LES VOMISSEMENTS DE
      L’ENFANT
     Dr hamzaoui
INTRODUCTION


• Définition: c’est le rejet actif par la
 bouche d’une partie ou de la totalité du
 contenu gastrique.
Intérêt de la question.
• Fréquence
• peut révéler une affection médicale ou
  chirurgicale.
• Parfois grave.(DHA…)
Physio-path
• Vestibule : fibre circulaire (sphincter
  interne),siège(pression).
• Angle de his.
• Orifice oesophagien du
  diaphragme(sphincter externe).
Étude clinique
• Interrogatoire:
-caractères : vomissement récent/chronique
-volume      :petite qtité /massif
-nature     :alimentaire, sanglant, bilieux,
  fécaloïde
-horaire      : repas
-modalité de survenue: changement de
  position.
Anamnèse

-date d’apparition /à la naissance
-ATCDS: notion d’hydramnios
-condition de survenue: sevrage, infection,
  aliment nouveau.
• Mode d’alimentation:

-nbre et qtite des repas
-introduction des aliments depuis la
   naissance
-aliments nouveaux (ATB)
• Symptômes associés:

-fièvre et toux chronique
-trouble digestif
   :diarrhée,constipation,anorexie,distension
   abdominal
-agitation ,douleur lors des prises des
   biberons
Examen clinique
-retentissement nutritionnel chronique ou
  DHA aigu
-retentissement respiratoire
-rechercher une infection: orl ,pul, méningé
Examen de l’abdomen: ball abd, ondulation
  péristaltique,olive pylorique, boudin
  d’invagination
OGE ambiguïté sexuelle
Orifice herniaire.
Examen complémentaire
•   Fonction du contexte clinique
•   Fonction de l’orientation étiologique
•   Pas toujours nécessaire
•   Bilan de retentissement:FNS IONO
ETIOLOGIES
           NOUVEAU-NE
• Vomissement accomp 1 syn digestif:
a- occlusion:
-occlusion duodénale: double estomac
-Occlusion du grêle
-mdie d’hischprung
-mal rotation
-iléus méconial
Atresias




                                    High obstruction of jejunal atresia
Double bubble of duodenal atresia
b- Entérocolite ulcero-
            nécrosante
• Étiologie:anoxie , infection

• ASP :pneumatose intestinale
Diagnosis: Radiology
          • Pneumatosis
            intestinalis is the
            radiological hallmark
            of NEC



          • Pneumoperitoneum
            indicates bowel
            perforation
C -Péritonites néonatales
• ASP image hydroaerique de tout
  l’abdomen
2-Vomissement alimentaire
-erreur diététique
-APLV
-RGO
-SHP
-INN
-maladie métabolique: HCS,galactosémie.
     fructosemie,phénylcétonurie.
3-Vomissement sanglant
-maladie hémorragique
-ulcère de stress
-septicémie
-RGO avec oesophagite
-sang maternel dégluti
NOURRISSON
VOMISSEMENTS AIGUS:
  causes médicales:
     infections: enterales et parentérales
     intoxication: med et ménager
     erreurs diététique
     causes neurologique:HIC, hémorragie
          cerebro méningée
Causes chirurgicales
-invagination intestinale aigue
-appendicite aigue
-hernie étranglée
-péritonite aigue
-torsion testiculaire
Invagination intestinale
Passage d’un segment intestinal d’aval
      dans le segment d’amont
Invagination intestinale aigue
Épidémiologie

