) et une auditive (la sonorité)
Syndrome
d’épanchement gazeux
de la grande cavité
 PERCUSSION :
pleurale:
 Technique
 • La percussion est bilatérale, symétrique et comparative
 Il en existe de deux types :
 • La percussion immédiate : Les doigts repliés en crochet
     percutent directement la paroi thoracique
 • La percussion médiate : le médius de la main droite
     replié à angle droit percute par coup successif d’égal
     amplitude et également espacé le médius de la main
     gauche posé bien à plat sur la paroi thoracique entre
     les espaces intercostaux.
Syndrome
d’épanchement gazeux
de la grande cavité
 PERCUSSION :
pleurale
 • Résultats :
 • Hypersonorité ou tympanisme sur toute la
   hauteur de l’épanchement
Syndrome
d’épanchement gazeux   AUSCULTATION:
de la grande cavité
pleurale
Syndrome
d’épanchement gazeux
de la grande cavité
 AUSCULTATION:
pleurale
Syndrome
d’épanchement gazeux
de la grande cavité
 AUSCULTATION:
pleurale
 Résultats : on peut noter
 • Une diminution voire même une abolition du
   MV au niveau de l’hémithorax atteint
Syndrome
d’épanchement gazeux
de la grande cavité
 AUSCULTATION:
pleurale
 Résultats : on peut noter
                                 :
 - qui traduit la transmission anormale du
   souffle laryngotrachéal à travers le
   parenchyme pulmonaire et une collection
   aérique suffisament vaste
 - on le compare au bruit obtenu en soufflant
   dans un récipient large à goulot étroit
Syndrome
d’épanchement gazeux
de la grande cavité
 AUSCULTATION:
pleurale
 Résultats (suite)

 - intensité faible, lointain,
   (véritable bourdonnement amphorique ,de tonalité
   grave,décrit par laënnec)
 - timbre creux métallique,
 - audible aux deux temps respiratoires mais à maximum
   expiratoire,
 - on l’entend mieux après la toux
 - siège variable mais surtout bien entendu dans l’espace
   interscapulovertébral
Syndrome
d’épanchement gazeux
de la grande cavité
 AUSCULTATION:
pleurale
 Résultats : on peut noter

 - bruit unique ou répété
 - timbre argentin
 - déclenché par la respiration ou les changements
   de position
 - comparé classiquement au son produit par une
   perle tombant dans une coupe de cristal
Syndrome
d’épanchement gazeux
de la grande cavité
 AUSCULTATION:
pleurale
 Résultats : on peut noter

                           voix,toux,bruits de
   cœur… il est assez proche du tintement
   métallique
Syndrome
d’épanchement gazeux
de la grande cavité
 AUSCULTATION:
pleurale
 Résultats : on peut noter

 - bruit métallique vibrant
 - déclenché par la percussion du thorax au moyens
   de deux pièces de monnaie et perçu à
   l’auscultation de la face du thorax opposée à la
   percussion.
Syndrome
d’épanchement gazeux
de la grande cavité
 AUSCULTATION:
pleurale
 • Les éléments du syndrome
   amphorométallique sont inconstants et
   presque toujours dissocié leur présence
   complète doit faire évoquer une cause
   tuberculeuse.
 • leur recherche est assez longue et peut
   fatiguer le malade
Syndrome
d’épanchement gazeux
de la grande cavité
 En résumé :
pleurale
 • on parlera de syndrome d’épanchement
   gazeux de la grande cavité pleurale devant le
   trépied de GAILLARD qui associe :
Syndrome
d’épanchement gazeux
de la grande cavité
pleurale respiratoire devra être
 • L’examen
   impérativement suivi d’un examen complet de
   tous les appareils notamment cardiovasculaire à
   la recherche des signes de refoulements :
 - Déplacement du choc de pointe vers le coté
   controlatéral
 - Déplacement de l’air de matité cardiaque et les
   foyers d’auscultation vers le côté controlatéral
Syndrome
d’épanchement gazeux
de la grande cavité
pleurale


 NB: l’examen physique peut être normal devant
  les épanchements minimes
Syndrome
d’épanchement gazeux
de la grande cavité
 1. LA RX STANDARD DU THORAX
pleurale
 • Incidences :
 • Elle comporte des clichés thoraciques de face
   et de profil en inspiration profonde comme de
   pratique courante
 • On peut aussi demander des rx de thorax de
   face en expiration forcée ( devant des
   épanchements minimes )
Syndrome
d’épanchement gazeux
de la grande cavité
 LA RX STANDARD DU THORAX
pleurale
 Apports :
 • Affirmer le PNO
 • Estimer la taille de l’épanchement
 • discuter l’indication d’un drainage(CI si présence
   de bulle d’emphysème )
 • Analyser le parenchyme pulmonaire sous jacent
   et du côté opposé
 • Suivre l’évolution retour ou non du poumon à la
   paroi
Syndrome
d’épanchement gazeux
de la grande cavité
 LA RX STANDARD DU THORAX
pleurale
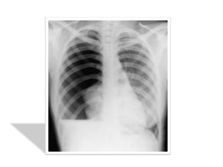
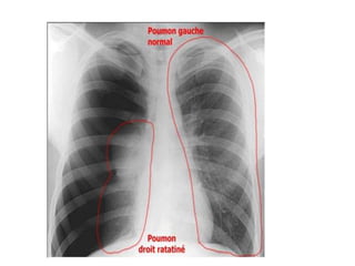
 Résultats :

