Histoire de … Jean Roeseler Cliniques Universitaires St-Luc Bruxelles Pierre Delguste Cliniques Universitaires St-Luc Bruxelles Jean-Bernard Michotte Hôpitaux Universitaires de Genève LA VENTILATION MECANIQUE
Définition Ensemble des moyens mécaniques destinés à prendre en charge totalement ou partiellement le travail ventilatoire du patient.  Celui-ci étant incapable d'assurer spontanément une ventilation alvéolaire efficace.
Buts -  Renouvellement de l ’air alvéolaire  -  Oxygénation  -  Recrutement alvéolaire  -  Protection des voies aériennes
Indications à la ventilation mécanique Défail l ance de la pompe ventilatoire -  hypoventilation alvéolaire (ex : BPCO, traumatisme thoracique, overdose, post-op, maladies neuro-musculaires…) Défaillance de l’échangeur gazeux -  shunt -  inégalité VA/Q -  trouble de la diffusion (ex : OAP, pneumonie, hémorragie pulmonaire…)   Risque de bronchoaspiration (vomissement, hémorragie digestive…)
Principe de la ventilation mécanique
Résistance Compliance Les caractéristiques mécaniques
Ventilation mécanique Pression négative Pression positive Volume Pression Classification de la ventilation mécanique
Principe Ventilation en pression négative Pression négative intra - thoracique
1876
 
1928 Drinker + Emerson
 
Années 50 épidémies de polio  (Copenhague – Los Angeles)
Au long cours, à domicile Années 50
Quelques adaptations
 
D’autres…
Principe Ventilation en pression positive Pression positive intra-thoracique
 
Une trachéo, un ballon, des mains… Lassen (1952) 200 patients ventilés pendant plusieurs mois par 1000 étudiants. Mortalité passe de 80 à 40%
Comment appliquer la ventilation ? Tube endotrachéal Tube de trachéotomie Ventilation invasive
 
 
1954 Engström  Premier respirateur à fréquence fixe
 
 
Les années 60 Peu d’évolution des machines Multiplication des modèles
Evolution des respirateurs
Ventilateur Patient Quel mode ventilatoire ?   Spontanée Assistée contrôlée intermittente Assistée Contrôlée
Les années 70 - 80 PEP Soupir IMV – SIMV VACI MMV Sevrage Monitorage Electronique
 
Ventilation Non Invasive 1964 SADOUL
A partir des années 80  L’Aide Inspiratoire… permet l’essor de La VNI
Redémarrage lent… Tout s’emballe à partir de 1988 1976: J. Bach. (publié en 1981 dans Arch. Phys. Med. Rehab.) 120 patients NM ventilés par voie buccale (1981: C. Sullivan. nCPAP dans le SAS  ) 1984: A Delaubier. Première nIPPV  1987: Premières nIPPV à domicile en Belgique 1988: L. Brochard . nBiPAP en réanimation Années 90: Essor de la VNI en réanimation, urgences, pneumologie, pédiatrie ….ET à domicile
Au long cours, à domicile Années 50 (post-polio) 2006
Respirateurs volumétriques
 
Respirateurs barométriques
Respirateurs baro et volumétriques
Percussions intrapulmonaires
Evolution des interfaces
 
Ces dernières années ECMO Interactions patient-machine (trigger…) He NO PAV APRV …
 
Délai de trigger
Travail nécessaire au déclenchement
Paw Vitesse de pressurisation
Qualité pressurisation Trigger delay Synchrony Somnovent VPAP II Moritz VPAP III ST-A Knightstar PV102+ Integra Ultra Smartair+ Td (ms) 0.00 0.05 0.10 0.15 0.20
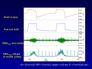
Débit (L/sec) Paw (cm H 2 O) EMG diaph  brut (volts)  EMG diaph  intégré  et rectifié (volts) AI = 25 cm H 2 O, PEP = 5 cm H 2 O, rampe = 0.20 sec, R  = 5 cm H 2 O/L.sec -1
Désynchronisation expiratoire : Ti ass - Ti neural = 0 sec  Mesure Ti ass  (sec) Mesure Ti neural (sec) Débit  Paw EMG diaph
HELIOX .....
L’hélium: un traitement?
VENTILATION NON INVASIVE AVEC UN MELANGE GAZEUX  AIR-OXYGENE OU HELIUM-OXYGENE CHEZ DES BPCO. Etude prospective et randomisée J.ROESELER, Ph.JOLLIET, D.TASSAUX, L.BURDET, A.BROCCARD, M.REYNAERT, J.C.CHEVROLET Cliniques  u niversitaires St-Luc Hôpitaux  u niversitaires de Genève Centre  h ospitalier  u niversitaire Vaudois
 
