DU Hépatites virales - Cytokines, Antiviraux Ponction Biopsie Hépatique  Dr Frédéric CHARLOTTE 12 Janvier 2009
Ponction Biopsie Hépatique  Hépatite chronique
Hépatite chronique et  place de la PBH Diagnostic d’hépatite chronique  marqueurs sériques Transaminases normales 2. Intensité des lésions (activité et fibrose)  marqueurs sériques Pronostic (fibrose) Décision thérapeutique  3. Suivi des patients ( ± traitement )  marqueurs sériques 4. Lésions associées  Hépatopathie alcoolique  marqueurs sériques Stéatopathie non alcoolique Surcharge en fer Autres (auto-immune, médicaments) Ann Intern Med 2002, 137:961–64
Hépatite chronique  Lésions nécrotiques - inflammatoires et fibrosante du foie avec risque évolutif vers la cirrhose
Infiltrat lymphocytaire portal Nécrose hépatocytaire Fibrose Hépatite chronique - Lésions élémentaires
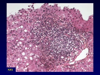
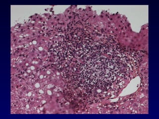
Infiltrat lymphocytaire portal diffus nodulaire caractéristique d’une hépatite chronique. Hépatite chronique - Lésions élémentaires
 
Destruction de la lame bordante par des cellules inflammatoires Evaluation de l’intensité - Extension: focale ou diffuse (/ espace porte) - Nombre d ’EP atteints La nécrose parcellaire est un marqueur d’activité de l’hépatite chronique Nécrose périportale Piecemeal necrosis Nécrose parcellaire Hépatite d’interface Hépatite chronique - Lésions élémentaires
NP2
NP2 NP2
Hépatite chronique - Lésions élémentaires  Nécrose hépatocytaire et inflammation Selon l ’étendue : –  Nécrose focale –  Nécrose en pont –  Nécrose confluente Nécrose intralobulaire
Hépatite chronique - Lésions élémentaires  Corps acidophile Amas  lympho-histiocytaire –  Nécrose focale –  Nécrose en pont –  Nécrose confluente
Hépatite chronique  Lésions élémentaires  –  Nécrose focale –  Nécrose en pont –  Nécrose confluente
Hépatite chronique - Lésions élémentaires  –  Nécrose focale –  Nécrose en pont –  Nécrose confluente
Fibrose
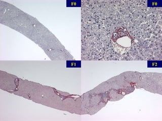
F0 F2 F0 F1
F3 F3 F3 F4
Grade et stade de l’hépatite chronique Quelles classification utiliser ? Hépatite chronique - Classification  Grade ou activité  :  intensité des lésions nécrotico-inflammatoires  Stade  :  degré de fibrose
Hépatite chronique - Classifications  Knodell et al. (1981) METAVIR (1994) Ishak et al. (1995)
KNODELL et al. Formulation and application of a numerical scoring system for assessing histological activity in asymptomatic chronic active hepatitis. Hepatology 1981, 1:431-5. Score de Knodell
Score d’Ishak activité  A. Hépatite d’interface 0: Absente  1: discrète (focale, qq EP) 2: Discrète/modérée (focale, plupart des EP) 3: Modérée (continue <50% des EP ou septa)  4: Sévère (continue >50% des EP ou septa) B. nécrose confluente 0: Absente 1: nécrose confluente focale  2: nécrose CL qq zones 3: nécrose CL plupart des zones 4: nécrose CL +qq pont nécrotiques  5: nécrose CL+ Nbx Ponts nécrotiques  6: nécrose panlobulaire C. Corps acidophile ou amas cellules inflammatoires   0 : Absent 1: ≤1 foyer/obj x10  2: 2-4 foyer/obj x10 3: 5-10 foyer/obj x10 4:  > 10 foyer/obj x10 D. inflammation Portale 0: None 0 1: discrète, qq ou tous les EP  2: Modérée, qq ou tous les EP 3: Modérée/sévère , tous les EP 4: sévère , tous les EP Ishak KG et al. J Hepatol 22,696;1995
Bedossa P et al. An algorithm for the grading of activity in chronic hepatitis C. Hepatology 1996, 24:289-93. Score METAVIR activité  The French METAVIR Cooperative Study Group. Intraobserver and interobserver variations in liver biopsy interpretation in patients with chronic hepatitis C. Hepatology 1994 ; 20:15-20.