 • hyperclarté avasculaire homogène périphérique
   prenant tout l’hémithorax plus ou moins étendue.
 • Rétraction du poumon s/f d’un moignon hyperdense
   sur le hile avec distension des EIC et une netteté
   anormale des côtes.
 • La plèvre viscérale qui entoure ce moignon apparaît
   sous forme d’un fin liséré opaque net comme tracé au
   crayon
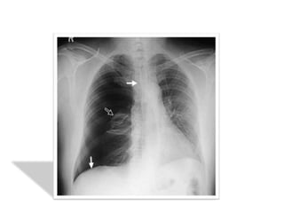
Syndrome
d’épanchement gazeux
de la grande cavité
 LA RX STANDARD DU THORAX
pleurale
   on recherchera systématiquement les signes
   radiologiques associés :
 • Une opacité liquidienne à niveau horizontal de la base
   témoignant d’un hydropneumothorax
 • Position du médiastin et du cœur éventuellement
   refoulé
 • Anomalies parenchymateuses homo ou contolatérales
   en sachant qu’il existe une surcharge vasculaire réflexe
   du coté sain
 • Un aspect de petit cœur dans les formes bilatérales
Syndrome
d’épanchement gazeux
de la grande cavité
 LA RX STANDARD DU THORAX
pleurale

 • Décollement partiel avec angle de
   raccordement aigu à la paroi ou présence de
   brides sous forme de bande opaque
 • On a une hyperclarté homogène périphérique
   en croissant dépourvue de trame pulmonaire
Syndrome
d’épanchement gazeux
de la grande cavité
pleurale
Syndrome
d’épanchement gazeux
de la grande cavité
pleurale
 • Si l’épanchement gazeux est minime on peut
   avoir une fine bande claire et un « trapping »
   cad une zone d’air du décollement qui ne se
   vide pas à l’expiration forcée
 • Bride rattachant le poumon à la paroi(risque
   de rupture et d’hémothorax)
Syndrome
d’épanchement gazeux
de la grande cavité
pleurale
Bulles d’emphysème
Cavité séquellaires
Syndrome
d’épanchement gazeux
de la grande cavité
pleurale TELEVISEE
 2. SCOPIE
 • N’est plus utilisé en pratique courante
 • Elle avait un intérêt dans les forme moins
   évidentes
 • Elle peut montrer :
 • Une diminution de l’expansion inspiratoire du
   thorax
 • Abaissement de la coupole diaphragmatique avec
   ascension paradoxale au cours de l’inspiration
   c’est le phénomène de KIENBOECK
Syndrome
d’épanchement gazeux
de la grande cavité
 3. TDM thoracique
pleurale
 • La TDM thoracique n’est pas nécessaire au
   diagnostic mais indiquée si la
   symptomatologie évocatrice contraste avec
   une RX thorax normale
 • Par contre sa pratique est courante pour le
   diagnostic étiologique et dans la discussion
   d’un geste thérapeutique radical
Syndrome
d’épanchement gazeux
de la grande cavité
 TDM thoracique
pleurale
 • Elle permet aussi d’apprécier le risque de
   récidive en précisant le nombre le volume et
   la topographie des bulles
 Résultats :
 • Le PNO apparaît sous forme d’une plage noire
   qui refoule le poumon comparé à un croissant
   gazeux
Syndrome
d’épanchement gazeux
de la grande cavité
pleurale
 • C’est l’aspect le plus fréquent
 • Touche presque exclusivement le sujet jeune
   20 à 35 ans longiligne
 • = diagnostic d’élimination
Syndrome
d’épanchement gazeux
de la grande cavité
pleurale
 facteurs étiologiques :
 - tabagisme,
 - un sd marphanoïde ou
 - dystrophie bulleuse isolée,
 - infection virale discrète en apparence limitée
   aux voies aériennes supérieures,
 - effort intense mais parfois aussi minime.
Syndrome
d’épanchement gazeux
de la grande cavité
pleurale

  Tuberculose pulmonaire :
 • Le PNO résulte
 - soit par rupture dans la cavité pleurale de
   caverne ou caseum sous pleural
 - soit par séquelles paracicatricielles
 • Le diagnostic : facile devant des signes d’appel
   cliniques et radiologiques confirmé par la
   présence des BAAR dans l’examen des crachats
Syndrome
d’épanchement gazeux
de la grande cavité
pleurale

 • Tableau clinique souvent aigu
 • La RX du thorax met en évidence une ou
   plusieurs cavités avec niveau hydroaériques
Syndrome
d’épanchement gazeux
de la grande cavité
pleurale



 • PNO par la rupture intrapleurale des lésions kystiques
   ou pneumatocèle sous pleurale et apicale fréquement
   rencontré.
 • Le tableau clinique est celui d’une pneumopathie aigue
 • Le diagnostic de certitude repose sur la mise en
   évidence du pneumocystis jirovecci dans le liquide du
   LBA
Syndrome
d’épanchement gazeux
de la grande cavité
pleurale