Ventilation non invasive en pédiatrie
SEDATION VNI
Supports non invasifs en phase préhospitalière
Nébulisation et VNI
Système automatisé - F. Lellouche, F. Schortgen, L. Bouadma, P. Rodriguez, L. Brochard – Paris - J. Mancebo M. Cabello – Barcelone - J. Roeseler, M. Reynaert – Bruxelles - Ph.Jolliet – Genève - S. Maggiore – Italie - M. Dojat – Grenoble - S. Merssmann - Lübeck
 
Aperçu Physiologique du  stimulus de la respiration   Signaux neuro-respiratoires Système nerveux central Nerf phrénique Excitation du diaphragme Contraction du diaphragme Expansion de la cage  thoracique et des poumons Pression, débit et volume dans les voies aériennes Respirateur Neural control of mechanical ventilation in respiratory failure - Nature medicine - Vol. 5 - Nr 12 - Dec. 1999 Christer Sinderby, Paolo Navalesi, Jennifer Beck, Yoanna Skrobik, Norman Comtois, Sven Friberg, Stewart B. Gottfried & Lars Lindström NAVA Technologie actuelle Technologie idéale Nouvelle  technologie
Pratiquement sur le respirateur Servo i Zone de saisie du signal. Saisie du signal via mini sonde gastrique Module NAVA  à introduire dans le SERVO  i NB  : Il y a des sondes adaptées à la VNI et sans canal gastrique.
Merci de votre bonne attention