Scores de fibrose cirrhose Nbx ponts fibreux qq ponts fibreux Fibrose portale sans septa Pas de fibrose METAVIR 1994 cirrhose, probable or certaine 6 Nbx ponts fibreux, qq nodules (cirrhose incomplète) 5 Nbx ponts fibreux,  (EP-EP ou EP-CL) cirrhose 4 qq ponts fibreux Ponts fibreux (EP-EP ou  EP-CL) 3 Expansion fibreuse de la plupart des EP 2 Expansion fibreuse de qq EP Fibrose portale sans septa 1 Pas de fibrose Pas de fibrose 0 Ishak 1995 Knodell 1981   Score
Score METAVIR – Avantages  1. Dissocie l’activité de la fibrose  2. Score linéaire  3. Bonne reproductibilité intra- et inter-observateurs pour la fibrose, satisfaisante pour l’activité nécrotico-inflammatoire The French METAVIR Cooperative Study Group. Intraobserver and interobserver variations in liver biopsy interpretation in patients with chronic hepatitis C. Hepatology 1994 ; 20:15-20.
Stéatose  Nodules lymphoïdes des espaces portes Lésions des canaux biliaires Hépatite chronique virale C - Lésions associées
Macrovacuolaire  35 à 85% des cas selon les séries Intensité <70% dans 90% des cas  Hépatite chronique virale C - Lésions associées Stéatose Leandro et al. GE 2006. Bedossa et al. Hepatology 2007
Corrélée au  BMI génotype 3 Alcool Age Diabète  Hépatite chronique C - Lésions associées Stéatose Leandro et al. GE 2006.
Bedossa et al. Hepatology 2007 Bedossa et al. Hepatology 2007 278 patients  HCV+NASH : 9% Déf de la NASH dans un contexte VHC+: Ballonisation FPS NASH corrélé au F du METAVIR Génotypes 1 4 IR et TG  (MASH) ≠  Génotype 3 (VASH) FPS B
Autres causes d’hépatite chronique Virales virus B virus B + delta Auto-immune Toxique (médicaments) Lésions simulant une hépatite chronique   Cirrhose biliaire primitive Maladie alcoolique du foie Stéatohépatite non-alcoolique (NASH) Maladie de Wilson Diagnostics différentiels  Hépatite chronique virale C
Lésions histologiques évocatrices Inflammation portale diffuse  Nodule lymphoïde atteinte des canaux biliaires = 0  activité nécrotico-inflammatoire +++ Pas de stéatose Hépatocytes en verre dépoli Immunohistochimie  AgHbS, Ag HbE Hépatite chronique virale B
Lésions histologiques évocatrices Infiltrat inflammatoire portal Nodules lymphoïdes Plasmocytes Activité marquée Hépatocytes en rosette Hépatite chronique autoimmune
Lésions histologiques évocatrices Granulomes épithélioïdes  Polynucléaires éosinophiles Hépatite chronique médicamenteuse
Lésions simulant une hépatite chronique Maladie alcoolique du foie Stéatohépatite non-alcoolique (NASH) Cirrhose biliaire primitive Maladie de Wilson
Ductopénie  cholestase Cholangite + activité + Cirrhose biliaire primitive Canal  biliaire manquant Canal  biliaire manquant Cholangite lymphocytaire
Lésions simulant une hépatite chronique Cuivre  Corps Mallory  Nx vaculoaire PNN  Corps Mallory  Ballonisation  Maladie alcoolique du foie Stéatohépatite non-alcoolique (NASH) Maladie de Wilson