 • Ce sont les bronchites chroniques et surtout l’emphysème

 • Elles sont génératrices de dystrophies bulleuses qui
   peuvent secondairement se rompre dans la cavité pleurale

 • Le patient est habituellement tabagique chronique avec
   notion de toux productive chronique
 • La spirométrie affirme le trouble ventilatoire obstructif qui
   est non reversible sous bronchodilatateurs
Syndrome
d’épanchement gazeux
de la grande cavité
pleurale
 • Sarcoïdose,
   silicose,beryliose,histiocytoseX,lymphogranulomatose…

 • Le PNO peut être révélateur
 • Mécanisme:
 - soit à la nécrose tumorale puis sa rupture secondaire dans
   la cavité pleurale
 - soit à la rupture d’un emphysème obstructif constitué en
   amont de la sténose tumorale
Syndrome
d’épanchement gazeux
de la grande cavité
pleurale

 • Survient dans les premiers 24 heures des
   règles
 • Absence de symptômes en dehors de cette
   période
 • Prédominance du coté droit
 • Caractère récidivant
Syndrome
d’épanchement gazeux
de la grande cavité
pleurale

 Mécanisme:
 - le passage d’air du péritoine vers la cavité
   pleurale par l’intermédiaire de perforations
   diaphragmatiques induit par les lésions
   d’endométriose au niveau pelvien ou
   diaphragmatique
 - des blebs dont la rupture serait plus fréquente en
   période menstruelle
Syndrome
d’épanchement gazeux
de la grande cavité
pleurale

 Mécanisme(suites):
 - une endométriose intrathoracique induisant
   en période menstruelle une compression
   bronchiolo-alvéolaire et, par là même, des
   blebs avec un risque de rupture.
Syndrome
d’épanchement gazeux
de la grande cavité
pleurale

  crise d’asthme,mucoviscidose,infarctus
  pulmonaire,maladie de Wegener,abcès sous
  phrénique
Syndrome
d’épanchement gazeux
de la grande cavité
pleurale
 •   Sd fréquemment rencontré en clinique
 •   Diagnostic clinique aisé
 •   Parfois de découverte radiologique
 •   Urgence médico chirurgicale car le pronostic
     vital ou fonctionnel du malade peut être
     engagé
Innokash concetion’s©février 2010