Histoire Vent Mecanique

  • 1.
    Histoire de …Jean Roeseler Cliniques Universitaires St-Luc Bruxelles Pierre Delguste Cliniques Universitaires St-Luc Bruxelles Jean-Bernard Michotte Hôpitaux Universitaires de Genève LA VENTILATION MECANIQUE
  • 2.
    Définition Ensemble desmoyens mécaniques destinés à prendre en charge totalement ou partiellement le travail ventilatoire du patient. Celui-ci étant incapable d'assurer spontanément une ventilation alvéolaire efficace.
  • 3.
    Buts - Renouvellement de l ’air alvéolaire - Oxygénation - Recrutement alvéolaire - Protection des voies aériennes
  • 4.
    Indications à laventilation mécanique Défail l ance de la pompe ventilatoire - hypoventilation alvéolaire (ex : BPCO, traumatisme thoracique, overdose, post-op, maladies neuro-musculaires…) Défaillance de l’échangeur gazeux - shunt - inégalité VA/Q - trouble de la diffusion (ex : OAP, pneumonie, hémorragie pulmonaire…) Risque de bronchoaspiration (vomissement, hémorragie digestive…)
  • 5.
    Principe de laventilation mécanique
  • 6.
    Résistance Compliance Lescaractéristiques mécaniques
  • 7.
    Ventilation mécanique Pressionnégative Pression positive Volume Pression Classification de la ventilation mécanique
  • 8.
    Principe Ventilation enpression négative Pression négative intra - thoracique
  • 9.
  • 10.
  • 11.
  • 12.
  • 13.
    Années 50 épidémiesde polio (Copenhague – Los Angeles)
  • 14.
    Au long cours,à domicile Années 50
  • 15.
  • 16.
  • 17.
  • 18.
    Principe Ventilation enpression positive Pression positive intra-thoracique
  • 19.
  • 20.
    Une trachéo, unballon, des mains… Lassen (1952) 200 patients ventilés pendant plusieurs mois par 1000 étudiants. Mortalité passe de 80 à 40%
  • 21.
    Comment appliquer laventilation ? Tube endotrachéal Tube de trachéotomie Ventilation invasive
  • 22.
  • 23.
  • 24.
    1954 Engström Premier respirateur à fréquence fixe
  • 25.
  • 26.
  • 27.
    Les années 60Peu d’évolution des machines Multiplication des modèles
  • 28.
  • 29.
    Ventilateur Patient Quelmode ventilatoire ? Spontanée Assistée contrôlée intermittente Assistée Contrôlée
  • 30.
    Les années 70- 80 PEP Soupir IMV – SIMV VACI MMV Sevrage Monitorage Electronique
  • 31.
  • 32.
  • 33.
    A partir desannées 80 L’Aide Inspiratoire… permet l’essor de La VNI
  • 34.
    Redémarrage lent… Touts’emballe à partir de 1988 1976: J. Bach. (publié en 1981 dans Arch. Phys. Med. Rehab.) 120 patients NM ventilés par voie buccale (1981: C. Sullivan. nCPAP dans le SAS ) 1984: A Delaubier. Première nIPPV 1987: Premières nIPPV à domicile en Belgique 1988: L. Brochard . nBiPAP en réanimation Années 90: Essor de la VNI en réanimation, urgences, pneumologie, pédiatrie ….ET à domicile
  • 35.
    Au long cours,à domicile Années 50 (post-polio) 2006
  • 36.
  • 37.
  • 38.
  • 39.
    Respirateurs baro etvolumétriques
  • 40.
  • 41.
  • 42.
  • 43.
    Ces dernières annéesECMO Interactions patient-machine (trigger…) He NO PAV APRV …
  • 44.
  • 45.
  • 46.
    Travail nécessaire audéclenchement
  • 47.
    Paw Vitesse depressurisation
  • 48.
    Qualité pressurisation Triggerdelay Synchrony Somnovent VPAP II Moritz VPAP III ST-A Knightstar PV102+ Integra Ultra Smartair+ Td (ms) 0.00 0.05 0.10 0.15 0.20
  • 49.
    Débit (L/sec) Paw(cm H 2 O) EMG diaph brut (volts) EMG diaph intégré et rectifié (volts) AI = 25 cm H 2 O, PEP = 5 cm H 2 O, rampe = 0.20 sec, R = 5 cm H 2 O/L.sec -1
  • 50.
    Désynchronisation expiratoire :Ti ass - Ti neural = 0 sec Mesure Ti ass (sec) Mesure Ti neural (sec) Débit Paw EMG diaph
  • 51.
  • 52.
  • 53.
    VENTILATION NON INVASIVEAVEC UN MELANGE GAZEUX AIR-OXYGENE OU HELIUM-OXYGENE CHEZ DES BPCO. Etude prospective et randomisée J.ROESELER, Ph.JOLLIET, D.TASSAUX, L.BURDET, A.BROCCARD, M.REYNAERT, J.C.CHEVROLET Cliniques u niversitaires St-Luc Hôpitaux u niversitaires de Genève Centre h ospitalier u niversitaire Vaudois
  • 54.
  • 55.
  • 56.
  • 57.
    Supports non invasifsen phase préhospitalière
  • 58.
  • 59.
    Système automatisé -F. Lellouche, F. Schortgen, L. Bouadma, P. Rodriguez, L. Brochard – Paris - J. Mancebo M. Cabello – Barcelone - J. Roeseler, M. Reynaert – Bruxelles - Ph.Jolliet – Genève - S. Maggiore – Italie - M. Dojat – Grenoble - S. Merssmann - Lübeck
  • 60.
  • 61.
    Aperçu Physiologique du stimulus de la respiration Signaux neuro-respiratoires Système nerveux central Nerf phrénique Excitation du diaphragme Contraction du diaphragme Expansion de la cage thoracique et des poumons Pression, débit et volume dans les voies aériennes Respirateur Neural control of mechanical ventilation in respiratory failure - Nature medicine - Vol. 5 - Nr 12 - Dec. 1999 Christer Sinderby, Paolo Navalesi, Jennifer Beck, Yoanna Skrobik, Norman Comtois, Sven Friberg, Stewart B. Gottfried & Lars Lindström NAVA Technologie actuelle Technologie idéale Nouvelle technologie
  • 62.
    Pratiquement sur lerespirateur Servo i Zone de saisie du signal. Saisie du signal via mini sonde gastrique Module NAVA à introduire dans le SERVO i NB : Il y a des sondes adaptées à la VNI et sans canal gastrique.
  • 63.
    Merci de votrebonne attention