- Souvent non acceptée  Variation d’échantillonnage (1/50 000 e  du foie) 25% des PBH de 25 mm mal classées ( bedossa et al hepatolgy 2003 ) hétérogénéité des lésions Variation inter- et intraoservateurs Morbidité (3/1000) ou mortalité (3/10000) +++ Coût de la PBH Évaluation de La fibrose hépatique PBH:  gold standard imparfait
Eviter Aiguille fine: 20-22G;  16G ; 15mm ; 10 EP ;  Coloredo, J Hepatol 2004  Anapath expérimenté : Rousselet, hepatology 2005 Fragmentation :  Argt Dg  Discordance : diff d’1 stade, Bedossa, Hepatology 2004,  Lésions associées Fer, Stéatose, topographie de la stéatose, et de la fibrose Marqueur d’autoimmunité (plasmocytes, CBIL) Corrélation entre QF et stades de fibrose  (F0-F2, F3F4) --> désorganisation de l’architecture  Évaluation de La fibrose hépatique PBH:  éléments à décharge
Score de fibrose  Aire de fibrose Standish et al. Gut 2006
Apport de la géométrie fractale Dioguardi et al. World J Gastroenterol 2008
Apport de la géométrie fractale Dioguardi et al. World J Gastroenterol 2008  Index tectonique   TCI = D-D  D = dimension fractale D  = dimension euclidienne
Quelques exemples
4 EP 13 mm  10 fragments   Exemple 1
Exemple 1
16 mm  15 fragments   Exemple 2
Exemple 2
Exemple 3 Cirrhose B+C THO 2 prélvts  Prélvt 1  Prélvt 2
PBH en 2005  VIH+VHC 1 fragment   40 mm  Exemple 4
Exemple 4
7,5 mm  1 fragments   4 EP VHC guéri fibrotest Exemple 4
Exemple 4

Ponction Biopsie Hépatique.ppt

  • 1.
    DU Hépatites virales- Cytokines, Antiviraux Ponction Biopsie Hépatique Dr Frédéric CHARLOTTE 12 Janvier 2009
  • 2.
    Ponction Biopsie Hépatique Hépatite chronique
  • 3.
    Hépatite chronique et place de la PBH Diagnostic d’hépatite chronique marqueurs sériques Transaminases normales 2. Intensité des lésions (activité et fibrose) marqueurs sériques Pronostic (fibrose) Décision thérapeutique 3. Suivi des patients ( ± traitement ) marqueurs sériques 4. Lésions associées Hépatopathie alcoolique marqueurs sériques Stéatopathie non alcoolique Surcharge en fer Autres (auto-immune, médicaments) Ann Intern Med 2002, 137:961–64
  • 4.
    Hépatite chronique Lésions nécrotiques - inflammatoires et fibrosante du foie avec risque évolutif vers la cirrhose
  • 5.
    Infiltrat lymphocytaire portalNécrose hépatocytaire Fibrose Hépatite chronique - Lésions élémentaires
  • 6.
    Infiltrat lymphocytaire portaldiffus nodulaire caractéristique d’une hépatite chronique. Hépatite chronique - Lésions élémentaires
  • 7.
  • 8.
    Destruction de lalame bordante par des cellules inflammatoires Evaluation de l’intensité - Extension: focale ou diffuse (/ espace porte) - Nombre d ’EP atteints La nécrose parcellaire est un marqueur d’activité de l’hépatite chronique Nécrose périportale Piecemeal necrosis Nécrose parcellaire Hépatite d’interface Hépatite chronique - Lésions élémentaires
  • 9.
  • 10.
  • 11.
    Hépatite chronique -Lésions élémentaires Nécrose hépatocytaire et inflammation Selon l ’étendue : – Nécrose focale – Nécrose en pont – Nécrose confluente Nécrose intralobulaire
  • 12.
    Hépatite chronique -Lésions élémentaires Corps acidophile Amas lympho-histiocytaire – Nécrose focale – Nécrose en pont – Nécrose confluente
  • 13.