• Fréquence 2 à 4 ‰
• Age 3 mois à 2 ans
  – Si < 2ans: 95 % des cas → forme
    idiopathique
  – 10% après 3 ans
• Sexe ratio M/F 2/1
• Infection virale récente dans 50% des
  cas
Clinique
• Triade classique: 20 à 30 % des cas
  – Douleur intermittente et paroxystique
  – Vomissements
  – Sang dans les selles
• Troubles du transit
• Fièvre, AEG, déshydratation…
• Examen
  – palpation du boudin dans le cadre
    colique, sous hépatique (25 %)
Invagination intestinale aiguë
• Formes
  – Idiopathiques: hyper péristaltisme, GG
    mésentériques, hyperplasie des plaques de Peyer
  – Secondaires: Meckel, tumeur, purpura rhumatoide
• Types d ’invagination :
  – Iléo-iléale (la plus simple)
  – Iléo-cæcale (la plus fréquente)
  – Iléo-colique (transvalvulaire)
Examens Radiologiques
• Cliché abdomen sans préparation
  – Boudin d ’invagination : opacité allongée (50 à
    60 %)
  – Contenu aérique et fécal colique pauvre
  – Disparition du granité cæcal, niveaux HA
• Échographie abdominale
  – Examen diagnostic de référence
  – boudin = coupe transversale: aspect de “cible”,
    coupe longitudinale: aspect en “ pince de
    crabes”
• Lavement opaque (baryte, iode, air)
    = diagnostic et traitement
Lavement opaque
• Contre indications formelles
  – Suspicion de nécrose intestinale, perforation
  – Mauvais état général, état de choc
• Présence de l ’anesthésiste et du
  chirurgien
• Enfant réchauffé, perfusé et sédaté
• Intérêt diagnostic et thérapeutique
  – Tentative de réduction avec pression
    hydrostatique douce
  – Succès si opacification du grêle terminal
Chez le garçon




    Chez la
     fille
Syndrome occlusif chez un
nourrisson avec hernie étranglée
           depuis 24h
Occlusion du grêle:
niveaux hydroaériques
centraux, plus larges que
hauts, absence d’air dans
le rectum
Occlusion colique




Niveaux hydroaériques périphériques, plus hauts que larges
Ischémie
digestives et
 gonadiques
Urgence chirurgicale =
   diagnostique clinique
• Douleur scrotale aiguë, testicule
  ascensionné, abolition du réflexe
  crémastérien
• Intervention < 6h  nécrose , parents
  prévenus


              Estomac plein
Vomissement chronique
-cause digestive: RGO, SHP, plicature
   gastrique
-intolérance alimentaire:APLV IPG
-causes endocriniennes :HCS,
-autres causes :card ,urinaire, IR,
- Cause psychoaffectif
Sténose du pylore




Hypertrophie concentrique
de la musculeuse du pylore
Epidémiologie

•   Fréquence : 3/1000
•   Sexe ratio M/F : 4/1
•   Déterminisme génétique
•   Étiologie ?


      Urgence médicale !
Diagnostic clinique
• Garçon, 1 mois
• Vomissements
  – alimentaires, postprandiaux, en jet
  – Appétit conservé
• Examen clinique
  – Palpation olive pylorique para ombilicale
    D
  – Onde péristaltique à jour frisant
  – Signes de déshydratation
Examens complémentaires
• Evaluation de la déshydratation
  – Bilan sanguin et urinaire
• Échographie abdominale
  – Examen de référence:
     • sensibilité 97%, spécificité 100%
          Godbole P Arch Dis Child
            1996
  – Épaisseur du pylore > 4 mm →
    sténose
• Transit baryté
  – en cas de doute diagnostic
Transit
baryté
Pylorotomie extra
muqueuse de Ramsted
Traitement chirurgical

Pylorotomie extra muqueuse
         de Ramsted


• Voie historique sous costale
  droite
• Voie élective péri-ombilicale
• Chirurgie laparoscopique
Vomissent chez l’ enfant
Vomissements aigus:
  causes médicales:
       intoxications
       infections orl,pulm,hépatite,méningé,
       cause rénale:IR GNA
       neurologique :HIC HCM
       syndrome de reye
       pancréatite aigue
Causes chirurgicales