Amis med.com syndrome epanchement

  • 1.
    SYNDROME D’EPANCHEMENT GAZEUX DE LA GRANDE CAVITE PLEURALE Dr innocent kashongwe Clinique de Pneumologie,Chnu Fann,UCAD Dakar
  • 2.
    PLAN I. INTRODUCTION : -DEFINITION - INTERET - RAPPEL ANATOMIQUE - PHYSIOPATHOLOGIE II. SEMIOLOGIE CLINIQUE - SIGNES FONCTIONNELS - SIGNES GENERAUX - SIGNES PHYSIQUES
  • 3.
    PLAN III.SEMIOLOGIE RADIOLOGIQUE - RX THORAX - SCOPIE TELEVISEE - TOMODENSITOMETRIE THORACIQUE IV. VALEUR SEMIOLOGIQUE V. CONCLUSION
  • 5.
    Syndrome d’épanchement gazeux de la grandecavité pleurale Introduction 1. definition
  • 6.
    Introduction Syndrome 1.definition d’épanchement gazeux de la grande cavité • = un ensemble de signe qui traduisent la pleurale présence de gaz dans la grande cavité pleurale ,libre ou cloisonné ,en dehors de tout traumatisme ou manœuvre instrumentale Est exclu de cette définition toute origine traumatique
  • 7.
    Syndrome d’épanchement gazeux de la grandecavité • pleurale Introduction 2. INTERETS
  • 8.
    Introduction Syndrome 2. INTERET d’épanchement gazeux de la grande cavité  fréquemment rencontré en pratique clinique pleurale diagnostic clinique aisé, parfois de découverte radiologique Plusieurs formes possibles  Risque de récidive d’où patient à surveiller
  • 9.
    Introduction Syndrome 2. INTERET d’épanchement gazeux de la grande cavité Les étiologies fréquentes et variée : pleurale - TBC +++++ (dans notre contexte) - PNO spontanée idiopathique est le plus fréquemment observé Evolution vers une urgence médico chirurgicale possible avec pronostic vital engagé
  • 10.
    Syndrome d’épanchement •gazeux de la grande cavité Introduction pleurale 3. anatomie de la plèvre
  • 11.
    Introduction Syndrome 3.anatomie de la d’épanchement plèvre gazeux de la grande cavité séreuse pleurale deux feuillets : - le feuillet viscéral - le feuillet pariétal - Cavité virtuelle où on trouve un mince film liquidien paucicellulaire.
  • 12.
    Introduction Syndrome 3.anatomie de la d’épanchement plèvre gazeux de la grande cavité Mbne • Chaque feuillet est fibroélastique pleurale revêtu d'un mésothélium = épithélium pavimenteux simple Miserocchi Eur Resp 1997
  • 13.
    Syndrome d’épanchement •gazeux de la grande cavité Introduction pleurale 4. physiologie de la plèvre
  • 14.
    Introduction Syndrome 4.physiologie de d’épanchement la plèvre gazeux de la grande cavité 1894 Loi de STARLING «pleurale de soluté à travers une membrane les échanges semi-perméable dépendent de l’équilibre entre les pressions hydrostatiques et oncotiques de chaque coté de cette membrane » Jv= kf[(P1–P2)–(∏1–∏2)] Jv:flux de liquide entre le compartiment 1et 2 ∏:pression oncotique Kf:coefficient de filtration σ:coefficient de reflection pour P:pression hydrostatique les protéines
  • 15.
    Introduction Syndrome 4.physiologie de d’épanchement la plèvre gazeux de la grande cavité pleurale Le liq intrapleural est produit et résorbé par la plèvre pariétal.(0,3ml/kg:N) :0,15ml/kg/h transsudat des vx sysmq de la plèvre pariétal  par l’interstitium  le mesothéliumespace pleural Le tout est guidée par un équilibre entre: P.hydro., P.П, P.intrapleural Loi de STARLING
  • 16.
    Introduction Syndrome 4.physiologie de d’épanchement la plèvre gazeux de la grande cavité pleurale
  • 17.
    Introduction Syndrome 4.physiologie de d’épanchement la plèvre gazeux de la grande cavité pleurale
  • 18.
    Introduction Syndrome 4.physiologie de d’épanchement la plèvre gazeux de la  La circ.systmq est grande cavité systm à haute pression( a.systmq ) pleurale  P.hydro élevé:46cmd’H2O >P.П:25cmd’H2O (artériolre)SORTIE DES LIQUIDES ds espace pleural  P.hydro.=P. П (capillaire)  permet échange  P.hydro<P. П (veinule) REABSORPTION DES LIQUIDES
  • 19.
    Introduction Syndrome 4.physiologie de d’épanchement la plèvre gazeux de la grande cavité pleurale existe des pores (2–12um)=pores de Sur f.pariétal Wang, o muni des valves anti-reflux(f.p)vx lymphtq s/jacent o Rôle: drainage de espace pleural(300cc/j) o Présence des zones riches en macrophages, lymphocytes=MILKY SPOTS= formation KAMPMEIER=taches laiteusesROLE: intervenir ds l’épuration du matériel intrapleural(cellules,GR, particules minérales o NB: plèvre viscéral ne comporte pas de pore
  • 20.
    Syndrome Introduction d’épanchement 3.anatomie de la gazeux de la plèvre grande cavité pleurale INSPI: ouverts aspiration EXPI: fermé extrusion
  • 21.
    Syndrome d’épanchement gazeux de la Introduction grande cavité pleurale 5. physiopathologie
  • 22.
    Syndrome Introduction d’épanchement 5.physiopathologie gazeux de la grande cavité pleuralenormal le poumon adhère à la paroi En temps thoracique grâce à la pression négative intrapleurale(- 5 cm d’eau )liée aux forces de rétraction élastique s’exerçant sur le poumon et l’élasticité de la cage thoracique
  • 23.
    Syndrome Introduction d’épanchement 5.physiopatologie gazeux de la grande cavité pleurale
  • 24.
    Syndrome Introduction d’épanchement 5.physiopathologie gazeux de la grande cavité pleurale • Une communication entre les alvéoles et la cavité pleurale • présence de microorganismes produisant des gaz dans cette cavité.
  • 25.