    Hépatite chronique Lésions élémentaires – Nécrose focale – Nécrose en pont – Nécrose confluente
  • 14.
    Hépatite chronique -Lésions élémentaires – Nécrose focale – Nécrose en pont – Nécrose confluente
  • 15.
  • 16.
  • 17.
  • 18.
    Grade et stadede l’hépatite chronique Quelles classification utiliser ? Hépatite chronique - Classification Grade ou activité : intensité des lésions nécrotico-inflammatoires Stade : degré de fibrose
  • 19.
    Hépatite chronique -Classifications Knodell et al. (1981) METAVIR (1994) Ishak et al. (1995)
  • 20.
    KNODELL et al.Formulation and application of a numerical scoring system for assessing histological activity in asymptomatic chronic active hepatitis. Hepatology 1981, 1:431-5. Score de Knodell
  • 21.
    Score d’Ishak activité A. Hépatite d’interface 0: Absente 1: discrète (focale, qq EP) 2: Discrète/modérée (focale, plupart des EP) 3: Modérée (continue <50% des EP ou septa) 4: Sévère (continue >50% des EP ou septa) B. nécrose confluente 0: Absente 1: nécrose confluente focale 2: nécrose CL qq zones 3: nécrose CL plupart des zones 4: nécrose CL +qq pont nécrotiques 5: nécrose CL+ Nbx Ponts nécrotiques 6: nécrose panlobulaire C. Corps acidophile ou amas cellules inflammatoires 0 : Absent 1: ≤1 foyer/obj x10 2: 2-4 foyer/obj x10 3: 5-10 foyer/obj x10 4: > 10 foyer/obj x10 D. inflammation Portale 0: None 0 1: discrète, qq ou tous les EP 2: Modérée, qq ou tous les EP 3: Modérée/sévère , tous les EP 4: sévère , tous les EP Ishak KG et al. J Hepatol 22,696;1995
  • 22.
    Bedossa P etal. An algorithm for the grading of activity in chronic hepatitis C. Hepatology 1996, 24:289-93. Score METAVIR activité The French METAVIR Cooperative Study Group. Intraobserver and interobserver variations in liver biopsy interpretation in patients with chronic hepatitis C. Hepatology 1994 ; 20:15-20.
  • 23.
    Scores de fibrosecirrhose Nbx ponts fibreux qq ponts fibreux Fibrose portale sans septa Pas de fibrose METAVIR 1994 cirrhose, probable or certaine 6 Nbx ponts fibreux, qq nodules (cirrhose incomplète) 5 Nbx ponts fibreux, (EP-EP ou EP-CL) cirrhose 4 qq ponts fibreux Ponts fibreux (EP-EP ou EP-CL) 3 Expansion fibreuse de la plupart des EP 2 Expansion fibreuse de qq EP Fibrose portale sans septa 1 Pas de fibrose Pas de fibrose 0 Ishak 1995 Knodell 1981 Score
  • 24.
    Score METAVIR –Avantages 1. Dissocie l’activité de la fibrose 2. Score linéaire 3. Bonne reproductibilité intra- et inter-observateurs pour la fibrose, satisfaisante pour l’activité nécrotico-inflammatoire The French METAVIR Cooperative Study Group. Intraobserver and interobserver variations in liver biopsy interpretation in patients with chronic hepatitis C. Hepatology 1994 ; 20:15-20.
  • 25.
    Stéatose Noduleslymphoïdes des espaces portes Lésions des canaux biliaires Hépatite chronique virale C - Lésions associées
  • 26.
    Macrovacuolaire 35à 85% des cas selon les séries Intensité <70% dans 90% des cas Hépatite chronique virale C - Lésions associées Stéatose Leandro et al. GE 2006. Bedossa et al. Hepatology 2007
  • 27.
    Corrélée au BMI génotype 3 Alcool Age Diabète Hépatite chronique C - Lésions associées Stéatose Leandro et al. GE 2006.
  • 28.