•   Appendicite aigue : rare avant 3 ans
•   Péritonite aigue
•   Occlusion intestinale, hernie étranglée
•   Invagination intestinale aigue:lymphome,
    PR, Meckel
Vomissements chroniques
-RGO avec ou sans hernie hiatale
-ulcère gastro duodénal
-IR chronique
-causes neurologique: TM cérébrale
                      migraine
                      épilepsie
-VMT acétonémique
-causes psychologiques.
Diagnostique différentiel
-régurgitation
-Mérycisme
-vomique
traitement

il est avant tout étiologique
1-traitement symptomatique

- Anti emetique :1/4h avant les repas
       cesapride 1mg/kg/j
       domperide 1à2mg/kg/j
-correction d’une erreur diététique
Traitement étiologique
- Sténose hyper trophique du pylore
- RGO:
     RGO simple :
        MHD: fractionnement des repas
              épaississement
              suppression du thé……
        TRTpostural
        prokinétique: augmente la pression du
        SIO,accélère la vidange gastrique
         césapride /domperide
        protecteur de la muqueuse oesophagienne
RGO avec oesophagite peptique
Indication des des Anti sécrétoires en plus
  du traitement Anti reflux 4 à 6 semaines

-Anti h2 : ranitidine 10 à 15mg /kg
           cimitidine 20 à40mg/kg
- Inhibiteur de la pompe à proton :
           omeprazol 0,7mg/kg
Indication du traitement chirurgical
• oesophagite n’ayant pas répondue à un
  traitement médical bien conduit

• Rechute à l’arrêt du traitement médical

• Sténose peptique avec H H importante
surveillance
- Disparition des signes fonctionnels
- Reprise pondérale avec normalisation de
  la courbe staturo pondérale
- Fibro de contrôle si oesophagite
            durée du traitement:
Au moins jusqu’à l’age de la marche
Occlusion du grêle:
niveaux hydroaériques
centraux, plus larges que
hauts, absence d’air dans
le rectum
Occlusion colique




Niveaux hydroaériques périphériques, plus hauts que larges
Occlusion
colique
gauche par
obstruction
Invagination
Invagination
Les vomissements de l’enfant
Les vomissements de l’enfant