    Syndrome Introduction d’épanchement 5.physiopathologie gazeux de la grande cavité Une communication pleurale entre les alvéoles et la cavité pleurale - Cela peutarriver sans qu’aucune cause ne soit decelée(idiopathique) ou secondairement lorsqu’une pathologie pulmonaire sous jacente est mis en évidence
  • 26.
    Syndrome Introduction d’épanchement 5.physiopathologie gazeux de la grande cavité Une communication pleurale entre les alvéoles et la cavité pleurale Différentes lésions du tissu pulmonaire peuvent être observées et être responsables d’une fuite alvéolaire :
  • 27.
    Syndrome Introduction d’épanchement 5.physiopathologie gazeux de la lésions du tissu pulmonaire pouvant être grande cavité responsables d’une fuite alvéolaire : pleurale  kystes gazeux souspleuraux Mécanisme: -liés à la rupture de la paroi alvéolaire et de la limitante élastique interne de la plèvre viscérale par hyperpression entrainant issu de l’air à travers le tissu interstitiel puis se loger sous la plèvre viscéral
  • 28.
    Syndrome Introduction d’épanchement 5.physiopathologie gazeux de la grande cavité Mbne pleurale fibroélastique
  • 29.
    Syndrome d’épanchement gazeuxde la lésions du tissu pulmonaire pouvant être grande cavité responsables d’une fuite alvéolaire : pleurale
  • 30.
    Syndrome Introduction 5.physiopathologie d’épanchement gazeux de la lésions du tissu pulmonaire pouvant être grande cavité responsables d’une fuite alvéolaire : pleurale Destruction localisée du parenchyme pulmonaire Localisé le plus svt à l’apex Mécanisme: Dégradation des fibres élastiques sous l’effet du déséquilibre protéase- antiprotéase et oxydant-antioxydant dans lequel neutrophiles et macrophages jouent un rôle important
  • 31.
    Syndrome Introduction 5.physiopathologie d’épanchement gazeux de la lésions du tissu pulmonaire pouvant être grande cavité responsables d’une fuite alvéolaire : pleurale - dans la couche de cellules mésothéliales couvrant la plèvre viscérale (au niveau et à côté des bulles) - Remplacé par du tissu fibro élastique très poreux responsable d’une fuite d’air
  • 32.
    - le plussouvent apicoaxillaires - très vascularisées. - ouverture expiratoire de la brèche pleuro- pulmonaire(située au pied de la bride)→ risque hémorragie+++
  • 34.
    Syndrome Introduction d’épanchement 5.physiopathologie gazeux de la grande cavité Communication entre les alvéoles et la cavité pleurale pleurale Prédispositions constitutionnels -anomalies anatomique des bronches(ex:poumon adenomatoïde) - prédisposition héréditaire(déficit en alpha1antitrypsine) - physionomie longiligne(sd marfan) Prédispositions acquises:
  • 35.
    • Syndrome demarfan décrite pr la 1ère fois par le professeur anthonin marfan en 1896 • Maladie systémique présentant un grand polymorphisme symptomatologique,héréditaire,de transmission autosomique dominant,due à la mutation du gène de la fibrilline(FBN1 situé sur Chr 15) • Le gène mutant affecte la capacité de produire la fibrille collagène élément constitutif du tissu conjonctif • Complications diverses: ligament(hyperlaxité ligamentaires),osseuse(gigantisme),occulaire(myopie),cardiaq ue(pathologie valvulaire),aorte(anévrysme voire rupture),poumon(kystes à l’orine des PNO)
  • 36.
    • La répétitionde la mise en tension des lésions bulleuses: Par: - des variations de pression intra-alvéolaire ex: les effort à glotte fermé (toux, éternuement, défécation) les gestes e la vie courante(bains,se courber…) - des variations de pression atmosphérique Ex: changement climatique, parachutisme,alpinisme,plongé sous marine… - phénomènes mécaniques: musique à haute énergie et à basse fréquence: techno
  • 37.
    Syndrome Introduction d’épanchement 5.physiopathologie gazeux de la grande cavité Communication entre pleurale les alvéoles et la cavité pleurale  plusieurs mécanismes: tous conduisant à la rupture de la paroi alvéolaire et plèvre viscérale déjà fragilisée
  • 38.
    Introduction Syndrome 5.physiopathologie d’épanchement gazeux de la grande cavité pleurale de la Conséquence rupture Fuite d’air jusqu’à la disparition de la P ou jusqu’à la fermeture de la Diminution de la communication ventilation du coté atteint
  • 39.
    Introduction Syndrome 5.physiopathologie d’épanchement gazeux de la grande cavité pleurale - Ouverte - à soupape - fermée
  • 41.
    Syndrome d’épanchement gazeux de lagrande cavité pleurale FONCTIONNELS : 1 . SIGNES • Sont variables en fonction de l’importance de l’épanchement gazeux et de l’état du parenchyme pulmonaire • Certains PNO surtout minimes sont asymptomatiques et de découverte radiologique
  • 42.
    SEMIOLOGIE CLINIQUE 1 . SIGNES FONCTIONNELS : DOULEUR THORACIQUE : • D’apparition brutale le plus svt • Intensité variable • type de coup de poignard ++++ (un coup de tonnerre dans un ciel serein) , parfois limitée à un point de coté • fugace dans les PNO minimes
  • 43.
    SEMIOLOGIE CLINIQUE 1 . SIGNES FONCTIONNELS : DOULEUR THORACIQUE • Siège variable : - latérothoracique +++ homolatéral à l’épanchement • Déclenché et aggravé par l’inspiration profonde la toux et l’effort surtout les efforts importants à glotte fermé(toux, éternuement défécation…)
  • 44.