    Bedossa et al.Hepatology 2007 Bedossa et al. Hepatology 2007 278 patients HCV+NASH : 9% Déf de la NASH dans un contexte VHC+: Ballonisation FPS NASH corrélé au F du METAVIR Génotypes 1 4 IR et TG (MASH) ≠ Génotype 3 (VASH) FPS B
  • 29.
    Autres causes d’hépatitechronique Virales virus B virus B + delta Auto-immune Toxique (médicaments) Lésions simulant une hépatite chronique Cirrhose biliaire primitive Maladie alcoolique du foie Stéatohépatite non-alcoolique (NASH) Maladie de Wilson Diagnostics différentiels Hépatite chronique virale C
  • 30.
    Lésions histologiques évocatricesInflammation portale diffuse Nodule lymphoïde atteinte des canaux biliaires = 0 activité nécrotico-inflammatoire +++ Pas de stéatose Hépatocytes en verre dépoli Immunohistochimie AgHbS, Ag HbE Hépatite chronique virale B
  • 31.
    Lésions histologiques évocatricesInfiltrat inflammatoire portal Nodules lymphoïdes Plasmocytes Activité marquée Hépatocytes en rosette Hépatite chronique autoimmune
  • 32.
    Lésions histologiques évocatricesGranulomes épithélioïdes Polynucléaires éosinophiles Hépatite chronique médicamenteuse
  • 33.
    Lésions simulant unehépatite chronique Maladie alcoolique du foie Stéatohépatite non-alcoolique (NASH) Cirrhose biliaire primitive Maladie de Wilson
  • 34.
    Ductopénie cholestaseCholangite + activité + Cirrhose biliaire primitive Canal biliaire manquant Canal biliaire manquant Cholangite lymphocytaire
  • 35.
    Lésions simulant unehépatite chronique Cuivre Corps Mallory Nx vaculoaire PNN Corps Mallory Ballonisation Maladie alcoolique du foie Stéatohépatite non-alcoolique (NASH) Maladie de Wilson
  • 36.
    - Souvent nonacceptée Variation d’échantillonnage (1/50 000 e du foie) 25% des PBH de 25 mm mal classées ( bedossa et al hepatolgy 2003 ) hétérogénéité des lésions Variation inter- et intraoservateurs Morbidité (3/1000) ou mortalité (3/10000) +++ Coût de la PBH Évaluation de La fibrose hépatique PBH: gold standard imparfait
  • 37.
    Eviter Aiguille fine:20-22G; 16G ; 15mm ; 10 EP ; Coloredo, J Hepatol 2004 Anapath expérimenté : Rousselet, hepatology 2005 Fragmentation : Argt Dg Discordance : diff d’1 stade, Bedossa, Hepatology 2004, Lésions associées Fer, Stéatose, topographie de la stéatose, et de la fibrose Marqueur d’autoimmunité (plasmocytes, CBIL) Corrélation entre QF et stades de fibrose (F0-F2, F3F4) --> désorganisation de l’architecture Évaluation de La fibrose hépatique PBH: éléments à décharge
  • 38.
    Score de fibrose Aire de fibrose Standish et al. Gut 2006
  • 39.
    Apport de lagéométrie fractale Dioguardi et al. World J Gastroenterol 2008
  • 40.
    Apport de lagéométrie fractale Dioguardi et al. World J Gastroenterol 2008 Index tectonique TCI = D-D  D = dimension fractale D  = dimension euclidienne
  • 41.
  • 42.
    4 EP 13mm 10 fragments Exemple 1
  • 43.
  • 44.
    16 mm 15 fragments Exemple 2
  • 45.
  • 46.
    Exemple 3 CirrhoseB+C THO 2 prélvts Prélvt 1 Prélvt 2
  • 47.
    PBH en 2005 VIH+VHC 1 fragment 40 mm Exemple 4
  • 48.
  • 49.
    7,5 mm 1 fragments 4 EP VHC guéri fibrotest Exemple 4
  • 50.