Les vomissements de l’enfant

  • 1.
    LES VOMISSEMENTS DE L’ENFANT Dr hamzaoui
  • 2.
    INTRODUCTION • Définition: c’estle rejet actif par la bouche d’une partie ou de la totalité du contenu gastrique.
  • 3.
    Intérêt de laquestion. • Fréquence • peut révéler une affection médicale ou chirurgicale. • Parfois grave.(DHA…)
  • 4.
    Physio-path • Vestibule :fibre circulaire (sphincter interne),siège(pression). • Angle de his. • Orifice oesophagien du diaphragme(sphincter externe).
  • 5.
    Étude clinique • Interrogatoire: -caractères: vomissement récent/chronique -volume :petite qtité /massif -nature :alimentaire, sanglant, bilieux, fécaloïde -horaire : repas -modalité de survenue: changement de position.
  • 6.
    Anamnèse -date d’apparition /àla naissance -ATCDS: notion d’hydramnios -condition de survenue: sevrage, infection, aliment nouveau.
  • 7.
    • Mode d’alimentation: -nbreet qtite des repas -introduction des aliments depuis la naissance -aliments nouveaux (ATB)
  • 8.
    • Symptômes associés: -fièvreet toux chronique -trouble digestif :diarrhée,constipation,anorexie,distension abdominal -agitation ,douleur lors des prises des biberons
  • 9.
    Examen clinique -retentissement nutritionnelchronique ou DHA aigu -retentissement respiratoire -rechercher une infection: orl ,pul, méningé Examen de l’abdomen: ball abd, ondulation péristaltique,olive pylorique, boudin d’invagination OGE ambiguïté sexuelle Orifice herniaire.
  • 10.
    Examen complémentaire • Fonction du contexte clinique • Fonction de l’orientation étiologique • Pas toujours nécessaire • Bilan de retentissement:FNS IONO
  • 11.
    ETIOLOGIES NOUVEAU-NE • Vomissement accomp 1 syn digestif: a- occlusion: -occlusion duodénale: double estomac -Occlusion du grêle -mdie d’hischprung -mal rotation -iléus méconial
  • 13.
    Atresias High obstruction of jejunal atresia Double bubble of duodenal atresia
  • 21.
    b- Entérocolite ulcero- nécrosante • Étiologie:anoxie , infection • ASP :pneumatose intestinale
  • 22.
    Diagnosis: Radiology • Pneumatosis intestinalis is the radiological hallmark of NEC • Pneumoperitoneum indicates bowel perforation
  • 26.
    C -Péritonites néonatales •ASP image hydroaerique de tout l’abdomen
  • 27.
    2-Vomissement alimentaire -erreur diététique -APLV -RGO -SHP -INN -maladiemétabolique: HCS,galactosémie. fructosemie,phénylcétonurie.
  • 28.
    3-Vomissement sanglant -maladie hémorragique -ulcèrede stress -septicémie -RGO avec oesophagite -sang maternel dégluti
  • 29.
    NOURRISSON VOMISSEMENTS AIGUS: causes médicales: infections: enterales et parentérales intoxication: med et ménager erreurs diététique causes neurologique:HIC, hémorragie cerebro méningée
  • 30.
    Causes chirurgicales -invagination intestinaleaigue -appendicite aigue -hernie étranglée -péritonite aigue -torsion testiculaire
  • 31.
    Invagination intestinale Passage d’unsegment intestinal d’aval dans le segment d’amont
  • 32.
  • 33.
    Épidémiologie • Fréquence 2à 4 ‰ • Age 3 mois à 2 ans – Si < 2ans: 95 % des cas → forme idiopathique – 10% après 3 ans • Sexe ratio M/F 2/1 • Infection virale récente dans 50% des cas
  • 34.
    Clinique • Triade classique:20 à 30 % des cas – Douleur intermittente et paroxystique – Vomissements – Sang dans les selles • Troubles du transit • Fièvre, AEG, déshydratation… • Examen – palpation du boudin dans le cadre colique, sous hépatique (25 %)
  • 35.
    Invagination intestinale aiguë •Formes – Idiopathiques: hyper péristaltisme, GG mésentériques, hyperplasie des plaques de Peyer – Secondaires: Meckel, tumeur, purpura rhumatoide • Types d ’invagination : – Iléo-iléale (la plus simple) – Iléo-cæcale (la plus fréquente) – Iléo-colique (transvalvulaire)
  • 36.
    Examens Radiologiques • Clichéabdomen sans préparation – Boudin d ’invagination : opacité allongée (50 à 60 %) – Contenu aérique et fécal colique pauvre – Disparition du granité cæcal, niveaux HA • Échographie abdominale – Examen diagnostic de référence – boudin = coupe transversale: aspect de “cible”, coupe longitudinale: aspect en “ pince de crabes” • Lavement opaque (baryte, iode, air) = diagnostic et traitement
  • 37.