    SEMIOLOGIE CLINIQUE 1 . SIGNES FONCTIONNELS : DYSPNEE • D’installation brutale • A type de polypnée superficielle • D’intensité variable en fonction de l’importance de l’épanchement et de l’état antérieur du poumon ;
  • 45.
    SEMIOLOGIE CLINIQUE 1 . SIGNES FONCTIONNELS : DYSPNEE • minime modéré ou majeur devenant angoissante asphyxiante dans les épanchements gazeux de grande abondance • Déclenchée et aggravé par la douleur, l’effort, les changements de positions et l’inspiration profonde • Atténuée par le repos et le décubitus latéral du coté opposé à l’épanchement
  • 46.
    SEMIOLOGIE CLINIQUE 1 . SIGNES FONCTIONNELS : TOUX • Inconstante • En général d’installation brutale mais peut être progressive • Sèche, quinteuse, et rebelle pénible douloureuse gênante • Sans horaire particulier
  • 47.
    SEMIOLOGIE CLINIQUE 1 . SIGNES FONCTIONNELS : TOUX(suite) • Déclenchée par les changements de position • Elle aggrave la douleur et la dyspnée NB l’existence d’une toux productive au cours d’un PNO traduit la présence d’un foyer pulmonaire ou d’une atteinte bronchique sous jacente ou l’existence concomitante d’une fistule
  • 48.
    SEMIOLOGIE CLINIQUE 2. SIGNES GENERAUX : • Sont fonctions de l’étiologie de l’abondance de l’épanchement et de la tolérance • On observe souvent : - fièvre peu élevée autour de 38°C - une AEG avec une attitude antalgique(patient immobile,anxieux,sueur,en DL du coté de l’épanchement) • Signes de gravité possible devant les PNO abondant à soupape,PNO bilatéraux
  • 49.
  • 50.
    Syndrome d’épanchement gazeux de lagrande cavité pleurale - Dyspnée intense, - cyanose péribuccale - tachycardie - Signes de détresse resp. - perturbation gazométrique et/ou désat à oxymètre de pouls
  • 51.
    Syndrome d’épanchement gazeux de lagrande cavité pleurale - Turgescence jugulaire, - distension thoracique, - pouls paradoxal de kussmaul, - emphysème sous cutané Ds les PNO à soupape
  • 52.
    Syndrome d’épanchement gazeux de lagrande cavité pleurale - pâleur - soif - tachycardie - hypotension Ds les PNO avec - pouls filant hémopneumothorax
  • 53.
    SEMIOLOGIE CLINIQUE 3. SIGNES PHYSIQUES : • L’ examen est réalisé dans une salle bien éclairée, le malade dévêtu jusqu’à la ceinture • l’examen est réalisé de préférence en position assise sur un tabouret pour mieux explorer les faces du thorax (antérieur, postérieur et latéral)mais on peut également l’effectuer en décubitus dorsal.
  • 54.
    SEMIOLOGIE CLINIQUE 3. SIGNES PHYSIQUES : • De façon bilatéral, symétrique et comparatif en respectant les 4 étapes que sont l’inspection, la palpation, la percussion, et l’auscultation • L’examen doit être rapide et précis sans trop mobiliser le patient au risque d’aggraver les lésions
  • 55.
    Syndrome d’épanchement gazeux de lagrande cavité pleurale : INSPECTION Technique • c’est le premier temps de l’examen • le malade dévêtu jusqu’à la ceinture, les bras en légère abduction • on regarde d’abord le malade respirer normalement puis il lui sera demandé d’effectuer des mouvements d’inspiration et expiration forcée en inspirant par le nez et expirant par la bouche
  • 56.
    Syndrome d’épanchement gazeux de lagrande cavité INSPECTION pleurale Résultats : on note: • une assymétrie thoracique par distension de l’hémithorax atteint variable selon l’importance de l’épanchement • un élargissement des espaces intercostaux avec horizontalisation des côtes • une diminution de l’ampliation thoracique du côté atteint voir même une immobilisation de l’hémithorax
  • 58.
    Syndrome d’épanchement gazeux de lagrande cavité PALPATION : pleurale • Elle complète les renseignements fournis par l’inspection sur le rythme et l’ampliation thoracique Technique • se réchauffer les mains puis les poser fermement à plat sur le thorax, les pouces se rejoigne sur la ligne médiane postérieur ; les autres doigts sont orientés vers l’extérieur et placé de façon parallèles aux espaces intercostaux.
  • 59.
    Syndrome PALPATION : d’épanchement gazeux de la grande cavité • On demandera au patient de respirer pleurale normalement afin d’apprécier l’ampliation thoracique puis de prononcer des consonnes sonores (type 33, ninety nine,boubacar,ngiringiri…) afin de d’apprécier la transmission des vibrations vocales produite au niveau du larynx vers la paroi ;elle est perçus sous forme d’un frémissement léger et rapide .
  • 60.
    Syndrome d’épanchement gazeux de lagrande cavité PALPATION : pleurale Résultats : on note • Une diminution de l’ampliation de l’ampliation thoracique du coté atteint • Diminution ou abolition de la transmission des vibrations vocales du coté atteint sur toute la hauteur de l’épanchement gazeux • Crépitation neigeuse au niveau du creux susclaviculaire témoignant d’un emphysème sous cutané
  • 61.
    Syndrome d’épanchement gazeux de lagrande cavité PERCUSSION : pleurale • Geste qui permet d’ébranler la paroi thoracique en produisant des sons audibles permettant de déterminer si les tissus sous jacent sont de densité aréiques, solides, ou liquides • Elle permet d’apprécier une sensation tactile (l’élasticité) et une auditive (la sonorité)
  • 62.
    Syndrome d’épanchement gazeux de lagrande cavité PERCUSSION : pleurale: Technique • La percussion est bilatérale, symétrique et comparative Il en existe de deux types : • La percussion immédiate : Les doigts repliés en crochet percutent directement la paroi thoracique • La percussion médiate : le médius de la main droite replié à angle droit percute par coup successif d’égal amplitude et également espacé le médius de la main gauche posé bien à plat sur la paroi thoracique entre les espaces intercostaux.
  • 63.
    Syndrome d’épanchement gazeux de lagrande cavité PERCUSSION : pleurale • Résultats : • Hypersonorité ou tympanisme sur toute la hauteur de l’épanchement
  • 64.
    Syndrome d’épanchement gazeux AUSCULTATION: de la grande cavité pleurale
  • 65.
    Syndrome d’épanchement gazeux de lagrande cavité AUSCULTATION: pleurale
  • 66.
    Syndrome d’épanchement gazeux de lagrande cavité AUSCULTATION: pleurale Résultats : on peut noter • Une diminution voire même une abolition du MV au niveau de l’hémithorax atteint
  • 67.
    Syndrome d’épanchement gazeux de lagrande cavité AUSCULTATION: pleurale Résultats : on peut noter : - qui traduit la transmission anormale du souffle laryngotrachéal à travers le parenchyme pulmonaire et une collection aérique suffisament vaste - on le compare au bruit obtenu en soufflant dans un récipient large à goulot étroit
  • 68.
    Syndrome d’épanchement gazeux de lagrande cavité AUSCULTATION: pleurale Résultats (suite) - intensité faible, lointain, (véritable bourdonnement amphorique ,de tonalité grave,décrit par laënnec) - timbre creux métallique, - audible aux deux temps respiratoires mais à maximum expiratoire, - on l’entend mieux après la toux - siège variable mais surtout bien entendu dans l’espace interscapulovertébral
  • 69.
    Syndrome d’épanchement gazeux de lagrande cavité AUSCULTATION: pleurale Résultats : on peut noter - bruit unique ou répété - timbre argentin - déclenché par la respiration ou les changements de position - comparé classiquement au son produit par une perle tombant dans une coupe de cristal
  • 70.
    Syndrome d’épanchement gazeux de lagrande cavité AUSCULTATION: pleurale Résultats : on peut noter voix,toux,bruits de cœur… il est assez proche du tintement métallique
  • 71.
    Syndrome d’épanchement gazeux de lagrande cavité AUSCULTATION: pleurale Résultats : on peut noter - bruit métallique vibrant - déclenché par la percussion du thorax au moyens de deux pièces de monnaie et perçu à l’auscultation de la face du thorax opposée à la percussion.
  • 72.
    Syndrome d’épanchement gazeux de lagrande cavité AUSCULTATION: pleurale • Les éléments du syndrome amphorométallique sont inconstants et presque toujours dissocié leur présence complète doit faire évoquer une cause tuberculeuse. • leur recherche est assez longue et peut fatiguer le malade
  • 73.
    Syndrome d’épanchement gazeux de lagrande cavité En résumé : pleurale • on parlera de syndrome d’épanchement gazeux de la grande cavité pleurale devant le trépied de GAILLARD qui associe :
  • 74.
    Syndrome d’épanchement gazeux de lagrande cavité pleurale respiratoire devra être • L’examen impérativement suivi d’un examen complet de tous les appareils notamment cardiovasculaire à la recherche des signes de refoulements : - Déplacement du choc de pointe vers le coté controlatéral - Déplacement de l’air de matité cardiaque et les foyers d’auscultation vers le côté controlatéral
  • 75.
    Syndrome d’épanchement gazeux de lagrande cavité pleurale NB: l’examen physique peut être normal devant les épanchements minimes
  • 77.
    Syndrome d’épanchement gazeux de lagrande cavité 1. LA RX STANDARD DU THORAX pleurale • Incidences : • Elle comporte des clichés thoraciques de face et de profil en inspiration profonde comme de pratique courante • On peut aussi demander des rx de thorax de face en expiration forcée ( devant des épanchements minimes )
  • 78.
    Syndrome d’épanchement gazeux de lagrande cavité LA RX STANDARD DU THORAX pleurale Apports : • Affirmer le PNO • Estimer la taille de l’épanchement • discuter l’indication d’un drainage(CI si présence de bulle d’emphysème ) • Analyser le parenchyme pulmonaire sous jacent et du côté opposé • Suivre l’évolution retour ou non du poumon à la paroi
  • 79.
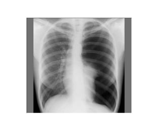
    Syndrome d’épanchement gazeux de lagrande cavité LA RX STANDARD DU THORAX pleurale Résultats : • hyperclarté avasculaire homogène périphérique prenant tout l’hémithorax plus ou moins étendue. • Rétraction du poumon s/f d’un moignon hyperdense sur le hile avec distension des EIC et une netteté anormale des côtes. • La plèvre viscérale qui entoure ce moignon apparaît sous forme d’un fin liséré opaque net comme tracé au crayon
  • 83.
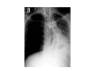
    Syndrome d’épanchement gazeux de lagrande cavité LA RX STANDARD DU THORAX pleurale on recherchera systématiquement les signes radiologiques associés : • Une opacité liquidienne à niveau horizontal de la base témoignant d’un hydropneumothorax • Position du médiastin et du cœur éventuellement refoulé • Anomalies parenchymateuses homo ou contolatérales en sachant qu’il existe une surcharge vasculaire réflexe du coté sain • Un aspect de petit cœur dans les formes bilatérales
  • 89.
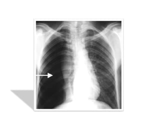