    Lavement opaque • Contreindications formelles – Suspicion de nécrose intestinale, perforation – Mauvais état général, état de choc • Présence de l ’anesthésiste et du chirurgien • Enfant réchauffé, perfusé et sédaté • Intérêt diagnostic et thérapeutique – Tentative de réduction avec pression hydrostatique douce – Succès si opacification du grêle terminal
  • 39.
    Chez le garçon Chez la fille
  • 40.
    Syndrome occlusif chezun nourrisson avec hernie étranglée depuis 24h
  • 41.
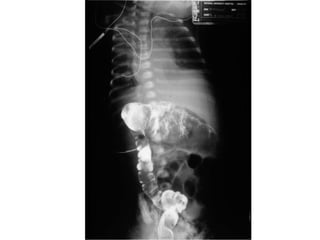
    Occlusion du grêle: niveauxhydroaériques centraux, plus larges que hauts, absence d’air dans le rectum
  • 42.
    Occlusion colique Niveaux hydroaériquespériphériques, plus hauts que larges
  • 45.
  • 47.
    Urgence chirurgicale = diagnostique clinique • Douleur scrotale aiguë, testicule ascensionné, abolition du réflexe crémastérien • Intervention < 6h  nécrose , parents prévenus Estomac plein
  • 48.
    Vomissement chronique -cause digestive:RGO, SHP, plicature gastrique -intolérance alimentaire:APLV IPG -causes endocriniennes :HCS, -autres causes :card ,urinaire, IR, - Cause psychoaffectif
  • 49.
    Sténose du pylore Hypertrophieconcentrique de la musculeuse du pylore
  • 50.
    Epidémiologie • Fréquence : 3/1000 • Sexe ratio M/F : 4/1 • Déterminisme génétique • Étiologie ? Urgence médicale !
  • 51.
    Diagnostic clinique • Garçon,1 mois • Vomissements – alimentaires, postprandiaux, en jet – Appétit conservé • Examen clinique – Palpation olive pylorique para ombilicale D – Onde péristaltique à jour frisant – Signes de déshydratation
  • 52.
    Examens complémentaires • Evaluationde la déshydratation – Bilan sanguin et urinaire • Échographie abdominale – Examen de référence: • sensibilité 97%, spécificité 100% Godbole P Arch Dis Child 1996 – Épaisseur du pylore > 4 mm → sténose • Transit baryté – en cas de doute diagnostic
  • 53.
  • 54.
  • 55.
    Traitement chirurgical Pylorotomie extramuqueuse de Ramsted • Voie historique sous costale droite • Voie élective péri-ombilicale • Chirurgie laparoscopique
  • 56.
    Vomissent chez l’enfant Vomissements aigus: causes médicales: intoxications infections orl,pulm,hépatite,méningé, cause rénale:IR GNA neurologique :HIC HCM syndrome de reye pancréatite aigue
  • 57.
    Causes chirurgicales • Appendicite aigue : rare avant 3 ans • Péritonite aigue • Occlusion intestinale, hernie étranglée • Invagination intestinale aigue:lymphome, PR, Meckel
  • 58.
    Vomissements chroniques -RGO avecou sans hernie hiatale -ulcère gastro duodénal -IR chronique -causes neurologique: TM cérébrale migraine épilepsie -VMT acétonémique -causes psychologiques.
  • 59.
  • 60.
    traitement il est avanttout étiologique
  • 61.
    1-traitement symptomatique - Antiemetique :1/4h avant les repas cesapride 1mg/kg/j domperide 1à2mg/kg/j -correction d’une erreur diététique
  • 62.
    Traitement étiologique - Sténosehyper trophique du pylore - RGO: RGO simple : MHD: fractionnement des repas épaississement suppression du thé…… TRTpostural prokinétique: augmente la pression du SIO,accélère la vidange gastrique césapride /domperide protecteur de la muqueuse oesophagienne
  • 63.
    RGO avec oesophagitepeptique Indication des des Anti sécrétoires en plus du traitement Anti reflux 4 à 6 semaines -Anti h2 : ranitidine 10 à 15mg /kg cimitidine 20 à40mg/kg - Inhibiteur de la pompe à proton : omeprazol 0,7mg/kg
  • 64.
    Indication du traitementchirurgical • oesophagite n’ayant pas répondue à un traitement médical bien conduit • Rechute à l’arrêt du traitement médical • Sténose peptique avec H H importante
  • 65.
    surveillance - Disparition dessignes fonctionnels - Reprise pondérale avec normalisation de la courbe staturo pondérale - Fibro de contrôle si oesophagite durée du traitement: Au moins jusqu’à l’age de la marche
  • 66.
    Occlusion du grêle: niveauxhydroaériques centraux, plus larges que hauts, absence d’air dans le rectum
  • 67.
    Occlusion colique Niveaux hydroaériquespériphériques, plus hauts que larges
  • 69.
  • 73.
  • 74.

Notes de l'éditeur

  • #53 116 patients inclus, 75 sténose du pylore examen clinique + chez 60 enfants (80%) spécificité 72%, VPN 61% 97% diagnostic. Pas de faux positif, 1 faux négatif, VPN 98%, VPP 100%