    Syndrome d’épanchement gazeux de lagrande cavité LA RX STANDARD DU THORAX pleurale • Décollement partiel avec angle de raccordement aigu à la paroi ou présence de brides sous forme de bande opaque • On a une hyperclarté homogène périphérique en croissant dépourvue de trame pulmonaire
  • 90.
  • 91.
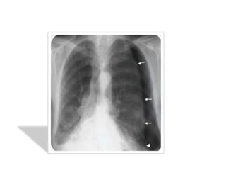
    Syndrome d’épanchement gazeux de lagrande cavité pleurale • Si l’épanchement gazeux est minime on peut avoir une fine bande claire et un « trapping » cad une zone d’air du décollement qui ne se vide pas à l’expiration forcée • Bride rattachant le poumon à la paroi(risque de rupture et d’hémothorax)
  • 92.
  • 93.
  • 95.
  • 97.
    Syndrome d’épanchement gazeux de lagrande cavité pleurale TELEVISEE 2. SCOPIE • N’est plus utilisé en pratique courante • Elle avait un intérêt dans les forme moins évidentes • Elle peut montrer : • Une diminution de l’expansion inspiratoire du thorax • Abaissement de la coupole diaphragmatique avec ascension paradoxale au cours de l’inspiration c’est le phénomène de KIENBOECK
  • 98.
    Syndrome d’épanchement gazeux de lagrande cavité 3. TDM thoracique pleurale • La TDM thoracique n’est pas nécessaire au diagnostic mais indiquée si la symptomatologie évocatrice contraste avec une RX thorax normale • Par contre sa pratique est courante pour le diagnostic étiologique et dans la discussion d’un geste thérapeutique radical
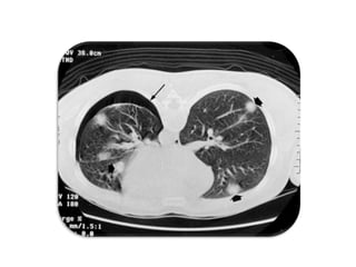
  • 99.
    Syndrome d’épanchement gazeux de lagrande cavité TDM thoracique pleurale • Elle permet aussi d’apprécier le risque de récidive en précisant le nombre le volume et la topographie des bulles Résultats : • Le PNO apparaît sous forme d’une plage noire qui refoule le poumon comparé à un croissant gazeux
  • 102.
    Syndrome d’épanchement gazeux de lagrande cavité pleurale • C’est l’aspect le plus fréquent • Touche presque exclusivement le sujet jeune 20 à 35 ans longiligne • = diagnostic d’élimination
  • 103.
    Syndrome d’épanchement gazeux de lagrande cavité pleurale facteurs étiologiques : - tabagisme, - un sd marphanoïde ou - dystrophie bulleuse isolée, - infection virale discrète en apparence limitée aux voies aériennes supérieures, - effort intense mais parfois aussi minime.
  • 104.
    Syndrome d’épanchement gazeux de lagrande cavité pleurale  Tuberculose pulmonaire : • Le PNO résulte - soit par rupture dans la cavité pleurale de caverne ou caseum sous pleural - soit par séquelles paracicatricielles • Le diagnostic : facile devant des signes d’appel cliniques et radiologiques confirmé par la présence des BAAR dans l’examen des crachats
  • 105.
    Syndrome d’épanchement gazeux de lagrande cavité pleurale • Tableau clinique souvent aigu • La RX du thorax met en évidence une ou plusieurs cavités avec niveau hydroaériques
  • 106.
    Syndrome d’épanchement gazeux de lagrande cavité pleurale • PNO par la rupture intrapleurale des lésions kystiques ou pneumatocèle sous pleurale et apicale fréquement rencontré. • Le tableau clinique est celui d’une pneumopathie aigue • Le diagnostic de certitude repose sur la mise en évidence du pneumocystis jirovecci dans le liquide du LBA
  • 107.
    Syndrome d’épanchement gazeux de lagrande cavité pleurale • Ce sont les bronchites chroniques et surtout l’emphysème • Elles sont génératrices de dystrophies bulleuses qui peuvent secondairement se rompre dans la cavité pleurale • Le patient est habituellement tabagique chronique avec notion de toux productive chronique • La spirométrie affirme le trouble ventilatoire obstructif qui est non reversible sous bronchodilatateurs
  • 108.
    Syndrome d’épanchement gazeux de lagrande cavité pleurale • Sarcoïdose, silicose,beryliose,histiocytoseX,lymphogranulomatose… • Le PNO peut être révélateur • Mécanisme: - soit à la nécrose tumorale puis sa rupture secondaire dans la cavité pleurale - soit à la rupture d’un emphysème obstructif constitué en amont de la sténose tumorale
  • 109.
    Syndrome d’épanchement gazeux de lagrande cavité pleurale • Survient dans les premiers 24 heures des règles • Absence de symptômes en dehors de cette période • Prédominance du coté droit • Caractère récidivant
  • 110.
    Syndrome d’épanchement gazeux de lagrande cavité pleurale Mécanisme: - le passage d’air du péritoine vers la cavité pleurale par l’intermédiaire de perforations diaphragmatiques induit par les lésions d’endométriose au niveau pelvien ou diaphragmatique - des blebs dont la rupture serait plus fréquente en période menstruelle
  • 111.
    Syndrome d’épanchement gazeux de lagrande cavité pleurale Mécanisme(suites): - une endométriose intrathoracique induisant en période menstruelle une compression bronchiolo-alvéolaire et, par là même, des blebs avec un risque de rupture.
  • 112.
    Syndrome d’épanchement gazeux de lagrande cavité pleurale crise d’asthme,mucoviscidose,infarctus pulmonaire,maladie de Wegener,abcès sous phrénique
  • 114.
    Syndrome d’épanchement gazeux de lagrande cavité pleurale • Sd fréquemment rencontré en clinique • Diagnostic clinique aisé • Parfois de découverte radiologique • Urgence médico chirurgicale car le pronostic vital ou fonctionnel du malade peut être engagé
  • 116.